INTRODUCCIÓN
Desde 1950 la esternotomía media es la vía de abordaje más comúnmente empleada en cirugía cardiaca ya que se trata de una incisión sencilla que proporciona una gran exposición del corazón y un excelente campo quirúrgico1. A lo largo de los años a pesar de la evolución en las técnicas quirúrgicas empleadas2,3, la esternotomía media continúa realizándose de manera rutinaria4,5. Su ejecución comienza por la apertura cutánea en la línea media esternal mediante el empleo de un bisturí frío abarcando desde el punto medio del manubrio esternal hasta el apófisis xifoides. A continuación se realiza la profundización a través del tejido subcutáneo hasta llegar a plano óseo, no es necesario la apertura muscular debido a la disposición anatómica del esternón, lo que supone una ventaja en cuanto a recuperación posterior. Mediante el empleo de una sierra, y habitualmente tras parar la respiración del paciente, se realiza la apertura esternal propiamente dicha con una longitud aproximada de 20 cm6. La exposición del mediastino en este punto es amplia con visualización de pericardio, grandes vasos, ambas pleuras y timo.
Las complicaciones derivadas de la esternotomía media incluyen un gran número de incidentes de muy diversa gravedad siendo las más frecuentes las infecciosas que van desde la infección local de la herida o la dehiscencia7, hasta la osteomielitis y mediastinitis8 que aunque infrecuentes (1%-5%) suponen un gran incremento en la mortalidad
postoperatoria9,10. El dolor torácico prolongado11, las hernias11-12-13-14-15, el sangrado16 o la formación de cicatrices son otras de las complicaciones asociadas, que representan menor gravedad. La lesión iatrogénica de estructuras intratorácicas es una complicación poco frecuente que puede implicar el daño del plexo braquial, conducto torácico17, grandes vasos, y lesiones pulmonares18 o cardiacas. La lesión del plexo braquial se produce por la excesiva apertura del separador esternal asociado a la posición quirúrgica del paciente o la fractura costal en el momento de la apertura19,20, es poco frecuente en la actualidad por la mejora en los sistemas de separación esternal. El daño de grandes vasos en la apertura se produce también de forma infrecuente, e implica de manera predominante la lesión de la vena innominada21 o la vena cava superior por excesiva tracción esternal, rotura directa con la sierra o al realizar la disección de grasa tímica22,23.
La rotura accidental de electrodos de marcapasos es una entidad infrecuente 1% al 4%24) que ocurre principalmente tras accidentes de tráfico25, traumatismos cerrados torácicos o ejercicio violento26-27-28. La zona de desgarro más frecuente es a nivel de la clavícula por compresión de la subclavia a este nivel.
El caso que aquí se presenta, se trata de una rotura de la vena innominada y los electrodos de marcapasos previamente implantados debido a la elevada fibrosis asociada al implante de electrodos intracardiacos. Ya que no se han encontrado casos previamente descritos similares y con el objetivo de disminuir las lesiones asociadas a la esternotomía, se presenta este inusual caso de lesión iatrogénica durante la apertura esternal y la revisión del mismo junto con las pruebas complementarias realizadas.
PRESENTACIÓN DEL CASO
Mujer de 75 años diagnosticada de insuficiencia mitral moderada-severa por prolapso valvular, con indicación de cirugía por sintomatología de insuficiencia cardiaca progresiva hasta encontrarse en estadio clínico avanzado. Como antecedentes personales la paciente presentó intervención de implante de dispositivo de marcapasos (Sorin Group®) bicameral por disfunción sinusal hace ocho años, previo a la cirugía actual, manteniendo desde entonces controles periódicos del dispositivo. No manifestó otros antecedentes relevantes ni operaciones cardiacas previas. En el estudio prequirúrgico básico se realizaron pruebas preoperatorias de rutina incluido un electrocardiograma que mostró ritmo de marcapasos sin alteraciones y una radiografía de tórax (Ver Figura 1 y 2). El marcapasos bicameral funcionaba de manera correcta en modo DDD en la telemetría preoperatoria.

Fuente: autor
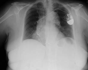
Figura 1 Radiografías de tórax antero-posterior prequirúrgica. Se observa correcta colocación de electrodos de marcapasos.

