Services on Demand
Journal
Article
Indicators
-
Cited by SciELO -
Access statistics
Related links
-
Cited by Google -
Similars in
SciELO -
Similars in Google
Share
Revista Facultad de Odontología Universidad de Antioquia
Print version ISSN 0121-246X
Rev Fac Odontol Univ Antioq vol.28 no.2 Medellín Jan./June 2017
https://doi.org/10.17533/udea.rfo.v28n2a12
Articles
ANÁLISIS CLÍNICO, PATOLÓGICO E INMUNOHISTOQUÍMICO DE SCHWANNOMA EN CAVIDAD ORAL: REPORTE DE CASO
1 DDM. Specialist in Periodontics. Specialist in Hospital Management. Former professor of Clinical Practicum in Periodontics. Institución Universitaria Colegios de Colombia (UNICOC) at Santiago de Cali, Colombia Email: dra.paolabueno@gmail.com
2 Biologist. MSc in Biology. Research Professor. Institución Universitaria Colegios de Colombia (UNICOC) at Santiago de Cali, Colombia. Email: jcosorio@ unicoc.edu.co
3 DMD. Specialist in Pathology. Master’s degree in Higher Education. Professor of General and Oral Pathology. Institución Universitaria Colegios de Colombia (UNICOC) at Santiago de Cali, Colombia. Email: ctasama@ unicoc.edu.co
4 DMD. Master’s degree in Health Administration MBA. Professor and researcher at Pontificia Universidad Javeriana at Cali, Colombia. Email: paula. bermudez@javerianacali.edu.co
El schwannoma es una neoplasia benigna de crecimiento lento de los nervios periféricos compuestos por células de Schwann. Su anatomía patológica se caracteriza por lesiones sólidas, subcutáneas y asintomáticas. Histológicamente está compuesto por prototipos de organización celular denominados Antoni A y Antoni B. La lengua es el sitio más común, seguido por paladar, piso de boca, mucosa bucal, labios y mandíbula. En este trabajo se describe un caso de una mujer de 55 años que presenta una masa firme, nodular y encapsulada en la zona submucosa del vestíbulo derecho detrás del carrillo. Después del análisis clínico, patológico e inmunohistoquímico, se determinó que era un caso de schwannoma intraoral.
Palabras clave: schwannoma; células de Schwann; enfermedades orales; caso raro
A schwannoma is a slow-growing benign neoplasm of the peripheral nerves composed of Schwann cells. Pathologically, is characterized by solid, subcutaneous, asymptomatic lesions. Histologically, it is made of prototypes of cellular organization called Antoni A and Antoni B. The most common site for its occurrence is the tongue, followed by the palate, the floor of the mouth, the buccal mucosa, the lips, and the mandible. This article describes the case of a 55-year-old woman presenting with a firm, nodular, encapsulated mass in the sub mucous area of the vestibular zone behind the right cheek. The clinical, pathological, and immunohistochemical analysis showed that this was a case of intraoral schwannoma.
