Services on Demand
Journal
Article
Indicators
-
Cited by SciELO -
Access statistics
Related links
-
Cited by Google -
Similars in
SciELO -
Similars in Google
Share
Revista colombiana de Gastroenterología
Print version ISSN 0120-9957On-line version ISSN 2500-7440
Rev Col Gastroenterol vol.26 no.4 Bogotá Oct./Dec. 2011
Tumor del estroma gastrointestinal gástrico con metástasis inusual al cráneo
Alfredo Ernesto Romero Rojas, MD (1), Oscar Alberto Mesa Botero, MD (1), Mario Alexander Melo Uribe, MD (2), Sandra Isabel Chinchilla Olaya, MD (1), Paula Alejandra Barajas Solano, MD (2)
(1) Grupo de Patología del Instituto Nacional de Cancerología INC, Bogotá, Colombia.
(2) Grupo Patología Estructural Funcional y Clínica de la Universidad Industrial de Santander PATUIS, Bucaramanga, Colombia.
Fecha recibido: 16-05-11 Fecha aceptado: 11-10-11
Resumen
Los tumores del estroma gastrointestinal GIST, se originan en la pared del tracto digestivo desde el esófago al ano. Aproximadamente 25% de los GIST gástricos son clínicamente malignos y desarrollan metástasis principalmente al hígado, menos comúnmente a tejidos blandos y hueso. Se presenta el caso de un paciente con GIST gástrico y metástasis al hígado e inusualmente al cráneo.
Palabras clave
Tumores del estroma gastrointestinal, neoplasias craneales, inmunohistoquímica.
INTRODUCCION
Los tumores del estroma gastrointestinal (GIST), se originan en la pared del tracto digestivo desde el esófago al ano y se derivan de las células intersticiales de Cajal, es decir, la célula marcapaso gastrointestinal del plexo de Auerbach (1).
Los GIST fueron descritos por primera vez por Martin y Stout (2) quienes publicaron varios casos de tumores del estómago formados por células epitelioides redondeadas. Stout acuñó el término de "leiomioblastoma" para estas lesiones con la creencia de que eran tumores primitivos del músculo liso. En 1983 Mazur y Clark documentaron la ausencia de marcadores musculares en la mayoría de estas lesiones y el hallazgo inesperado de marcadores neurales detectados con técnicas de inmunohistoquímica y propusieron el término de "tumor estromal" modificado posteriormente a tumor del estroma gastrointestinal (3). En 1998, Hirota y colaboradores observaron que para el desarrollo normal de las células intersticiales de Cajal era necesaria la presencia del protooncogen c-KIT, un receptor de tirosina cinasa III; la pérdida de este gen se traducía en la ausencia de estas células y las mutaciones en el mismo podrían estar en relación con la formación de este tipo de neoplasias (4).
Los GIST constituyen el tumor mesenquimal más común del tracto gastrointestinal. Afectan principalmente a adultos con una media de edad entre 55 y 60 años y menos frecuentemente a niños en la segunda década (< 1%). Se localizan preferentemente en el estómago, 60%, 35% en el intestino delgado y menos del 5% en el recto, esófago, mesenterio y omento (1). Aproximadamente, 25% de los GIST gástricos y 50% de los GIST del intestino delgado son clínicamente malignos y desarrollan metástasis principalmente en la cavidad abdominal e hígado, menos comúnmente a tejidos blandos, piel, ganglios linfáticos, pulmón y hueso. El compromiso metastásico del cráneo es muy infrecuente y en nuestra búsqueda documentamos un solo caso (5).
A continuación se describe el caso clínico de un paciente con diagnóstico histopatológico e inmunohistoquímico de GIST gástrico y compromiso metastásico muy inusual al cráneo.
MATERIALES Y METODOS
Caso clínico
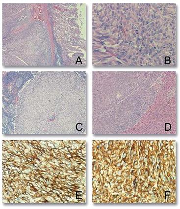
Hombre adulto de 38 años con diagnóstico endoscópico de una masa neoplásica de 6 centímetros localizada en el cuerpo gástrico. Se realizó una biopsia de la lesión cuyo resultado fue GIST de alto riesgo. Posteriormente se realizó una tomografía computarizada que mostraba un nódulo hepático y aumento de tamaño de los ganglios linfáticos perigástricos. Se le practicó una gastrectomía parcial paliativa, con estudio histopatológico definitivo que determinó igualmente un GIST de alto riesgo con compromiso metastásico a un ganglio linfático y al hígado. El análisis de inmunohistoquímica fue el siguiente: CD117 (c-KIT), CD34 y actina de músculo liso positivos, con un Ki67 del 15%; negatividad para S-100 y desmina. Los márgenes de sección fueron negativos (figura 1).
