SciELO - Scientific Electronic Library Online

 
vol.34 issue3Lymphedema: from pathophysiology to current treatmentReno-appendicular fistulus as an unusual presentation of xanthogranulomatous pyelonephritis: a case report author indexsubject indexarticles search
Home Pagealphabetic serial listing  

Services on Demand

Journal

Article

Indicators

Related links

  • On index processCited by Google
  • Have no similar articlesSimilars in SciELO
  • On index processSimilars in Google

Share


Medicas UIS

Print version ISSN 0121-0319On-line version ISSN 1794-5240

Medicas UIS vol.34 no.3 Bucaramanga Sep./Dec. 2021  Epub June 22, 2022

https://doi.org/10.18273/revmed.v34n3-2021007 

Presentación de caso

Hernia diafragmática congénita posterolateral derecha sin herniación hepática: presentación de caso con tratamiento exitoso

Right posterolateral congenital diaphragmatic hernia without liver herniation: presentation of a case with successful treatment

Andrés Felipe Rubio Duarte*  a 

Daniel Ricardo Angarita** 

Luis Augusto Zarate Suarez*** 

*Médico Interno, Hospital Universitario de Santander. Facultad de Ciencias de la Salud. Universidad Autónoma de Bucaramanga. Bucaramanga. Colombia

**Médico Interno, Hospital Universitario de Santander. Facultad de Ciencias de la Salud. Universidad Industrial de Santander. Bucaramanga. Colombia

***Médico Cirujano Pediátrico. Departamento de Cirugía Pediátrica. Hospital Universitario de Santander. Bucaramanga. Colombia


Resumen

La hernia diafragmática congénita es un defecto en la formación del diafragma con una alta mortalidad y morbilidad para el recién nacido. La ubicación en el lado derecho corresponde a solo el 10% de todos los casos y se asocia con una menor supervivencia, especialmente cuando hay una herniación hepática. No se conoce con precisión el porcentaje de casos de hernia diafragmática congénita derecha que no implican una herniación hepática. Aun no hay certeza del tiempo estimado para obtener el mayor beneficio de la corrección quirúrgica, en nuestro caso realizado con éxito a los 2 días de vida, logrando previamente una adecuada estabilidad hemodinámica y ventilatoria. El manejo perioperatorio en unidad de cuidado intensivo neonatal, es fundamental para reducir la morbimortalidad asociada. Se presenta un caso de hernia diafragmática congénita derecha tratado con éxito y se exponen los aspectos más relevantes del manejo médico-quirúrgico de esta patología. MÉD.UIS.2021;34(3): 71-7.

Palabras clave: Hernia diafragmática; Anomalías congénitas; Recién nacido

Abstract

Congenital diaphragmatic hernia is a congenital defect in the formation of the diaphragm with high mortality and morbidity for the newborn. The location on the right side corresponds to only 10% of all cases and is associated with a lower survival, especially when there is a liver herniation. The percentage of cases of right congenital diaphragmatic hernia that do not involve liver herniation is not known with precision. An estimated time to obtain the greatest benefit from surgical correction is not known with certainty, in our case it was carried out successfully at 2 days of life, previously achieving adequate hemodynamic and ventilatory stability. Perioperative management in the neonatal intensive care unit is essential to reduce the associated morbidity and mortality. A case of congenital right diaphragmatic hernia treated successfully is presented and the most relevant aspects of the medical-surgical management of this pathology are exposed. MÉD. UIS.2021;34(3): 71-7.

