Services on Demand
Journal
Article
Indicators
-
Cited by SciELO -
Access statistics
Related links
-
Cited by Google -
Similars in
SciELO -
Similars in Google
Share
Revista colombiana de Gastroenterología
Print version ISSN 0120-9957
Rev Col Gastroenterol vol.34 no.4 Bogotá Oct./Dec. 2019
https://doi.org/10.22516/25007440.452
Case report
Case report of Bouveret syndrome: a strange cause of upper intestinal obstruction
1Cirujano General Clínica Belo Horizonte Neiva, Huila, Colombia.
2Departamento de Cirugía General, Universidad Surcolombiana, Hospital Universitario Hernando Moncaleano Perdomo, Neiva, Huila, Colombia.
3Residente Medicina Interna, Universidad del Rosario, Bogotá, Colombia.
4Médico General, Universidad Pontificia Bolivariana, Medellín, Antioquia, Colombia.
Bouveret syndrome is a rare pathology which is characterized by gastric or duodenal obstruction secondary to a gallstone embedded in the lumen after migrating through a cholecystoduodenal fistula. Its incidence is approximately 1% to 3% of all cases of biliary ileus. The main symptoms consist of vomiting, abdominal pain, hematemesis, weight loss and anorexia. Surgery is required in 91% of cases. This article presents the case of a 50-year-old patient who had suffered from abdominal pain in the epigastrium and mesogastrium, abdominal distension and multiple episodes of emesis for two months. Physical examination indicated obstruction of the intestine. An abdominal CT scan showed that the obstruction was in the first duodenal portion and that Rigler’s triad was present. It was diagnosed as Bouveret Syndrome.
Keywords: Biliary fistula; Bouveret syndrome; intestinal obstruction; biliary ileus
El síndrome de Bouveret (SB) es una patología poco frecuente, la cual se caracteriza por la presencia de obstrucción gástrica o duodenal secundaria a un cálculo enclavado en la luz duodenal, el cual migra a través de una fístula colecistoduodenal. Su incidencia es de alrededor 1% al 3% de todos los casos de íleo biliar. Los principales síntomas consisten en vómito, dolor abdominal, hematemesis, pérdida de peso y anorexia. En el 91% de los casos se requiere manejo quirúrgico. En este artículo se presenta un caso de un paciente de 50 años, con cuadro clínico de 2 meses de evolución de dolor abdominal en epigastrio y mesogastrio, distensión abdominal y múltiples episodios de emesis. Al examen físico con clínica de obstrucción intestinal se realizó tomografía abdominal, donde se evidenció obstrucción intestinal por imagen intraluminal en primera porción duodenal asociada con tríada de Rigler, con diagnóstico de síndrome de Bouveret.
Palabras clave: Fístula biliar; síndrome de Bouveret; obstrucción intestinal; íleo biliar
Introduction
Bouveret syndrome (BS) was first reported in the literature by Beaussier in 1770 and was later named after French physician Leon Bouveret reported two cases in 1896. 1 It is defined by the presence of a bilioenteric fistula which allows one or more gallstones to pass into the duodenum and on to the pylorus where the stone(s) obstruct gastroduodenal drainage. 2,3 The fistula is the product of chronic inflammation which increases intraluminal pressure leading to wall ischemia, an adhesion system, and subsequent perforation which communicates between the biliary system and the intestine and allows passage of biliary stones. 4,5
BS accounts for approximately 1% to 3% of cases of gallstone ileuses and 2% to 3% of all small bowel obstructions. 1,3 Its prevalence is higher in women than in men, and the average age of presentation is 74 years. In most cases stones measure more than 2.5 cm, or BS is a postoperative alteration. Currently, the mortality rate in these cases is around 12%. 1-4 Imaging shows BS as a foreign body, with or without a calcified capsule, in the duodenal lumen which is associated with pneumobilia and intestinal obstruction with duodenal dilation (Rigler’s triad). 6-8
Only a few cases have been reported in the literature, and diagnosis is difficult due to the low specificity of symptoms and rarity of occurrence. Currently available diagnostic aids have allowed greater certainty of diagnosis and more timely and appropriate management of this pathology.
We report the case of a 50-year-old patient with recurrent upper bowel obstruction secondary to BS that was initially managed with an exploratory laparotomy plus adhesion release. In addition, we review the literature.
Case presentation
The patient was a 50-year-old woman who had had an appendectomy two years prior and had undergone exploratory laparotomy plus release of adhesions due to intestinal obstruction secondary to flanges two months before she was referred to us for epigastric/mesogastric colic associated with multiple episodes of vomiting, abdominal distension, and stoppage of defecation and flatulence. Symptoms had worsened in the five days prior to admission.