Key words: schwannoma; Schwann cells; oral diseases; rare case
INTRODUCCIÓN
El schwannoma, también conocido como neurilemmoma, neurinoma o fibroblastoma perineural, es una neoplasia benigna de crecimiento lento de los nervios periféricos, generalmente ubicados en tejidos blandos;1 está compuesto por células de Schwann, que es un tipo de célula glial que envuelve el axón de las neuronas formando la vaina de mielina y cuyo rol principal es guiar correctamente el crecimiento del axón.2 El schwannoma fue descrito por primera vez en 1910.3 En la mayoría de los casos, el tumor inicia entre los 20 y 60 años de edad; 4 la tasa de incidencia mundial es de 1 a 20 casos por 1.000.000 de habitantes por año.4 Cerca del 25 al 48% de los casos afecta la región de la cabeza y cuello; en la cavidad oral se observa principalmente en lengua, mucosa bucal y labio.5
Su anatomía patológica se caracteriza por lesiones sólidas, subcutáneas y asintomáticas; 6 histológicamente está compuesto por prototipos de organización celular denominados Antoni A y Antoni B.2 La región Antoni A es una zona hipercelular cuyas células son fusiformes con núcleos que se disponen en empalizada formando filas paralelas y dando origen a los cuerpos de Verocay.7 La región Antoni B es una zona hipocelular que se caracteriza por predominio de un estroma mixoide laxo con cambios degenerativos, como formación de quistes, calcificaciones, hemorragias, hialinización e infiltrado inflamatorio.8 Estos cambios degenerativos con poca frecuencia se malignizan en sarcomas,9 los cuales son invasivos y con potencial metastásico; 9 en caso de presentarse, pueden ser asociados a una resección incompleta de la lesión.2
Una vez realizada la escisión quirúrgica de la lesión, el diagnóstico tiene lugar en el momento en que se lleve a cabo el estudio histopatológico.4 De igual forma, una tomografía computarizada o una imagen de resonancia magnética pueden mostrar la extensión de la lesión.10 Las pruebas inmunohistoquímicas muestran que las células del schwannoma son positivas para la proteína S-100.3 Otros marcadores celulares asociados a tumores neuronales son: E.N.E., vimentina,glicoproteína, SMA, desmina y dimentina (leu-7).11,12 Además, la proteína ki-67, como marcador, permite determinar la proliferación celular.13
Generalmente, el pronóstico de esta lesión es bueno; su transformación maligna se ha reportado en pocas ocasiones.10 El tratamiento consiste en la resección completa de la lesión preservando la función del nervio involucrado.14 En caso de confirmarse malignidad (que es muy poco frecuente),9 se recomienda la resección extendida y la quimioterapia.14
El presente reporte identifica un caso clínico de schwannoma localizado en el fondo del vestíbulo de la mucosa bucal derecha, cuyo diagnóstico clínico fue confirmado histopatológicamente, en una paciente que asistía a consulta odontológica de rutina en la clínica de UNICOC, sede Cali.
PRESENTACIÓN DEL CASO
Paciente de género femenino de 55 años de edad, caucásica, que asiste a cita odontológica rutinaria en la clínica de UNICOC. Durante la evaluación clínica se detectó en la zona de mucosa bucal derecha una masa nodular, sésil, que invade la submucosa, circunscrita, recubierta por mucosa normal, movible y asintomática a la palpación, que medía aproximadamente 2 cm de diámetro Figura 1A, 1B y 1C). La paciente relata la presencia de la lesión hace aproximadamente 1 año, con crecimiento lento e indoloro. No hay evidencia de alteración en la permeabilidad del tejido ni de parestesia. El diagnóstico presuntivo, de acuerdo a las características clínicas, fue un fibroma.

Figura 1 A) Imagen donde se presenta la lesión tumoral en zona submucosa del vestíbulo derecho detrás del carrillo, avulsionada mediante el proceso de disección quirúrgica. La masa encapsulada se protruye durante la cirugía. B) Imagen donde se presenta el nicho quirúrgico de la lesión. C) Imagen de la masa encapsulante globulante que es presentada en mm. D) Vista microscópica a 4X perteneciente al tejido del schwannoma, donde se pueden ver las fibras de la banda de encapsulamiento. Vista microscópica a 10X perteneciente al tejido del schwannoma bajo tinción con hematoxilina y eosina, en donde se pueden observar los cuerpos de Verocay. F) Vista microscópica a 10X perteneciente al tejido del schwannoma bajo tinción con hematoxilina y eosina, en el cual el proceso de sangrado puede ser observado dentro de la masa del tumor.
Al extraerla, la masa permitió planos de clivaje para su disección total; se fijó en formol al 10% y posteriormente se realizó estudio histopatológico e inmunohistoquímico.
Examen macroscópico
Al estudio macroscópico se observó un tejido de consistencia firme, elástico, de aspecto interno fibroso, que procede de la zona submucosa del vestíbulo derecho detrás del carrillo. El espécimen es de forma nodular y mide 1,8 centímetros en su mayor dimensión. Para efectos del proceso, se divide en dos mitades y se envían al laboratorio Figura 1C).