Keywords: Congenital Diaphragmatic Hernia; Congenital Abnormalities; Infant Newborn

Introducción

La hernia diafragmática congénita (HDC) es una anomalía en la embriogénesis del diafragma, constituida como un defecto anatómico diafragmático que permite una herniación de vísceras abdominales dentro de la cavidad torácica, interfiriendo en el desarrollo embriológico pulmonar1. El desarrollo embrionario del diafragma inicia en la cuarta semana de gestación y termina con la fusión de las membranas pleuroperitoneales, que constituyen cada una de las cúpulas diafragmáticas, cerca de la semana 12 de gestación1. Esta fusión incorrecta de las membranas pleuroperitoneales es lo que genera la HDC. Solamente el 10% de los casos de HDC son de lateralidad derecha1 y es de peor pronóstico que lateralidad izquierda, la presencia de herniación hepática implica una mayor ocupación torácica por vísceras abdominales y con esto un mayor grado de hipoplasia pulmonar. No hay casos reportados de HDC sin herniación hepática, siendo este un hallazgo raro y que teóricamente impacta de manera positiva en el pronóstico al generar menor afectación al desarrollo pulmonar.

La incidencia HDC en Europa y Estados Unidos oscila entre 2.3-2.6 por cada 10.000 nacidos vivos y con una tasa de una mortalidad entre un 40%-48%2,3,4, sin embargo, existe una subestimación del comportamiento epidemiológico real, debido a que entre el 25%-35% de los casos con diagnóstico prenatal terminan en aborto, óbito fetal o muerte neonatal temprana5,6. Aún no se disponen de datos epidemiológicos de esta patología en Colombia. Los avances científicos en materia de preparación quirúrgica y cuidados postoperatorios han mejorado, hasta en un 20%, la tasa de sobrevida7,8.

Esta patología representa un reto para los especialistas en pediatría y cirugía pediátrica, no tanto por la dificultad diagnóstica, sino por la alta carga de morbimortalidad que se le atribuye9,10. Inicialmente se consideraba una emergencia quirúrgica, pero con el paso del tiempo se ha demostrado que la estabilización del recién nacido es parte fundamental antes de considerar la corrección quirúrgica. El control de la hipertensión pulmonar y la corrección quirúrgica del defecto son el pilar fundamental en el manejo de esta patología, utilizándose actualmente terapias avanzadas para el soporte ventilatorio y hemodinámico, como el óxido nítrico inhalado, ventilación mecánica invasiva de alta frecuencia oscilatoria (VAFO) y oxigenación con membrana extracorpórea (ECMO)11. Gran parte de los recién nacidos con HDC debutan con falla respiratoria aguda que requiere soporte ventilatorio en unidad de cuidado intensivo neonatal de forma inmediata, una pequeña proporción de casos permanecen asintomáticos y son diagnosticados de forma incidental en los primeros 6 meses de vida, en especial, aquellos casos con un menor tamaño del defecto y no presentan herniación de vísceras abdominales12. El defecto puede corregirse mediante la utilización de sutura, afrontando ambos bordes del defecto, o con el uso de mallas cuando el defecto es de gran tamaño.

El objetivo de este reporte es hacer una revisión del manejo médico y quirúrgico de la HDC y presentar el caso de un recién nacido con hernia diafragmática congénita derecha sin herniación hepática, tratado de forma exitosa mediante un manejo multidisciplinario por especialistas en cirugía pediátrica, cuidado intensivo neonatal y pediatría en un centro de salud de III nivel de la ciudad de Bucaramanga.

Reporte de caso

Recién nacido masculino de 8 meses de gestación que nace por cesárea debido a estado fetal insatisfactorio, con diagnóstico ecográfico de hernia diafragmática congénita derecha y estenosis esofágica, por ecografía obstétrica realizada el día previo al parto; producto de segundo embarazo de madre con 31 años de edad, sin controles prenatales, resultados negativos de ELISA para VIH, VDRL y antígeno de superficie para Hepatitis B y con riesgo de seroconversión para toxoplasmosis.

Nace con peso de 2800 gramos, talla 47 centímetros, perímetro cefálico 35 centímetros y perímetro torácico 30 centímetros; mala adaptación neonatal, con puntaje APGAR a los 5 minutos de 5/10, se comienza ventilación con Neopuff y es trasladado inmediatamente al servicio de cuidado intensivo neonatal ante no mejoría de saturación de oxígeno y mal estado general. Al ingreso se realiza intubación orotraqueal, se administra una dosis de surfactante pulmonar y requiere reanimación cardiopulmonar avanzada en dos ocasiones, con duración de 2 minutos cada una y un intervalo de 3 minutos entre ellas.