Upon admission, her vital signs were stable, and there were no signs of systemic inflammatory response. Physical examination showed that her abdomen was distended but not painful on palpation. No masses or irregular enlargements of organs were found, but peristalsis was minimal. Intestinal obstruction was diagnosed and medical management with intravenous hydration, a nasogastric tube with free drainage and electrolyte replacement was initiated. Admission paraclinical tests showed metabolic alkalosis with pH 7.53, hypokalemia of 2.2 mEq/L, but no leukocytosis or neutrophilia (Table 1). Abdominal radiography found no signs of intestinal obstruction, so an abdominal CT scan and upper digestive tract endoscopy were requested.
Table 1 Results of paraclinical tests performed at admission

HCO3: bicarbonate; PCO2: partial pressure of carbon dioxide; PO2: partial oxygen pressure.
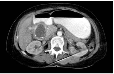
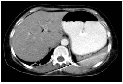
The abdominal CT scan showed intestinal obstruction as an intraluminal image in the first 4.5 x 3 cm duodenal portion (Figure 1 and 2). It was associated with pneumobilia and contrasted bile duct passage. This meets the criteria of Rigler’s triad. In addition, upper digestive tract endoscopy showed dilatation of the gastric chamber secondary to obstruction of the duodenal lumen and an impacted calculus in the duodenal bulb (Figure 3 and 4).
Given the clinical findings, paraclinical findings, and images, Bouveret syndrome was diagnosed, and we performed an exploratory laparotomy with gastrostomy and extraction of the stone impacted in the duodenal bulb followed by gastrorraphy (Figure 5 and 6). During the surgery, inflammation became evident with multiple adhesions on intestinal loops from the omentum to the liver and gallbladder. This made visualization difficult.

Figure 5 Removal of stone lodged in duodenal lumen through open gastrostomy. The image shows the anterior wall of the open gastric corpus from which the calculus was extracted.
Following surgery, the patient remained hospitalized where her evolution was satisfactory. She was assessed in an outpatient follow-up appointment two months after surgery and was found to be without abdominal pain or new obstructive episodes. Her physical examination was within normal limits.
Discussion
Bouveret syndrome is a rare disease which usually occurs in elderly women who have histories of biliary lithiasis. It is characterized by gastric or duodenal obstruction secondary to an impacted stone in the duodenal lumen which had passed through a cholecystoduodenal fistula. First described in 1896 by Leon Bouveret, it only occurs in 15% of cases in which stones pass into the duodenum. 2,8,9 Its clinical presentation is nonspecific clinic but can include vomiting, abdominal pain, hematemesis, weight loss and anorexia. 1 Its incidence is about 1% to 3% of all cases of biliary ileus, so a high index of clinical suspicion is required for diagnosis.
The advent and increasing availability of new diagnostic tools has made adequate pre-surgical diagnosis possible. Computed tomography is the key tool because its diagnostic sensitivity is 93% while its specificity is 100%. Upper digestive endoscopy is also very useful for diagnosis of this pathology and is considered the reference method for diagnosis. In this case, both of these examinations were performed. Bilioenteric fistulas can be cholecystocolic, cholecystogastric or cholecystoduodenal. The latter is the most frequent and accounts for 60% of all cases. The main imaging characteristics are pneumobilia, a foreign body lodged in the duodenal lumen, intestinal obstruction with duodenal dilation and bilioenteric fistula. Together, these are called Rigler’s triad which was present in our patient. 9,10
In more than 91% of cases, treatment of Bouveret syndrome requires surgical management. However, treatment can vary. Since most of these patients are elderly people who have comorbidities, endoscopic treatment is the first choice because its morbidity and mortality rates are lower than those of both open and laparoscopic surgery. Surgical management, either open or laparoscopic, can include enterolithotomy or enterolithotomy with cholecystectomy and correction of the fistula. The latter is ideal because it reduces the risk of recurrences, hemorrhaging, cholecystitis and gallbladder cancer, but it has higher rates of morbidity and mortality. 9,11-14 This is why the choice of management varies according to the clinical characteristics and comorbidities of each patient. The overall mortality rate is about 12% to 27. 2 In our case, management with enterolithotomy through a gastrostomy was chosen. This is the most commonly used surgical technique. In our case, the patient’s clinical evolution was good two months after surgery. 1
Conclusion
Bouveret syndrome is a rare disease which requires a high index of clinical suspicion for proper diagnosis. Technological advances in diagnostic tests has allowed presurgical diagnosis to become highly sensitive allowing better management of patients according to their individual clinical statuses and comorbidities. Familiarity with Bouveret syndrome’s radiological semiology is important. In our case, the patient was managed with enterolithotomy through a gastrostomy which is the most commonly used surgical technique for stone extraction. At two months follow-up, the patient’s evolution was satisfactory.