Examen microscópico
Los cortes obtenidos del espécimen muestran una neoplasia bien capsulada por una banda fibrosa Figura 1D) que cubre en su totalidad el componente hiperplásico, el cual se deriva de las células de Schwann de nervios periféricos. La expresión histológica del tumor corresponde a un nódulo firme hecho a expensas de células fusiformes con núcleos picnóticos dispuestos en bandas que edifican fibrillas longitudinales, y las que se cortan en forma transversal se ven dispuestas en empalizada con un centro fibrilar hialinizado caracterizando cuerpos de Verocay. Figura 1E). Al interior del tumor se identifican vasos dilatados y congestivos; en otros sitios se observan cavidades seudoquísticas con lagunas de contenido amorfo Figura 1F). Los bordes de resección del tumor aparecen rodeados en su totalidad por la banda fibrosa que le genera encapsulamiento. No hay evidencia de malignidad.
Pruebas inmunohistoquímicas
Para confirmar que la neoplasia deriva de las células de Schwann, se evaluaron los siguientes marcadores: neurofilamento Tabla 1 y Figura 2A), proteína ácida fibrilar glial Tabla 1 y Figura 2B), sinaptofisina Tabla 1 y Figura 2C), Leu-7 Tabla 1 y Figura 2D), proteína S-100 Tabla 1 y Figura 2E), dimentina Tabla 1 y Figura 2F).
Tabla 1 Guía para la diferenciación diagnóstica de schwannoma (modificado desde Buric et al12)
| Marcadores | Resultado |
|---|---|
| Encapsulación | + |
| Formación patológica | Áreas Antoni A y Antoni B con cuerpos de Verocay |
| Diferenciación celular | Alta |
| Foco de sangrado interno | + |
| Necrosis tumoral | - |
| Proteína S-100 | + |
| Leu-7 | + |
| Proteína Ácida Fibrilar Glial (GFAP) | - |
| Sinaptofisina | - |
| Neurofilamento | - |
| Vimentina | + |

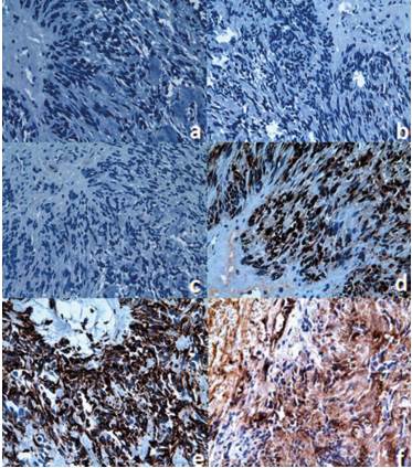
Figura 2 Vista microscópica a 40X perteneciente al tejido del schwannoma A) Tinción inmunohistoquímica negativa para el neurofilamento. B) Tinción inmunohistoquímica negativa para la proteína ácida fibrilar glial. C) Tinción inmunohistoquímica negativa para sinaptofisina. D) Tinción inmunohistoquímica negativa para Leu-7. E) Tinción inmunohistoquímica positiva para la proteína S-100. F) Tinción inmunohistoquímica positiva para la vimentina.
DISCUSIÓN
Los schwannomas son lesiones neoplásicas benignas poco frecuentes.15 En el año 2006, en 44.000 especímenes enviados a la unidad de patología de la Facultad de Odontología de Sheffield (Reino Unido), se realizó un estudio para determinar el rango de lesiones histopatológicas diagnosticadas en pacientes mayores de 17 años durante un periodo de 30 años (1973-2002), y se encontró que de los 2.452 casos de tumores benignos, 43 pertenecen a schwannomas, es decir, solo el 1,8% de prevalencia.16
En Brasil, en el 2011 se realizó un estudio para describir los perfiles clínicos, histopatológicos e inmunohistoquímicos de los schwannomas y neurofibromas en 9.000 casos de lesiones orales durante un periodo de 38 años (1970 a 2008), y se reportaron 4 schwannomas que equivalían al 0,17% de prevalencia. Además, se reportó predilección por el género masculino (3: 1), un promedio de edad de 34,7 años y un tamaño promedio de 2,8 cm.3 En el presente reporte la lesión tumoral midió 1,8 cm en una mujer de 55 años de edad.