Se inicia soporte hemodinámico con Adrenalina 0,1 mcg/kg/min, Norepinefrina 0,15 mcg/kg/min y Milrinone 0,1 mcg/kg/min, adicionando soporte ventilatorio con VAFO a 8 Hz. El reporte de gases arteriales al ingreso a cuidado intensivo muestra pH 7.18, PaCO2 64.8 mmHg, PO2 45 mmHg y un índice de oxigenación de 40.

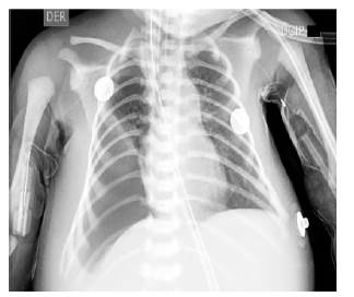
Se realiza radiografía de tórax antero-posterior (Ver figura 1) donde se evidencian asas intestinales en hemitórax derecho que limitan la expansión pulmonar derecha, desplazamiento del mediastino a la izquierda, opacidades en vidrio esmerilado en campo pulmonar izquierdo, matidez hepática en hipocondrio izquierdo y sin evidencia de derrame pleural u otra alteración, confirmando el diagnóstico realizado en la ecografía prenatal, de hernia diafragmática congénita derecha sin herniación hepática e hipoplasia pulmonar derecha severa. Dentro de los diagnósticos diferenciales a considerar se encuentra la malformación adenomatoidea quística pulmonar, aunque en este caso, ante la presentación del cuadro clínico típico y hallazgos en la ecografía prenatal se confirmó el diagnóstico de HDC.

Fuente: autores.

Figura 1 Radiografía de tórax a 12 horas de vida.  

El paciente continuó en cuidados intensivos hasta su estabilización, que se alcanza a los dos días de vida, con un Índice de Oxigenación 11.2, fracción inspirada de oxígeno (FiO2) 0.45, saturación de oxígeno 98% y gasto urinario de 5 cc/kg/hora; lo que permitió el abordaje quirúrgico, el cual se realiza por laparotomía subcostal derecha, hallando lo siguiente: hernia diafragmática posterolateral derecha tipo C (Ver figura 2A), asas intestinales delgadas y colon en hemitórax derecho, hígado en hipocondrio izquierdo de ubicación medial a la posición anatómica habitual, adherencias fibrosas fuertes entre región subhepática y asas delgadas (Bandas de Ladd) y malrotación intestinal (Ver figura 2B).

Fuente: autores.

Figura 2 A. Defecto diafragmático parcialmente corregido con sutura. B. Bandas de Ladd. 

Se procede a extraer las asas intestinales y se llevan a la cavidad abdominal, practicando rafia del defecto diafragmático con puntos simples de sutura sintética trenzada no absorbible calibre 2.0 y colocando dos puntos de sutura pericostales adicionales, se ubican las asas intestinales en cavidad abdominal y se disecan y liberan las bandas de Ladd. Finalmente se cierra por planos la pared abdominal con sutura absorbible de Vicryl 2.0® y se cubre la incisión con apósito de Micropore®.

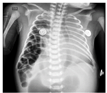
En el posquirúrgico inmediato el paciente se traslada a cuidado intensivo, manteniendo soporte ventilatorio y hemodinámico, observando hallazgos radiológicos torácicos (Ver figura 3) de neumotórax en más del 90% del campo pulmonar derecho con colapso parcial del pulmón en este hemitórax, esto debido a la hipoplasia pulmonar, más no a un neumotórax verdadero. Adicionalmente, con hallazgos ecocardiográficos de hipertensión pulmonar severa, desviación a la izquierda del tabique interventricular e hipertrofia ventricular derecha y sin otro tipo de hallazgo patológico morfofuncional cardiaco, por lo que se adiciona manejo con óxido nítrico inhalado, obteniendo adecuada respuesta inicial.

