INTRODUCCIÓN
El tétanos es una enfermedad que afecta el sistema nervioso, la cual es prevenible por la vacunación. Su presentación clínica se caracteriza principalmente por espasmos musculares causados por la liberación de una neurotoxina producida por la formación de esporas de la bacteria Clostridium tetani. Este microorganismo se encuentra en el suelo y por la contaminación de las heridas ingresa al organismo, lo que produce la enfermedad. En el paciente neonato el sitio de entrada es el muñón umbilical 1.
El tétanos se desarrolla cuando las esporas de Clostridium tetani ingresan al tejido humano y producen la toxina tetánica (tetanoespasmina), la cual se une a las membranas presinápticas en las uniones neuromusculares; posteriormente, se internaliza y se transporta retrógradamente en la neurona motora a través de vías axonales endógenas basadas en microtúbulos. La toxina sufre transcitosis y es captada por las neuronas presinápticas, de manera que se bloquea la neurotransmisión mediante la acción de escisión, lo que genera la inactivación de la neurotransmisión inhibitoria que normalmente modula las células de la asta anterior y las neuronas autónomas. Lo anterior explica los espasmos característicos de la enfermedad, así como el aumento en el tono muscular y la desregulación autonómica que se manifiesta como taquicardia o hipertensión 2.
La vía de entrada del tétanos son las lesiones tipo cortes o abrasiones en la piel, bien sean leves o severas, asociadas con tejido desvitalizado, cuerpo extraño e isquemia localizada, que sumadas a una vacunación deficiente predisponen a la formación de la toxina. La gravedad de la enfermedad se relaciona con la velocidad del inicio de la sintomatología y una evolución más rápida, por lo que un periodo de incubación de menos de 7 días y un periodo desde el inicio de síntomas a la aparición de espasmos de menos de 48 horas se consideran mal pronóstico 2-3. La presentación de la enfermedad puede ser generalizada (cuando involucra todos los músculos) o puede localizarse en una extremidad, región cefálica y cuello; este último caso puede relacionarse con una carga baja de toxinas o ser una característica temprana del tétanos generalizado. Los espasmos en extensión generalizados (opistótonos) son la presentación clínica más severa, asociada con intenso dolor muscular, espasmos faríngeos y laríngeos que ocurren en etapas tempranas de le enfermedad y producen obstrucción vía aérea y aspiración, por lo que se precisa monitorización en unidad de cuidado intensivo 1.
La prevalencia del tétanos se presenta principalmente en países subdesarrollados, como resultado de un esquema de vacunación incompleto o profilaxis inadecuada luego de una herida. Por otra parte, en los países desarrollados las tasas de incidencia han disminuido con el paso del tiempo. Es el caso de Estados Unidos, donde en el periodo del 2009 al 2017 se reportaron 264 casos, de los cuales el 23 % correspondió a personas mayores de 65 años, en tanto que el 13 % fueron menores de 20 años. Lo anterior se explica debido a que en las personas de edad avanzada los títulos de anticuerpos disminuyen con el tiempo, o bien porque su nacimiento fue antes de la introducción de los programas de vacunación; en personas jóvenes los casos se asocian con el uso de drogas inyectables 4-5.
Presentación del caso
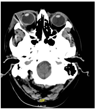
Hombre de 70 años que consulta al servicio de urgencias por cuadro clínico de 8 días, consistente en caída accidental de aproximadamente 2 m de altura en área rural, con trauma en región orbitaria derecha acompañado de dolor, edema palpebral, eritema, epifora, secreción purulenta y disminución de la agudeza visual. A la valoración encontramos celulitis orbitaria y periocular temporal derecha, defecto pupilar aferente ipsilateral y contracción mandibular derecha que limita la apertura oral. Se inicia tratamiento con antibióticos de amplio espectro y se realiza tomografía de cráneo simple y resonancia magnética de órbitas (figura 1) que muestra cuerpo extraño en la órbita derecha con extensión intra y extraconal, asociado con colección periocular derecha. Al tercer día de la hospitalización, oftalmología realiza extracción de cuerpo extraño y drenaje de colección, y se requiere monitorización en la unidad de cuidado intensivo.

Fuente: autores
Figura 1 Tac de cráneo simple corte axial, hallazgo de cuerpo extraño de la órbita derecha con cambios inflamatorios intra y extraconales.
Durante la evolución clínica el paciente persiste con trismo mandibular y espasmos orofaciales que limitan la deglución, la fonación y la movilidad facial. Por el cuadro clínico se sospecha tétanos, por lo que se administra toxoide tetánico e inmunoglobulina antitetánica.
Al quinto día de hospitalización, el paciente presenta deterioro clínico que se expresa mediante signos de dificultad respiratoria, asociados con disautonomías y alteración del estado de conciencia, por lo que requiere intubación orotraqueal y monitorización en unidad de cuidado intensivo. Posteriormente al retiro del soporte ventilatorio y la sedación, persiste con disautonomías y contracción muscular involuntaria, asociado con somnolencia, por lo que se considera descartar estado convulsivo y se inicia tratamiento con anticonvulsivantes, sin mejoría clínica. Los estudios se complementan con punción lumbar, con estudio del líquido cefalorraquídeo dentro de límites normales: leucocitos 0, hematíes 162 (75 %% crenados), proteínas 26 mg/100 mL y glucosa 104 mg/100 mL. La resonancia magnética cerebral evidencia hallazgos crónicos compatibles con angiopatía amiloide y el videoelectroencefalograma de 12 horas demuestra encefalopatía de expresión leve, sin crisis epilépticas; asimismo, se observan movimientos mandibulares que no se correlacionan con actividad epileptiforme en el trazado electroencefalográfico. En la figura anexa al trazado electroencefalográfico se aprecia la contracción mandibular sostenida (figura 2), y, mediante estudios, se descarta el compromiso a nivel del sistema nervioso central, por lo que se indica retiro de tratamiento anticonvulsivante.