Generalmente, la prevalencia de schwannomas es del 25-50% en la región de cara y cuello; dentro de la localización intraoral (1-12%),7 se pueden ver en lengua y piso de boca, zonas de mayor frecuencia,17 seguidas por la zona de mucosa bucal y labio.7 Los schwannomas en labio son catalogados como poco frecuentes.18 Este caso de schwannoma intraoral fue ubicado en la mucosa bucal, que corresponde también a una ubicación con baja frecuencia.14
La determinación exacta del nervio originario puede ser imposible de establecer, y se identifica solo en un 50% de los casos con relación al nervio de origen.17 En nuestro caso, no se identificó la localización exacta, pero se presume que el sitio de origen pueden ser las ramas periféricas del nervio facial. En un estudio retrospectivo realizado en nueve casos de schwannoma de cavidad oral tratados en el servicio de Cirugía Oral y Maxilofacial (España), se reportó la localización submaxilar y yugulodigástrica, donde la tumoración dependía del nervio lingual y del nervio espinal, respectivamente.18
El schwannoma de nuestro caso se detectó en zona de submucosa bucal derecha, como una lesión nodular, sésil, circunscrita, recubierta por mucosa normal, movible, sin evidencia de alteración en la permeabilidad del tejido y asintomática a la palpación, que medía aproximadamente 2 cm de diámetro.
Los hallazgos histológicos de este estudio concuerdan con los reportes de la literatura con respecto a la presencia de formaciones Antoni A y Antoni B.15,16,19 Generalmente, el diagnóstico clínico presuntivo puede referirse a lesiones tumorales benignas tipo fibroma, lipoma o tumor de glándulas salivares.10
Las pruebas inmunohistoquímicas muestran que las células del schwannoma son positivas para la proteína S-100 Figura 2E) y para vimentina Figura 2F), lo que se asocia con el tumor benigno de nervio periférico.3,20 La proteína S-100 se presenta de forma normal en células derivadas de la cresta neural (células de Schwann, melanocitos y células gliales).21 Varios miembros de la familia de la proteína S-100 son útiles como marcadores para ciertos tumores y para la diferenciación epidérmica. Se pueden encontrar en los melanomas,22 en el 50% de los tumores malignos de la vaina de nervios periféricos, en schwannomas, así como en células del estroma paraganglioma, histiocitoma y sarcomas de células claras. Además, las proteínas S-100 son marcadores para las enfermedades inflamatorias y pueden mediar la inflamación y actuar como agentes antimicrobianos.23
Otro marcador utilizado que resultó positivo fue la vimentina Figura 2F). Este marcador se utiliza a menudo para identificar células mesenquimales. También es común encontrarla en las progresiones matastásicas.24 Se ha reportado que cuando la vimentina es negativa, se pueden excluir los angioleiomiomas.12,25
Para Leu-7 se presentó una expresión positiva Figura 2D). Esta proteína es un marcador antigénico de los linfocitos, específico para células asesinas naturales, que se expresa dentro de los tumores de vaina nerviosa benignos y malignos, así como en tumores neuroendocrinos.26,27 Se ha reportado la expresión de Leu-7 de forma diferencial para schwannoma25,Tabla 1.
