Services on Demand
Journal
Article
Indicators
-
Cited by SciELO -
Access statistics
Related links
-
Cited by Google -
Similars in
SciELO -
Similars in Google
Share
Revista colombiana de Gastroenterología
Print version ISSN 0120-9957On-line version ISSN 2500-7440
Rev Col Gastroenterol vol.25 no.3 Bogotá July/Sept. 2010
Tumor sólido quístico pseudopapilar del páncreas. Reporte del primer caso en Cuba
Rafael Pila Pérez, MD (1), Pedro Rosales Torres, MD (2), Rafael Pila Peláez MD (3), Víctor A. Holguín Prieto MD (4), Etelívar Torres Vargas (5)
(1) Especialista de II grado en Medicina Interna. Profesor Titular y Consultante. Hospital Universitario "Manuel Ascunce Domenech". Camagüey. Cuba.
(2) Especialista de I grado en Anatomía Patológica. Profesor Instructor. Hospital Universitario "Manuel Ascunce Domenech". Camagüey. Cuba.
(3) Especialista de II grado en Medicina Interna. Profesor Asistente. Hospital Universitario "Manuel Ascunce Domenech". Camagüey. Cuba.
(4) Residente de III año en Medicina Interna. Hospital Universitario "Manuel Ascunce Domenech". Camagüey. Cuba.
(5) Residente de I año en Medicina Interna. Hospital Universitario "Manuel Ascunce Domenech". Camagüey. Cuba
Fecha recibido: 18-03-10 Fecha aceptado: 10-08-10
Resumen
Se presenta el caso de una paciente de 21 años de edad, portadora de un tumor sólido quístico pseudopapilar del páncreas. Se hace una revisión de los aspectos clínicos, diagnósticos y terapéuticos de esta rara neoplasia; al mismo tiempo, se hace énfasis en la anatomía patológica y en su diagnóstico diferencial. Esta es una entidad propia de mujeres jóvenes, sin embargo, en la actualidad ha incrementado su frecuencia, con variación en los aspectos clásicos del comportamiento clínico.
Palabras clave
Tumor sólido quístico pseudopapilar, neoplasias quísticas del páncreas, aspectos clínicos.
INTRODUCCION
La patología tumoral pancreática representa la cuarta causa general de muerte por cáncer y la segunda después del cáncer colorrectal entre los tumores digestivos (1). El adenocarcinoma ductal constituye el 90% de todos los tumores de dicho órgano y el 10% restante, los tumores endocrinos y los tumores quísticos del páncreas, pequeño grupo con identidad propia y tradicionalmente "olvidados" (2). Las neoplasias quísticas del páncreas (NQP) son procesos raros, ya que solo representan el 10-15% de todas las lesiones quísticas del páncreas y el 1% de las neoplasias benignas o malignas de dicha glándula (3).
Según la OMS (4), las NQP se clasifican en primarias y secundarias. Dentro de las primarias se encuentran las exocrinas. Entre las exocrinas, las más importantes son las benignas, las "borderline" y las malignas. Dentro de los tumores exocrinos "borderline", llamados así por tener cierto potencial maligno, existen a su vez dos variedades fundamentales: el tumor mucinoso papilar intraductal y el tumor sólido pseudopapilar (4); este último tiene una gran variedad de nombres, recibiendo también el epónimo de tumor de "Frantz", ya que el primer reporte de esta entidad fue realizado por este investigador en 1959, quien le llamó tumor papilar benigno o maligno del páncreas y estableció que su diagnóstico sería realizado fundamentalmente por el patólogo (5).
El motivo de este trabajo es la presentación de una paciente con una NQP, la cual constituye el primer reporte en nuestro país.
PRESENTACION DEL CASO
Paciente del sexo femenino, de 21 años de edad, sin antecedentes patológicos personales o familiares de interés, que refiere que desde hace aproximadamente tres años comenzó a presentar dolor en la región superior del abdomen, acompañado de dispepsia e intolerancia a variados alimentos, por lo cual acudió en este periodo a diferentes facultativos, llevando a cabo múltiples tratamientos sin obtener mejoría. El dolor fue incrementándose progresivamente, por lo que el año pasado acudió al servicio de urgencias con el fin de aliviarlo. Hace 6 meses se realizan investigaciones y recibe nuevamente atención médica manteniéndose en el mismo estado. Desde hace más o menos 30 días comienza a presentar intenso dolor en epigastrio e hipocondrio derecho, acompañado de náuseas, vómitos, astenia e ictericia, por lo que la paciente es ingresada para estudio.
