INTRODUCCIÓN
La amiloidosis es un desorden heterogéneo de causa idiopática que se caracteriza por el depósito de proteínas fibrilares en diferentes órganos y tejidos, la cual puede afectar a múltiples sistemas (1). El depósito de amiloide en cabeza y cuello es poco frecuente; sin embargo, la laringe es el órgano más afectado, con una frecuencia del 0,2 al 1,2 % del total de los tumores benignos en este órgano (2). La edad de presentación va desde los 50 hasta los 70 años, con una relación de hombres y mujeres de 3:1 (3).
Clínicamente, existen dos tipos de manifestaciones: una sistémica, en la cual hay compromiso de más de un órgano, como riñones, corazón e hígado, generando una mayor morbilidad y mortalidad; y otra de tipo localizado en la que se limita al depósito de amiloide en la laringe o en cualquier otro órgano de manera exclusiva (1). Los síntomas de la amiloidosis laríngea son inespecíficos como tos, disfagia, disnea y, más comúnmente disfonía, con una baja presentación de los síntomas de manera conjunta (1). Esto dificulta la sospecha diagnóstica convirtiéndola en un reto clínico. El diagnóstico definitivo es obtenido por medio del análisis anatomopatológico, a través de la visualización del depósito extracelular subepitelial de material acelular amorfo, que se confirma a partir de la birrefringencia verde manzana en la coloración de rojo Congo (1,4).
Nuestro trabajo busca ampliar el conocimiento en esta enfermedad a través de reportes de casos diagnosticados en nuestra institución, con el propósito de describir demográfica y clínicamente a nuestros pacientes y valorar los resultados obtenidos en las intervenciones realizadas.
MARCO TEÓRICO
El amiloide es un material fibrilar derivado de varios precursores de proteínas anormales que se acomodan en una conformación de hoja beta. Entre sus potenciales explicaciones se destacan las siguientes (5):
Proteína anormal: amiloidosis hereditaria, amiloidosis adquirida de inmunoglobulina de cadena ligera (AL). Es la más común en países desarrollados.
Prolongado exceso de proteína anormal: amiloidosis sistémica reactiva y amiloidosis B2-microglobulina, amiloidosis asociada con la diálisis.
Causas desconocidas: amiloidosis transtiretina tipo salvaje, amiloidosis senil, amiloidosis de péptido ntriurético atrial (5).
Las manifestaciones clínicas son diversas debido a que esta patología puede afectar casi a cualquier órgano o sistema. La amiloidosis localizada de tipo AL se produce por una producción in situ de cadenas ligeras amiloidogénicas generadas por las células B clonales del tejido afectado. Los sitios más comúnmente afectados son el tracto respiratorio, la vejiga, los párpados y la piel, que generalmente es de tipo indolente y el manejo es quirúrgico (5).
Los riñones también pueden presentar compromiso manifestado con albuminuria y proteinuria que progresa a síndrome nefrótico e incluso puede llegar a la insuficiencia renal. Lo habitual es que los pacientes sean asintomáticos hasta que la enfermedad se encuentre avanzada. Otro tipo de manifestaciones incluyen el síndrome de túnel del carpo, como representación del compromiso de los tejidos blandos, pseudohipertrofia muscular y aumento del tamaño de las glándulas salivares y los tejidos blandos submandibulares (5).
El diagnóstico se basa en la confirmación del depósito de amiloide en una muestra histopatológica a través de la coloración rojo Congo, con luz polarizada se aprecia birrefringencia verde manzana, sumada a la identificación del tipo de fibrilla y la clasificación del trastorno amiloidogénico de base con su correspondiente evaluación de la extensión, severidad y compromiso de otros órganos (5,6).
El primer caso de amiloidosis laríngea fue registrado en el año 1873 por el doctor Borow; aproximadamente 31 años después de que el doctor Rokitansky describiera los primeros depósitos de amiloide en 1842 (6). La amiloidosis laríngea es una entidad de presentación infrecuente. Sin embargo, dentro de las amiloidosis que se presentan en cabeza y cuello esta es la más frecuente (6). La clínica es variable dependiendo de la ubicación y cantidad del depósito de amiloide, presentándose tos y disfonía en etapas iniciales y estridor o disnea, en aquellas etapas donde el acúmulo es más abundante por lo que disminuye el espacio de la vía aérea. Por lo general, el sedimento se ubica en los pliegues vocales o en los ventrículos laríngeos, siendo en su mayoría supraglóticos (68 %), seguidos por los glóticos (23 %) y subglóticos (18 %) (1). La amiloidosis laríngea es considerada como una enfermedad con bajo riesgo de presentar manifestaciones sistémicas.