La proteína fibrilar ácida de la glía fue negativa en el caso reportado Figura 2B). Esta proteína recibe el nombre de filamentos gliales o proteína gliofibrilar ácida (GFAP). Es una de las proteínas fibrosas que forman los filamentos intermedios del citoesqueleto intracelular, en particular de células gliales como los astrocitos.28 El marcador de neurofilamento Figura 2A), que es utilizado para diferenciar otro tipo de tumores de estirpe neural, como el neuroma, también resultó negativo.29
Por último, se utilizó la sinaptofisina Figura 2C). Esta es una proteína que se encuentra en las vesículas presinápticas de las neuronas y células neuroendocrinas, por lo que es un marcador útil para la identificación de neoplasias neuronales y neuroendocrinas y para tumores carcinoides.30 Este marcador no mostró expresión, lo que indica que no hay problemas en la neurotransmisión de los tejidos en cuestión.
La presencia de formaciones quísticas, calcificaciones, hialinización y hemorragias es signo de cambios degenerativos que no son determinantes de malignidad.17 Al interior del tumor se identificaron vasos dilatados y congestivos. En otros sitios se observaron cavidades seudoquísticas con lagunas de contenido amorfo Figura 1D).
El pronóstico del schwannoma es en general favorable, siempre y cuando se retire por completo la lesión y se mantenga un enfoque conservador; 18 no obstante, ocasionalmente puede presentar agresividad local y hasta un 2% de malignidad, evidenciada por la presencia de metástasis a distancia.13 Los controles realizados a la paciente no revelaron ningún déficit neurológico, dolor ni alteración en la permeabilidad de la mucosa. Otros reportes, en los que el compromiso neurológico es evidente, utilizaron una intervención quirúrgica particular. Por ejemplo, en Finlandia se realizó una revisión de casos de neurilemomas de médula espinal en 20 pacientes en quienes la escisión quirúrgica del tumor fue parcial, para evitar dañar el nervio de origen; en este caso, durante el posquirúrgico se evidenció dolor local (46%), seguido de dolor irradiado (43%) y paraparesia (31%).31
CONCLUSIONES
El schwannoma es un tumor benigno de crecimiento lento, cuyo diagnóstico requiere un estudio histopatológico. Es importante considerar la evaluación clínica de los tejidos blandos en cavidad oral durante la visita odontológica rutinaria, con el fin de identificar este tipo de lesiones nodulares asintomáticas.
RECOMENDACIÓN
En la práctica habitual de la odontología, el estudio de lesiones en la cavidad oral debe acompañarse de estudios anatomopatológicos, que pueden ser complementados con marcadores inmunohistoquímicos, los cuales permiten ampliar el diagnóstico y fortalecen la formación del profesional odontológico.
REFERENCES
1. Jadwani S, Bansod S, Mishra B. Intraoral Schwannoma in Retromolar Region. J Maxillofac Oral Surg 2012; 11(4): 491-494. DOI:10.1007/s12663-010-0100-1 URL:https://dx.doi.org/10.1007/s12663-010-0100-1 [ Links ]
2. Avgerinos D, Heenatigala M, Lo A. A rare case of cystic Schwannoma of the portal triad. Einstein J Biol Med 2012; 28(1): 33-35. DOI: 10.23861/EJBM20122815 URL:http://dx.doi.org/10.23861/EJBM20122815 [ Links ]
