INTRODUCCIÓN
La disección aislada y espontánea de la arteria celíaca es una entidad clínica rara. En la literatura se han reportado menos de 100 casos1. Atendiendo a su prevalencia, la disección aórtica a nivel del tronco celíaco representa menos del 4 % del total de los aneurismas arteriales abdominales, siendo el cuarto en prevalencia por detrás de los aneurismas de las arterias esplénica, hepática y mesentérica superior. Su incidencia dentro del total de los aneurismas oscila entre el 0,005 % y 0,2 %2. Los casos informados han tenido diferentes etiologías3)(4, así como varias manifestaciones clínicas2)(3)(5. A lo largo de los años, se han desarrollado diferentes tratamientos. Debido a los pocos casos descritos, es difícil aclarar cuál es la mejor opción terapéutica4. A propósito de un caso, hacemos una revisión de los aneurismas del tronco celíaco.
CASO CLÍNICO
Varón de 60 años con antecedentes de hernia de disco a nivel de 4ª y 5ª vértebras lumbares (L4-L5) y 5ª lumbar y 1ª sacra (L5-S1), y lobectomía inferior derecha debido a una tuberculosis a los 18 años; acudió a Urgencias por cuadro de dolor epigástrico de 4 horas de evolución, constante, irradiado a la espalda, y rebelde al tratamiento analgésico. No presentaba náuseas, vómitos o fiebre.
A la exploración física, presentaba una ligera palidez de piel y mucosas con tensión arterial de 220/110 mm Hg sin taquicardia. En el abdomen se destacaba dolor epigástrico sin defensa, pero con un soplo a la auscultación. Pulsos pedios conservados y simétricos.
En las pruebas de laboratorio se destacaba una leucocitosis (14 900 células/µL) con neutrofilia (84,6 % de neutrófilos); los valores de las enzimas cardíacas y la amilasemia estaban dentro del rango normal. El electrocardiograma y las radiografías de tórax y abdomen fueron normales.
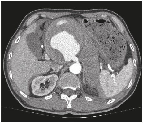
Debido a la presión arterial alta y el dolor abdominal intenso, se hizo una tomografía axial computarizada tóraco-abdominal (TAC) para el diagnóstico diferencial de abdomen agudo. La exploración mostró una disección aneurismática del tronco celíaco de 10 mm de diámetro con un trombo mural sin alteraciones aórticas (Figura 1). Ante este diagnóstico, se hizo una embolización de la lesión con implantación de un manguito aórtico endovascular a través de la arteria femoral. En la arteriografía de control se observó exclusión correcta del aneurisma sin alteraciones en la arteria mesentérica superior. La irrigación del páncreas, el bazo y el intestino dependía de la vasculatura de la arteria mesentérica superior. Un estudio eco-doppler mostró el aneurisma sin señal doppler en su interior.

Figura 1 Tomografia axial computarizada (TAC). Se observan disección aneurismática del tronco celíaco de 10 mm de diámetro con un trombo mural, y un gran hematoma a nivel del citado aneurisma así como un hematoma localizado en la parte posterior del riñón izquierdo que progresa hacia la fascia generando un hematoma periesplénico, perihepático y peripancreático
DISCUSIÓN
La disección aórtica a nivel del tronco celíaco es una entidad infrecuente que representa menos del 4 % del total de los aneurismas arteriales abdominales, y entre el 0,005 % y 0,2 % del total de aneurismas2. Debido a ello, su diagnóstico es a menudo casual, y entre 15 % y 20 % de los casos presentan ruptura del aneurisma en el momento del diagnóstico, que tiene una tasa de mortalidad del 80 %5. Su prevalencia es mayor en hombres (5:1) y la edad media al diagnóstico es de 55 años6.
Los casos reportados en la literatura muestran una etiología variada. Puede ser debido a iatrogenia, aterosclerosis, hipertensión, tabaquismo, traumatismo, embarazo, displasia fibromuscular, enfermedad inflamatoria o infecciosa, enfermedad congénita de la pared vascular (síndrome de Ehlers-Danlos), degeneración quística de la capa media (síndrome de Marfan), o conectivopatías (arteritis de células gigantes, síndrome de Takayasu, poliarteritis). Se ha observado que el antecedente de cirugía abdominal o peritonitis puede favorecer esta enfermedad debido a alteraciones en la pared del vaso, que se basan en fenómenos de microtraumatismos por las altas presiones abdominales generadas durante estos procesos3)(4. El 18 % de los pacientes presentan un aneurisma aórtico en el momento del diagnóstico, el 38 % lo tienen a otro nivel abdominal, y entre el 18 % y el 67 %, a nivel periférico5)(7.