Examen físico
Afectación del estado general, piel y mucosas ictéricas con ligeros signos de deshidratación.
Aparato cardiorrespiratorio: Normal. Frecuencia respiratoria: 18 resp/min. TA: 130/70 mm Hg. Frecuencia cardíaca central: 84 lat/min. Abdomen: Dolor en epigastrio e hipocondrio derecho, en donde se palpa una masa de aproximadamente 10 cm, circunscrita, fija, de contornos algo irregulares. No se detectan otras tumoraciones ni signos de hipertensión portal o de insuficiencia hepática. Tacto rectal y vaginal: Sin alteraciones. El resto del examen físico por aparatos y sistemas es normal.
Estudio analítico y evolución
Hemoglobina, hematocrito, conteo de plaquetas y conteo de leucocitos con fórmula diferencial: todos dentro de límites normales; eritrosedimentación: 61 mm/1ª h. Glucemia, creatinina sérica, lipidograma, ácido úrico e iones: todos normales. Bilirrubina total: 45 μmol/L (N<17 μmol/L), bilirrubina directa: 36 μmol/L (N<3 μmol/L), TGP (ALT): 82 U/L (N<31 U/L), GGT: 41 U/L (N: 7-32 U/L), LDH: 280 U/L (N: 230-460 U/L), fosfatasa alcalina: 139 U/L (N: 39-112 U/L), amilasa sérica: 280 U/L (N<220 U/L). Tiempo de coagulación, sangrado y protrombina: todos normales. Alfafetoproteína: dentro de la normalidad.
Ags HVB y anticuerpos contra el virus de hepatitis C: negativos. Frotis yeyunal y drenaje biliar en busca de parásitos: negativos.
Electrocardiograma: taquicardia sinusal. Radiografía de tórax: Normal. Ultrasonografía abdominal: Hígado normal, vesícula de paredes finas, sin litiasis. Se observa imagen de densidad mixta, bien definida, de cápsula gruesa, de 103 x 94 mm. Tomografía axial computarizada (TAC) de abdomen: Hígado de densidad homogénea. Existe imagen de densidad mixta con cápsula gruesa, de 106 x 92 mm, con zonas hiperdensas en su interior, en proyección de la cabeza pancreática, conducto pancreático dilatado de 6 mm. No se aprecian modificaciones después de la administración de contraste endovenoso. Colangiopancreatografía retrógrada endoscópica (CPRE): No se pudo realizar ante falta de cooperación de la paciente. Biopsia por aspiración con aguja fina (BAAF) guiada por ultrasonografía: Se observa un extendido con marcada celularidad, con células de pequeño a mediano tamaño, poligonales y elongadas, con núcleos ovoides, a veces indentados; nucléolo inconspicuo y citoplasma claro, escaso y eosinófilo. Las células forman un patrón discohesivo, a veces con pequeñas micropapilas o pseudopapilas. Se informa como compatible con una neoplasia epitelial de bajo grado. Se sugiere biopsia.
La paciente fue sometida a cirugía, y se le practicó una pancreatoduodenectomía en la que se encontró una tumoración de 10 x 9 cm, bien delimitada, encapsulada, de consistencia blanda, con superficie abigarrada por la presencia de zonas de hemorragia y necrosis, con áreas quísticas y parches amarillentos. El extendido o raspado citológico transoperatorio y el estudio histopatológico posterior informaron la presencia de una neoplasia epitelial sólida quística del páncreas (figuras 1, 2, 3, 4, 5, 6).
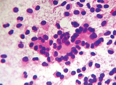
Figura 1. Citología a un lente de menor aumento. Obsérvese un extendido muy celular con células de pequeño a mediano tamaño, con núcleos ovoides, nucléolo inconspicuo y citoplasma ligeramente eosinófilo (H/E 10x).
Figura 2. Extendido citológico anterior a un lente de mayor aumento, mostrando una disposición celular pseudorocetoide o pseudopapilar con escasas mitosis (H/E 40x).
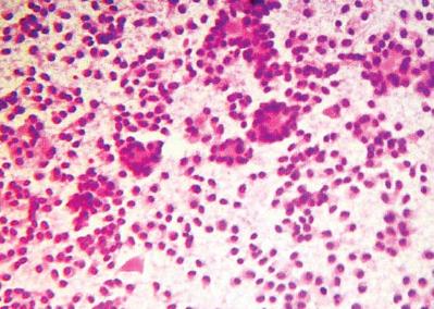
Figura 3. Citología de otros campos del extendido donde se aprecian la formación de papilas y la gran celularidad (H/E 10X).