3. Nascimento G, Albuquerque Pires Rocha D, Galvão H, Lisboa Lopes Costa A, Souza L. A 38-year review of oral schwannomas and neurofibromas in a Brazilian population: clinical, histopathological and immunohistochemical study. Clin Oral Invest 2011; 15(3): 329-335. DOI:10.1007/s00784-010-0389-7 URL:https://doi.org/10.1007/s00784-010-0389-7 [ Links ]
4. Corona AP, Oliveira JC, Souza FPAd, Santana LV, Rêgo MAV. Risk factors associated with vestibulocochlear nerve schwannoma: systematic review. Braz J Otorhinolaryngol 2009; 75: 593-615. [ Links ]
5. Salla JT, Johann ACBR, Garcia BG, Aguiar MCF, Mesquita RA. Retrospective analysis of oral peripheral nerve sheath tumors in Brazilians. Braz Oral Res 2009; 23: 43-48. [ Links ]
6. Kurup S, Thankappan K, Krishnan N, Nair PP. Intraoral schwannoma - a report of two cases. BMJ Case Rep 2012; 2012. DOI:10.1136/bcr.12.2011.5389 URL:https://doi.org/10.1136/bcr.12.2011.5389 [ Links ]
7. Shetty SR, Mishra C, Shetty P, Kaur A, Babu S. Palatal schwannoma in an elderly woman. Gerodontology 2012; 29(2): e1133-e1135. DOI:10.1111/j.1741-2358.2010.00415.x URL:https://doi.org/10.1111/j.1741-2358.2010.00415.x [ Links ]
8. Parikh RN, N Desai. Intra-oral schwannoma (neurilemmoma): An unusual anterior palatal swelling-a case report. J Int Oral Health 2010; 2(4): 87-91. [ Links ]
9. Miranda-Maldonado I, Peña-Ramirez D, Tamez- Motes D, Barboza-Quintana O, Niderhauser-Garcia A, Ancer-Rodriguez J, et al. Schwannoma maligno con diferenciacion rabdomioblástica metastásico a cerebro. Arch Neurocien (Mex) 2010; 15(4): 267-270. [ Links ]
10. Martins MD, Anunciato de Jesus L, Fernandes KP, Bussadori SK, Taghloubi SA, Martins MA. Intra-oral schwannoma: case report and literature review. Indian J Dent Res 2009; 20(1): 121-125. [ Links ]
11. Kawahara E, Oda Y, Ooi A, Katsuda S, Nakanishi I, Umeda S. Expression of glial fibrillary acidic protein (GFAP) in peripheral nerve sheath tumors: a comparative study of immunoreactivity of gfap, Vimentin, S-100 Protein, and Neurofilament in 38 Schwannomas and 18 neurofibromas. The Am J Surg Pathol 1988; 12(2): 115- 120. [ Links ]
12. Buric N, Jovanovic G, Pesic Z, Krasic D, Radovanovic Z, Mihailovic D et al. Mandible schwannoma (neurilemmoma) presenting as periapical lesion. Dentomaxillofac Radiol 2009; 38(3): 178-181. DOI:10.1259/dmfr/59344498 URL:https://doi.org/10.1259/dmfr/59344498 [ Links ]
13. Eguia A, Uribarri A, Gay Escoda C, Crovetto MA, Martínez-Conde R, Aguirre JM. Tumor de células granulares: Presentación de 8 casos con localización intraoral. Med Oral Patol Oral Cir Bucal 2006; 11(5): 425-428. [ Links ]
14. Di Giovanni A, Parente P, Colli R. Recurrent plexiform schwannoma in vestibular mucosa. G Chir 2006; 27(3): 105-108. [ Links ]
15. Handschel J, Heikaus S, Depprich R, Kubler NR, Yekta SS, Smeets R et al. Intraoral schwannoma: review of the literature and presentation of a rare case. Cranio 2012; 30(2): 150-153. DOI:10.1179/crn.2012.022 URL:https://doi.org/10.1179/crn.2012.022 [ Links ]
16. Jones A, Franklin C. An analysis of oral and maxillofacial pathology found in adults over a 30-years period. Oral Patol Med 2006; 35: 392-401. [ Links ]
17. García de Marcos JA, Ruiz Masera JJ, Dean Ferrer A, Alamillos Granados F, Zafra Camacho F, Barrios Sánchez G et al. Neurilemomas de cavidad oral y cuello. Rev Esp Cir Oral Maxilofac 2004; 26: 384-392. [ Links ]
