Introducción
El signo de Chilaiditi es un signo radiográfico infrecuente que consiste en la presencia anormal de aire en el espacio subfrénico, causada por la interposición hepato-diafragmática de un asa intestinal. Fue descrito en 1865 por Cantini1, inicialmente denominado hepatoptosis2 y reportado por primera vez en 1910 por el radiólogo Demetrius Chilaiditi, motivo por el cual el signo lleva su nombre3. Cuando este hallazgo se encuentra asociado a síntomas tales como dolor abdominal, vómito, estreñimiento, dificultad respiratoria, obstrucción intestinal, entre otros; se le denomina Síndrome de Chilaiditi4.
Datos epidemiológicos a nivel mundial indican que la incidencia del signo de Chilaiditi es relativamente baja, siendo identificado en aproximadamente un 0,02% a 0,3%5 de las radiografías torácicas y abdominales. Es más frecuente en hombres, con una razón de 4:14,6,7. Según la literatura, se presenta principalmente en adultos, y es infrecuente en niños8. Se han descrito factores relacionados a la presencia del signo, como los son la edad mayor de 65 años, cirugía abdominal previa y entidades en donde se aumenta la presión intra-abdominal como la ascitis, embarazo, obesidad, y enfermedad pulmonar crónica como en el enfisema y la tuberculosis3,7,9,10. También se ha observado asociación con cáncer de pulmón y de páncreas en el 1% de los casos reportados3.
Así mismo, se ha descrito asociación con síndromes genéticos, caracterizados por alteraciones del tejido conectivo como el síndrome de Ehlers-Danlos6 y varias condiciones médicas congénitas y adquiridas. Dentro de las alteraciones congénitas se encuentran hipoplasia del hígado, ptosis hepática, malrotación intestinal, ausencia de ligamentos suspensorios del colon transverso, alteración de ligamento falciforme, agenesia del lóbulo hepático derecho y redundancia colónica11,12. Los factores adquiridos que se han visto asociados son la motilidad intestinal anormal, aerofagia excesiva (principalmente en niños), ascitis, ya que permite desplazamiento del hígado por la flexura hepática del colon adyacente7; y alteraciones diafragmáticas como parálisis del nervio frénico o laxitud de los ligamentos suspensorios del hígado7,11-14.
Se han descrito tres mecanismos fisiopatológicos relacionados con la transposición de asas intestinales a nivel hepato-diafragmático (Ver Figura 1). La fijación de los órganos al hemidiafragma superior impide la interposición de asas intestinales entre el hígado y el diafragma15. En las enfermedades bronquiales, el atrapamiento de aire favorece el aplanamiento y la inversión diafragmática con el subsecuente incremento de la presión intraabdominal, el cual es un factor condicionante al desplazamiento de las vísceras huecas en la cavidad abdominal10,8,14,16; la frecuencia del signo en paciente con enfermedades respiratorias crónicas es cercana al 2,7%17.
Tabla 1 Mecanismos fisiopatológicos que explican la presencia del signo de Chilaiditi

Fuente: Rev. Gastroenterol. Perú, 2005.
El signo de Chilaiditi fue descrito por primera vez a través de proyecciones radiográficas4,6,7, lo cual se mantiene hasta la fecha. El diagnóstico se realiza a partir de radiografías de rutina en tórax o abdomen, preferiblemente en bipedestación, en las cuales se encuentra una elevación del hemidiafragma derecho sobre el hígado, interposición de asa intestinal y desplazamiento caudal o medial del hígado18,19. Es de resaltar que dentro de la evolución de un paciente con signo de Chilaiditi dichos hallazgos pueden presentarse de forma intermitente, dado que pueden resolver cuando el paciente se encuentra en decúbito supino20,21.
A nivel radiológico se han registrado tres tipos de presentación de la interposición del colon a nivel hepato-diafragmático3:
Forma clásica: interposición de asa intestinal o colon transverso en espacio subfrénico derecho a nivel anterior.
Presencia de estómago o colon en espacio extra-peritoneal derecho.
Colon transverso interpuesto en el espacio subfrénico derecho a nivel posterior.
Un marcador para identificar más claramente el signo es observar pliegues australes en el espacio hepato-diafragmático sin modificación en la ubicación del aire con los cambios de posición del paciente, ayudando así a la distinción entre gas intraluminal y aire libre; lo que permite descartar neumoperitoneo, que es uno de los principales diagnósticos diferenciales8. Otros estudios como las ecografías y tomografías toraco-abdominales pueden dar mayor precisión a los hallazgos radiográficos, observar factores asociados y descartar diagnósticos diferenciales.