Figura 1. GIST gástrico de alto riesgo. Tumor hipercelular constituido por células fusiformes (H&E10X) (A), con actividad mitótica alta (H&E40X) (B), metástasis a ganglio linfático (H&E10X) (C) y metástasis hepática (H&E10X) (D). Positividad intensa para CD117 (c-KIT) (20X) (E) y positividad para CD34 (20X) (F).
Posterior a la cirugía, el paciente no se realiza ningún tratamiento. Veintiocho meses después, presenta crecimiento progresivo de masa en región frontoparietal izquierda del cráneo. En la tomografía de cráneo se observa una masa de aspecto neoplásico a nivel de la calota que compromete el hueso frontal y parietal izquierdo, con signos de edema del parénquima cerebral ipsilateral de 10 x 6 x 8 cm de diámetro. La resonancia magnética evidenció áreas hiperintensas e hipointensas, sugiriendo sangrado y calcificaciones. En la gamagrafía ósea se halló una lesión hipercaptante localizada en la región parieto-temporal izquierda sin otras lesiones óseas metastásicas. La tomografía de abdomen mostró hígado aumentado de tamaño con presencia de múltiples lesiones metastásicas que reemplazan casi la totalidad del parénquima, sin evidencia de tumor residual en el área quirúrgica previa (figura 2).
Figura 2. Imagen de masa en región fronto-parietal izquierda (A). Resonancia magnética, en T1 y T2 se observa lesión heterogénea, con áreas hiperintensas e hipointensas, sugiriendo sangrado y calcificaciones (B y C). Tomografía de abdomen en la cual se identifica hígado aumentado de tamaño con presencia de múltiples lesiones metastásicas que reemplazan la casi totalidad del parénquima, sin evidencia de tumor residual en el área quirúrgica previa (D).
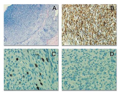
Figura 3. GIST metastásico a cráneo. Obsérvese imagen de tumor de células fusiformes hipercelular (H&E10X) (A), con positividad intensa para CD117 (c-KIT) (20X) (B), expresión elevada de Ki67 (40X) (C) y negatividad para citoqueratinas (20X) (D).
Se toma una biopsia de la lesión en cráneo y el examen patológico evidenció compromiso por un tumor de características histológicas similares a las de la lesión gástrica por lo que se interpreta como metástasis de GIST, el nuevo estudio de inmunohistoquímica evidenció positividad para CD117, CD34 y AML, Ki67 del 40% y negatividad para citoqueratinas, CD99, S-100 y D240 (figura 3).
Las características técnica más importantes de los marcadores de inmunohistoquímica son resumidos en la tabla 1.
Tabla 1. Anticuerpos primarios utilizados en este estudio, sus diluciones y fuentes comerciales.
DISCUSION
Los tumores GIST son un grupo heterogéneo de neoplasias, en el que la predicción de su comportamiento biológico requiere de una evaluación de múltiples parámetros macro y microscópicos. La clasificación más utilizada se basa en dos características pronósticas: tamaño e índice mitótico (6). Los GIST gástricos de alto riesgo se definen como aquellos que miden mas de 5 centímetros, índice mitótico de > 5/50 HPF, índice MiB1 > 10%, y presencia de invasión a los ganglios linfáticos o metástasis (7), criterios todos presentes en nuestro caso.
La característica molecular principal de estos tumores es que, hasta en el 85% de los casos albergan mutaciones activadoras de una tirosina quinasa, que produce una sobreexpresión proteica que puede ser detectada por inmunohistoquímica a través del CD117 (8, 9). Hasta el 70% de los GIST son positivos para CD34 y H-Caldesmon, en el 30% lo son para actina de músculo liso (AML), desmina en el 10% y en menos del 5% para proteína S100 (8, 9). Actualmente el DOG1.1 se presenta como el marcador de inmunohistoquímica más específico para el diagnóstico de GIST (10).
