Introducción
El bazo ectópico (BE), también conocido como errante o esplenoptosis, es una patología infrecuente1. La primera descripción detallada de esta entidad clínica fue hecha por Van Horne en 1667 como hallazgo incidental en una autopsia2. La verdadera incidencia del bazo errante es incierta, pero representa menos del 0.2% de las esplenectomías3. Se observa comúnmente en niños donde parece haber un predominio masculino en el primer año de vida (2.5: 1) y en mujeres durante la tercera década de la vida4, especialmente en edad reproductiva. Es una condición potencialmente mortal si ocurre torsión aguda junto con infarto esplénico3.
Puede ocurrir por la ausencia congénita, mal desarrollo de los ligamentos suspensorios del bazo, o debido a una laxitud adquirida de los mismos, permitiéndole una movilidad excesiva que hace que el bazo “deambule” desde su posición habitual, en el cuadrante superior izquierdo5, a localizaciones ectópicas en la cavidad abdominal6.
La forma congénita es el resultado de la falta de desarrollo de las uniones ligamentosas primarias del bazo. Se han descrito también diversas anomalías adquiridas que pueden causar laxitud de los ligamentos de soporte, como lo son los cambios hormonales descritos en mujeres en edad reproductiva y con embarazos múltiples, lo que explicaría la presentación predominante en mujeres en pacientes adultos4. Tanto las afecciones congénitas como las adquiridas provocan un pedículo alargado, que está predispuesto a la torsión y puede provocar un infarto parcial o completo debido a que los vasos esplénicos cursan dentro de él7.
El espectro clínico va desde condición asintomática con hallazgo incidental, hasta manifestación de abdomen agudo. Las presentaciones clínicas más frecuentes en niños son el dolor abdominal agudo debido a la torsión, seguido de sensación de masa abdominal4,5. Lo variado e inespecífico de su presentación clínica puede generar confusiones y un diagnóstico tardío con predisposición a una torsión hilar e infarto posterior6, lo que lo convierte en una emergencia abdominal potencialmente mortal7.
Debido a la dificultad en el diagnóstico clínico, las pruebas de imagen juegan un papel esencial para su detección oportuna. La tomografía computarizada con doble contraste (TACc) es el estudio de imagen de elección para el diagnóstico de bazo ectópico cuando se sospecha torsión. Los hallazgos de la TACc incluyen la posición ectópica del bazo, la grasa circundante en el hilio esplénico, que puede estar acompañada o no de torsión de la cola pancreática, y la apariencia en espiral del pedículo esplénico o “whirl sign”, hallazgo patognomónico de torsión esplénica7,8,9,10.
El tratamiento del bazo errante es quirúrgico. La decisión de realizar esplenopexia vs espenectomía, depende del éxito de la detorsión y de la viabilidad del bazo (cuando hay torsión, la esplenectomía debe realizarse en condición de infarto esplénico masivo y/o trombosis venosa esplénica)5.
Se presenta el caso de un paciente en edad preescolar, que presentó dolor abdominal asociado a sensación de masa en hipogastrio, posteriormente se confirmó la presencia de bazo ectópico con torsión del pedículo vascular, en el cual se llevó a cabo detorsión exitosa con esplenopexia.
Se describe el siguiente caso con el objetivo de resaltar la importancia del conocimiento de esta entidad que, aunque es poco frecuente, puede dar lugar a complicaciones como la torsión del pedículo esplénico, que pueden convertirse en emergencia. Es necesario lograr la confirmación del diagnóstico y tratamiento oportunos, para impactar de manera positiva en la salud del paciente.
Caso clínico
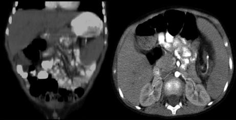
Paciente masculino de 4 años de edad procedente de Guamo (Tolima), con antecedente de cirugía antirreflujo a los 2 años de vida (funduplicatura Nissen (FN) + piloromiotomia anterior) y dolor abdominal crónico estudiado 12 meses previo al ingreso actual, donde se realizó TACc abdominal que evidenció leve esplenomegalia, se descartaron patologías infecciosas o alteraciones hematológicas (Ver Figura 1).
Consultó al servicio de urgencias en compañía de la madre por cuadro clínico de una semana de evolución, consistente en dolor abdominal intermitente, agudizado cuatro días previo a su ingreso, asociado a síntomas respiratorios altos, picos febriles cuantificados (38.5°C) que cedían con la administración de acetaminofén.