El patrón de oro para el diagnóstico de la amiloidosis laríngea es la biopsia con estudio histológico de coloración con rojo Congo. Se pueden tomar otros paraclínicos como el hemograma, pruebas de función renal y uroanálisis en busca de proteínas de Bence-Jones, para evaluar la presencia de manifestaciones sistémicas (6). Estudios radiológicos adicionales como la tomografía no logran diferenciar y caracterizar el tipo de material de la lesión. Sin embargo, resultan muy útiles para delimitar su extensión. Por medio de la resonancia nuclear magnética, el amiloide se aprecia como isointenso con respecto al músculo esquelético, esto puede ser útil para diferenciarlo de lesiones malignas (7). Es importante tener en cuenta los posibles diagnósticos diferenciales, dentro de los cuales encontramos el carcinoma escamocelular de tiroides, sarcoidosis, linfoma, condrosarcoma y pólipos laríngeos.
Actualmente, no existe un consenso para el tratamiento de esta entidad (1). Se debe enfocar, prioritariamente, en conservar permeable la vía aérea, procurando siempre preservar una adecuada calidad de la voz (1,4,6). Se utiliza la microendoscopia laríngea de suspensión con microdebridador o láser de dióxido de carbono para resecar las lesiones. Sin embargo, las recurrencias de depósitos de amiloide se presentan en cerca de un 50 % de los pacientes, debido a su habitual presentación multifocal, por lo que es común encontrar que los pacientes puedan requerir de reintervenciones (4). No es común la necesidad de realizar una traqueostomía como parte del manejo (6,7), dado que su evolución en el tiempo es muy prolongada. Los agentes inmunosupresores y la radioterapia no han mostrado efectividad en el tratamiento y pueden acelerar el depósito de amiloide (4).
METODOLOGÍA
Se realizó una búsqueda retrospectiva de pacientes en el Hospital Universitario San Ignacio, Bogotá (Colombia), con diagnóstico de amiloidosis laríngea desde el año 2013 hasta el 2018, esto por medio de la historia clínica electrónica. Como criterios de inclusión se tomaron pacientes con edad mayor a los 18 años, con confirmación histopatológica positiva para el depósito de amiloide en la laringe, que estuvieran de acuerdo con participar en el reporte de caso que se evaluó a través del consentimiento informado.
Dentro de la búsqueda se encontraron un total 10 pacientes con impresión diagnóstica de amiloidosis laríngea, de los cuales 6 presentaban hallazgos clínicos y anatómicos sugestivos de dicha patología. A estos probables casos se les realizó videoestroboscopia o nasofibrolaringoscopia, con posterior toma de biopsias para estudio histopatológico, un paciente cambió de centro de atención, por lo cual no fue llevado a la biopsia institucional y no se confirmó el diagnóstico. Al final se obtuvieron 3 pacientes con clínica sugestiva asociada a confirmación histopatológica, que cumplieron con los criterios de inclusión, quienes autorizaron por medio de consentimiento informado para ser incluidos en esta serie de casos. El comité de ética institucional nos dio el aval para realizar la serie de casos.
INFORMACIÓN DE LOS PACIENTES
Caso 1. Paciente femenina de 50 años que consultó por cuadro de 2 años de evolución de disfonía tipo voz ronca permanente, disminución del tono y volumen de la voz. Presentaba exacerbación matutina de la disfonía, tos ocasional y sensación de globus faríngeo.
Caso 2. Paciente femenina de 31 años que consultó por disfonía persistente asociada con disnea de 6 años de evolución. Como antecedente de importancia, 3 años atrás había sido diagnosticada con papilomatosis laríngea, para lo cual se realizó un manejo quirúrgico extrainstitucional. Sin embargo, un año posterior al procedimiento reinciden los síntomas de disfonía y disnea, con exacerbación en los últimos dos meses.
Caso 3. Paciente femenina de 60 años que consulta por cuadro clínico de 7 años de evolución de disfonía tipo voz ronca permanente, disnea y sensación de globus faríngeo, sin episodios de aspiración de alimentos sólidos o líquidos.
HALLAZGOS CLÍNICOS
Caso 1. Se realizó una estroboscopia con evidencia de infiltración submucosa de color amarillo, asimetría en hemilaringe izquierda con predominio en la banda ventricular y repliegue ariepiglótico asociado con una obstrucción de la vía aérea (Figura 1).

