INTRODUCCIÓN
La apendicitis aguda es una causa frecuente de dolor abdominal y es la principal condición de manejo quirúrgico en los servicios de urgencias. Su incidencia es de 89 por cada 100.000 habitantes, con una prevalencia mayor entre los 7 y 35 años de edad y la mortalidad es menor al 1 % (1).
Las complicaciones más frecuentes luego de una apendicectomía son la infección en el sitio de la herida, seguida por la dehiscencia y la evisceración (2). La infección pélvica es extremadamente rara, pero con consecuencias anatómicas y fisiológicas importantes en el aparato reproductor femenino. Se presenta el caso de una paciente con una enfermedad pélvica inflamatoria como complicación posoperatoria luego de la extracción del apéndice cecal.
INFORMACIÓN DE LA PACIENTE
Paciente femenina de 14 años de edad, estudiante de bachillerato, consultó al servicio de urgencias por cuadro de tres días de dolor de severa intensidad en hipogastrio y ambas fosas iliacas. Estaba asociado con náuseas, emesis y deposiciones diarreicas; sin fiebre o sangrado vaginal. Dieciocho días antes había sido sometida a una apendicectomía vía laparoscópica, con drenaje de peritonitis por apendicitis complicada. En esa oportunidad recibió tratamiento antibiótico con clindamicina y gentamicina. En la anamnesis negó inicio de vida sexual, abuso o antecedentes familiares relevantes. Refirió que la última menstruación había sido cuatro semanas antes.
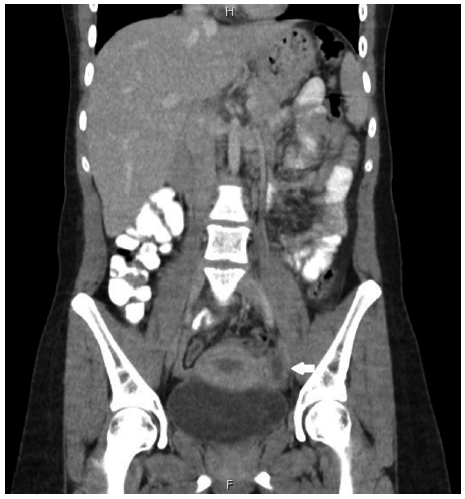
En el momento del examen físico no tuvo apariencia tóxica y los signos vitales fueron: presión arterial 110/70 mmHg, frecuencia cardiaca 89 latidos/minuto, frecuencia respiratoria 16 respiraciones por minuto y saturación del 98 % sin oxígeno suplementario. Presentó un abdomen blando, con heridas cicatrizadas de la cirugía de laparoscopia, sin distensión y con preservación de la peristalsis. El dolor era provocado con la palpación en el hipogastrio y en fosa iliaca izquierda, sin empeoramiento al rebote o sensación de masa. En la inspección pélvica se encontró un himen intacto. El resto del examen físico fue normal. Entre los paraclínicos de ingreso se documentó un hemograma con recuentos celulares dentro de la normalidad, proteína C reactiva elevada (24,15 mg/dl), bilirrubinas, transaminasas, ácido láctico y azoados sin alteraciones. Además, se obtuvo una prueba de embarazo con resultado negativo. Por el antecedente quirúrgico se sospechó una infección del sitio operatorio (ISO), por esto se solicitó una tomografía contrastada de abdomen (Figura 1).

Fuente: tomada historia del paciente con autorización
Figura 1 Corte coronal de tomografía de pelvis. En la imagen se documenta un ovario izquierdo más grande de lo normal con pequeñas imágenes confluentes por hidrosalpinx.
En la imagen se observó el ovario izquierdo aumentado de tamaño con pequeñas imágenes confluentes por hidrosalpinx. Se concluyó que este podía estar relacionado con la cirugía abdominal previa. Se inició manejo con ceftriaxona y clindamicina. Sin embargo, a pesar de 48 horas del tratamiento antibiótico, la paciente evolucionó con fiebre, taquicardia, incremento del dolor y aumento del lactato sérico (2,6 mmol/L). Por esto se le administraron cristaloides intravenosos, se modificó la antibioticoterapia con piperacilina tazobactam y se llevó a laparoscopia. Como hallazgos intraoperatorios se encontró un absceso tubo ovárico izquierdo con severo proceso inflamatorio y sigmoides emplastronado; anexo derecho de aspecto normal. Se realizó una liberación de adherencias, drenaje de peritonitis y salpingooforectomía izquierda.
Al cuarto día del manejo intrahospitalario presentó hipotensión y persistencia de taquicardia. Se realizó una ecografía abdominal que reportó líquido con septos alrededor de la trompa de Falopio derecha, que se encontraba engrosada en relación con la enfermedad pélvica inflamatoria y probable absceso residual.
