Introducción
La esquizencefalia es una malformación cerebral congénita del grupo de trastornos de migración neuronal; se caracteriza por presentar hendiduras de la corteza cerebral que se extienden desde la superficie pial hasta el ventrículo lateral1. Se categoriza, según su morfología, como unilateral o bilateral, y se divide a su vez en tipo I y II, según la disposición de las hendiduras (ver tabla 1), las cuales representan una falla del desarrollo del crecimiento cerebral2.
Tabla 1 Clasificación de los diferentes tipos de esquizencefalia
Fuente: tomado de Carrizosa J, Cornejo W, Mejía L, Gómez J. Esquizencefalia: un trastorno de la migración neuronal. Iatreia. 2007;20(3):275-28114.
En Estados Unidos, se notifica una prevalencia de 1,54/100 000 nacidos vivos, donde la esquizencefalia bilateral es la más frecuente, y un 60 % corresponde a tipo labio abierto. Por otro lado, Hungría tiene una prevalencia de 0,54/100 000 nacidos vivos3. Actualmente, no se encuentran datos de esta enfermedad en Colombia, por lo cual, el reporte de este caso marca un precedente para la literatura científica, al tratarse de una esquizencefalia unilateral de labio abierto, que se sospechó con ecografía prenatal a las 30 semanas de gestación (SDG), y se confirmó mediante resonancia magnética fetal a las 35,6 SDG.
En la mayoría de casos, la enfermedad es esporádica, no heredada. Al tratarse de un trastorno poco común, no se ha dilucidado totalmente su etiología, sin embargo, se ha reportado exposición a teratógenos como la warfarina, tabaco, cocaína, formaldehído y alcohol como posible causa de la mutación4; también se ha relacionado con las infecciones virales, en especial, el citomegalovirus (CMV), el cual afecta las células gliales radiales, lo que interrumpe el proceso migratorio neuronal5; además, se ha encontrado una asociación con la edad materna menor a 20 años1.
La teoría más aceptada es descrita por el Instituto Valenciano de Microbiología (IVAMI), donde se relaciona como causa las aneuploidías con mutación en el cromosoma 10q 26,1 en el gen EMX2 (en el 70 % de los casos estudiados). Este gen se encarga de la configuración del tracto urogenital y del sistema nervioso central; la pérdida de su función provoca hipoperfusión circulatoria que contribuiría a infartos en la matriz germinal, lo que impide la migración normal entre la SDG octava y dieciséis6.
Las manifestaciones clínicas cubren un espectro desde lo asintomático hasta un compromiso neuronal grave con epilepsia de crisis focales. La clínica se asocia directamente con el tipo y extensión de la malformación, por ello, las lesiones estructurales leves se relacionan con hemiparesia congénita, espasticidad y retardo mental; mientras que las lesiones estructurales graves se manifiestan en crisis epilépticas (aunque Gulilat afirma que estas no dependen de la extensión anatómica afectada7), alteraciones en el desarrollo del lenguaje, defectos visuales y, en ocasiones, anormalidades somáticas y faciales, como paladar hendido o deformidad en la órbita. Se describe la triada clásica: trastorno motor, crisis convulsivas y discapacidad intelectual, cuya aparición es común cuando la esquizencefalia se localiza en el lóbulo frontal. Los pacientes con la presentación de labio cerrado tienen mejor desarrollo psicomotor, contrario al subtipo de labio abierto reportado8.
El diagnóstico ecográfico prenatal no es sencillo, aunque permite una sospecha diagnóstica. Durante los casos prenatales hay evidencia de cambio progresivo en la ecografía prenatal, pues se identifica la ventriculomegalia varias semanas antes del reconocimiento de la esquizencefalia9. La neurosonografía es el gold estándar en pacientes donde se sospecha o se detecta una anomalía del sistema nervioso central; en la ecografía básica, se realiza un barrido más detallado junto a un estudio morfológico y biométrico de todas las estructuras encefálicas y de los diferentes cortes coronales y sagitales10; en la esquizencefalia, se observan imágenes anecoicas de gran tamaño, que pueden localizarse en la porción central del hemisferio cerebral11. Por otro lado, la Resonancia Magnética Nuclear (RMN) permite identificar con mayor precisión las características específicas de la patología, ya que permite ver el signo patognomónico que es la presencia de hendiduras del Líquido Cefalorraquídeo (LCR) revestidas por sustancia gris; además, incluye otros tipos de malformaciones asociadas que no se observan con otros estudios imagenológicos12. La Tomografía Computarizada de Cráneo (TAC) es útil, aunque no en el mismo grado, pues proporciona imágenes de la materia gris que permiten diferenciar entre malformación y otros fluidos asociados a anomalías del SNC. La esquizencefalia suele encontrarse asociada a la hidrocefalia (en 30 % de los casos), la ausencia del septum pellucidum o del cuerpo calloso (hasta en un 75 % de las veces), atrofia del nervio óptico, displasia focal de la corteza, quistes aracnoideos, hemiatrofia cerebral, sustancia gris heterotópica13, encefalocele occipital, facies dismórfica y comunicación interventricular cardíaca12.