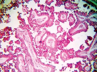
Figura 4. Microfotografía de una de las áreas de la tumoración. Obsérvese la formación de estructuras pseudopapilares (H/E 20x).
Figura 5. Imagen a gran aumento mostrando las estructuras pseudopapilares con un soporte vascular fino y un tejido conectivo central mixoide (H/E 40x).
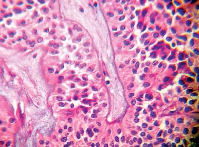
Figura 6.Histología a gran aumento de un área sólida. Obsérvese la gran celularidad y las estructuras trabeculadas (H/E 40x)
La paciente fue dada de alta hospitalaria a los 30 días de su operación, con buen estado de salud, y es asistida en estos momentos en la consulta de Medicina Interna, encontrándose clínicamente bien, después de 10 meses de seguimiento. Hasta el momento, los controles mediante exámenes de laboratorio y de imagenología son todos normales.
DISCUSION
Desde 1959 al 2005 solamente se han reportado 157 casos de este tipo de tumor, por lo que se considera una entidad poco frecuente, constituyendo el 0,2-2,7% de los tumores exocrinos del páncreas (6). El caso que exponemos en este trabajo es el primero reportado en nuestro país.
Esta entidad afecta casi exclusivamente a adolescentes y mujeres jóvenes (95%), con una edad promedio de 20 años (rango de 2-47 años); más del 50% ocurre en mujeres de 20 años de edad (2, 3), aunque algunos autores (7) señalan la entidad en hombres mayores de 50 años, sin embargo estas son casuísticas con pequeño número de casos.
La relación para esta entidad entre mujeres y hombres es de 13:1, con una edad promedio de 27 años (6), y aunque se ha diagnosticado en todas los colores de piel, algunos investigadores (7) han señalado predilección por los pacientes negros. Nuestra paciente era una mujer blanca de 21 años de edad.
Existen síntomas poco definidos que pueden durar varios años, como es el caso del dolor, el cual puede localizarse en el epigastrio o en cualquier sitio del abdomen y se presenta en el 25% de los casos; un 10% de los pacientes son asintomáticos, pero en el 60% de ellos puede evidenciarse una masa palpable (3, 7). El crecimiento de este tipo de tumores es lento; la ictericia y la obstrucción biliar son raras, haciéndose evidentes en las localizaciones cefálicas de la tumoración (3, 8). Todas estas alteraciones fueron encontradas en nuestra paciente.
Esta neoplasia se presenta como quiste, que suele medir entre 2-20 cm, con un promedio de 10 cm, localizado más frecuentemente en la cabeza del páncreas en el 30-40%, seguido en orden de frecuencia por la cola y más raramente se halla en el cuerpo (2, 3, 5, 7); el caso que nos ocupa estaba situado en la porción cefálica de la glándula.
Pueden ocurrir complicaciones como la ruptura espontánea del tumor, hemoperitoneo, y en ocasiones se halla un tumor irresecable con múltiples metástasis (2).
El estudio analítico de estos pacientes no es de gran significación (6), como lo pudimos comprobar con nuestra paciente; mientras que los estudios de radiología, ultrasonografía, y la TAC demuestran más frecuentemente una masa con patrón quístico antes que un tumor sólido, debido a la presencia de hemorragias y necrosis, incluso con la existencia de una cápsula gruesa (8, 9). Esta neoplasia puede observarse como un tumor quístico único o multiloculado, indistinguible de cualquier masa quística en los estudios radiológicos (10). Los estudios imagenológicos de nuestra enferma fueron compatibles con un patrón de tipo multiloculado.
El estudio citológico mediante punción aspirativa con aguja fina puede ser muy importante, pero sobre todo si se indica al citopatólogo la sospecha de este tumor (11). En nuestro caso no fue así, pues carecíamos de la experiencia en este tipo de tumores. El frotis puede ser altamente celular, con una población monótona de pequeñas células epiteliales que se presentan aisladas o en acúmulos, con pequeñas estructuras papilares; con núcleo redondeado u oval, con caracteres de buena diferenciación y a veces un pequeño nucléolo (2, 6, 11), tal como lo pudimos observar en el estudio practicado a nuestra enferma.
