Introduction
Superior mesenteric artery syndrome (SAMS), also known as Wilkie’s syndrome, Cast syndrome or chronic duodenal ileus, was first described by Carl von Rokitansky in 1842. In 1907, Bloodgood reported laterolateral duodenojejunostomy as the treatment of choice for this condition. However, it was not until 1921 that Wilkie published the first series of successful surgical cases1. This condition is characterized by aortomesenteric impingement at the duodenal level causing chronic gastrointestinal symptoms2. It is a diagnostic challenge since it is a rare syndrome. We present the case of a young patient with a history of chronic abdominal pain and significant weight loss.
Clinical case
This is a 34-year-old male patient with a history of open appendectomy and multiple visits to the emergency department between April 2021 and January 2022 (a total of five visits for the same complaint), with an average hospital stay of 3-4 days. During his most recent visit, he was admitted on January 4, 2023, with a five-day history of intermittent episodes of dyspepsia and colicky abdominal pain, predominantly in the epigastric and mesogastric regions. Pain intensity was reported as 8/10 on the visual analog scale. The pain worsened with food intake and was occasionally accompanied by vomiting and early gastric fullness. In the review of systems, two episodes of hematemesis and a weight loss of 30 kilograms over six months were reported. Vital signs at admission were as follows: blood pressure (BP): 123/70 mm Hg, heart rate (HR): 67 beats per minute (bpm), respiratory rate (RR): 18 breaths per minute, temperature: 36°C, oxygen saturation: 93% on room air, and blood glucose: 87 mg/dL. The patient’s weight was recorded at 54 kg, height at 171 cm, and body mass index (BMI) at 18.5 kg/m2. Extended laboratory workup ruled out anemia, renal abnormalities, electrolyte disturbances, acute and chronic gastroenteric causes, pancreatitis, gastrointestinal infections, human immunodeficiency virus (HIV), and syphilis. A total abdominal ultrasound showed no signs of cholecystitis, cholelithiasis, collections, or masses. Upper gastrointestinal endoscopy revealed chronic gastritis, and the patient was prescribed a quadruple therapy for Helicobacter pylori eradication.
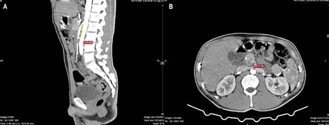
In previous hospitalizations, the patient had received symptomatic pain management with partial improvement. Due to persistent abdominal pain, the Internal Medicine team ordered a contrast-enhanced computed tomography (CT) scan, which revealed dilation between the second and third portions of the duodenum. A transition zone was identified at the level of the aortomesenteric clamp, with a reduced angle of less than 8° between the superior mesenteric artery and the aorta, and an aortomesenteric space measuring only 5 mm. There was no evidence of left renal vein dilation or stenosis. These findings are consistent with a diagnosis of aortomesenteric duodenal compression syndrome (Figure 1).

Figure 1 Double-Contrast Total Abdominal Tomography. A. Sagittal section, arterial phase. The aortomesenteric clamp is visualized at an angle of 8º. B. Cross section, arterial phase. The aortomesenteric distance of 5 mm is visualized. Images property of the authors.
Given the findings and recurrent pain symptoms, the patient was referred to a quaternary care facility for a joint evaluation by vascular surgery and gastroenterology. Medical management was determined, guided by clinical nutrition. The nutrition team prescribed a high-carbohydrate, high-protein fractionated diet. In addition to the dietary plan, postural measures were implemented, along with gastric decompression via nasogastric tube as needed, which led to marked improvement. After three weeks, the patient was discharged with a weight of 56 kg and a BMI of 19.2 kg/m2, with follow-up scheduled in outpatient clinics for clinical nutrition, internal medicine, and gastroenterology. It should be noted that the patient declined surgical management. During hospitalization, the patient gained 2 kilograms with medical management; however, follow-up was lost after discharge, and it was not possible to determine whether this weight gain was maintained over time.
Discussion
Superior mesenteric artery syndrome, also known as Wilkie’s syndrome, is a rare vascular disorder with an incidence ranging between 0.2% and 0.78%3. It predominantly affects women4,5, with an average age among reported cases of 33.5 years6. Given its rarity, it is noteworthy that this case occurred in a male patient. Due to its low incidence, it is essential to rule out more common conditions in the evaluation of patients with unintentional weight loss, as was done in this case. Acute and chronic infectious causes, acquired immunosuppression, neoplastic diseases, malabsorption syndromes, medications or psychotropic substances, metabolic disorders, renal, hepatic, and psychosocial conditions were all ruled out. An esophagogastroduodenoscopy, performed as part of the initial work-up, revealed an incidental and unrelated finding of chronic gastritis. Gastric mucosa biopsy showed the presence of H. pylori, for which eradication therapy was initiated. It is important to highlight that this endoscopy did not reveal any duodenal segment dilatation, a finding that is often reported due to vascular compression at this level in patients with Wilkie’s syndrome. However, it is important to note that a normal endoscopy does not rule out the diagnosis of vascular compression.
Wilkie’s syndrome is characterized by a reduction in the aortomesenteric angle from a normal average of approximately 45º, with a typical range between 25° and 65º3,7,8, to an angle of less than 22º-25º3,4, or by an aortomesenteric distance of less than 8-10 mm (Figure 2)3. This narrowing results in mechanical compression of the duodenum, which in turn leads to symptoms of chronic intestinal obstruction (Table 1)6,8,9. In addition, this condition may coexist with left renal vein compression, which together may cause hematuria, varicocele, left flank pain, or renal vein thrombosis, findings consistent with the so-called Nutcracker syndrome3. In Colombia, the coexistence of these two syndromes has been documented, such as in the case reported by Suárez, Rivera, et al.10. Given this context, the radiological findings in this case are of particular importance, especially the absence of left renal vein involvement. Other scan findings typically include gastric distension, loss of mesenteric fat, and duodenal distension distal to the vascular compression (third portion of the duodenum)3.

