Introducción
La hiperostosis esquelética idiopática difusa (DISH, por sus siglas en inglés: Diffuse idiopathic skeletal hyperostosis) es una condición sistémica de tipo no inflamatorio. Su característica principal es la osificación de los ligamentos y las entesis de predominio axial y, en menor medida, de las articulaciones periféricas1. Fue descrita inicialmente en 9 pacientes por Jacques Forestier y su estudiante Jaume Rotés-Querol en 1950 bajo el término «Hiperostosis vertebral anquilosante senil»2. En 1976 Resnick y Niwayama acuñaron el término DISH y establecieron los criterios diagnósticos de mayor difusión y uso en la actualidad (fig. 1)3.

Figura 1 Criterios radiológicos de Resnick-Niwayama: A: osificación del ligamento longitudinal anterior en mínimo 4 vértebras contiguas; B: preservación del espacio intervertebral; C: preservación de la articulación facetaria; D: ausencia de afectación de la articulación sacroilíaca.
En las últimas 3 décadas, los casos de DISH han aumentado en los países desarrollados, posiblemente por la disponibilidad de técnicas de imagen superiores a la radiografía que aumentan la tasa de diagnóstico. La prevalencia en los varones y las mujeres mayores de 50 años es del 25 y 15%, respectivamente; con un incremento a partir de los 70 años, presentándose en el 35% de los varones y el 25% de las mujeres4. En los últimos años se ha demostrado que la tomografía computarizada (TC) tiene un mayor rendimiento diagnóstico. Un estudio reciente en Japón evaluó la prevalencia de DISH en 1.470 pacientes por medio de TC de la columna vertebral, demostrando que, en los mayores de 70 años, el 50% de los varones y el 19,4% de las mujeres presentaban la enfermedad, con una relación de 3:15. En contraste con los cambios estructurales, la mayoría de los pacientes con DISH permanecen asintomáticos, por lo que el diagnóstico en gran medida es incidental o en estadios tardíos de la enfermedad. Las posibilidades de tratamiento están limitadas al manejo sintomático del dolor y, en casos específicos, la intervención quirúrgica está indicada cuando hay compresión sintomática de estructuras adyacentes. Entendiendo que en Colombia la epidemiología acerca de esta entidad es poco conocida, la presente serie de casos tiene como objetivo describir las características clínicas y radiológicas de pacientes con DISH en una población local en Colombia.
Materiales y métodos
Se realizó un estudio descriptivo, retrospectivo, tipo serie de casos, de corte transversal, en el que se revisaron los registros clínicos de pacientes con diagnóstico de DISH atendidos en 2 centros médicos de referencia entre enero de 2000 y diciembre de 2018. El diagnóstico se confirmó si cumplían todos los criterios radiológicos propuestos por Resnick-Niwayama (fig. 1).
Se tomaron en cuenta las manifestaciones clínicas al ingreso, antecedentes patológicos, hallazgos a la exploración física, resultados de laboratorios y estudios de imagen disponibles, incluyendo radiografía, TC o resonancia magnética (RM). De manera exploratoria, previa autorización verbal, en diciembre de 2018 se aplicaron mediante encuesta telefónica 2 cuestionarios en 19 pacientes: uno de ellos validado para describir el grado de dificultad en 8 actividades básicas de la vida diaria (modified Health Assessment Questionnaire [mHAQ])6 y el otro validado para definir el grado de limitación funcional en pacientes con espondilitis anquilosante (Bath Ankylosing Spondylitis Functional Index [BASFI])7. Este último fue utilizado ante la falta de escalas propias para evaluar el grado de limitación de los pacientes con DISH y por las similitudes entre las 2 enfermedades descritas. El estudio cumplió con los lineamientos del comité de Ética del Centro Médico Imbanaco y la Clínica de Artritis Temprana.
Se excluyeron pacientes con osteoartritis y espondiloartritis de predominio axial con similitud radiológica. Se empleó estadística descriptiva para resumir las características de la población. Las variables cuantitativas se presentaron por medio de medidas de tendencia central y dispersión. Las variables cualitativas se resumieron como proporciones y se presentaron en tablas de frecuencia. Se realizó un análisis exploratorio para determinar la significación estadística entre variables cuantitativas por medio de la prueba T de Student.
