Introducción
La teniosis/cisticercosis es una enfermedad parasitaria causada por la infección del estado larvario del platelminto Taenia solium. La Organización Mundial de la Salud (OMS) considera a esta patología un problema de salud pública, así como una infección olvidada 1-5. Por su parte, la neurocisticercosis (NCC) ha sido descrita como la principal causa de convulsiones en algunos países de América Latina, aunque la gama de sus manifestaciones clínicas es variable 1-8. Se han descrito fallas en la terapia farmacológica con albendazol, medicamento de primera línea, recomendado por la Sociedad Americana de Neurología (SAN). Aquel fenómeno puede tener relación tanto con la resistencia del parásito al fármaco como a deficiencia en la fabricación y la molécula del albendazol 9-11.
El objetivo de este artículo es describir un caso clínico de NCC racemosa gigante, manejado quirúrgicamente y con terapia farmacológica convencional, en el cual se documentó falla terapéutica con fármacos de primera línea. También se busca dar a conocer la importancia de esta parasitosis en la práctica médica de nuestra región.
Caso clínico
Paciente mujer, de 32 años, que consultó al servicio de urgencias del Hospital Universitario San José de Popayán, por un cuadro clínico de 12 días de evolución, consistente en cefalea global (intensidad 8/10 en escala subjetiva del dolor), opresiva, que inició en la región occipital e irradió hacia la región frontal. Según reportó la mujer, la cefalea era constante y mejoraba parcialmente con medicación analgésica oral. Asociado a esto, había presentado episodios eméticos esporádicos, pero no alteraciones en la esfera mental ni signos de focalización o crisis convulsivas. A su ingreso, se encontró orientada en tres esferas, con lenguaje fluido y apropiado, signos vitales dentro de límites normales, sin rigidez nu-cal, hidratada, sin signos de dificultad respiratoria, con movimientos oculares preservados, pupilas reactivas, fondo de ojo normal, sin déficit en pares craneales ni déficit sensomotor, con limitación a la marcha asociada a ataxia. Se le hizo una tomografía computarizada (TC), que reveló lesiones compatibles con NCC. En vista de ello, se tomó una resonancia magnética nuclear (RMN) cerebral, cuyos resultados describimos a continuación.
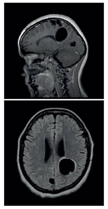
En la Imagen de RMN simple y contrastada (Figura 1) en secuencias de T1, se aprecian lesiones expansivas quísticas intraparenquimatosas cortico-subcorticales y periventriculares a nivel supratentorial; algunas de ellas con tejido interno compatible con neurocisticercosis. La lesión más prominente de tipo corticosubcortical frontotemporal izquierda, con contenido líquido no homogéneo y septaciones en su interior, con captación gruesa, intensa e irregular de su cápsula con discreto edema perilesional que desvía la línea media, colapsaba parcialmente el ventrículo lateral izquierdo y comprimía el tercer ventrículo. Razones por las cuales se decidió iniciar manejo con albendazol genérico, a dosis de 15 mg/ kg/día según lo establecido por el Centers for Disease Control and Prevention (CDC), asociado a medidas antiedema. Teniendo en cuenta el tamaño de la lesión, el compromiso motor y la desviación de la línea media, se decidió llevar a la paciente a drenaje quirúrgico de la lesión intraparenquimatosa fronto-parietal izquierda.

Figura 1 RMN contrastada en proyección sagital y axial, donde se observan lesiones que sugieren neurocisticercosis racemosa.
Se realizó una craneotomía y una durotomía frontoparietal, donde logró evidenciarse una lesión quística frontoparietal izquierda, la cual fue drenada en su totalidad, pero respetando la cápsula, con cierre posterior en planos. El procedimientos fue llevado a cabo sin ningún tipo de complicaciones.
Una vez realizada la cirugía, la paciente fue llevada a Unidad de Cuidados Intensivos (UCI), donde se realizó extubación exitosa y se optimizó el manejo con medidas antiedema. Durante su estadía en la UCI, la paciente desarrolló trastornos hidroelectrolíticos persistentes, tiempo en el cual se logró avanzar en el manejo complementario con albendazol, durante 7 días.
Durante su hospitalización, un mes después del drenaje de la lesión frontoparietal, se tomó una TC cerebral que reveló persistencia de las lesiones quísticas parenquimatosas, principalmente, una lesión quística parietal izquierda acentuada sobre el giro angular. En vista de ello, se decidió iniciar un segundo ciclo de antiparasitario con prazicuantel, a dosis establecidas por el CDC, de forma ambulatoria.
