Services on Demand
Journal
Article
Indicators
-
Cited by SciELO -
Access statistics
Related links
Cited by Google -
Similars in
SciELO
Similars in Google
Share
Revista colombiana de Gastroenterología
Print version ISSN 0120-9957On-line version ISSN 2500-7440
Rev Col Gastroenterol vol.18 no.1 Bogotá Jan./Mar. 2003
Colección grasa yuxtacava: variante anatómica que simula un tumor graso. Diagnóstico con TAC
Carlos E. Triana (1), Octavio Segura (2), Antonio Suárez (3)
(1) MD, Imágenes Santa Bárbara, E-mail: imagenesb@hotmail.com
(2) MD, Clínica Santa bibiana
(3) MD. Epsiclínicas, Bogotá, D., C.
Resumen
Uno de los grandes beneficios que ofrece la tomografía axial computarizada (TAC) es el de poder medir y cuantificar las densidades de las diferentes estructuras corporales, con una gran susceptibilidad para determinar los coeficientes grasos, que se caracteriza por presentar valores de -30 a - 150 unidades Hounsfield (UH). Otro gran aporte que ofrece la tomografía es que permite un detalle anatómico óptimo en los cortes axiales incluyendo las estructuras vasculares y otras estructuras viscerales lo que facilita realizar diagnósticos no invasivos de patología de la vena cava inferior (VCI).
Presentamos un caso de un paciente con esta variante anatómica, constituida por una colección grasa yuxtacava que no requirió otros estudios ya que fue diagnosticada con la tomografía axial.Palabras claves: grasa, lipoma, lipomatosis, variantes anatómicas en VCI, VCI en TAC, anormalidades en TAC.
Summary
A great benefit of CT is the possibility to measure body cissues density, specially to detect fact coefficients, given values between - 30 to 150 Hounsfields units. Other CT property is the optimal anatomic detail in transaxial slices, including vascular structures,which leads to diagnose non invasive pathology of inferior vena cava.
Paciente masculino de 64 años natural y procedente de Bogotá quien consultó por dolor abdominal difuso de 6 meses de evolución con estudio ecográfico normal. Antecedentes familiares: padre con cardiopatía isquémica y madre con antecedente de carcinoma de mama. No tenía antecedentes quirúrgicos y patológicos importantes, únicamente otitis media bilateral con tratamientos médicos. Ante la sintomatología abdominal no aclarada y persistencia de los síntomas, se solicitó tomografía axial abdominal (TAC) abdominal. Todos los exámenes para-clínicos fueron normales. En la exploración física lo único llamativo fue una ligera hipertensión arterial sistémica de 160/90 y dolor a la palpación profunda en epigastrio. A la palpación abdominal no se encontraron lesiones o masa intra-abdominales.
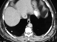
En las radiografías anteriores de tórax y abdomen simple así como en otros estudios de radiología no se observaron anormalidades. El médico tratante internista solicitó TAC abdominal en donde se demostró un defecto de llenado de la vena cava intra-hepática, el cual se identificó en varios cortes continuos, imagen persistente (Figura 1, 2).
Figura 1. Corte axial en hígado con defecto hipodenso en VCI. Hígado de aspecto normal.
Figura 2. Magnificación del corte en la figura 1. Imagen sospecha de trombo en VCI.
Se cuantificaron los coeficientes de absorción dentro de la lesión y se demostró que tenía unos coeficientes grasos -117 UH. (Figura 3). Con estos resultados se confirmó el diagnóstico de una variante anatómica consistente en colección grasa yuxta-cava. No se encontraron anomalías viscerales en el estudio realizado, con cambios degenerativos a nivel lumbo-sacro. No se efectuaron otros estudios adicionales y no hubo necesidad de otros exámenes complementarios como Doppler color o cavografía. (Figura 4)
Discusión
En algunos pacientes el tejido graso que rodea la vena cava inferior (VCI) en el segmento infra- diafragmático, principalmente en el segmento intra-cavo, puede ser abundante y prominente en forma ovoide o en forma de pedículo, que puede simular una masa intra-vascular y se considera actualmente como una variante anatómica asintomática no relacionada con patología vascular. Generalmente, este hallazgo es accidental y simula una masa grasa intra cava que usualmente está localizada en la región cefálica, en la confluencia de las venas suprahepáticas (1-3).