Resultados
Se seleccionaron 24 pacientes, 20 varones y 4 mujeres, con una relación 5:1. La mediana de edad al diagnóstico fue de 70,5 años (RIQ: 61,3-73,8 años), siendo menor en las mujeres con respecto a los varones (71,5 versus 60 años; p = 0,04). Los pacientes de menor y mayor edad tenían 41 y 87 años, respectivamente. La mediana de tiempo de evolución de los síntomas fue de 5 años (RIQ: 3-10 años), la duración fue menor en el grupo de las mujeres (5 versus 4 años; p = 0,20). En la tabla 1 se describen las variables demográficas, clínicas y radiológicas según el género. El índice de masa corporal fue de 26,9 kg/m2 (RIQ: 25,3-30,1 kg/m2). El 54,2% tenían sobrepeso y la comorbilidad más frecuente fue hipertensión (50%). No se documentaron eventos cardiovasculares mayores (infarto de miocardio, enfermedad cerebrovascular o enfermedad arterial periférica), así como tampoco hubo coexistencia con enfermedades autoinmunes sistémicas.
Tabla 1 Características demográficas, clínicas y radiológicas
| Característica | Varón (n = 20) | Mujer (n = 4) |
| Generales | ||
| Edad al diagnóstico (anos),˜ mediana (RIQ)a | 71,5 (64,3-74,3) | 60 (50,8-67,3) |
| Tiempo de evolución (anos),˜ mediana (RIQ) | 5 (3-10) | 3,1 (3,1-6) |
| Estado nutricional, % (n)b | ||
| Obesidad I | 22,2 (4) | 25 (1) |
| Sobrepeso | 61,1 (11) | 50 (2) |
| Normal | 11,1 (2) | 25 (1) |
| Comorbilidades, % (n) | ||
| Hipertensión arterial | 55 (11) | 25 (1) |
| Dislipidemia | 45 (9) | 25 (1) |
| Diabetes mellitus | 20 (4) | 25 (1) |
| Dolor, % (n) | ||
| Cervical | 50 (10) | 50 (2) |
| Dorsal | 10 (2) | 50 (2) |
| Lumbar | 55 (11) | 75 (3) |
| Limitación, % (n) | ||
| Cervical | 70 (14) | 75 (3) |
| Dorsal | 15 (3) | 25 (1) |
| Lumbar | 30 (6) | 25 (1) |
| Síntomas asociados, % (n) | ||
| Parestesias | 40 (8) | 0 |
| Disfagia | 30 (6) | 25 (1) |
| Disnea | 10 (2) | 25 (1) |
| Afección periférica, % (n)c | ||
| Crestas ilíacas | 83,3 (10) | 100 (3) |
| Trocánter mayor (fémur) | 25 (3) | 33,3 (1) |
| Patela | 20 (2) | 33,3 (1) |
a Prueba T de Student, p = 0,004.
b Varones n = 18.
c Varones n = 10, mujeres n= 3.
En el historial clínico se destacó la presencia de afección axial dado por limitación cervical (74%) y dolor en la región lumbar (58,3%). El principal síntoma asociado fueron las parestesias en miembros superiores (34,8%). La disminución de la movilidad cervical fue el hallazgo, al examen físico, más común (70,8%). Los resultados de los laboratorios reportaban una mediana de hemoglobina de 15,3 g/dl (RIQ: 14,7-15,7 g/dl), leucocitos de 6.870 células/mm3 (RIQ: 5.650-9.065 células/mm3), creatinina de 0,94 mg/dl (RIQ: 0,891,03 mg/dl), velocidad de sedimentación globular 7,5 mm/h (RIQ: 2,25-20 mm/h). Entre los reactantes de fase aguda la VSG fue positiva en 2/16 (12,5%) y la PCR fue positiva en 4/13 (30,7%). El HLA-B27 fue negativo en 8/8 pacientes.