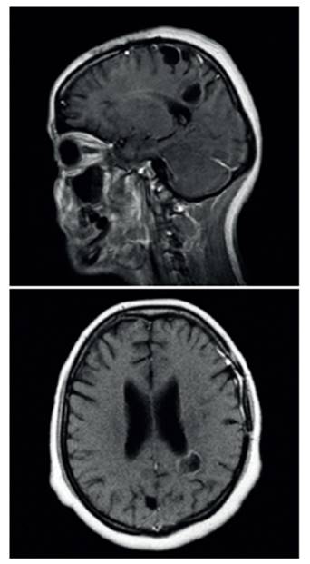
Cuatro meses después de la alta hospitalaria, la paciente refirió persistencia de cefalea, por lo cual se valoró en el servicio de consulta externa con RMN de control. En aquel estudio, se evidenció falta de respuesta de las lesiones descritas antes del manejo antiparasitario, con lesiones quísticas parietales con tendencia a la progresión (Figura 2). Por lo anterior, se planteó la posibilidad de estar frente a un caso de NCC resistente a manejo antihelmíntico o ineficacia propia del albendazol genérico, administrado durante el primer ciclo terapéutico.

Figura 2 RMN contrastada proyección sagital y axial, donde se evidencia progresión de las lesiones quísticas múltiples y resolución de quiste frontoparietal izquierdo.
Al realizar una revisión exhaustiva del caso, se encuentra que, durante los meses previos al inicio del manejo farmacológico original con albendazol de marca, el Instituto Nacional de Vigilancia de Medicamentos y Alimentos (INVIMA) emitió una alerta sanitaria sobre un lote del medicamento albendazol de 200 mg por disolución de la tableta. Así pues, se revisó con el servicio farmacéutico de la clínica y se determinó que, aunque el medicamento utilizado en la paciente (Albendazol 200 mg Laproff, Invima 2011 M - 014923R1, Código 120050R. L:28591, FV.08/18, LIA-163958) era de la misma marca, no hacía parte del lote reportado en la Alerta Sanitaria Invima, consecutivo 21, "Albendazol 200 mg, Tabletas/titular y fabricante laboratorios Laproff SA".
Por lo anterior, se decidió complementar el manejo instaurado con albendazol de marca e ivermectina en dosis de 10 mg/kg, durante 5 días, intrahospitalariamente. De acuerdo con esto y con la adecuada evolución posterior con el medicamento comercial, se planteó la posibilidad estar frente a un caso de falla terapéutica causada por el medicamento; así como a una resistencia propia de la lesión al manejo con cisticidas.
En el control imagenológico con RMN, realizado 12 días después de iniciada la terapia farmacológica biconjugada (Figura 3), se evidenció una clara reducción del volumen de las lesiones, así como un control de la sintomatología referida por la paciente. Además, no se observó elevación de transaminasas, creatinina, ni signos clínicos de intoxicación por cisticidas; motivo por el cual se dio la alta a la paciente, para continuar manejo ambulatorio con albendazol hasta completar 21 días.

Figura 3 RMN contrastada proyección sagital y axial, donde se evidencia reducción del tamaño de las lesiones quísticas múltiples.
Finalmente, hasta la actualidad, la paciente continúa en control anual por parte del servicio de neurocirugía y ha revelado una adecuada evolución clínica.
Discusión
El complejo teniasis/cisticercosis es causado por la infección del estadio larval del céstodo Taenia solium. En la actualidad, esta parasitosis es un problema de salud pública en países de América Latina, África y Asia. Diferentes estudios han relacionado esta patología con condiciones sanitarias desfavorables y la crianza no tecnificada de cerdos, en zonas endémicas 1-8.
Se estima que 2,5 millones de personas están infectadas por T. sollium a nivel mundial y 50 000 muertes son causada por NCC. La tasa estimada de cisticercosis en América Latina es de 400 000 casos por cada 75 millones de personas 1-8.
En Colombia, se han realizado estudios en la población general, los cuales describen una prevalencia de 0,53-40,19 %, mientras que en población sintomática neurológica varía entre el 1,0 % hasta 55 %. Entre 2008 y 2010, el Instituto Nacional de Salud de Colombia (INS) realizó un estudio serológico en la población general y halló 8,55 % de seropositividad en un total de 23 960 participantes 12-23.