El imatinib, inhibidor de la tirosina quinasa Kit/PDGFRA es usado satisfactoriamente en el tratamiento de los GIST metastásicos (1). Las metástasis hematógenas comúnmente se desarrollan en el hígado, y son muy raras en los huesos, con una incidencia aproximada del 5,5% (5), descritas en vértebras y en otros huesos sin especificar su localización. En la búsqueda de literatura realizada, se encontró una descripción de metástasis al cráneo, similar al caso aquí descrito.
El diagnóstico diferencial de lesiones en el cráneo, con realce del medio de contraste en la tomografía computarizada (TC), se debe establecer con meningiomas (5), sarcomas primarios meníngeos, carcinomas sarcomatoides cutáneos o metastásicos y sarcomas histiocíticos, todos casos en los cuales la evaluación patológica siempre va a ser requerida.
Ninguna mutación de oncogenes (kit o PDGFRA) está correlacionada con un alto potencial metastásico, aunque la mutación en el exón 9 del kit está relacionada con un peor pronóstico y pobre respuesta al imatinib. La localización anatómica, el estado mutacional u otras características de los GIST participan en el pronóstico (5).
En conclusión, se describe el caso clínico de un paciente con un GIST gástrico, que presentó metástasis diseminadas a hígado, ganglio linfático y cráneo, siendo esta última una localización muy poco frecuente, por lo que se hace necesario ampliar el estudio sobre esta patología, y considerarla en el diagnóstico de diferencias de metástasis craneales.
REFERENCIAS
1. Miettinen M, Lasota J. Gastrointestinal stromal tumors: review on morphology, molecular pathology, prognosis, and differential diagnosis. Arch Pathol Lab Med 2006; 130(10): 1466-78. [ Links ]
2. Weiss S. Tumores del estroma extragastrointestinal. En Weiss S, Goldblum J. Tumores de partes blandas. 5 ed. Elsevier Mosby 2009. p. 565. [ Links ]
3. Mazur MT, Clark HB. Gastric stromal tumors: reappraisal of histogenesis. Am J Surg Pathol 1983; 7: 507. [ Links ]
4. Hirota S, Isozaki K, Moriyama Y, Hashimoto K, Nishida T, Ishiguro S, Kawano K, Hanada M, Kurata A, Takeda M, Muhammad Tunio G, Matsuzawa Y, Kanakura Y, Shinomura Y, Kitamura Y. Gain-of-funtion mutations of c-KIT in human gastrointestinal stromal tumors. Science 1998; 279: 577. [ Links ]
5. Gil-Arnaiz I, Martínez-Trufero J, Pazo-Cid Roberto A, Felipo F, Lecumberri MJ, Calderero V. Skull metastasis from rectal gastrointestinal stromal tumours. Clin Transl Oncol 2009; 11: 625-627. [ Links ]
6. Fletcher CDM, Berman JJ, Corless C, Gorstein F, Lasota J, Longley BJ, Miettinen M, OLeary TJ, Remotti H, Rubin BP, Shmookler B, Sobin LH, Weiss SW. Diagnosis of gastrointestinal stromal tumors: a consensus approach. Hum Pathol 2002; 33: 459-465. [ Links ]
7. Bucher P, Egger JF, Gervaz P, Ris F, Weintraub D, Villiger P, Buhler LH, Morel P. An audit of surgical management of gastrointestinal stromal tumours (GIST). Eur J Surg Oncol 2006, 32: 310-4. [ Links ]
8. Goldblum JR. Gastrointestinal stromal tumors. A review of characteristics morphologic, immunohistochemical, and molecular genetic features. Am J Clin Pathol 2002; 117 Suppl: S49-61. [ Links ]
9. Turner MS, Goldsmith JD. Best practices in diagnostic immunohistochemistry: spindle cell neoplasms of the gastrointestinal tract. Arch Pathol Lab Med 2009; 133(9): 1370-4. [ Links ]
10. Liegl B, Hornick JL, Corless CL, Fletcher CD. Monoclonal antibody DOG1.1 shows higher sensitivity than KIT in the diagnosis of gastrointestinal stromal tumors, including unusual subtypes. Am J Surg Pathol 2009; 33(3): 437-46. [ Links ]










text in 