Fuente: autores
Figura 1 TC de abdomen contrastado realizad a los 3 años de vida con evidencia de bazo con implantación baja y adecuada perfusión esplénica
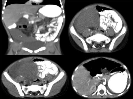
Al ingreso, se encontró con deshidratación grado I, con taquicardia, febril y sensación de masa a nivel de fosa ilíaca derecha, dolorosa a la palpación y sin signos de irritación peritoneal. Se consideró inicialmente que cursaba con probable plastrón apendicular, por lo que se inició manejo antibiótico (ampicilina/ sulbactam), líquidos endovenosos y reposo intestinal. Los paraclínicos de ingreso mostraron leucocitosis 21.400 cel/mm3 con neutrofilia y proteína C reactiva negativa. Se realizó TACc con hallazgo sugestivo de bazo ectópico, torsión del pedículo vascular y compromiso isquémico (Ver Figura 2), razón por la cual se decidió llevar a laparoscopia exploratoria de urgencia.

Fuente: autores
Figura 2 TACc abdominal: bazo ectópico a nivel de fosa ilíaca derecha con líquido periesplénico
En primer tiempo laparoscópico, se evidenció división del ligamento gastroesplénico por el antecedente quirúrgico descrito, bazo ectópico en fosa iliaca derecha con proceso inflamatorio perivisceral y el pedículo vascular esplénico rotado en 720° (Ver Figura 3.A). Se realizó detorsión del pedículo vascular y ante la no claridad de la relación del mismo con el meso del colon, se realizó laparotomía exploratoria, logrando recuperación del flujo vascular del bazo, por lo que se realizó conservación esplénica con esplenopexia a nivel de hipocondrio izquierdo, utilizando 4 puntos separados de Prolene vascular 3-0 entre el diafragma y el peritoneo parietal lateral de la pared abdominal, y rotando un colgajo pediculado de omento mayor para evitar efecto de cizallamiento esplénico con el material de sutura.(Ver Figura 3.C)

Fuente: autores
Figura 3.A Hallazgo intraoperatorio. Bazo en ubicación ectópica en fosa ilíaca derecha, con pedículo laxo, torsión del mismo y con signos de isquemia.

Fuente: autores
Figura 3.B Hallazgo intraoperatorio. Bazo posterior a la detorsión del pedículo vascular, con mejoría de la perfusión del órgano.

Fuente: autores
Figura 3.C Esplenopexia con suturas de prolene vascular 3-0, entre peritoneo parietal y diafragma.
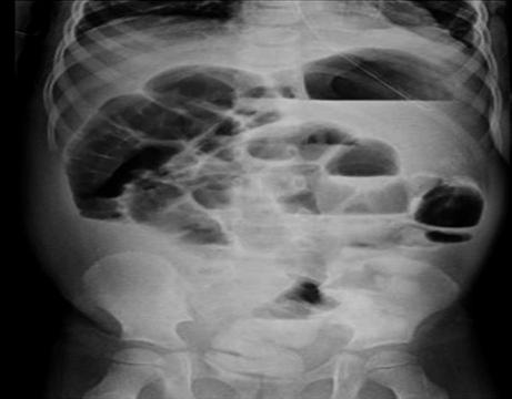
El paciente presentó evolución posquirúrgica inmediata adecuada, con Doppler esplénico a las 24 horas que evidenció bazo bajo la modalidad doppler, pulsado y codificado por color curvas espectrales fasicas normales y adecuadas en el hilio esplénico, confirmando adecuada perfusión esplénica. Se realizó manejo de dolor posquirúrgico con catéter peridural con infusión de bupivacaína al 0.1%, que fue retirado al tercer día posquirúrgico. Presentó íleo posquirúrgico en el cuarto día (Ver Figura 4) se dio manejo médico (reposo gástrico, sonda nasogástrica, deambulación e hidratación endovenosa) con evolución clínica satisfactoria a las 48 horas, por lo que se indicó egreso.