Fuente: autor
Figura 2 Radiografía de tórax lateral prequirúrgica. Se observa adhesión de los electrodos de marcapasos a la tabla interna del esternón.
El día de la intervención se realizó esternotomía de forma rutinaria por un cirujano experto mediante el empleo de una sierra recta tras lo que se produjo un sangrado masivo venoso súbito. Se observó junto con la hemorragia la aparición de electrodos en cavidad mediastínica. Una vez controlado el sangrado, la rotura del tronco venoso braquiocefálico y ambos electrodos de estimulación cardiaca con la sierra de apertura esternal, se hizo evidente. Se realizó ligadura de ambos extremos de la vena innominada para conseguir un definitivo control del sangrado incluyendo los extremos de ambos electrodos seccionados (Ver Figura 3). Se comprobó que el corazón latía espontáneamente sin cambios electrocardiográficos y la paciente presentó normalidad hemodinámica. Tras la sutura del tronco braquiocefálico se procedió a realizar la intervención sobre la válvula mitral de manera rutinaria, sin incidencias y con normalidad en cuanto al ritmo cardíaco.

Fuente: autor
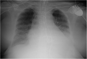
Figura 3 Radiografía antero-posterior de tórax postquirúrgica con rotura de los electrodos..
En este caso el tratamiento conservador mediante la ligadura de ambos extremos de la vena innominada resultó satisfactoria con implante de marcapasos al final de la intervención mediante la colocación de cables de estimulación epicárdicos. Debido a la ausencia de arritmias cardiacas en el momento de la intervención no se experimentó eventos adversos
DISCUSIÓN
Entre las complicaciones asociadas a la esternotomía media, la lesión de estructuras mediastínicas en el momento de la apertura esternal es una de las menos frecuentes debido a la seguridad que aporta el empleo de sierra recta de esternotomía. A pesar de ser una entidad rara puede tener graves consecuencias. En el caso que aquí se presenta, la esternotomía media, aunque se realizó de forma correcta por un cirujano ampliamente calificado con años de experiencia, produjo desgarro del tronco venoso braquiocefálico y los electrodos de marcapasos que en él se alojaban. No se han encontrado casos previamente descritos similares salvo los asociados a otros tipos de lesiones de mediastínicas infrecuentes.
El caso ya antiguo presentado por Gilbert et al. (18, describe la apertura de ambas pleuras asociada a la esternotomía, hecho que ocurre de forma no infrecuente en el momento de la apertura, pero que normalmente no presenta repercusiones trascendentales. En este caso, tras la apertura pleural, se crea una fusión pleural con formación de un espacio pleural único que desemboca en un neumotórax masivo bilateral tras punción venosa subclavia en el postoperatorio.
La lesión del tronco venoso braquiocefálico no suele asociar complicaciones más graves que el sangrado que ocasiona en el momento del desgarro. En un caso clínico publicado por R. Thiel y W. Bricks22, la lesión de la vena innominada produce, al igual que en el caso aquí presentado, complicaciones más allá del sangrado agudo. Se describe la formación de una fístula arterio-venosa entre la arteria y la vena innominada producida tras la sutura de los extremos de la vena para contener el sangrado agudo en el momento de la apertura esternal. En esta publicación se presentan también fístulas entre arteria y vena mamaria, que aunque infrecuentes, sí están descritas en la literatura secundarias al cierre esternal23,29. La formación de pseudoaneurismas en la arteria mamaria se ha descrito del mismo modo asociada al empleo de alambres en el cierre del esternón30.
Otra lesión temida asociada a la rotura de vena innominada fue descrita por primera vez por GL. Hines31 mediante la presentación de dos casos clínicos de desinserción del tronco venoso de su origen en la vena cava superior; lesión que requiere una técnica quirúrgica más compleja de reparación.
Afortunadamente, no existen muchos casos similares descritos que impliquen lesiones de estructuras en la esternotomía media y el que aquí se presenta es el único que conlleva lesión de un electrodo de estimulación cardiaca con la sierra de esternotomía. Se pudo observar una gran fibrosis con adhesión del tronco venoso braquiocefálico a la tabla interna del esternón, visible en la radiografía prequirúrgica por lo que, con una exhaustiva revisión de las pruebas complementarias pudo haber sido evitado.
Como limitaciones a la publicación de este documento se deben destacar la ausencia de bibliografía sobre complicaciones de esternotomía y la poca disponibilidad de casos clínicos similares. Han pasado varios años desde la publicación de los casos aquí mencionados lo que implica variación de las técnicas quirúrgicas realizadas.
CONCLUSIONES
La creación de adherencias de los electrodos de estimulación cardiaca en los lechos vasculares en los que se alojan, es una entidad que debe tenerse en cuenta en todos los pacientes portadores de dispositivos cardiacos. La revisión cuidadosa de la radiografía torácica prequirúrgica en casos de implante previo de dispositivos cardiacos podría orientar en la sospecha de fibrosis o adherencias esternales que puedan representar un inconveniente para la realización de esternotomía.
La esternotomía media, siendo la vía de abordaje quirúrgica más frecuente en cirugía cardiaca, no está exenta de riesgos ya que puede asociarse a lesiones iatrogénicas que aunque infrecuentes deben tenerse en cuenta a la hora de realizar el abordaje quirúrgico.