Fuente: autores.

Figura 3 Radiografía de tórax en el postquirúrgico inmediato. 

Luego de 18 horas de postoperatorio, se observa disminución rápida de la saturación de oxígeno, por lo cual se aumenta el soporte ventilatorio y se toma una radiografía de tórax (Ver figura 4) que muestra radiopacidad en los 2/3 inferiores del hemitórax derecho, que al examen ecográfico es concordante con hemotórax a este nivel y se procede a la realización de toracostomía cerrada y drenaje pleural continuo con Pleurovac®, el cual fue retirado luego de 30 días. El paciente continuó en cuidado intensivo con mejoría de los parámetros gasométricos y con soporte hemodinámico y ventilatorio. Se da egreso de unidad de cuidado intensivo neonatal a los 57 días con soporte de oxígeno por cánula nasal, tolerancia a la nutrición enteral y manejo broncodilatador. Luego de 72 días de estancia hospitalaria se da egreso, con vigilancia ambulatoria por diferentes especialidades y manejo farmacológico con broncodilatador.

Fuente: autores.

Figura 4 Radiografía de tórax con presencia de hemotórax derecho.  

Discusión

La hernia diafragmática congénita es una malformación congénita de etiología aún desconocida y que genera una importante carga de morbilidad y mortalidad neonatal, más aún cuando no se dispone de un diagnóstico o control prenatal adecuado, obteniéndose una precisión diagnóstica con ecografía prenatal cercana al 90%13. El diagnóstico prenatal permite una planeación más adecuada de la terminación del embarazo por cesárea y permite optimizar el abordaje médico y quirúrgico del recién nacido. No hay claridad en cuanto a cuál es el momento adecuado para finalizar el embarazo en estos casos.

El defecto diafragmático se encuentra presente desde la décima semana de gestación, donde existe una fusión inadecuada de los segmentos que conforman las membranas pleuroperitoneales, las cuales constituyen embriológicamente el diafragma14. En alrededor del 75% de los casos el defecto compromete la pared diafragmática posterolateral izquierda, en un 10% la mitad o todo el hemidiafragma, en un 10% a nivel medial retroesternal y en un 5% de forma bilateral, un 90% ocurren en el hemidiafragma izquierdo y un 8-10% en el derecho15; además se ha estandarizado la clasificación de la HDC de acuerdo al tamaño del defecto1 (Ver tabla 1). El defecto tipo C en nuestro caso implica que compromete más del 50% del hemidiafragma derecho y en este caso fue posible realizar el cierre mediante sutura. En algunos casos, este tipo de defectos, especialmente cuando ocupan más del 80%, pueden ser corregidos con el uso de parches y mallas protésicas9. Este es el primer caso en la literatura de HDC derecha de gran tamaño sin herniación hepática, en nuestro caso la totalidad del hígado se encontraba en cavidad abdominal medial al hipocondrio derecho. La presencia de situs inverso, dado el hallazgo de la posición del hígado, fue descartada.

Tabla 1 Clasificación de la hernia diafragmática congénita de acuerdo al tamaño del defecto. 

Fuente: 1.

Cerca del 60% de los pacientes con HDC no tienen otra malformación asociada y un 10-35% tienen algún tipo de anomalía cromosómica16, las malformaciones asociadas con mayor frecuencia son cardiopatías congénitas, alteraciones del tubo neural y malformaciones urogenitales17,18. La presencia de otra malformación congénita disminuye el pronóstico de vida, en especial cuando hay una cardiopatía congénita asociada. Las anomalías cromosómicas presentes con mayor frecuencia son la trisomía 13, 18, 21, monosomía del X, tretrasomía I2p y tetraploidía 211. Nuestro caso corresponde a una única malformación diafragmática, sin hallazgos clínicos de alteraciones sindrómicas y descartándose alteraciones cardiovasculares y urogenitales mediante ecografía.