En los estudios axiales realizados por tomografía se puede observar una lesión que se caracteriza por un defecto de llenado de la vena cava inferior de aspecto oval o redondo, usualmente menor de 23 mm, con coeficientes grasos característicos y que generalmente no se visualiza con la administración de contraste intravenoso (IV). Es de gran utilidad en algunos casos realizar reconstrucciones coronales para obtener un mejor detalle anatómico. Este hallazgo se puede identificar por ultrasonido (3-5).
En 1992 Miyake et al, (1) describieron los hallazgos de una colección grasa focal en la vena cava inferior intrahepática, al parecer de la grasa del esófago subdiafragmático. En la revisión realizada con 2.227 estudios de TAC en pacientes estudiados por otras patologías, se observó este hallazgo en 14 estudios equivalentes a 0,5%. Hay algunos reportes que describen este mismo hallazgo con TAC helicoidal, así como también con resonancia magnética (RM), que tiene como ventajas el poder obtener imágenes coronales y sagitales, lo cual facilita una mejor panorámica anatómica (3).
En el caso que se describe no había patología hepática relacionada con el hallazgo incidental, igual como se describe en otras series en donde no se ha demostrado enfermedad hepática relacionada con este hallazgo; sin embargo, hay algunos casos descritos en pacientes con hepatopatías crónicas, que se han considerado como una variante anatómica no relacionada con patología hepática. No se ha logrado demostrar relación alguna con estados de obesidad mórbida ni con signos o síntomas relacionados a la colección grasa (2,4,5).
La importancia de reconocer este hallazgo o variación anatómica radica en la dificultad que puede ofrecer en el diagnóstico diferencial en pacientes que presentan coagulopatías o antecedentes oncológicos, en donde puede simular por su localización intra-vascular, lesiones trombóticas o trombos flotantes dentro de la vena cava inferior, las cuales tienen unas implicaciones terapéuticas complejas y diferentes.
Entre las posibilidades diagnósticas diferenciales, además de los trombos murales de la VCI, son los tumores primarios de la vena cava principalmente leiomiosarcomas, leiomiomas, tumores inusuales. En algunos pacientes con procesos neoformativos renales y de glándulas supra-renales pueden tener extensión tumoral intravascular principalmente los hipernefromas. Dichas lesiones intravasculares tienen densidades de tejido blando a diferencia de estas colecciones grasas que tienen coeficientes de grasa. Otro diagnóstico diferencial que se debe incluir es un caso exótico reportado de un angiomiolipoma con extensión intra-vascular en vena cava inferior en un paciente con esclerosis tuberosa. No se han descrito en la literatura inglesa casos de lipomas o lipos sarcomas de vena cava inferior (1,3,5).
En presencia de una lesión que se manifieste por un defecto de llenado intra-vascular en el segmento sub-diafragmático de la vena cava inferior con coeficientes de densidad grasa, la primera opción diagnóstica es de colección grasa yuxta-cava y no requiere de otros procedimientos adicionales. Por esto, es de gran importancia la TAC el cual los permite realizar el diagnóstico sin necesidad de procedimientos invasivos.
Conclusión
Se presenta un caso de colección grasa yuxtacava en el segmento intrahepático de la vena cava inferior como una variante anatómica no sintomática que requiere diagnóstico diferencial fundamentalmente con lesiones trombóticas murales de la vena cava inferior los cuales tienen unas implicaciones terapéuticas diferentes. Esta es una variante anatómica en donde la TAC es confirmatorio del diagnóstico.
Referencias
1. Miyake H, Suzuki K, Ueda S, Yamada Y, Takesha H, Mori H. Localized fat collection adjacent to the intrahepatic portion of the inferior vena cava. A normal variant on CT. AJR 1992; 158: 423-425. [ Links ]
2. Sheafor DH, Foti TM, Vaslef SN, Nelson RC, et al. Fat in the inferior vena cava associated with caval injury. AJR 1998; 171: 181-182. [ Links ]
3. Han BK, Im JG, Jung JW, Ching MJ, Yeon KM. Pericaval fat collection that mimics thrombosis of the inferior vena cava: demostration with use of multi-directional reformation CT. Radiology 1997:203;105-108. [ Links ]
4. Hines J, Katz DS, Goffner L, Rubin GD. Fat collection related to the intrahepatic inferior vena cava on CT. AJR 1999;172:409-411. [ Links ]
5. Raju NL, Austin JHM. Case 37: Juxtacaval fat collection- Mimic of lipoma in the subdiafragmatic inferior vena cava. Radiology 2001; 220:471-474. [ Links ]
