El tratamiento es sintomático, dirigido a las manifestaciones, según el tipo, extensión y gravedad de las lesiones, por lo cual, es multidisciplinario y consiste en rehabilitación del déficit motor y cognitivo. Las convulsiones son frecuentes en estos pacientes, por lo cual, se utilizan antiepilépticos y, en caso de ser resistentes, se trata con neurocirugía14. La lobectomía concomitante a las hendiduras podría eliminar este tejido epileptogénico, mejorando la calidad de vida del paciente15, sin embargo, se asocia con hemorragia posoperatoria, empiemas, meningitis, hidrocefalia y distensión de los espacios del líquido paracerebral, lo que forma higromas subdurales o higrohematomas16.
Presentación del caso clínico
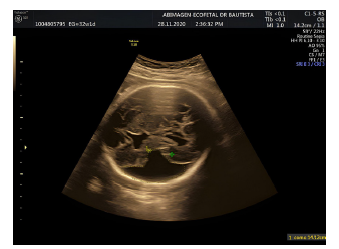
Paciente primigestante de 18 años de edad, sin antecedentes de infección por TORCH, quien asiste a sus controles prenatales con curso normal y sin alteraciones fetales en el Sistema Nervioso Central (SNC) hasta la semana 21,6 de gestación (ver figura 1). Durante la semana 30 de gestación se sospecha, por ecografía prenatal, de una alteración del SNC; se obtiene una imagen anecoica de 35 x 37 mm en la porción central del hemisferio central izquierdo, que comunica la cavidad ventricular con el espacio subaracnoideo (ver figura 2).

Fuente: autores.
Figura 1 Ecografía en corte axial que evidencia morfología y estructuras normales para la edad.

Fuente: autores.
Figura 2 Ecografía en corte transversal a nivel de la cabeza fetal, en el diámetro biparietal; se sospecha de alteración neurológica compatible con esquizencefalia tipo II.
Se realiza una resonancia magnética nuclear fetal (ver figuras 3a y 3b) en la semana 35,6 de gestación, donde se encuentra una lesión en la región parietal, compatible con esquizencefalia de labio abierto del lado izquierdo; el tallo, cerebelo y cuerpo calloso no muestran alteraciones. Para el manejo se programó cesárea en la semana 39, que resulta en un recién nacido femenino vivo con buena adaptación perinatal, reactividad al estímulo, activo, peso de 3100 g adecuado para la edad gestacional, talla de 51 cm y tono disminuido en hemicuerpo derecho.

Fuente: autores.
Figura 3 Resonancia magnética fetal T2 corte coronal donde se observa amplitud del espacio subaracnoideo que comunica con hemisferio cerebral izquierdo, no muestra más alteraciones.
A los 7 meses de edad se describe a una paciente con cuadro clínico consistente con leve hemiparesia derecha. Como parte de los estudios complementarios para su patología, se toma un electroencefalograma de sueño bajo privación parcial de sueño, donde se aprecia atenuación de voltaje de hemisferio cerebral izquierdo. La menor inició terapia física con el fin de restaurar su funcionalidad y movilidad, y presentó mejoría parcial de su patología sin necesidad de algún otro tipo de tratamiento.
Discusión
Close et al.17 describen la esquizencefalia como un trastorno de la migración neuronal, una malformación cerebral congénita heterogénea una hendidura llena de líquido cefalorraquídeo que se encuentra revestida por materia gris. Se trata de una patología poco frecuente, cuya etiología no se ha dilucidado, aunque existen teorías genéticas, infecciosas y de alteración vascular en el crecimiento embrionario. Además, se ha asociado con factores de riesgo como infecciones por microrganismos del complejo TORCH, ausencia de controles prenatales, edad materna joven, hábitos tóxicos de la madre como el consumo de alcohol y tabaco, y la exposición a teratógenos1.
