Services on Demand
Journal
Article
Indicators
-
Cited by SciELO -
Access statistics
Related links
-
Cited by Google -
Similars in
SciELO -
Similars in Google
Share
CES Odontología
Print version ISSN 0120-971X
CES odontol. vol.26 no.1 Medellìn Jan./June 2013
Queratoquiste odontogénico: Reporte de un caso clínico, seguimiento a 10 años
Odontogenic keratocyst: a 10 year follow-up clinical case report
Gabriel Jaime Atehortua,1 Carolina Jaramillo,1 Julián Andrés Lopera,1 María Vanessa Osorio,1 Pablo Emilio Correa2
1Odontólogo. Universidad CES. E-mail: tortuteo@hotmail.com. carojmontoya@hotmail.com. julianlt27@hotmail.com. vaneo86@hotmail.com.
2Cirujano Maxilofacial. MBA. Docente. Universidad CES. E-mail: pcorrea@ces.edu.co
Recibido: diciembre de 2011. Aprobado: junio de 2013
Resumen
El queratoquiste odontogénico es una patología usualmente asociada con otros quistes como el dentígero, radicular y residual que puede contener células queratinizadas; sin embargo su diferencia radica en su aspecto histológico. Predomina en pacientes entre la segunda y tercera década de vida, con predilección por el sexo masculino. La literatura reporta que el queratoquiste se presenta con mayor frecuencia en la mandíbula casi en una proporción 2:1 afectando el cuerpo y la rama mas a menudo; en el maxilar superior en la zona de molares tiene mayor incidencia. El queratoquiste odontogénico se puede diagnosticar mediante examen clínico y radiográfico, sin embargo el diagnóstico definitivo debe confirmarse con el estudio microscópico de la lesión. Autores dan gran responsabilidad a los residuos de lamina dental en la mandíbula y el maxilar, también se ha discutido su origen por células básales del epitelio bucal superficial. Por otro lado, se trata de una patología de gran recurrencia benigna pero agresiva. Se presenta un caso clínico de queratoquiste odontogénico que compromete rama y cuerpo mandibular derecho en una paciente de 74 años de edad a la cual se realizó marsupialización, curetaje y enucleación de la lesión, el seguimiento realizado fue por 10 años. A pesar de que hubo presencia de recidiva, el resultado final y el contorno facial de la paciente fueron muy buenos.
Palabras clave: Quiste, Curetaje, Mandíbula, Patología y resección.
Abstract
The odontogenic keratocyst is a pathology usually associated with other cysts such as dentigerous, root and residual that may contain keratinized cells, but their difference lies in their histological appearance. It predominates in patients between the second and third decades of life, with a predilection for males. The literature reports that the keratocyst occurs most frequently in the jaw almost 2:1. Affecting more often the body and the rooms, the molar area is more prevalent. The odontogenic keratocyst can be diagnosed by clinical and radiographic examination; however a definitive diagnosis should be confirmed by microscopic examination. The authors give greater responsibility to the dental lamina residues, in the mandible and maxilla; it also discusses its origin by oral epithelial basal cell surface. Furthermore, it is a high recurrent benign pathology but aggressive. We present a case of odontogenic keratocyst in the right mandibular body and ramus, in a female patient of 74 years of age which was performed marsupialization, enucleation and curettage of the lesion. The monitoring was conducted for 10 years. Although recurrence were present, the final result and the patient's facial contours were very good.
Key words: Cyst, curettage, Jaw pathology and resection.
Introducción
El queratoquiste odontogénico fue descrito por Philipsen en 1956, este ocurre entre la segunda y tercera década de la vida con predilección masculina, la mayoría de las lesiones ocurren en la mandíbula, mas comúnmente en el cuerpo posterior y rama ascendente. Radiográficamente se observa una lesión radiolúcida bien definida por bordes radiópacos, multilocular o unilocular como en la mayoría de los casos. Es el segundo quiste odontogénico mas común, con una frecuencia de aparición de 3 a 11%;1 sin embargo en otros estudios Koseoglu y col. (27%) Daley y col. (4.88%) Nakamura y col. (7.7%), Shear (11,2%), Aritoba y col. (26%) y Ledesma-montes y col. (18.8%) muestran variabilidad. Se han publicado tasas de recurrencias entre 0 y 62% dependiendo de la técnica quirúrgica usada y el periodo de seguimiento.2 Con frecuencia los dientes pueden estar desplazados o con reabsorción radicular por la expansión causada por la presión, las superficies mas comúnmente asociadas a este quiste son de 16 a 24 y raramente afecta últimos molares, caninos o laterales superiores. El quiste puede causar atrofia del nervio, aislamiento de vasos, insuficiencia de sangre a la pulpa y finalmente la necrosis. Este tipo de lesión suele ser asintomática y generalmente se detecta durante un análisis radiográfico de rutina.3
El queratoquiste puede ser asociado con el síndrome de carcinoma de células básales nevoides. Histológicamente es caracterizado por la presencia de un epitelio escamoso estratificado con queratina, con una lamina basal prominente de células cuboides y paredes de tejido conectivo libre de infamación, puede ser clasificado como paratoqueratoquiste (72%), ortoqueratoquiste (12%) y ortoparaqueratoquiste (16%). 4
Se presenta alta recurrencia (25% a 62.5%) del queratoquiste, la cual se reduce significativamente al erradicar por completo los restos epiteliales, sin embargo los tratamientos radicales se asocian con numerosas complicaciones incluyendo deformidad facial, pérdida de dientes, infección de hueso transplantado y parestesia de área intervenida.5
La marsupialización y/o enucleación del componente de tejido blando es el tratamiento de elección en la mayoría de los casos. Cuando el quiste compromete porciones significativas de la mandíbula, el tratamiento de elección es la marsupialización para permitir la descompresión y reducción subsecuente, de tal manera que se facilite luego la resección quirúrgica menos agresiva.5,6
El queratoquiste odontogénico puede ser inducido a una trasformación maligna sea, en ameloblastoma o tumor odontogénico escamoso, como fue reportado por Yoo y col.7
Caso clinico
Paciente de sexo femenino de 74 años de edad, que acude a consulta el 20 de febrero de 1995, remitida por presentar hallazgo radiográfico encontrado en examen de rutina. Clínicamente no presenta sintomatología dolorosa, ni asimetría intra o extraoral; Intraoralmente el color y textura de la mucosa son normales; en la radiografía panorámica presenta lesión en cuerpo y rama mandibular derecha que se extiende desde la línea media hasta la coronoides, no se observa presencia de diente incluido asociado a la lesión.(Fotos 1-4).