Fuente: autores
Figura 4 Radiografía de abdomen decúbito supino con hallazgos sugestivos de íleo posquirúrgico.
Fue revalorado de manera ambulatoria 30 días posterior a su egreso, confirmando buen estado clínico y adecuada función esplénica dada por normalización progresiva en parámetros hematológicos, hallando disminución del recuento plaquetario evidenciado en 700.000 cel/mm3, que durante el postoperatorio alcanzó valores hasta de 1.615.000 cel/mm3, se encontró normalización de hemoglobina 12g/dl, previamente reportada en 9.4g/ dl, sin requerir medidas de intervención adicionales.
Discusión
El bazo errante se ha descrito como una entidad poco frecuente, que suele presentarse en la infancia y en adultos entre los 20 y 40 años, especialmente en mujeres con respecto a hombres, en una proporción de 20:12.
En algunos reportes de la literatura de esta entidad, no se encuentran antecedentes quirúrgicos claros (500 casos reportados desde 2002)11, existe poca evidencia de pacientes con antecedente de reparación de hernia diafragmática congénita como en el caso descrito por Metha et al 3 y/o Funduplicatura de Nissen en el reporte de Khoi et al 11. En este procedimiento se incluye en la técnica quirúrgica la ligadura del ligamento gastroesplénico y de los vasos gástricos cortos con el objetivo de disminuir la morbilidad posquirúrgica y la tensión de la funduplicatura, sin embargo puede facilitar la movilidad esplénica, como en el caso clínico reportado.
El 70% al 80% de los casos reportados son mujeres en edad fértil12 y en un tercio de los casos se encuentra en niños, con prevalencia de niñas respecto a niños en mayores de 1 año4.
La forma congénita de la rotación esplénica se presenta debido a una laxitud o ausencia de los ligamentos suspensorios del bazo (esplenorenales, gastroesplénicos, esplenocólicos y espleno-peritoneal), lo que predispone a una mayor movilidad del órgano dentro de la cavidad abdominal y posible torsión a lo largo del pedículo vascular13.
Diagnóstico:
Ante la baja frecuencia descrita, la sospecha clínica, (dolor abdominal crónico, la sensación de masa abdominal y en algunos casos alteraciones de las líneas hematológicas y/o antecedentes quirúrgicos ya descritos) y el conocimiento de la entidad es importante para lograr un diagnóstico oportuno y enfoque adecuado11,12,13,14.
Dentro de las manifestaciones clínicas del paciente del presente caso, se resalta la importancia del dolor abdominal crónico, intermitente, con agudización del cuadro, dada por aumento del dolor y síndrome febril asociado, posiblemente secundario a la torsión del pedículo vascular esplénico, que son signos y síntomas similares a los encontrados en los diferentes casos reportados12-15 Adicionalmente, se pueden encontrar alteraciones inespecíficas en las pruebas de laboratorio, como leucocitosis y en algunos casos trombocitosis o trombocitopenia asociada2-16.
De acuerdo a la presentación, los estudios de imagen tienen gran utilidad como herramienta diagnóstica. En pacientes con casos de dolor abdominal crónico e intermitente, la ecografía abdominal total + Doppler permite advertir la localización anormal del bazo y determinar alteraciones en la perfusión del mismo, y en los casos agudos, la TACc, tiene mayor rendimiento, ya que permite diagnosticar la entidad al tiempo que descarta otras causas de dolor abdominal 7.
A pesar del antecedente de FN en nuestro paciente, la impresión diagnóstica inicial fue plastrón apendicular, razón por la que se solicitó TACc (Ver Figura 2), en el que se logró el diagnóstico de bazo ectópico con torsión del pedículo y se llevó a cirugía de urgencia.
Tratamiento:
El tratamiento del bazo errante es quirúrgico. Se reconoce que la mortalidad intraoperatoria es inferior al 1%, pero se han descrito complicaciones hasta del 65% de los casos no tratados quirúrgicamente2. Sin embargo, debido al reconocimiento de la importante función inmunológica del bazo y a la alta incidencia de sepsis postesplenectomía, especialmente en la población pediátrica, se prefiere la conservación esplénica con esplenopexia siempre que sea posible, es decir, en ausencia de hallazgos de infarto esplénico masivo o trombosis venosa esplénica que obligarían a realizar una esplenectomía 3-12.
Se describe en la literatura la realización de detorsión del pedículo esplénico vía abierta o laparoscópica asociado a esplenopexia, en el cual se utilizan materiales protésicos tipo malla de polipropileno, prótesis de material absorbible, o incluso la creación de bolsillo peritoneal para lograr la fijación adecuada del bazo en su localización habitual 14. En el presente caso, se realizó detorsión del pedículo esplénico comprobando reperfusión exitosa y se llevó a cabo la esplenopexia descrita debido a la edad del paciente, adicionalmente, el moderado proceso inflamatorio disminuía la posibilidad de creación de bolsillo peritoneal y, con el fin de reducir al máximo la probabilidad de adherencias peritoneales vs fístula asociada a materiales protésicos se consideró como mejor opción la realización de esplenopexia con la técnica descrita, obteniendo resultados posteriores satisfactorios.
Conclusiones
La rotación esplénica es una patología de baja frecuencia. Su diagnóstico depende del conocimiento previo de la entidad y de la identificación de factores de riesgo en el paciente. La Tomografía computarizada con contraste es la técnica de imagen de elección y, posterior al diagnóstico, se debe ofrecer un tratamiento oportuno que permita tanto la conservación del bazo como su respectiva fijación, esto con el fin de evitar esplenectomía, siempre que sea posible, y la morbimortalidad asociada.