Fuente: creación propia
Figura 1 Supraglotis (banda ventricular izquierda) infiltrada por depósito de amiloide.
Caso 2. Se realizó una videoestroboscopia que evidenció una infiltración amarilla difusa e irregular de la submucosa en glotis y subglotis, en ausencia de papilomatosis.
Caso 3. Se realizóuna nasofibrolaringoscopia con evidencia del engrosamiento en la supraglotis de color amarillo de predominio izquierdo, aumento de la trama vascular y movilidad conservada de los pliegues vocales. Se realizó, igualmente, una videoestroboscopia para mejorar la caracterización de los hallazgos, encontrando infiltrados difusos submucosos de color amarillo que apoyaban el diagnóstico de amiloidosis laríngea.
Se resumen los hallazgos de los 3 casos en la (Tabla 1).
Tabla 1 Variables en cada reporte de caso
| Variables | Caso 1 | Caso 2 | Caso 3 |
|---|---|---|---|
| Edad | 50 años | 31 años | 60 años |
| Género | Femenino | Femenino | Femenino |
| Enfermedad sistémica | No | Sí | Sí |
| Disfonía | Sí | Sí | Sí |
| Disnea | No | Sí | Sí |
| Tos | Sí | No | No |
| Globus faríngeo | Sí | No | Sí |
| Tratamiento quirúrgico | Microendoscopia laríngea con láser de dióxido de carbono (2 intervenciones). | Microendoscopia laríngea con láser de dióxido de carbono. | Microendoscopia laríngea con láser de dióxido de carbono. |
| Evolución y estado actual | Mejoría de la disfonía del 70 %, refiere sensación de globus faríngeo, sin disnea, ni episodios aspirativos, en terapia de voz y respiratoria con adecuados respuesta. | Mejoría de los síntomas de disnea, disfagia, sin episodios de aspiración con sólidos o líquidos. | Mejoría de la disfonía que cuantifica en un 80 %, presenta una sensación de globus faríngeo ocasional, niega disnea, niega episodios aspirativos. |
Fuente: creación propia
DIAGNÓSTICO
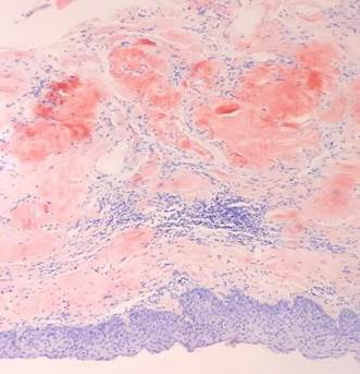
Caso 1. Se realizó una resección parcial de la supraglotis izquierda con láser de dióxido de carbono. Los hallazgos intraquirúrgicos fueron lesión infiltrativa que comprometía la banda ventricular izquierda y repliegue ariepiglótico ipsilateral. Se confirmó el diagnóstico histopatológico, con resultado positivo para la coloración con rojo Congo que comprobó la presencia de depósitos de amiloide (Figura 2). Se realizó una valoración por servicio de reumatología y hematología que descartaron el compromiso sistémico de la enfermedad.
Caso 2. Se realizó una toma de biopsia que confirmó el depósito de amiloide en ambas cuerdas vocales. Fue valorada por reumatología donde se consideró que la paciente presentaba un compromiso sistémico, por esto se inició el tratamiento médico.
Caso 3. Se realizó una toma de biopsia con resultado positivo para el depósito de amiloide. Fue valorada por reumatología que consideró el compromiso concomitante en la piel, por lo que se inició el manejo farmacológico sistémico.
NTERVENCIONES TERAPÉUTICAS
Caso 1. Se realizó una resección parcial inicial de la supraglotis izquierda con láser de dióxido de carbono. Posterior a los 3 años se encontraron lesiones amarillas en las bandas ventriculares que requirieron una segunda resección con láser de dióxido de carbono.
Caso 2. Por el aumento en la severidad de la disnea, se realizó una videoestroboscopia de control que evidenció una mayor infiltración glótica derecha y estenosis secundaria. De acuerdo con esto se realizó una resección endoscópica con láser de dióxido de carbono. Caso 3. Se realizó una resección parcial endoscópica del pliegue vocal izquierdo con láser de dióxido de carbono.
SEGUIMIENTO
Caso 1. Actualmente, la paciente refiere mejoría de la disfonía en un 70 %, no presenta sensación de globus faríngeo, disnea o episodios aspirativos. Se encuentra en seguimiento por otorrinolaringología y en terapia de voz con adecuada respuesta.
