Introduction
Gastrointestinal bleeding is considered a frequent clinical condition and the main gastrointestinal emergency. Upper gastrointestinal bleeding account for 83% of cases, while lower gastrointestinal bleeding constitutes the remaining 17%1. On the one hand, the current characteristics of patients who may develop upper gastrointestinal bleeding have changed: they are older and suffer from a highly lethal comorbidity2. On the other, endometrial cancer is the most common malignant gynecological neoplasm in developed countries, being endometrioid adenocarcinoma its histological presentation3. An incidence of about 60,000 new cases per year and approximately 10,000 deaths per year have been reported in the United States4. In Colombia, by 2012, according to the GLOBOCAN (Global Observatory of Cancer) data, the age-adjusted incidence was 3.6 per 100 000 women/year5. The occurrence of endometrial cancer with metastasis in the gastrointestinal tract is rare, and the rectum is the organ most frequently affect due to local invasion6.
We present a rare case of endometrial cancer with gastric metastasis in which the clinical presentation consisted of upper gastrointestinal bleeding of unclear origin. The patient was initially diagnosed with a GIST-type tumor7, but later the pathology report documented the presence of endometrial tissue dependent on the fourth echolayer of the stomach wall.
Case report
This is the case of a 71-year-old woman who was admitted to the emergency department since she had experienced the following symptoms and signs during 18 hours: mesogastric pain that radiated to the lower back, together with melena; no other related symptoms were reported. Regarding any significant history of disease, she suffered from hypothyroidism, was a biological valve carrier and had a history of endometrial cancer, which was treated in July 2012 through a total hysterectomy.
The following findings were informed in the histopathology report: a uterus with a poorly differentiated endometrioid adenocarcinoma infiltrating up to 95% of the myometrial thickness, with 18 resected nodes free of metastasis and negative peritoneal fluid smear for malignant cells. At the time it was staged as a grade I tumor for a high-risk T1bN0M0, so adjuvant treatment with external radiotherapy and brachytherapy was started. The patient decided to quit the treatment after the first season and did not undergo the adjuvant brachytherapy. Provided that the patient was admitted mainly due to having upper gastrointestinal bleeding, an endoscopy was performed, where a 4 x 4 cm subepithelial ulcerated lesion located at the junction between the antrum and body of the stomach and the greater curvature. The following results were reported in the complete blood count test: absence of leukocytosis, neutrophilia, anemia, and thrombocytopenia; normal coagulation times.
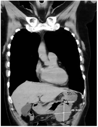
Initially, it was considered that the patient had an ulcerated GIST in the distal gastric body without active bleeding and further studies were carried out to evaluate local and regional involvement, including a computed tomography (CT) scan of the abdomen and pelvis where a gastrointestinal stromal mass located in the gastrocolic space and compatible with a GIST tumor (Figure 1) and a retroperitoneal mass or adenomegaly located behind the head of the pancreas (Figure 2) were found.

Figure 2 CT scan where the retroperitoneal mass or adenomegaly located behind the head of the pancreas can be observed.
In view of the retroperitoneal mass or adenomegaly finding, which is not a usual presentation of a GIST-type tumor, an endoscopic ultrasound8 was performed using the Pentax-Noblux, in which a subepithelial lesion located in the greater curvature of the junction of the antrum and the body of the stomach was identified in the endoscopic view, and a 40 x 38 mm hyperechoic lesion with well-defined borders, without calcifications or necrosis, and affecting the entire wall of the stomach was observed in the ultrasound view (Figure 3).
Subsequently, a qualitative blue-green elastography9 and a quantitative strain ratio of 10 and a strain histogram of 95% were performed. A 40 x 45 mm retropancreatic hyperechoic adenopathy with well-defined borders was detected in the duodenal window (Figure 4). Next, a blue elastography was documented when performing a qualitative elastography, a strain ratio of 10 and a strain histogram of 44% (Figure 5).
Once the lesion was properly characterized, the retropancreatic adenopathy was punctured using a linear echoendoscope with a 22 gauge needle (Figure 6). Once a sample was obtained it was sent to the pathology service for histological and immunohistochemistry analysis; likewise, another puncture was made on the subepithelial gastric lesion to obtain a sample, which was also sent to the pathology service to carry out histological and immunochemistry studies. The following findings were reported in the pathology reports of the stomach lesion and retropancreatic adenopathy biopsy samples: poorly differentiated carcinoma of gynecologic origin and poorly differentiated endometrioid adenocarcinoma according to immunophenotyping (Figure 7). Taking these findings into account, medical management was started by the oncology service, which opted for carboplatin plus paclitaxel combination therapy.
Discussion
Endometrial cancer is the most common malignant gynecologic neoplasm; it accounts for 6% of all gynecologic cancers10. In the most advanced stages of this type of cancer, metastasis most frequently occurs in nearby organs, that is, those located in the pelvis and the peritoneum, as well as the pelvic, para-aortic and intra-abdominal lymph nodes11. Occurrence in the gastrointestinal tract is very rate, and the rectum is the part of the gastrointestinal tract most affected by this cancer13. The importance of this case is given by its location in the stomach wall, affecting it in its entirety, and which initially led to a confusion regarding its diagnostic approach due to its clinical presentation as upper gastrointestinal bleeding and its macroscopic distribution that resembled a GIST.
Finally, thanks to an adequate anamnesis, in which the gynecologic history of the patient became clear; the performance of complementary diagnostic imaging studies such as CT scan of the abdomen and pelvis to assess tumor involvement; the proper echoendoscopic visualization of the gastric and retropancreatic lesions and the biopsies performed in both lesions, from which a satisfactory characterization of their etiology was possible based on the histopathology report, and multidisciplinary work, the therapeutic management of the lesion was completely changed from an initial surgical approach to a completely pharmacological management approach in which salvage chemotherapy was started by the oncology service.
Conclusion
The importance of this case lies in raising awareness regarding one of the rare forms of metastatic endometrial cancer and showing how an upper gastrointestinal bleeding clinical presentation with the characteristics described here can mislead the initial diagnostic impression. However, thanks to the new technological advances in gastrointestinal surgery and echoendoscopy, tissue samples can be taken with high precision for proper identification of lesions, so that therapeutic approaches can be modified in order to provide patients with the best treatment option.










text in 