Fuente: autores
Figura 2 Trazado de videotelemetría (12 horas) (a), encefalopatía de expresión leve (b). No se registraron crisis convulsivas ni asimetrías, se evidencia artificio muscular por episodios de trismos.
El paciente, durante la estancia en UCI, recibió tratamiento antibiótico de amplio espectro con ampicilina sulbactam, vancomicina y metronidazol, adicionalmente al manejo de las disautonomías y el dolor con analgésicos como hidromorfona y acetaminofén, así como terapia de rehabilitación y traqueostomía temprana. Posteriormente, fue trasladado a hospitalización donde continuó rehabilitación integral, con adecuada tolerancia a la vía oral, evolución satisfactoria y egreso de la institución a los 30 días de su ingreso.
DISCUSIÓN
El diagnóstico de tétanos es clínico, teniendo como base una historia clínica detallada y los hallazgos del examen físico, que en conjunto permiten las herramientas para sospecharlo en pacientes con antecedente de lesión en piel, inmunización inadecuada y datos epidemiológicos específicos. Debido a que no existe una prueba diagnóstica confirmatoria y su amplio espectro clínico, el tétanos puede confundirse con otros tipos de patologías, por lo que en algunos pacientes puede ser un desafío diagnóstico 1.
Existen varios diagnósticos diferenciales, en el caso clínico mencionado su espectro clínico se confunde con las crisis epilépticas, en las cuales la contracción involuntaria de grupos musculares puede semejar la postura tónica característica de las crisis focales o generalizadas; un mayor reto diagnóstico se presenta en la unidad de cuidado intensivo, donde el paciente puede requerir soportes, entre ellos la sedación y la intubación orotraqueal, por lo que otros estudios pueden entrar en consideración, en tanto que la alteración de la conciencia puede explicarse por el uso de estos fármacos sedantes. Otros diagnósticos diferenciales que tener en cuenta son: la distonía inducida por fármacos como metoclopramida o haloperidol, infecciones dentales asociadas con trismo, envenenamiento, síndrome neuroléptico maligno, hasta patologías infecciosas en el sistema nervioso central, como la encefalitis, que pueden debutar con crisis epilépticas y distonías según la localización de la lesión 6-8.
De acuerdo con lo anterior, las crisis convulsivas cuentan con una presentación clínica y semiológica característica, que es diferente a la sintomatología presentada por el paciente, puesto que en las crisis convulsivas puede existir pérdida completa de la conciencia, dependiendo del tipo de crisis, movimientos clónicos de las 4 extremidades o de una extremidad en particular, relajación de esfínteres o mordedura de lengua, y como hallazgo característico la apertura ocular como signo clínico que se presenta en la mayoría de los eventos convulsivos. Estos hallazgos pueden estar presentes según la presentación clínica, adicionalmente, en las crisis epilépticas existe representación en el trazado electroencefalográfico y hay respuesta al tratamiento anticonvulsivante.
En este caso clínico, si bien la postura de contracción generalizada asociada con la alteración del estado de conciencia puede simular una crisis convulsiva, no se completan las características semiológicas propias de las crisis convulsivas. Todo lo anterior se suma a la información registrada en la historia clínica, en la cual la sintomatología se vio precedida por una caída y un trauma craneoencefálico asociado con herida ocular y hallazgos al examen físico de ingreso, en el que se reportó una contracción involuntaria mandibular que progresó y se generalizó. No hubo otros hallazgos clínicos que permitieran sospechar una patología que comprometa el sistema nervioso central, asimismo, la falta de respuesta al tratamiento anticonvulsivante en casos en que no se tiene la posibilidad de instaurar una monitorización electroencefalográfica inmediata, además de estudios como la resonancia magnética cerebral y el líquido cefalorraquídeo normal, sumados a la posterior realización de la videotelemetría, que descarta de manera definitiva la actividad ictal, con el hallazgo de contracciones musculares en región mandibular característicos de esta enfermedad, llevan a descartar la presencia de crisis epilépticas en este paciente 9.
El tratamiento del tétanos se debe hacer en unidad de cuidado intensivo, sus objetivos se encaminan a detener la producción de toxinas por medio del cuidado de heridas, la limpieza, desbridamiento meticuloso y el uso de antibióticos según se requiera 1.
La aplicación de la inmunoglobulina antitetánica debe realizarse tan pronto se considere al tétanos como posibilidad diagnóstica, teniendo en cuenta que se trata de una de las pocas enfermedades que no confieren inmunidad tras la recuperación de la enfermedad aguda; todos los pacientes deben recibir esquema completo de inmunización, comenzando inmediatamente después del diagnóstico 10.
Para el control de los espasmos musculares, los cuales pueden ser potencialmente mortales y causar insuficiencia respiratoria, las benzodiacepinas son la terapia de primera elección. En el control de la disfunción autonómica, el sulfato de magnesio es una opción terapéutica, ya que bloquea la liberación de catecolaminas a nivel neuromuscular presináptico y suprime la hiperactividad autonómica. La monitorización de la vía aérea debe tener lugar en la unidad de cuidado intensivo, ya que en casos severos debe realizarse la intubación orotraqueal, sin embargo, la traqueostomía temprana ha demostrado disminuir los efectos secundarios de la ventilación mecánica prolongada y los riesgos que esto conlleva 11-12.