Estos tumores son bien delimitados y pueden presentar áreas sólidas, quísticas y papilares, con o sin focos necróticos o hemorrágicos; cuando estos son grandes se asemejan a los pseudoquistes (3, 9); esta neoplasia debe su nombre al aspecto microscópico (5-7), lo cual se pudo apreciar en nuestro caso.
El diagnóstico diferencial fundamental incluye las lesiones sólidas y quísticas del páncreas, tales como el carcinoma de células acinares, el carcinoma no funcionante de islotes celulares, el cistadenocarcinoma, los tumores vasculares y el pancreatoblastoma (3).
En general, la resección es el mejor tratamiento de los tumores quísticos del páncreas y los procedimientos de drenaje son inadecuados (1, 3).
Los tumores pancreáticos de cola y cuerpo son resecables mediante una pancreatectomía parcial o distal con esplenectomía; mientras que en los de la cabeza se realiza pancreatoduodenectomía (1, 3), tal y como se practicó en nuestra enferma.
Los pocos casos tratados con radioterapia y quimioterapia han presentado recurrencias en un tiempo de cuatro años posterior al diagnóstico (6, 7, 12). La enucleación en lugar de una resección constituye un tema de controversia en la actualidad (12).
La curación por cirugía ocurre en un 95-96% de los casos y en el momento actual se estima que puede haber metástasis en el 6% y muerte en el 4% (6).
Concluimos que esta neoplasia es de bajo grado de malignidad en el límite con las benignas (borderline), requiriendo estudios más amplios para definir su potencial agresivo.
REFERENCIAS
1. Traversa L, Peralta E, Ryan J, Kozareck R. Intraductal neoplasms of the pancreas. Am J Surg. 1998; 175: 426-32. [ Links ]
2. Matsunou H, Komishi F. Papillary-cystic neoplasm of the pancreas: a clinicopathologic study concerning the tumor aging and malignancy in nine cases. Cancer. 1990; 65: 283-91. [ Links ]
3. Hurtado Andrade H, Cortés Espinosa T. Tumores quísticos del páncreas. Rev Gastroenterol Mex. 1997; 62: 218-26. [ Links ]
4. Klöpel G, Solcia E, Longnecker D. Capella C, Sobin H. Histological typing of tumors of exocrine pancreas. New York: Springer Berlin, Heidelberg; 1996, p. 131. [ Links ]
5. Frantz VK. Papillary tumors of the pancreas: benign or malignant tumors of the pancreas. In: Frantz UK (ed). Atlas of tumor pathology. 1st series, Fascicles 27 and 28. Washington DC: Armed Forces Institute of Pathology; 1959, p. 32-33. [ Links ] 6. Carrión Calderón M. Neoplasia epitelial sólida quística y papilar del páncreas. Presentación de un caso y revisión de la literatura. La Habana: VI Congreso Virtual Hispanoamericano de Anatomía Patológica; 2005. [ Links ] 7. Giles Lima M, Travado Soria P, Cabrera Pérez R, Espino D, Díaz Lagama A, Marcilla Plaza D, et al. Tumor sólido pseudopapilar de páncreas. Presentación de cuatro casos. Madrid: V Congreso Virtual Hispanoamericano de Anatomía Patológica; 2002. [ Links ] 8. Curry C, Eng J, Horton K, Urban B, Siegelman S, Kusky B, et al. CT of primary cystic pancreatic neoplasm: can CT be used for patient triage and treatment? Am J Roentgenol 2000; 175: 99-103. [ Links ] 9. Procacci C, Biasiutti C, Carbognin G, Accordini S, Bicego E, Guairise A, et al: Characterization of cystic tumors of the pancreas: CT accuracy. J Comput Assisted Tomogr 1999; 23: 906-12. [ Links ] 10. Lewandrowsku K, Lee J, Southern J, Centeno B, Warhaw A. Cyst fluid analysis in the differential diagnosis of the pancreatic cysts: a new approach to the preoperative assesment of pancreatic cystic lesions. Am J Roentgenol 1995; 164: 815-9. [ Links ] 11. Pelosi G, Iannucci A, Zamboni G. Solid and cystic papillary neoplasm of the pancreas: a clinico-cytopathologic and immunohistochemical study of five cases diagnoses by fine needle aspiration cytology and review of the literature. Diagn Cytopathol 1995; 13: 233-46. [ Links ] 12. Klustra D, Brennan M, Coulon M, Martin R. Solid pseudopapillary tumor of the pancreas: A surgical enigma. Surgical Oncology 1999; 1: 35-40. [ Links ]










text in 