Aunque el diagnóstico de DISH se realizó en todos los casos por medio de radiografía simple de la columna vertebral, el 45,8% de los pacientes tenía estudios adicionales, entre ellos TC y RM. La mediana del número de vértebras afectadas fue de 5 (RIQ: 4-6). La afección principal fue en la columna torácica (75%), seguido por la columna cervical y lumbar (58,3%). Los segmentos vertebrales más afectados de acuerdo con la ubicación fueron: C5-C6 en columna cervical, T8-T10 en columna torácica y L1-L3 en columna lumbar. La osificación del LLA fue de predominio derecho en el 72,2% de los pacientes. La afecafección periférica se documentó en el 62,5%, siendo mayor en crestas ilíacas (86,7%) (tabla 2). En 2 pacientes se documentó desplazamiento de estructuras adyacentes, esófago y región glótica por TC. Las figuras 2, 3 y 4 son ejemplo de los hallazgos radiológicos encontrados en 3 pacientes. Todos los pacientes realizaron terapia física como parte del tratamiento. El 33,3% tomaron analgésicos y relajantes musculares. Tres pacientes fueron llevados a cirugía por afección cervical, con mejoría subjetiva de los síntomas. En cuanto a la limitación funcional se obtuvieron datos de 19 pacientes, 15 varones y 4 mujeres. La mediana del puntaje de MHAQ fue de 0,5 (RIQ: 0,125-0,65) y de BASFI fue de 2,1 (RIQ: 0,8-4). La categorización de la severidad de la limitación se discrimina en la tabla 2.
Tabla 2 Limitación funcional
| Característica | Varón (n = 15) | Mujer (n = 4) |
| BASFI, mediana (RIQ) a | 2,1 (0,8-3,2) | 4,5 (1,3-6,7) |
| mHAQ, mediana (RIQ) b | 0,3 (0-0,5) | 0,62 (0,3-0,6) |
| mHAQn % (n) | ||
| Normal | 26,7 (4) | 0 |
| Leve | 10 (66,7) | 3 (75%) |
| Moderado | 1 (6,7) | 1 (25%) |
| Severo | 0 | 0 |
BASFI: Bath Ankylosing Spondylitis Functional Index; mHAQ: modified Health Assessment Questionnaire.
a Prueba T de Student, p = 0,289.
b Prueba T de Student, p = 0,253.

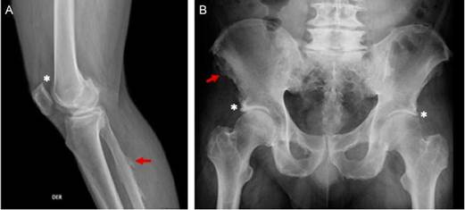
Figura 2 Varón de 65 años, obeso, con cuadro de 15 años de evolución de dolor en columna dorso-lumbar y rodillas asociado a parestesias en miembro inferior derecho. Hallazgos en la radiografía (A) rodilla derecha, excrecencias óseas en patela (*) y en entesis fíbula (flecha roja), (B) osificación en entesis de las espinas ilíacas (flecha roja) y acetábulo (*).

Figura 3 Mujer de 71 años, diabética, con cuadro clínico de 4 años de evolución de dolor y limitación cérvico-dorsal. Hallazgos en la radiografía (A) cervical, puentes óseos C2-C7 (flecha roja), (B) pélvica, excrecencias óseas en entesis de espina ilíaca, acetábulo y trocánter mayor de fémur (flecha roja).
Discusión
La DISH afecta principalmente a la población mayor. Su historia natural tiene un curso benigno. El advenimiento del uso de nuevas técnicas de imagen en el diagnóstico ha ampliado el conocimiento de su epidemiología5,8. Nuestra cohorte muestra una relación de género de 5:1, estando entre el rango descrito en estudios previos (2:1-7:1) 9,10. La mediana de edad al diagnóstico fue menor en las mujeres (p = 0,04). Aunque los casos de DISH son menos frecuentes en las mujeres, en ellas el diagnóstico es más temprano, lo que podría inferir un compromiso clínico mayor. Un estudio previo soporta estos hallazgos al concluir que las mujeres se afectan tempranamente por la enfermedad, correlacionándose con una tasa de mortalidad mayor11.