El consumo de carne de cerdo con mala cocción, infectada con el estadio larval de T. solium, permite el desarrollo del céstodo adulto, que genera teniasis en el ser humano, mientras que el consumo de leguminosas, agua u otros alimentos contaminados con huevos de T. solium, lleva al ser humano a convertirse en hospedero intermedio, al desarrollo de NCC y a afectación parasitaria a nivel del SNC 1-8.
El estadio inicial de este parásito en el tejido nervioso se caracteriza por una lesión vesicular que puede condicionar cambios inflamatorios. Posteriormente, se presentan estados de degeneración que pueden producir lesiones coloidales, granulares o calcificaciones. Se ha descrito que esta enfermedad es la principal causa de convulsiones en zonas endémicas como América Latina, aunque también puede tener manifestaciones menos específicas como cefalea, vértigo, emesis persistente y trastornos comportamentales, entre otros 3,6.
Las manifestaciones clínicas se relacionan con la localización de la lesión: puede encontrarse NCC parenquimatosa, ventricular, espinal y ocular. Cuando la lesión es parenquimatosa, se localiza preferentemente en la corteza cerebral y los ganglios basales. Debido a la gran vascularidad de estas áreas, la presentación subaracnoidea puede limitar su crecimiento, cuando se encuentran en la profundidad de surcos cerebrales o permitir grandes lesiones si se presentan en cisternas de líquido cefalorraquídeo (LCR).
Por su parte, la afectación ventricular tiene predominio en el cuarto ventrículo, donde estas lesiones pueden estar adheridas al plano ependimario o encontrarse libres en la cavidad ventricular, lo que ocasiona obstrucción transitoria de flujo de LCR, también denominado síndrome de Bruns, o genera procesos obstructivos que llevan a hidrocefalia, condición que también puede ser causada por aracnoiditis cistcercosa o ependimitis granular 1-3,6,9.
El diagnóstico de esta parasitosis se basa en la correlación entre la historia clínica y la neuroimagen, junto con las técnicas serológicas. Los hallazgos de la neuroimagen dependen del grado de viabilidad del cisticerco, los más comunes son la identificación de lesiones quísticas bien definidas, donde se observa el escólex y lesiones calcificadas puntiformes menos evidentes 24-26.
De acuerdo con la OMS, esta parasitosis es controlable o erradicable, siendo las prácticas de prevención y estructura sanitaria, las que presentan mayor impacto en la reducción de la morbilidad asociada a esta entidad 27,28. Está claro que deben sumarse esfuerzos de diferentes disciplinas y existir un compromiso político administrativo en las zonas consideradas endémicas, como la región suramericana. La efectividad de este tipo de intervenciones se ha evidenciado a lo largo de la humanidad: a finales del siglo XX, la cisticercosis era prevalente en países europeos, sin embargo, fue el fortalecimiento de políticas de salud pública lo que logró la reducción de la prevalencia de esta enfermedad 1-8,29.
En Colombia, solo se registran obligatoriamente los casos de cisticerco en cerdos decomisados en centrales de sacrificio animal, de acuerdo con el Decreto 2257 de 1986, sobre el control y prevención de zoonosis. No obstante, esta actividad debe ser acompañada de políticas sólidas en vigilancia y control de esta parasitosis, como los modelos desarrollados en México, Ecuador y países del continente africano. En México, en 1994, se modificaron las políticas enfocadas en controlar esta entidad, estableciendo el programa de Prevención y Control del Binomio Teniasis/Cisticercosis (T/C) en el Primer Nivel de Atención Médica, con lo cual se buscaba la realización de una adecuada vigilancia epidemiológica, atención médica oportuna y estandarizada, verificación sanitaria eficiente, mediante la acción conjunta del sector privado-público. Asimismo, se buscaba la dotación de agua potable y disposición sanitaria de excretas. Con esta reglamentación, se obligaba a generar notificación de morbilidad por T/C y difusión periódica de la información, base para estudios epidemiológicos de la población afectada por esta entidad 29.