Se practica punción de la lesión y se obtiene líquido amarillento cristalino compatible con presencia de quiste. Se contempla como opciones de tratamiento: 1. Realizar hemimandibulectomía y reconstrucción con injerto de cresta iliaca. 2. Curetaje y/o marsupialización. El 4 de marzo de 1995, se practica bajo anestesia general curetaje del quiste con abordaje quirúrgico a través del surco yugal derecho para obtener acceso a la lesión quística.
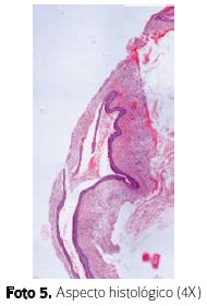
Se encuentra contenido líquido, seroso, gránulos de colesterol y paredes óseas delgadas. Se coloca tubo hemovac para drenaje y se envía muestra a patología. Microscópicamente se observa como una lesión quística revestida por epitelio escamoso estratificado con queratinización y paraqueratosis. La pared, con tejido fibroconectivo, presenta proliferación vascular e infiltrado agudo y crónico y una luz ocupada por queratina. Se establece diagnostico de queratoquiste odontogénico. (Foto 5)

En Julio de 1995 la paciente acude a revisión y en la radiografía panorámica presenta recidiva con lesión de aspecto quística ubicada en rama mandibular cerca de la coronoides.
Se realiza un segundo procedimiento quirúrgico el 29 de julio de 1995 bajo anestesia general, con abordaje extraoral haciendo curetaje del quiste que se extiende hasta la apófisis corónides; el procedimiento se realiza sin complicaciones.
Al mes siguiente se presenta un episodio de agudización con formación de absceso en hemicara derecha el cual se trata con cefalexina y evoluciona favorablemente.
El control radiográfico del 4 de agosto de 1996 muestra buena cicatrización y llenado óseo. Se remite para endodoncia del 47 (Fotos 6 y 7).


Nueve meses después la paciente presenta segundo episodio de agudización, el cual se trata con penicilina procaínica, observándose buena evolución.
En Junio de 1997 acude a nuevo control. En la Radiografía panorámica se observan 4 lagunas quísticas localizadas en rama y cuerpo mandibular. La de mayor tamaño se encuentra adyacente al ápice radicular del 47; en el ápice del 46, se observa otra laguna quística. Entre estas dos se aprecia la tercera zona radiolúcida de menor tamaño; la cuarta se aprecia en la rama mandibular parte anterior (Fotos 8 y 9).