Clínicamente es poco frecuente la presencia de sintomatología en los pacientes con el hallazgo radiográfico de interposición intestinal hepato-difragmática; y en la literatura según Tuncer y colaboradores, para el 2014, sólo había un aproximado de 160 casos reportados22.
En el síndrome de Chilaiditi, los síntomas se presentan de forma progresiva, aunque ocasionalmente se pueden manifestar rápidamente. Los síntomas gastrointestinales son los más frecuentemente reportados8 y constituyen la presencia de dolor abdominal, náuseas, vómitos, distensión, anorexia, estreñimiento, flatulencia e incluso obstrucción intestinal; y pueden presentarse desde leve intensidad hasta una condición grave e inusual como abdomen agudo8,14,17. Ocasionalmente es posible encontrar síntomas torácicos como, dolor, dificultad respiratoria e incluso arritmias y sintomatología similar a insuficiencia cardiaca18,23; por lo que eventualmente puede considerarse un diagnóstico diferencial de dolor torácico8.
Las complicaciones del síndrome de Chilaiditi pueden incluir obstrucción intestinal, vólvulo cecal y perforación. En casos raros, se presenta apendicitis cecal o subdiafragmática perforada como complicación del síndrome13,14. El riesgo de perforación intestinal aumenta en pacientes con signo de Chilaiditi durante los procedimientos percutáneos necesarios en el diagnóstico de enfermedad hepática. También se han reportado complicaciones en pacientes sometidos a colonoscopia24.
Presentación de caso
Hombre de 84 años, residente de la ciudad de Bucaramanga, Santander, y comerciante de artículos de cuero; quien fue enviado a la consulta de neumología para seguimiento médico por enfermedad pulmonar obstructiva crónica (EPOC). Refirió diez años de disnea con la actividad física, tos, expectoración y sibilancias ocasionales. La sintomatología aumentaba en la intensidad de manera paroxística en promedio tres veces al año; y al momento de la evaluación fue ponderada por la escala mMRC (modificated-Medical Research Counsil) en 3/4 (detenciones durante una caminata a lo largo de 100 metros planos). Por lo anterior, fue instaurado tratamiento con formoterol - budesonida en cápsulas de polvo seco, con lo cual, sintió mejoría en su sintomatologia respiratoria. El paciente mencionó antecedente de artritis sin tratamiento específico, hipertensión arterial, anemia, enfermedad venosa de miembros inferiores y urolitiasis. Recibía tratamiento con glucosamina-condroitina y losartán. Así mismo, refirió inserción de prótesis de rodilla derecha, e intervención quirúrgica en tracto urinario por urolitiasis; no refirió síntomas gastrointestinales, estreñimiento y cambios en el hábito intestinal.
Al examen físico se observó paciente brevilíneo, sin signos de dificultad respiratoria ni dolor torácico, con una frecuencia respiratoria de 18 respiraciones por minuto, frecuencia cardiaca de 83 latidos por minuto y saturación de oxígeno del 95% al aire ambiente. Su peso fue de 84 kilogramos. En el examen de cabeza y cuello se destacó la presencia de mucosa nasal pálida; en el tórax, disminución de ruidos respiratorios en la base pulmonar derecha, sin presencia de matidez a la percusión. Adicionalmente, discretos roncus localizados en base pulmonar ipsilateral. En el abdomen no hubo dolor a la palpación ni presencia de masas, y en sus extremidades se detectó la presencia de una cicatriz vertical en rodilla derecha, ausencia de acropaquías y cianosis.
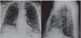
Su radiografía de tórax mostró la interposición de un asa intestinal entre la cúpula diafragmática derecha y la radio densidad hepática correspondiente al signo de Chilaiditi (Ver Figura 2), también se observó lobulación diafragmática derecha y algunos cambios intersticiales peri bronquiales.

Fuente: Archivos radiográficos Cuidados Respiratorios Integrales.
Figura 2 Radiografía del paciente con signo de Chilaiditi.
Con los datos aportados por el paciente y los signos clínicos observados, se consideró la posibilidad de una enfermedad bronquial de aparición tardía.