El mecanismo exacto que contribuye a la formación de hueso en pacientes con DISH está aún en discusión. Se ha descrito una asociación significativa con desórdenes metabólicos, como la diabetes mellitus, la obesidad, la dislipidemia y la hiperglucemia12. Este hecho se corroboró en nuestra cohorte, donde la hipertensión y el sobrepeso fueron los antecedentes más frecuentes. Aunque la fisiopatología es poco conocida, el concepto principal se basa en el exceso de factores de crecimiento como la insulina, el factor de crecimiento similar a la insulina 1, el factor de crecimiento transformador beta 1, el factor de crecimiento derivado de las plaquetas, las prostaglandinas I2 y la endotelina 1, que inducen la transformación de células mesenquimales en fibroblastos y osteoblastos. Por otra parte, hay reducción de la actividad de los inhibidores de los péptidos promotores de hueso (proteína Gla matriz, proteína morfogénica ósea 2, proteína Dickkopf-T)13. La angiogénesis es un factor importante para la proliferación de los osteoblastos, el desarrollo del esqueleto y la reparación del hueso. El papel de la angiogénesis en el proceso de aterosclerosis de pacientes con trastornos metabólicos podría ser el enlace entre estos 2 desórdenes13.
En general, los síntomas dependen de la localización de la osificación. Las manifestaciones más comunes están directamente relacionadas con los cambios en la columna, incluyendo dolor axial y síntomas radiculares (dolor, parestesias y debilidad en las extremidades). Además, presentan reducción en los arcos de movilidad axial favoreciendo el desarrollo de fracturas vertebrales inestables15. La obstrucción de la vía aérea puede ocurrir por compresión de la tráquea debido a osteofitos de gran tamaño16. La disfagia es el resultado del efecto de masa, lesión directa del nervio laríngeo recurrente o inflamación y fibrosis de la pared esofágica17. Las manifestaciones periféricas incluyen compromiso de articulaciones que usualmente no se afectan en la osteoartritis (codos, hombros, tobillos), presencia de excrecencias óseas adyacentes a las articulaciones y calcificación extraarticular, principalmente en la tuberosidad tibial, calcáneo, patela y olécranon18. Incluso hay reportes de caso donde predominan las manifestaciones periféricas19. La sintomatología de la cohorte presentada no difiere de lo reportado en estudios previos, siendo común la limitación cervical en aproximadamente el 75% de los pacientes, seguido por dolor cervical (50%) y síntomas secundarios a compresión de estructuras adyacentes (principalmente parestesias) en un tercio de ellos.
La limitación funcional en los pacientes con DISH ha sido un tema controvertido. Algunos autores lo han considerado un estado y no una enfermedad. Sin embargo, otros han identificado que los pacientes con DISH tienen una disminución de su capacidad funcional similar a los pacientes con espondiloartrosis y superior a la población normal medida a través de cuestionarios como Health Assessment Questionnaire (HAQ) 20. Mader et al. encontraron una disminución de la capacidad funcional en 87 pacientes con DISH comparados con pacientes con osteoartritis21. Al respecto, en nuestra población, el 68,4% tenía una limitación leve por mHAQ. Al separar los resultados por género, las mujeres tuvieron una mediana en mHAQ 3 veces mayor y en BASFI 2 veces mayor, con respecto a la población masculina. Aunque estos resultados no fueron estadísticamente significativos posiblemente por la muestra limitada de pacientes, el hallazgo sugiere un patrón de afección más grave en el sexo femenino. En lo revisado de la literatura no se encontraron estudios que compararan el grado de limitación funcional según el género.
La característica principal en las imágenes es la presencia de osteofitos confluentes en la columna torácica. Los puentes óseos gruesos se forman a lo largo del LLA en una orientación más horizontal y principalmente del lado derecho, explicado por el impacto de la pulsación de la aorta13. Un estudio del 2017 describió el orden de afección en la columna así: torácica media 21,9%, torácica inferior 21,3%, torácica superior 10,4%, seguido por cervical (7,9%) y lumbar (7,3%)22. No se encontraron diferencias en el orden de afección entre varones y mujeres23. Hiyama et al. demostraron en 289 pacientes con DISH que el segmento T8-T10 fue el mayormente afectado, principalmente en la región anterior derecha de los cuerpos vertebrales5. Correlacionándose con lo mencionado, en el presente estudio el segmento de la columna más afectado también fue T8-T10. Otros hallazgos radiográficos difieren parcialmente: si bien la afección torácica fue la más prevalente, más del 50% de nuestra población tenía cambios en la columna cervical y lumbar.