Referencias
1. Haddad FG, Mansour W, Deeb L. Bouveret’s syndrome: literature review. Cureus. 2018;10(3):e2299. doi: https://doi.org/10.7759/cureus.2299. [ Links ]
2. Gajendran M, Muniraj T, Gelrud A. A challenging case of gastric outlet obstruction (Bouveret’s syndrome): a case report. J Med Case Rep. 2011;5(1):497. doi: https://doi.org/10.1186/1752-1947-5-497. [ Links ]
3. Ploneda-Valencia CF, Gallo-Morales M, Rinchon C, Navarro-Muñiza E, Bautista-Lópeza CA, de la Cerda-Trujillo LF, et al. Gallstone ileus: an overview of the literature. Rev Gastroenterol Mex. 2017;82(3):248-54. doi: https://doi.org/10.1016/j.rgmx.2016.07.006. [ Links ]
4. Ayantunde AA, Agrawal A. Gallstone ileus: diagnosis and management. World J Surg. 2007;31(6):1292-7. doi: https://doi.org/10.1007/s00268-007-9011-9. [ Links ]
5. Warren DJ, Peck RJ, Majeed AW. Bouveret’s syndrome: a case report. J Radiol Case Rep. 2008;2(4):14-7. doi: https://doi.org/10.3941/jrcr.v2i4.60. [ Links ]
6. Rigler LG, Borman CN, Noble JF. Gallstone obstruction: pathogenesis and roentgen manifestations. J Am Med Assoc. 1941;117(21):1753-9. doi: https://doi.org/10.1001/jama.1941.02820470001001. [ Links ]
7. Gan S, Roy-Choudhury S, Agrawal S, Kumar H, Pallan A, Super P, et al. More than meets the eye: subtle but important CT findings in Bouveret’s syndrome. Am J Roentgenol. 2008;191(1):182-5. doi: https://doi.org/10.2214/AJR.07.3418. [ Links ]
8. Cappell MS, Davis M. Characterization of Bouveret’s syndrome: a comprehensive review of 128 cases. Am J Gastroenterol. 2006;101(9):2139-46. doi: https://doi.org/10.1111/j.1572-0241.2006.00645.x. [ Links ]
9. Al-Habbal Y, Ng M, Bird D, McQuillan T, AL-Khaffaf H, et al. Uncommon presentation of a common disease - Bouveret’s syndrome: a case report and systematic literature review. World J Gastrointest Surg. 2017;9(1):25-36. doi: https://doi.org/10.4240/wjgs.v9.i1.25. [ Links ]
10. Singh AK, Shirkhoda A, Lal N, Sagar P. Bouveret’s syndrome: appearance on CT and upper gastrointestinal radiography before and after stone obturation. Am J Roentgenol . 2003;181(3):828-30. doi: https://doi.org/10.2214/ajr.181.3.1810828. [ Links ]
11. Newton RC, Loizides S, Penney N, Singh KK. Laparoscopic management of Bouveret syndrome. BMJ Case Rep. 2015;2015:bcr2015209869. doi: https://doi.org/10.1136/bcr-2015-209869. [ Links ]
12. Alsolaiman MM, Reitz C, Nawras AT, Rodgers JB , Maliakkal BJ. Bouveret’s syndrome complicated by distal gallstone ileus after laser lithotripsy using Holmium: YAG laser. BMC Gastroenterol. 2002;2:15. doi: https://doi.org/10.1186/1471-230X-2-15. [ Links ]
13. Caldwell KM, Lee SJ, Leggett PL, Bajwa KS, Mehta SS, Shah SK. Bouveret syndrome: current management strategies. Clin Exp Gastroenterol. 2018;11:69-75. doi: https://doi.org/10.2147/CEG.S132069. [ Links ]
14. Fancellu A, Niolu P, Scanu AM, Feo CF, Ginesu GC, Barmina ML. A rare variant of gallstone ileus: Bouveret’s syndrome. J Gastrointest Surg. 2010;14(4):753-5. doi: https://doi.org/10.1007/s11605-009-0918-3. [ Links ]
Received: August 21, 2018; Accepted: November 20, 2018










text in 