Fue destacable su respuesta al uso de broncodilatador beta 2 de larga acción y esteroide inhalado en dosis fijas, lo cual apoyó la hipótesis diagnóstica; sin embargo, con la radiografía de tórax, se pudo determinar la presencia del signo de Chilaiditi sin descartarse la posibilidad de acentuación de su sintomatologia respiratoria de forma relacionada.
Discusión
Se presenta el caso de un hombre adulto mayor, con sintomatología respiratoria crónica como manifestación de la EPOC, quien presentó hallazgos radiográficos compatibles con el signo de Chilaiditi, dado que se observaron las tres características principales: elevación del hemidiafragma derecho sobre el higado, desplazamiento caudal del mismo, e interposición de un asa intestinal. En este caso, el paciente sólo presentó el signo y no cursó con sintomatología gastrointestinal asociada que lo filiara al sindrome, por lo tanto sus síntomas respiratorios fueron explicados por la presencia de la patologia bronquial.
En ocasiones hay dudas en el diagnóstico imagenológico del signo de Chilaiditi y es posible confundirlo con patologias como: neumoperitoneo, hernia diafragmática, neumatosis intestinal, absceso subfrénico, obstrucción intestinal, vólvulo, intususcepción, perforación de víscera hueca, entre otros18,19,25- sin embargo, en el caso actual, el paciente sólo tenía síntomas respiratorios y carecía de otros que permitieran definir diagnósticos diferenciales; en este sentido, no requirió manejo específico para el signo de Chilaiditi.
En el caso del sindrome de Chilaiditi el tratamiento es conservador y consta de descanso en cama, cristaloides endovenosos, descompresión nasogástrica o intestinal con enemas, dieta alta en fibra, y catárticos17. Sin embargo, en aquellos pacientes que presentan dolores abdominales, se prescriben medicamentos antiespasmódicos (Hioscina, Pinaverio, B. Otilonio, etc) y seguimiento radiográfico. En los casos más severos con sintomatología que persiste pese al manejo y en quienes se sospechan diagnósticos diferenciales o complicaciones graves como obstrucción, neumoperitoneo y vólvulos, se indica laparotomía exploratoria6.
El signo de Chilaiditi ha sido reportado en pacientes con alteraciones cardiovasculares o patologías malignas. Boddy y colaboradores documentaron un caso en el cual se, presentó interposición intestinal hepato-diafragmática luego de una parálisis diafragmática traumática en una cirugía de bypass coronario. El paciente tuvo colapso hemodinámico relacionado al efecto dinámico de la alteración sobre el sistema cardiovascular26. Otros reportes muestran la coexistencia del signo de Chilaiditi con neoplasias malignas, ya sea como manifestación indirecta de tumores de recto o linfosarcoma8,27, o concomitante con neoplasias endocrinológicas tiroideas tipo 2B (MEN2B)28. También se reportó la presencia del signo y estenosis del colon sigmoides, que condujo a obstrucción intestinal secundaria29.
En pacientes con enfermedades pulmonares crónicas, es relevante determinar si el signo le aporta un mayor impacto a la sintomatología respiratoria. No se conocen estrategias para realizar esta diferenciación, por lo que sería adecuado el manejo concomitante de las dos entidades17.
Es posible que existan algunas alteraciones funcionales respiratorias asociadas con la presencia del signo o sindrome de Chilaiditi, por ejemplo, alteraciones espirométricas restrictivas u obstructivas; pero, hasta el momento no se han descrito en los diferentes reportes de casos, salvo en algunos particulares en donde se reporta la espirometría dentro de limites normales20. Se presume que una alteración subdiafragmática genere restricción pulmonar y con ello manifestaciones en las pruebas de función pulmonar, lo cual sería importante aclarar en futuros trabajos.
Conclusiones
El signo de Chilaiditi es una entidad poco prevalente y se detecta de manera incidental en los estudios imagenológicos del tórax o abdomen. Las enfermedades respiratorias obstructivas dinámicamente pueden generar cambios abdominales que favorezcan la presencia de este signo. Aunque no hay forma de determinar el impacto del signo de Chilaiditi sobre las condiciones respiratorias, es importante garantizar un tratamiento médico sintomático, adjunto al de la condición respiratoria, para atenuar el impacto de los sintomas. A parte de las repercusiones clinicas e imagenológicas, los efectos en la funcionalidad respiratoria deben ser establecidos en futuros trabajos.