En el año 2008, L. Mejía et al.18 realizaron un estudio para caracterizar fenotípicamente a 35 niños colombianos con diagnóstico imagenológico de esquizencefalia. A partir de ello, detectaron factores de riesgo relacionados con el desarrollo de la patología, como antecedentes de eventos perinatales asociados con asfixia neonatal (21,6 %), líquido amniótico teñido de meconio (10,8 %), ausencia de controles prenatales (34,3 %), riesgo de parto pretérmino (10,8 %), tabaquismo (10,8 %), antecedentes familiares de enfermedades neurológicas que incluían epilepsia (14,3 %) y retraso mental (5,7 %). Además, se describe que el tipo II fue predominante (60 %). Los casos unilaterales representaron el 62,9 % del total, con una distribución entre los dos hemisferios en la misma proporción, y el 37,1 % de los casos fueron bilaterales.
Las manifestaciones más frecuentes fueron retraso en el desarrollo psicomotor (80 %) y parálisis cerebral infantil (80 %)17.
Un estudio realizado en Colombia reporta el caso de un paciente con esquizencefalia de labio abierto unilateral derecha, con ausencia de compromiso motor y sensitivo marcado, hijo de primigestante de 24 años de edad y sin antecedentes de importancia, lo cual marca una similitud con el caso presentado en este artículo. No se estableció la etiología de la enfermedad, por lo que se consideró de origen desconocido, probablemente asociada al gen EMX2. El pronóstico de este paciente reportado fue bueno, ya que desarrolló únicamente hemiparesia izquierda leve, para la cual recibió rehabilitación, la cual le brindó una mejoría en la calidad de vida. Dicha resolución no fue la misma para un paciente de Perú15, hijo de multigestante de 24 años con antecedente de aborto, a quien se le realizó un diagnóstico imagenológico de esquizencefalia a las 24 semanas de gestación, donde se observó una imagen anecoica compatible con el tipo abierto de 44 x 47 mm que ocupaba la porción central del hemisferio izquierdo y que comunicaba la cavidad ventricular con el espacio subaracnoideo; al nacimiento, el recién nacido se encontraba alerta, hipertónico con flexión de extremidades, y tuvo que ser hospitalizado en la unidad de cuidados intensivos con soporte ventilatorio, donde se diagnosticó hipoplasia del nervio óptico bilateral e hiperbilirrubinemia que requirió fototerapia; falleció al octavo día de vida. De esta manera, es común entre los casos presentados, la edad materna joven junto con la ausencia de otros factores de riesgo, lo cual abre la posibilidad de un componente genético. Además, por el diagnóstico después de las 24 semanas de gestación, se considera una patología de aparición tardía. Cabe resaltar que el pronóstico varía mucho entre un paciente y otro, aunque presenten la misma clasificación de esquizencefalia19.
Por otro lado, se reporta, en un estudio realizado por Ortega et al., que la ausencia del septum pellucidum dado por imágenes permite realizar una aproximación diagnóstica a una etiología de origen genético, asociada a la mutación heterocigótica del gen EMX2 u otros genes como SIX3 y SHH, asociados con la migración neuroblástica y con la especificación topográfica del encéfalo rostral; sin embargo, estas mutaciones solo se han encontrado en ciertos grupos de pacientes, por lo que se restringe su asociación a unos cuantos casos8. Cabe resaltar que en el presente estudio no se realizaron estudios genéticos.
Aproximadamente, el 48 % de los casos se logra diagnosticar durante una ecografía prenatal realizada después de las 24 semanas de gestación, y es más frecuente en los casos de madres durante la segunda década de vida19. En un estudio realizado por Yinon20, durante un período de 7 años, fueron diagnosticadas 47 pacientes con anomalías cerebrales después de la semana 24 de gestación, durante una exploración previa normal del segundo trimestre, lo que resultó en la interrupción del embarazo en el 42 % de los casos debido a la gravedad de los hallazgos.
Conclusiones
La esquizencefalia es una malformación cerebral congénita asociada con trastornos de migración neuronal, que presenta aparición tardía, con curso de desarrollo normal antes de la semana 24; por ello, se recomienda el estudio de imagen ecográfico en el control prenatal como excelente herramienta de sospecha de esquizencefalia, debido a su capacidad para detectar anomalías congénitas que afectan el desarrollo neurológico fetal. Se debe tener presente el gold estándar en la neurosonografía, donde se realiza un barrido más detallado con el fin de identificar todas las estructuras encefálicas en diferentes cortes coronales y sagitales.