En el departamento colombiano del Cauca, se han realizado estudios epidemiológicos que inicialmente describieron una afectación del 55,2 % en población sintomática neurológica, atendida en primer nivel en 2003 22. En el municipio de Mercaderes, Cauca, se realizó un estudio en población general, a través del cual se determinaron anticuerpos anticisticerco, con una prevalencia de 28,4 % [189/665 personas] 30. Finalmente, en 2016, en Popayán, se realizó un estudio donde se buscaba describir la prevalencia de seropositividad para cisticercosis en la población atendida en consulta neurológica. Se encontró que, de una población de 200 pacientes, el 54 % presentaba anticuerpos anticisticerco, mediante el método de ELISA, con un mayor rango en edades entre 21 a 40 años. Además, se encontró una relación estadísticamente significativa con el consumo de verduras preparadas inadecuadamente 31.
El tratamiento farmacológico recomendado para los casos de NCC se basa en el uso de cisticidas, dentro de los cuales el albendazol es el fármaco de primera línea y el praziquantel la opción de elección en caso de falta de respuesta inicial, según las recomendaciones de la Sociedad Americana de Neurología. La administración concomitante de esteroides se indica en la gran mayoría de casos, cuando el objetivo es reducir los procesos inflamatorios asociados a la lisis del parásito 25 El tratamiento quirúrgico es considerado en casos en los que lesiones quísticas o aracnoidtis basal generen hidrocefalia, a fin de reestablecer el flujo normal de LCR, o casos como el reportado, donde la propia lesión quística genera hipertensión endocraneal 10,32.
En el caso clínico que presentamos, la paciente requirió un drenaje quirúrgico por los hallazgos imagenológicos, donde era evidente un efecto de masa y colapso del sistema ventricular, asociado a la presencia de la lesión quística; además la paciente presentaba manifestaciones clínicas asociadas a esta condición. Como abordaje farmacológico inicial, se consideró administrar un primer esquema con albendazol genérico y complementar con un ciclo de praziquantel, al haberse observado una progresión de las lesiones. La falta de efectividad de los cisticidas hizo pensar que se enfrentaba un caso de neurocisticercosis resistente o falla terapéutica por condiciones del fármaco de primera línea. Por ello, se optó por administrar albendazol comercial. Este manejo fue complementado con la administración de ivermectina en dosis cíclicas.
La ivermectina es un antiparasitario derivado de la avermectina B1, compuesto producido por Streptomyces avemitilis. Este fármaco, ampliamente usado en veterinaria, ha sido reportado en diferentes publicaciones como opción terapéutica en casos de cisticercos resistentes a manejo convencional. Su uso en humanos se ha descrito en endoparásitosis de difícil control como filariasis, oncocercosis, estrongiloides y ectoparasitosis como pediculosis capitis y miasis. Este antiparasitario actúa en la unión mioneural sobre los receptores en el canal de cloro, aumentando su permeabilidad, lo que causa parálisis en gusanos adultos, o por un mecanismo mediado inmunológicamente, cuando actúa sobre formas inmaduras 33,34.
En el caso reportado aquí, el resultado final al manejo farmacológico pudo tener relación con el manejo con albendazol comercial, lo cual podría asociarse con la notificación de alerta por falla en un lote genérico de este medicamento en fechas previas, como también por la administración posterior de ivermectina. Finalmente, es importante llamar la atención acerca del diagnóstico oportuno de esta patología, teniendo siempre sospecha clínica, así como un cercano seguimiento de los pacientes con esta condición, lo que permite identificar casos de cisticerco resistente que requieren manejo alternativo, por parte de un grupo integral.
En el contexto epidemiológico colombiano y suramericano son de gran relevancia actividades de investigación, intervenciones multidisciplinarias e intervenciones políticas institucionales como el Plan Decenal de Salud Pública 2012-2021 33. Es importante, de igual forma, tener en cuenta las recomendaciones sugeridas por expertos en la reunión realizada por la OMS en Bogotá en 2015, para la ejecución de una serie de actividades desde el Programa Nacional de Zoonosis y las entidades departamentales para que contribuyan a disminuir y a controlar esta parasitosis desatendida causada por Taenia solium34.
Conclusión
La cisticercosis humana es un problema de salud pública en América Latina y, dentro de la región, el departamento del Cauca, Colombia, no es la excepción. En esa medida, es importante desarrollar investigaciones epidemiológicas al respecto, para que, en el futuro, puedan iniciarse estrategias de control de forma interinstitucional e interdisciplinaria, de las cuales hay experiencias en distintos países de la región. Por último, es importante una adecuada sospecha clínica y seguimiento de los pacientes con esta patología, para brindar un abordaje diagnóstico y terapéutico óptimo.