El 14 de junio de 1997 bajo anestesia general se practica resección quirúrgica con abordaje extraoral y curetaje de quistes en zona intermedia de rama mandibular; con abordaje intraoral se practica curetaje de quiste en cuerpo mandibular.
El 14 de noviembre de 2000 se toma radiografía panorámica de seguimiento donde se observa zona radiolúcida en apical del 48, la cual se deja en observación; sin embargo un año más tarde se observa recidiva en distal y apical del 47, presentando 2 zonas radiolucidas las cuales se curetean bajo anestesia general.
La paciente continúa en seguimiento hasta Febrero de 2008, sin presentar secuelas, deformaciones ni cicatrices faciales. La función masticatoria se ha preservado, el contorno y la simetría facial son adecuadas. (Fotos 10, 11 y 12)



Discusión
Los quistes odontogénicos son lesiones epiteliales caracterizadas por crecimiento lento y tendencia a la expansión; si no se diagnostica a tiempo y no son tratados adecuadamente, pueden generar alteraciones en la cavidad oral aunque no sean clínicamente visibles.8
El caso clínico estudiado muestra la presencia de un queratoquiste odontogénico, no asociado a un diente, en una paciente que se encuentra en la séptima década de la vida, lo cual es inusual para el rango de edad.
La recidiva presentada por el quiste en este caso coincide con el estudio de keratoquiste odontogénico una revisión de 256 casos de recurrencia y parámetros clinicopatologicos, donde se muestra que el quiste de mayor recurrencia en los dos maxilares presentan un porcentaje de 58.3% y el 11,7% con dos o mas recurrencias, y al dividir los maxilares en 6 regiones iguales, se encontró que la zona molar mandibular fue la que presentó una mayor recidiva, con un 70%, coincidiendo esto con el presente caso.9
El epitelio residual fue asociado con el nuevo desarrollo del quiste (8.7%), este cambio parece ser gradual y se observa trasformación en algunas regiones y en otras no, siendo esta la causa mas probable de la multilocularidad de los quistes recurrentes.10 Para el caso del queratoquiste reportado se observa la multilocularidad en sus recidivas, dando origen a nuevas patologías en un lugar cercano al inicial.
El tratamiento puede ser diverso, existen varias opciones que incluyen marzupilalización, enucleación, irrigación y extirpación; Brondum y Jensen reportaron por primera vez queratoquistes tratados con descompresión e irrigación que no recidivaron, realizando un seguimiento de 7 a 17 años en doce pacientes con queratoquiste de gran tamaño.10 Fue diferente el desarrollo del caso presentado, ya que presentó recidiva en 2 ocasiones durante el seguimiento de 10 años visible en las radiografías panorámicas de evolución. El tamaño del quiste inicial era considerable.
Conclusión
Se destaca el manejo conservador que se le dio al caso, a petición de la paciente, pues no deseaba someterse a la resección quirúrgica en bloque, con reconstrucción mandibular a través de injerto óseo de cresta ilíaca. Se realiza marsupialización y curetaje del queratoquiste inicial, y curetaje de las lagunas quísticas en segundas intervenciones quirúrgicas. A pesar de las reintervenciones que fueron necesarias, el resultado final luego de 10 años de evolución fue muy bueno.
Referencias
1. Chirapathomsakul D, Sastravaha P, Jansisyanont P. A review of odontogenic keratocyst and the behavior of recurrences. Oral surgery, oral medicine, oral pathology, oral radiology, and endodontology 2006, Vol 101 N°1, 5- 9. [ Links ]
2. Gurkan B, Atalay B, Ali Erdem M. Odonotogenic cyst: a clinical study of 90 cases. Journal of oral science 2004; Vol 46 N°4, 253- 257. [ Links ]
3. Varinauskas V, Gervickas A, Kavoliuniene O. Analysis of odontogénico cyst of the jaws. Medicina (Kaunas) 2006; 42 (3): 201- 207. [ Links ]
4. Meningaud J P, Oprean N, Pitak-Arnnop P, Bertrand J C. Odontogenic Cyist: a clinical study of 695 cases. Journal of Science. May 2006; 48(2): 59-62. [ Links ]
5. Nakamura N, Mitsuyasu T, Mistsuyasu Y, Taketomi T, Hisguchi Y, Ohishi M. Marsupialization for odontogenic keratocysts: long-term follow_up análisis of the effects and changes in growth characteristics. Oral surgery, oral medicine, oral pathology 2002, Vol 94 N° 94, 543- 553. [ Links ]
6. Mendes R, Van Der Waal I. An unusual Clinicoradiographic presentation of a lateral periodontal cyst- report of two cases. Med oral patol oral Cir bucal 2006; 11: E 185- 7. [ Links ]
7. Yoon J H, Ahn S G, Kim S G, Kin J. An unusual odontogenic cyst with diverse histologic features. Yonsei Medical Journal. 2006; 47 (1): 122- 125. [ Links ]
8. Ochsenius G, Escobar E, Godoy L, Peñafiel C. Odontogenic cysts: Análisis of 2.944 cases in chile. Med Oral Patol Oral Cir Bucal. 2007; 12: 85-91. [ Links ]
9. Myoung H, Hong S, Hong S D, Lee J, lim C, Choung P, Lee JH, Choi J, Seo B, Kim M. Odontogenic keratocyst: review of 256 cases for recurrence and clicicopathologic parameters. Oral Surg Oral Med Oral Pathol Oral Radiol Endod. 2001 Mar; 91(3):328-33. [ Links ]