El problema clínicamente más relevante de la HDC es la alteración pleuropulmonar derivada de la presencia de órganos abdominales a nivel torácico, interrumpiendo el desarrollo pulmonar, por lo que al momento del nacimiento gran parte de los casos se presentan con hipoplasia pulmonar ipsilateral al sitio de la lesión, llevando a hipertensión pulmonar19,20. El grado de inmadurez pulmonar y la presencia y gravedad de otras malformaciones son inversamente proporcionales al pronóstico clínico21,22, además de esto, la presencia de herniación hepática y lateralidad derecha del defecto se asocian a una menor supervivencia23,24.

La corrección quirúrgica de la HDC no constituye una emergencia, aunque aún no se tiene claro el mejor momento para realizarla25, la preparación para la intervención quirúrgica consiste en lograr la mejor ventilación posible y disminución de la resistencia vascular pulmonar26,27. El uso de terapia con ECMO no ha demostrado mejorar la tasa de supervivencia11,28, incluso, se han reportado una mayor incidencia de complicaciones neurológicas en comparación con aquellos que son tratados con medidas de soporte ventilatorio y hemodinámico convencionales29. El caso presentado requirió un manejo con doble soporte inotrópico y VAFO previo a la corrección quirúrgica, adicionando óxido nítrico inhalado en el postoperatorio.

El abordaje quirúrgico se puede realizar mediante laparotomía subcostal, por toracotomía o toracoscopia, con el objetivo de lograr el cierre primario del defecto con sutura o requiriendo, en caso de defectos que comprometen gran parte del diafragma, la utilización de mallas o parches protésicos9,30. No existen diferencias en los desenlaces clínicos de acuerdo al tipo de técnica quirúrgica utilizada. En este caso fue realizado mediante laparotomía subcostal y con utilización de sutura. La gran mayoría de las intervenciones quirúrgicas se realizan entre los 2 a 10 días de vida, sin encontrarse beneficio clínicamente relevante o mejor pronóstico en aquellos pacientes que son llevados a corrección quirúrgica de forma más temprana31. Es necesario el control de la hipertensión pulmonar, estado ácido-base y ventilación antes de llevar al recién nacido a la corrección quirúrgica definitiva. Se sugiere que el recién nacido sea llevado a cirugía cuando presente un gasto urinario > 1ml/kg/h, FiO2 <0.5, lactato sérico <3mmol/l, saturación de oxígeno entre 85%-95%, sin hipotensión arterial y con presión pulmonar menor a la presión sistémica32. Estos criterios son discutidos entre las diferentes sociedades científicas y aún no existe evidencia que demuestre claramente cuáles son los mejores parámetros hemodinámicos y ventilatorios indicados para obtener un mejor desenlace. En este caso fue llevado a corrección quirúrgica cuando se logró una adecuada saturación de oxígeno con FiO2 de 0,45 y con el menor índice de oxigenación posible.

La incidencia de complicaciones o morbilidad crónica en pacientes con antecedente de HDC es cercana al 60-70% y depende de factores como la lateralidad y tamaño del defecto33. La presencia de herniación hepática cuando es de lateralidad derecha tiende a generar una mayor hipoplasia pulmonar y, con esto, mayor probabilidad de afección respiratoria crónica en comparación con la hernia diafragmática izquierda. Dentro de las morbilidades con mayor incidencia se encuentran la escoliosis, reflujo gastroesofágico, alteraciones de la pared torácica como el pectum excavatum, menor tolerancia a la actividad física y alteraciones neurológicas, especialmente en la visión y audición34, con mayor riesgo de alteraciones neurológicas en quienes persistieron más tiempo con hipertensión pulmonar y requirieron más días de soporte ventilatorio35.