Caso 2. Actualmente, continúa en seguimiento por otorrinolaringología con mejoría en la disnea, disfagia y sin episodios de aspiración.
Caso 3. Actualmente, la paciente no ha presentado progresión de las lesiones con mejoría de la disfonía en un 80 %. Sensación de globus faríngeo ocasional, sin disnea o episodios de aspiración. Continúa en seguimiento por otorrinolaringología.
DISCUSIÓN
Se documentó la historia clínica de 3 pacientes con diagnóstico de amiloidosis laríngea, de género femenino, con edades entre los 31 a 60 años. Los cuales presentaron una amplia variedad de síntomas como tos, disnea, sensación de globus faríngeo y disfonía tipo voz ronca, este último fue el principal y más frecuente. La duración de los síntomas al momento de la consulta estaba entre 2 a 7 años. El tipo de amiloidosis más presentado fue la sistémica, presente en el 66,7 % de los casos. El tratamiento que se realizó fue la cordectomía parcial endoscópica con láser de dióxido de carbono. Solo un caso requirió de una segunda intervención quirúrgica del mismo tipo, con lo que se logró en todas ellas una mejoría sustancial de la disnea y disfonía.
En un estudio retrospectivo de casos y controles de amiloidosis laríngea de la Universidad de Stanford, se encontró que el 59 % era de género femenino con una edad media de 52,8 años a su diagnóstico (1). En nuestros casos se encontró, en su totalidad, que eran mujeres a pesar de que está descrito que es una patología más frecuentemente diagnosticada en hombres, con una relación llamativa de 3:1 (8). La edad media de inicio de síntomas para nuestras pacientes fue de 47 años. En cuanto a los síntomas más frecuentes en relación con el estudio de Stanford, en primer lugar, estaba la disfonía (95 %), seguida por la disfagia (14 %), la disnea (9 %) y tos (9 %) (1), hallazgos consistentes con los encontrados en nuestra serie de casos, en donde de igual manera el principal síntoma presente en el 100 % de los pacientes fue la disfonía, en segundo lugar la disnea y tos, ninguna paciente presentó disfagia.
Con respecto al tipo de presentación clínica, clásicamente la amiloidosis laríngea se ha considerado como una entidad con bajo riesgo de compromiso sistémico (1). Sin embargo, en nuestro estudio fue encontrar que el 66,7 % de nuestras pacientes presentaron manifestaciones sistémicas, contrario a lo reportado en la literatura donde este es poco frecuente. En relación con el manejo instaurado en nuestros casos, consideramos que la cirugía con láser de dióxido de carbono representa una adecuada alternativa en el tratamiento de amiloidosis laríngea, dado que la totalidad de ellas tuvo mejoría en sus síntomas de disfonía y disnea, además de mantener la vía aérea permeable evitando así posibles episodios obstructivos. Solo una de las pacientes requirió de reintervención quirúrgica por presentar deterioro en la calidad de la voz. De nuestra experiencia posterior al tratamiento quirúrgico consideramos que no es posible hablar de recurrencias, dada la persistencia de amiloide residual en los tejidos debido al carácter infiltrativo de las lesiones.
Las limitaciones de nuestro estudio consisten en contar con un número reducido de pacientes. Sin embargo, debido a la baja prevalencia de esta entidad, es difícil aumentar el número de la muestra. Nuestra principal fortaleza es que somos el primer reporte de casos de amiloidosis laríngea realizada en Colombia, dando lugar a las primeras caracterizaciones de esta patología en nuestra población. No obstante, nuevos estudios serán necesarios para ampliar el conocimiento sobre el tema y confirmar los hallazgos obtenidos.
CONCLUSIONES
Nuestros hallazgos permiten concluir que la amiloidosis laríngea es una entidad infrecuente, cuya presentación clínica incluye síntomas inespecíficos que dificultan su diagnóstico. En nuestros pacientes encontramos algunos hallazgos que no son concordantes con los de la literatura como que nuestros casos eran mujeres y mayor manifestación de tipo sistémica de la enfermedad. Por esto buscamos generar mayor interés por esta entidad, para que así nuevos estudios sean realizados. Asimismo, alentamos a realizar un registro de pacientes con amiloidosis laríngea en Colombia, con el fin de caracterizar mejor a nuestra población y poder brindar alternativas de tratamiento y diagnósticos oportunos. Al existir poca información sobre esta patología nuestra serie de casos puede ser de utilidad clínica para el personal de la salud.