Figure 2 Mechanism of aortomesenteric compression in Wilkie’s syndrome. A. Normal illustration of the aortomesenteric space. B. Compression of the third portion of the duodenum due to narrowing of the aortomesenteric angle to less than 22°-25°. The aortomesenteric distance is less than 10 mm. This narrowing leads to chronic gastrointestinal symptoms. SMA: superior mesenteric artery. The image is the property of the authors.
Table 1 Most Common Gastrointestinal Symptoms in Wilkie’s Syndrome
| Symptom |
|---|
| Abdominal pain (59%): postprandial, diffuse or localized in the epigastric region, relieved in the left lateral decubitus position. |
| Postprandial nausea or emesis of gastric or bilious contents (40%-50%) |
| Gastroesophageal reflux |
| Hyporexia-anorexia |
| Weight loss |
Table created by the authors.
The patient in this case presented with an aortomesenteric angle of 8° and a distance of 5 mm. Although there is no subclassification dependent on the degree of narrowing or the distance from the angle, we consider these values significant enough to explain the symptoms described in the case. Wilkie’s syndrome can be either congenital or acquired. Risk factors for the acquired form include weight loss secondary to malignancy, bariatric surgery, eating disorders, heart failure, spinal surgeries that cause vertical traction, trauma, burns, prolonged hospitalizations, malnutrition, chronic infectious processes, or malabsorption syndromes, all of which lead to a rapid loss of intra-abdominal mesenteric fat and a consequent reduction in the diameter and angle of the clamp3,6,8. This patient did not present any related risk factor, as in 40% of the cases described in the literature11; however, it is considered that the weight loss in recent months may have been not only a consequence of the narrowing but also contributed further to the severity of the symptoms due to the loss of mesenteric fat8.
Clinical diagnosis requires high diagnostic suspicion6, especially in patients with abdominal pain and postprandial emesis associated with significant weight loss7. This case highlights the importance of timely diagnostic suspicion, which can reduce healthcare system costs related to hospitalization, improve the patient’s quality of life, and prevent excessive weight loss that worsens symptoms. Although this condition has a broad range of imaging-based diagnostic tools, contrast-enhanced abdominal CT has been proposed as the method of choice3,6,8. Abdominal ultrasonography, when performed by an expert, allows for reliable measurement of the angle between the aorta and the superior mesenteric artery8.
Initially, treatment is conservative3. Due to its low incidence or underdiagnosis, there are no recognized percentages or studies comparing symptom remission between conservative and surgical management. Nevertheless, it is acknowledged that most patients show a favorable response to conservative treatment, as was the case here, with a six-week therapeutic trial. This approach is aimed at gastric decompression through a nasogastric tube, intravenous fluid administration, correction of electrolyte imbalances, antiemetics, postural measures, and high-calorie diets via feeding tubes advanced to the jejunum until the patient can tolerate oral intake6, in order to promote weight gain8, along with parenteral nutrition3,9.
Patients who do not respond to medical management benefit from surgical treatment8, which includes gastrojejunostomy, loop duodenojejunostomy, Roux-en-Y duodenojejunostomy, or the Strong’s procedure (division of the ligament of Treitz)6,7. Among these, duodenojejunostomy is the procedure of choice8, as it has shown the lowest rate of perioperative complications, although there are no studies directly comparing the different surgical interventions.
Conclusion
Wilkie’s syndrome is a rare medical condition, which requires a high degree of diagnostic suspicion, especially in patients with a history of hyporexia-anorexia, postprandial emesis, and weight loss. Early imaging of the abdomen may reveal findings regarding the aortomesenteric angle and help rule out other conditions that cause abdominal pain and signs of chronic intestinal obstruction, particularly when using contrast-enhanced CT. Conservative treatment guided by nutritional support may be sufficient in most cases of Wilkie’s syndrome. Surgery is indicated in those who fail conservative management, with excellent perioperative outcomes, especially with laparoscopic duodenojejunostomy, although studies comparing the various interventions are lacking. Early diagnosis can prevent weight loss and worsening symptoms. However, due to the condition’s low incidence, there is currently no early diagnostic or screening tool available to identify these patients in a timely manner. For this reason, the authors encourage clinicians to consider this diagnosis in patients presenting with the aforementioned symptoms and previously described risk factors, particularly when the evaluation of unintentional weight loss does not yield results that explain the ongoing symptomatology.










text in 