Este caso se presenta como una HDC posterolateral derecha sin herniación hepática cuya intervención quirúrgica se realizó a los 2 días de vida por laparotomía subcostal derecha, cierre primario con sutura absorbible y lográndose un adecuado control hemodinámico y ventilatorio posquirúrgico y evolución satisfactoria hasta el egreso hospitalario. El manejo médico en la unidad de cuidado intensivo por parte de un equipo multidisciplinario, la monitoria continua y un adecuado tratamiento médico y quirúrgico son claves para lograr un mejor pronóstico y disminuir la incidencia de complicaciones.

Conclusiones

La HDC es una anomalía congénita que implica un abordaje diagnóstico y terapéutico integral. El diagnóstico prenatal permite una adecuada planeación del manejo médico y quirúrgico del recién nacido. A pesar que la corrección quirúrgica es el manejo definitivo, esta debe realizarse en el mejor momento, cuando ya se encuentre el paciente en el mejor estado hemodinámico y ventilatorio posible. La hipoplasia pulmonar es la principal complicación de la HDC y es proporcional al tamaño del defecto y de las vísceras abdominales que se encuentran en tórax. Aún no se tiene claro cuál es el mejor momento para obtener un mayor beneficio de la corrección quirúrgica.

El manejo posquirúrgico implica un abordaje estricto en unidad de cuidado intensivo, orientado a brindar el soporte necesario para el manejo de la hipertensión pulmonar secundaria a la hipoplasia pulmonar. La rehabilitación y seguimiento por parte de profesionales en pediatría y cirugía pediátrica permiten un mejor pronóstico y garantizan la menor morbilidad posible.

Este reporte corresponde al primer caso en la literatura científica de HDC derecha de gran tamaño que no presentaba herniación hepática, por lo que no es posible realizar un análisis comparativo. Es inusual la ausencia de herniación hepática en la HDC derecha y en la actualidad no tiene implicación relevante en el manejo médico y quirúrgico definitivo. Se desconoce si este tipo de presentación tiene alguna relación con pronóstico y supervivencia. Aún no hay claridad cuáles son los criterios absolutos para que un recién nacido con hernia diafragmática sea llevado a corrección quirúrgica y tenga el mejor pronóstico. Se sugiere la utilización de parámetros hemodinámicos y ventilatorios, como la FiO2, lactato sérico, gasto urinario, presión pulmonar y arterial, para optimizar el tratamiento quirúrgico y garantizar la mejor evolución postoperatoria.

Referencias

1. Chandrasekharan PK, Rawat M, Madappa R, Rothstein DH, Lakshminrusimha S. Congenital diaphragmatic hernia: A review. Matern Health Neonatol Perinatol. 2017; 3(6): 532-40. [ Links ]

2. McGivern MR, Best KE, Rankin J, Wellesley D, Greenlees R, Addor MC, et al. Epidemiology of congenital diaphragmatic hernia in Europe: A register-based study. Arch Dis Child Fetal Neonatal Ed. 2015; 100(2): F137-44. [ Links ]

3. Woodbury JM, Bojanié K, Grizelj R, Cavalcante AN, Donempudi VK, Weingarten TN, et al. Incidence of congenital diaphragmatic hernia in Olmsted County, Minnesota: a population-based study. J Matern Neonatal Med. 2019; 32(5): 742-8. [ Links ]

4. Larsen UL, Jepsen S, Str0m T, Qvist N, Toft P. Congenital diaphragmatic hernia presenting with symptoms within the first day of life; outcomes from a non-ECMO centre in Denmark. BMC Pediatr. 2020; 20(1): 196. [ Links ]

5. Brownlee EM, Howatson AG, Davis CF, Sabharwal AJ. The hidden mortality of congenital diaphragmatic hernia: a 20-year review. J Pediatr Surg. 2009; 44(2): 317-20. [ Links ]

6. Mantilla JC, Melo MA, Vargas LM. Hernia diagfragmática congénita derecha en el Hospital Universitario de Santander. Salud UIS [Internet]. 2010; 42(2): 133-8. Disponible en: http://www.scielo.org.co/scielo.php?script=sci_arttext&pid=S0121-08072010000200007&lng=enLinks ]