18. Bayindir T, Kalcioglu MT, Cicek MT, Karadag N, Karaman A. Schwannoma with an uncommon upper lip location and literature review. Case Rep Otolaryngol 2013; 2013: 363049. DOI:10.1155/2013/363049 URL:https://doi.org/10.1155/2013/363049 [ Links ]
19. Sardinha S, Olímpio A, Agustin P, Fernandes R, Moraes M. Schwannoma of the oral cavity. Histological and immunohistochemical features. Braz J Oral Sci 2005; 4(14): 806-809. [ Links ]
20. González-García R, Naval-Gías L, Sastre-Pérez J. Tumor fibroso solitario de la cavidad oral con características histológicas de malignidad. Rev Esp Cir Oral Maxilofac 2008; 30: 459-460. [ Links ]
21. Donato R. Intracellular and extracellular roles of S100 proteins. Microsc Res Tech 2003 Apr 15; 60(6): 540- 551. DOI:10.1002/jemt. URL:https://doi.org/10.1002/jemt.10296 [ Links ]
22. Nonaka D, Chiriboga L, Rubin BP. Differential expression of S100 protein subtypes in malignant melanoma, and benign and malignant peripheral nerve sheath tumors. J Cutan Pathol 2008; 35(11): 1014-1019. DOI:10.1111/j.1600-0560.2007.00953.x URL:https://doi.org/10.1111/j.1600-0560.2007.00953.x [ Links ]
23. Wolf R, Ruzicka T, Yuspa SH. Novel S100A7 (psoriasin)/ S100A15 (koebnerisin) subfamily: highly homologous but distinct in regulation and function. Amino Acids 2011; 41(4): 789-796. DOI:10.1007/s00726-010-0666-4 URL:https://doi.org/10.1007/s00726-010-0666-4 [ Links ]
24. Di Bella A, Regoli M, Nicoletti C, Ermini L, Fonzi L, Bertelli E. An appraisal of intermediate filament expression in adult and developing pancreas: vimentin is expressed in alpha cells of rat and mouse embryos. J Histochem Cytochem 2009; 57(6): 577-586. DOI:10.1369/jhc.2009.952861 URL:https://doi.org/10.1369/jhc.2009.952861 [ Links ]
25. Johnson MD, Glick AD, Davis BW. Immunohistochemical evaluation of Leu-7, myelin basic-protein, S100-protein, glial-fibrillary acidic-protein, and LN3 immunoreactivity in nerve sheath tumors and sarcomas. Arch Pathol Lab Med 1988; 112(2): 155-160. [ Links ]
26. Perentes E, Rubinstein LJ. Recent applications of immunoperoxidase histochemistry in human neurooncology. An update. Arch Pathol Lab Med 1987; 111(9): 796-812. [ Links ]
27. Varghese SS, Mathew P, Jose J. Diagnostically relevant molecular markers in head and neck neoplasms. ISRN Biomarkers 2013; 2013: 6. [ Links ]
28. Fuchs E, Weber K. Intermediate filaments: structure, dynamics, function, and disease. Annu Rev Biochem 1994; 63: 345-382. DOI:10.1146/annurev.bi.63.070194.002021 URL:https://doi.org/10.1146/annurev.bi.63.070194.002021 [ Links ]
29. Castro-Vargas E, Baquerizo-Nole K, Muñoz-Chavez S. Neurofibroma circunscrito solitario. Dermatol Peru 2008; 18(1): 55-58. [ Links ]
30. Grabowski P, Schonfelder J, Ahnert-Hilger G, Foss HD, Heine B, Schindler I et al. Expression of neuroendocrine markers: a signature of human undifferentiated carcinoma of the colon and rectum. Virchows Archiv 2002; 441(3): 256-263. DOI:10.1007/s00428-002-0650-9 URL:https://doi.org/10.1007/s00428-002-0650-9 [ Links ]
31. Seppala MT, Haltia MJ, Sankila RJ, Jaaskelainen JE, Heiskanen O. Long-term outcome after removal of splinal schwannoma: a clinicopathological study of 187 cases. J Neurosurg 1995; 83 (4): 621-626. DOI:10.3117/jns.1995.83.4.0621 URL:https://doi.org/10.3171/jns.1995.83.4.0621 [ Links ]
Recibido: 18 de Febrero de 2013; Aprobado: 16 de Agosto de 2016









text in 