La paciente reingresó al quirófano para una laparotomía mediana. En esta se encontró una trompa de Falopio derecha edematizada, con fimbria libre, sin colecciones, ovario derecho sano; se realizó el lavado y la preservación del anexo. Dejaron cierre temporal de la cavidad abdominal con sistema al vacío. Se continuó reanimación en unidad de cuidado intensivo (UCI). Evolucionó satisfactoriamente, por lo que se realizó eventrorrafia y se trasladó a la sala general. Completó cinco días de tratamiento antibiótico intrahospitalario. Los cultivos tomados en ambas cirugías fueron negativos. Se ordenó alta hospitalaria con siete días adicionales de antibiótico. El estudio histopatológico diagnosticó: ovario y trompa uterina izquierdas con inflamación aguda más absedación, necrosis licuefactiva, muestra negativa para malignidad. No se reportaron complicaciones al día 90 del seguimiento.
DISCUSIÓN
La enfermedad pélvica inflamatoria (EPI) es una condición de mayor incidencia entre las mujeres en edad reproductiva. En adolescentes con dolor pélvico la incidencia puede ser del 9,2 % (3). Dentro de este grupo, la frecuencia de un absceso tubo ovárico se ha reportado hasta en un 36 %, con un impacto importante en la salud reproductiva (4,5).
Chlamydia trachomatis y Neisseria gonorrhoeae son los gérmenes más frecuentemente relacionados, bacterias consideradas de trasmisión sexual. Aunque, hay otros agentes como los gérmenes anaerobios, enterobacterias y patógenos respiratorios que también están implicados (6).
El principal mecanismo de producción de la EPI es el ascenso de bacterias desde el tracto genital inferior al superior (endometrio, trompas, ovarios y estructuras adyacentes). Aun así, este no es el único (7,8,9). Algunos autores proponen otros mecanismos como la diseminación hematógena o la translocación bacteriana desde el tubo digestivo a sitios extraintestinales. Esto se ha reportado en casos de enfermedad de Crohn y en apendicitis con apéndice de localización pélvica (10,11). A pesar de su baja prevalencia, en el inicio de la adolescencia o en mujeres que aún no inician la vida sexual, la EPI también se ha asociado con malformaciones urogenitales generadas por enfermedades genéticas, ya sea como manifestación inicial o como una complicación de estas. Ejemplo, el síndrome de Herlyn-Werner-Wunderlich (12).
El caso presentado es el de una paciente sin vida sexual activa, con un absceso tubo ovárico izquierdo, cuyo único antecedente había sido una apendicitis perforada de 18 días antes. La EPI es una complicación rara de una apendicitis. Daniel M. Fein et al. reportaron una paciente de 12 años con dolor pélvico una salpingitis bilateral, que dos años antes había padecido una apendicitis complicada con absceso abdomino pélvico. Tres semanas previas había consultado por dolor abdominal en el servicio de urgencias y, una ecografía abdominal, reportó un quiste ovárico hemorrágico. Inicialmente, fue tratada con ciprofloxacina oral por impresión diagnóstica de infección urinaria (13). En el caso presentado, el diagnóstico fue menos confuso por las imágenes obtenidas en la tomografía, la cual fue realizada pensando en una complicación secundaria de una apendicectomía reciente. Este antecedente fue más próximo en comparación con el caso previamente reportado. Otros autores reportaron una paciente de 12 años de edad con un absceso tubo ovárico derecho y una apendicetomía de tres años previos como único antecedente (14). En contraste, nuestra paciente inicialmente presentó un compromiso izquierdo, aunque con posterior afectación contralateral.
En una serie de 122 pacientes con EPI se encontró que cinco reportaban no haber iniciado vida sexual. Entre estas solo una tenía historia de apendicectomía ocho años antes y, en la mayoría de los casos, el diagnóstico del absceso tubo ovárico fue intraoperatorio (15).
En cuanto a la etiología, a diferencia de los gérmenes reportados en la EPI en pacientes con vida sexual activa, en el absceso tubo ovárico los microorganismos identificados con más frecuencia son Bacteroides, Peptostreptococcus, Streptococcus, Escherichia coli y otros entéricos Gram negativos. Dada esta etiología, la baja frecuencia de ISO por enterobacterias productoras de betalactamasas de espectro extendido en nuestra institución, el antecedente de cirugía reciente, la posibilidad de infección intrabdominal por gérmenes nosocomiales y la historia de vida sexual no activa, se decidió manejar solo con piperacilina tazobactam. Este betalactámico tiene espectro anti Pseudomonas y contra bacterias anaerobias. Su uso es aceptado en infecciones intrabdominales (16). Finalmente, durante la atención de esta paciente se realizó una prueba de embarazo, ya que es una condición frecuente en adolescentes de nuestro medio y el himen intacto o la negación de la actividad sexual no son garantías de la ausencia de coito (17,18,19).
Concluimos que la enfermedad pélvica inflamatoria es una etiología poco frecuente, pero posible, de abdomen agudo en pacientes sin vida sexual activa. Por lo tanto, la EPI siempre debe ser considerada entre los diagnósticos diferenciales del dolor pélvico en la población adolescente, independientemente de la historia sexual y, especialmente, cuando hay un antecedente de abdomen agudo manejado quirúrgicamente, como en el caso de una apendicitis.