7. Lally KP, Lasky RE, Lally PA, Bagolan P, Davis CF, Frenckner BP, et al. Standardized reporting for congenital diaphragmatic hernia - An international consensus. J Pediatr Surg. 2013; 48(12): 2408-15. [ Links ]

8. Antonoff MB, Hustead VA, Groth SS, Schmeling DJ. Protocolized management of infants with congenital diaphragmatic hernia: Effect on survival. J Pediatr Surg. 2011; 46(1): 39-46. [ Links ]

9. Holcomb G, Murphy JP St Peter S. Ashcraft's Pediatric Surgery. 7th ed. Elsevier; 2019 Abr 14. [ Links ]

10. Kadir D, Lilja HE. Risk factors for postoperative mortality in congenital diaphragmatic hernia: a single-centre observational study. Pediatr Surg Int. 2017; 33(3): 317-23. [ Links ]

11. Bojanié K, Woodbury JM, Cavalcante AN, Grizelj R, Asay GF, Colby CE, et al. Congenital diaphragmatic hernia: outcomes of neonates treated at Mayo Clinic with and without extracorporeal membrane oxygenation. Paediatr Anaesth. 2017; 27(3): 314-21. [ Links ]

12. Malekzadegan A, Sargazi A. Congenital Diaphragmatic Hernia with Delayed Presentation. Case Rep Surg. 2016 Oct 30; 2016(2016): 1-4. [ Links ]

13. Gallot D, Coste K, Francannet C, Laurichesse H, Boda C, Ughetto S, et al. Antenatal detection and impact on outcome of congenital diaphragmatic hernia: a 12-year experience in Auvergne, France. Eur J Obstet Gynecol Reprod Biol. 2006; 125(2): 202-5. [ Links ]

14. Kotecha S, Barbato A, Bush A, Claus F, Davenport M, Delacourt C, et al. Congenital diaphragmatic hernia. Eur Respir J. 2012; 39(4): 820-9. [ Links ]

15. Tovar JA. Congenital Diaphragmatic Hernia. Orphanet J Rare Dis. 2012 En 3; 7(1): 1-15. [ Links ]

16. Mullins ME, Stein J, Saini SS, Mueller PR. Prevalence of Incidental Bochdalek's Hernia in a Large Adult Population. AJR Am J Roentgenol. 2001; 177(2): 363-6. [ Links ]

17. Hartnett KS. Congenital diaphragmatic hernia: Advanced physiology and care concepts. Adv Neonatal Care. 2008; 8(2): 107-15. [ Links ]

18. Stoll C, Alembik Y, Dott B, Roth MP Associated malformations in patients with esophageal atresia. Eur J Med Genet. 2009; 52(5): 287-90. [ Links ]

19. Harting MT. Congenital diaphragmatic hernia-associated pulmonary hypertension. Semin Pediatr Surg. 2017; 26(3): 147-53. [ Links ]

20. Montalva L, Antounians L, Zani A. Pulmonary hypertension secondary to congenital diaphragmatic hernia: factors and pathways involved in pulmonary vascular remodeling. Pediatr Res. 2019; 85(6): 754-68. [ Links ]

21. Tennant PW, Pearce MS, Bythell M, Rankin J. 20-year survival of children born with congenital anomalies: a population-based study. Lancet. 2010; 375(9715): 649-56. [ Links ]

22. McGivern MR, Best KE, Rankin J, Wellesley D, Greenlees R, Addor MC, et al. Epidemiology of congenital diaphragmatic hernia in Europe: A register-based study. Arch Dis Child Fetal Neonatal Ed. 2015; 100(2): F137-44. [ Links ]

23. Mullassery D, Ba'Ath ME, Jesudason EC, Losty PD. Value of liver herniation in prediction of outcome in fetal congenital diaphragmatic hernia: A systematic review and meta-analysis. Ultrasound Obstet Gynecol. 2010; 35(5): 609-14. [ Links ]