Esta enfermedad suele ser asintomática debido a la circulación colateral realizada por la arteria mesentérica superior8. Cuando hay síntomas, los más frecuentes son dolor epigástrico agudo o subagudo irradiado a la espalda (60 %) de difícil control con los analgésicos habituales. Puede asociarse con náuseas y vómitos (21 %), diarrea, dolor torácico, disfagia, anorexia, pérdida de peso e ictericia. Puede presentarse simulando un cuadro sincopal, choque4, pancreatitis aguda con aumento de la amilasemia por alteración de las arterias pancreáticas9 o como un síndrome de Boerhaave10.
Los hallazgos en la exploración física son inespecíficos y dependen del tamaño del aneurisma. Pueden aparecer elevaciones de la tensión arterial (aunque también se presenta con normotensión), una masa epigástrica pulsátil (30 %) y un soplo sistólico abdominal a la auscultación2)(3)(5.
Entre las pruebas de imágenes, la radiografía abdominal tiene un valor limitado. A veces se puede observar una calcificación de la pared del aneurisma. La ecografía doppler proporciona más información para el diagnóstico, pero no la suficiente. La TAC y la resonancia magnética (RMN) con contraste dan más información sobre el tamaño y la localización del aneurisma. Sin embargo, el diagnóstico definitivo requiere a menudo una arteriografía para determinar con mayor precisión la extensión de la lesión y evaluar la circulación colateral. El estudio angio-TAC ha demostrado ser el más específico y, en los últimos años, su uso se ha extendido por su menor costo2)(3.
El objetivo de todos los tratamientos consiste en evitar la progresión del aneurisma, controlar la presión arterial elevada y prevenir las complicaciones tromboembólicas. El tratamiento médico se basa en el uso de anticoagulantes, antiagregantes y analgesia (antinflamatorios) para evitar las complicaciones tromboembólicas, pero no es un tratamiento definitivo6. Este último consiste en la reconstrucción quirúrgica, aunque tal opción solo es aplicable a los pacientes hemodinámicamente estables. La mortalidad intraoperatoria cuando hay rotura del aneurisma es de aproximadamente 40 % (5 % si en el momento del diagnóstico no hay disección)5)(6. Cuando el paciente presenta contraindicaciones quirúrgicas o no está hemodinámicamente estable, el tratamiento endovascular o embolización del aneurisma es otra opción terapéutica3.
Debido a los pocos casos reportados de esta enfermedad en la literatura, su evolución es difícil de prever, pero las posibles complicaciones incluyen infarto esplénico, hemorragia intraabdominal e isquemia intestinal. Como resultado, el tratamiento clásicamente aceptado es la cirugía. Sin embargo, algunas series informan resultados aceptables en pacientes sometidos solo a tratamiento médico. El problema de estos estudios es el corto tiempo de seguimiento11. En esta opción, se ha observado que el control estricto de la presión sanguínea puede frenar la propagación de la disección12. Sin embargo, se observa que el uso de anticoagulantes se recomienda por un máximo de 6 meses. Pasado este tiempo, se recomienda el tratamiento quirúrgico13. Estudios recientes han comparado los resultados de la terapia endovascular con los de la cirugía convencional, observando resultados similares, lo que implica una nueva opción terapéutica, ya que, de esta manera, puede ser posible reducir el tiempo de hospitalización y disminuir la morbilidad y la mortalidad. Sin embargo, se necesitan más estudios para confirmar esta teoría4)(14)(15.
En conclusión, la disección aneurismática del troco celíaco es una entidad rara con alta tasa de mortalidad.
Debido a que su sintomatología y la exploración física no son específicas, el diagnóstico de sospecha es de especial relevancia. Cuando se sospecha esta enfermedad, la técnica de imágenes de elección es la TAC. Entre las opciones terapéuticas, el tratamiento médico no obtiene malos resultados, aunque no se recomienda la anticoagulación por períodos mayores de 6 meses. Debido a ello, los tratamientos de elección son el quirúrgico o el endovascular, pero se requieren estudios futuros para evaluar cuál de los dos es más efectivo así como para conocer las posibles complicaciones a largo plazo que de ellos puedan derivarse.