En la literatura, los criterios de Resnick-Niwayama son los de mayor difusión y aceptación, pero se limitan a identificar pacientes con estadios avanzados de la enfermedad. Aunque múltiples autores han propuesto nuevos criterios con el fin de superar esas limitaciones, en la actualidad no hay un consenso definido. El compromiso de al menos 3 vértebras contiguas (2 puentes óseos) ha sido descrito como el criterio principal por Bregeon et al.24, Harris et al.25, Arlet t Mazière26, Marcelli et al. 27 y Rogers y Waldron28. En 1985 Utsinger extendió los criterios de clasificación para incluir las entesopatías periféricas29. Usando los criterios de Utsinger, un diagnóstico definitivo de DISH se establece cuando la osificación toraco-lumbar está presente en al menos 4 vértebras contiguas, un diagnóstico probable cuando el compromiso es al menos en 2 vértebras contiguas acompañado de entesopatía periférica bilateral y un diagnóstico posible cuando hay afectación de al menos 2 vértebras o si hay entesopatía simétrica en ausencia de compromiso espinal (particularmente cuando afecta más de un sitio anatómico). Los criterios de exclusión son pérdida del espacio intervertebral y anquilosis de la articulación apofisaria. Las categorías probables o posibles pueden identificar pacientes con mayor riesgo de desarrollar DISH, aunque actualmente no hay un enfoque práctico establecido para el tratamiento de estos pacientes. Siendo una enfermedad que afecta comúnmente a la población anciana, puede coexistir con espondiloartritis. Distinguir entre estas entidades no es fácil. Los hallazgos en la radiografía como la ausencia de compromiso de la articulación apofisaria y la preservación de la altura del disco intervertebral pueden ser útiles. La espondilitis anquilosante (EA) es otro diagnóstico diferencial, que comparte con DISH algunas características como la tendencia a la osificación de los ligamentos y las entesis; aunque en la EA este proceso ocurre por diferentes mecanismos inflamatorios. Las principales diferencias son: la afección de la articulación sacroilíaca, la apariencia y ángulo de proyección de los osteofitos y sindesmofitos, la presentación en pacientes jóvenes, la asociación con el HLA-B27 y el mayor grado de dolor y limitación1,30.
No hay estudios controlados y aleatorizados sobre el tratamiento farmacológico de los pacientes con DISH. En la práctica clínica, el enfoque de tratamiento se basa en guías para enfermedades similares. De hecho, el tratamiento del dolor axial y periférico está basado en el uso de analgésicos y antiinflamatorios no esteroides (AINE) como se emplean en osteoartritis, en modalidades de fisioterapia y programas de dieta. El uso de AINE podría ser adoptado como una medida preventiva del desarrollo de osificación heterotópica, así como los bifosfonatos han sido usados con el fin de disminuir la formación de osteofitos31. Debido a la asociación con entidades metabólicas se sugiere evitar el uso de medicamentos que aumenten la secreción de insulina como sulfonilureas, betabloqueado-res y diuréticos tiazídicos13. La cirugía está indicada cuando las maniobras conservadoras fallan en pacientes con complicaciones graves como obstrucción de la vía aérea, disfagia y fracturas32,33.
La fortaleza del presente estudio fue la consideración de casos de DISH confirmados por radiología y la inclusión de las diferencias en las variables clínicas y radiológicas entre géneros que permitieron contrastar nuestra población con lo descrito en la literatura. Una de las limitaciones es la condición retrospectiva que impide el análisis de otras variables y la procedencia de los registros de solo 2 centros. Estas limitaciones motivan la realización de estudios de tipo cohorte prospectiva, preferiblemente multicéntricos, que permitan un tamaño de muestra mayor y la identificación de factores asociados con la enfermedad.
Conclusión
En esta serie la DISH fue más frecuente en varones mayores de 65 años, y se asoció con enfermedades metabólicas como la obesidad y la diabetes. Aunque las diferencias no fueron significativas, los resultados sugieren que las mujeres presentan un fenotipo grave de la enfermedad explicado por el inicio temprano y curso progresivo de los síntomas y la mayor limitación funcional mediante el mHAQ y el BASFI. Hubo correlación clínica entre los síntomas y la afectación radiológica. A diferencia de otras cohortes, la osificación cervical y lumbar fueron frecuentes. Los reactantes de fase aguda suelen estar negativos. No hubo asociación con una enfermedad autoinmune sistémica o reumática documentadas hasta el último seguimiento de los pacientes.