24. Metkus AP, Filly RA, Stringer MD, Harrison MR, Adzick NS. Sonographic predictors of survival in fetal diaphragmatic hernia. J Pediatr Surg. 1996; 31(1): 148-52. [ Links ]

25. Chatziioannidis I, Mouravas V, Babatseva E. When is the appropriate timing of surgical repair for congenital diaphragmatic hernia? Hippokratia. 2014; 18(4): 381. [ Links ]

26. Datin-Dorriere V, Walter-Nicolet E, Rousseau V, Taupin P, Benachi A, Parat S, et al. Experience in the management of eighty-two newborns with congenital diaphragmatic hernia treated with high-frequency oscillatory ventilation and delayed surgery without the use of extracorporeal membrane oxygenation. J Intensive Care Med. 2008; 23(2): 128-35. [ Links ]

27. Migliazza L, Bellan C, Alberti D, Auriemma A, Burgio G, Colombo L, et al. A Retrospective study of 111 cases of congenital diaphragmatic hernia treated with early high-frequency oscillatory ventilation and presurgical stabilization. J Pediatr Surg. 2007; 42(9): 1526-32. [ Links ]

28. McHoney M, Hammond P. Role of ECMO in congenital diaphragmatic hernia. Arch Dis Child Fetal Neonatal Ed. 2018; 103(2): F178-81. [ Links ]

29. Danzer E. Kim SS. Neurodevelopmental outcome in congenital diaphragmatic hernia: Evaluation, predictors and outcome. World J Clin Pediatr. 2014; 3(3): 30-6. [ Links ]

30. Zani A, Zani-Ruttenstock E, Pierro A. Advances in the surgical approach to congenital diaphragmatic hernia. Semin Fetal Neonatal Med. 2014; 19(6): 364-9. [ Links ]

31. Rozmiarek AJ, Qureshi FG, Cassidy L, Ford HR, Hackam DJ. Factors influencing survival in newborns with congenital diaphragmatic hernia: The relative role of timing of surgery. J Pediatr Surg. 2004; 39(6): 821-4. [ Links ]

32. Puligandla PS, Skarsgard ED, Offringa M, Adatia I, Baird R, Bailey JAM, et al. Diagnosis and management of congenital diaphragmatic hernia: a clinical practice guideline. CMAJ. 2018; 190(4): E103-12. [ Links ]

33. Putnam LR, Harting MT, Tsao K, Morini IF Yoder BA, Luco M, et al. Congenital diaphragmatic hernia defect size and infant morbidity at discharge. Pediatrics. 2016; 138(5). [ Links ]

34. Peetsold MG, Heij HA, Kneepkens CMF Nagelkerke AF, Huisman J, Gemke R. The long-term follow-up of patients with a congenital diaphragmatic hernia: A broad spectrum of morbidity. Pediatr Surg Int. 2009; 25(1): 1-17. [ Links ]

35. Morini F, Valfrè L, Bagolan P Long-term morbidity of congenital diaphragmatic hernia: A plea for standardization. Semin Pediatr Surg. 2017; 26(5): 301-10. [ Links ]

¿Cómo citar este artículo? Ricardo-Angarita D, Rubio-Duarte AF, Zarate Suarez LA. Hernia diafragmática congénita posterolateral derecha sin herniación hepática: presentación de caso con tratamiento exitoso. MÉD.UIS.2021;34(3): 71-7. doi: 10.18273/revmed.v34n3-2021007

Consideraciones éticas Se obtuvo consentimiento informado por parte de representante legal del paciente y en cumplimiento de la Ley 23 de 1981 donde se establecen los lineamientos de ética en investigación en Colombia.

Recibido: 27 de Febrero de 2021; Aprobado: 22 de Junio de 2021

aCorrespondencia: Dr. Andrés Felipe Rubio-Duarte. Correo electrónico: arubio888@unab.edu.co

Creative Commons License Este es un artículo publicado en acceso abierto bajo una licencia Creative Commons