Introduction
Rheumatoid arthritis (RA) is a chronic autoimmune disease affecting about 2% of the world population.1 RA is characterized by chronic synovial inflammation, erosive arthritis of peripheral joints, pannus formation, and subsequently induced destruction of cartilage and bone. (2,3 The prevalence of RA in Indonesia is about 11.9-27.7%4 and affecting women 2-3 times higher than men. (5 The cause of RA remains unclear. Interestingly, however, genetic factors such as HLA-DRB1*01 and HLA-DRB1*04 are strongly correlated with predisposition to RA. (5
Several reports have been demonstrated that overproduction of nitric oxide (NO) is associated with persistent RA inflammation. (6,7 It is confirmed that the over-production of NO linked to the over-stimulation of iNOS. (6 Furthermore, the administration of NOS inhibitor has been proven to effectively decrease paw swelling in adjuvant-induced arthritis in rats, (6,7 implying that NO plays a crucial role in modulating RA progression. Because most RA cases interfere with physical functioning and quality of life, (6 early diagnosis and prompt treatment are necessary to substantially slowing the progression of joint damage. Currently, patients with RA are treated with disease-modifying antirheumatic drugs (DMARDs) and other immunosuppressive agents, including anti-tumor necrosis factor-alpha (anti-TNF-α) and anti-interleukin-6 receptor (anti-IL-6R). (3,6,8 However, most of these therapeutic agents are expensive and induce several adverse effects. Thus, complementary and alternative treatment with safety and efficacy in treating RA is required.
Durian (Durio zibethinus Murr.) is a tropical fruit with a unique aroma and mainly cultivated in Southeast Asian countries. Evidence supports therapeutic properties of durian as anti-cancer, anti-diabetic, and anti-obesity. (9,10 Moreover, it has been shown that durian contains anti-inflammatory constituents, such as flavonoids, polyphenols, and tannins. (10 Although most of the available studies are mainly evaluating therapeutic activities of fruits pulp, peels, or leaves of durian, little known about the potential of durian wood bark for medical purposes. Thus, this study aims to elucidate the effects of durian wood bark extract on a rat model of rheumatoid arthritis.
Materials and methods
Plant material and extract preparation
The wood barks of durian were collected from Malang, East Java, Indonesia. The species of durian was identified and confirmed by a plant taxonomist of the herbarium unit, UPT Materia Medica, Batu, East Java, Indonesia. A duplicate voucher specimen (No. 74/88/101.8) has been deposited in the herbarium unit, UPT Materia Medica, Batu, East Java, Indonesia. The extract preparation was conducted as previously described. (9,11,12 Briefly, the bark was shade dried and ground into a fine powder. Thirty grams of bark powder were then macerated in 100 ml absolute ethanol for 48 h by the soxhlet extraction apparatus. The extract was evaporated to dryness at 40°C using a rotary evaporator and store at 4°C for further use.
Animals
Rattus norvegicus strain Wistar (female, weighing 120-200 g, 3-1 months of age) was purchased from Commanditaire Vennootscha (CV) Rattindo Mousi Jaya. The animals were housed in a controlled environment and provided with standard rodent chow and distilled water. All experiments were performed in accordance with the international guidelines for the care and use of laboratory animals. The experimental protocols were approved by the ethics committee of Brawijaya University, Malang, Indonesia (Reference No. 24-KE).
Induction of rheumatoid arthritis model and treatment
Prior to the experiment, rats were randomly divided into five groups (6 rats in each group), including control, RA model, and three RA groups treated with durian wood bark extract. RA model was established by injection of 0.1 ml of complete Freund's adjuvant (CFA, Sigma-Aldrich) at the base of the tail. Booster immunization was performed 14 days later by intra-dermal injection of 0.05 ml CFA into both hind metatarsal footpads of rats. Inflammation was then observed seven days post-injection. Control group was injected with an equal volume of saline. Treatment groups were orally treated with durian wood bark extract at doses of 20, 30, or 40 mg/kg/day, while control and RA model groups were orally treated with normal saline for 14 days.
Evaluation of arthritis
Changes in the hind limb swelling were used to assess the anti-arthritic effect of durian wood bark extract in the CFA-induced RA model. The swelling was measured by means of micrometer vernier calipers placed on the right and left hind limbs.
Histology and immunohostochemistry
Tissue collection procedures were initiated after rats have been euthanized with isoflurane overdose. The ankle joints were removed and fixed in 10% formalin, then decalcified and embedded in paraffin. The knee joints were sliced at 8 thickness and stained with hematoxylin and eosin (H and E). Histopathological changes were analyzed under a light microscope (Olympus CX31).
For immunohistochemistry, endogenous peroxidases were blocked with 3% H2O2 for 20 min. The sections were incubated with anti-rat iNOS (1:100, Santa Cruz Biotechnology) overnight at 4 °C. Then, the sections were incubated with secondary biotinylated antibody followed by avidin peroxidase complex acccording to the manufacturer's protocols (Universal Detection Kit). To visualize the immunostaining, the slides were stained with 3, 3-diaminobenzidine tetrahydrochloride (DAB, Dako k0411 kit) and counterstained with hematoxylin. Quantification of iNOS expression was performed in twenty different visual fields in a blindly manner by 2 independent observers using a light microscope (Olympus CX31) at 1000 x magnification. (13-15
Results
CFA injected-rat was significantly increased hind limb swelling compared to control (Fig. 1A, B). However, the swollen hind limb induced by CFA was diminished by the administration of 40 mg/kg durian wood bark extract for 14 days. Interestingly, this result was not observed in lower doses (Fig. 1B). No pathological changes in the control group (Fig. 2A, C). Nonetheless, multiple pathological changes were observed in the CFA-induced RA model, including the infiltration of inflammatory cells in the synovial membrane, cartilage degradation, and bone destruction (Fig. 2B, D). Interestingly, however, these effects were attenuated by the administration of durian wood bark extract in a dose-dependent manner (Fig. 2E-G). In line with the previous finding, the administration of 40 mg/kg durian wood bark extract shows marked improvement, characterized by the smooth lining of cartilage tissues (Fig. 2G).

Fig. 1 Hind limb thickness in CFA-induced RA model in rats. (A) Representative image of rat hind limb; (a) control; (b) RAmodel. (B) quantification of hind limb thickness. Data are expressed as a mean ± standard deviation (SD). (*) and (#) indicates a significant difference compared to control and between two groups indicated in the graphs (p < 0.05), respectively.

Fig. 2 A representative of histopathological images of the ankle joint of rats in the different experimental groups. (a, c) Control group, healthy joint tissue, cartilage, and bone. (b, d) RA group, there is an infiltration of inflammatory cells(arrowhead), erosive cartilage, and bone destruction (arrow). (e) RA treated with 20 mg/kg durian wood bark extract, infiltration of inflammatory cells (arrowhead) and erosion or destruction of cartilage still present (arrow). (f) RA treated with30 mg/kg durian wood bark extract, minimal infiltration of inflammatory cells (arrowhead) and erosion of cartilage (arrow). (g) RA treated with 40 mg/kg durian wood bark extract, no infiltration of inflammatory cells and erosion of cartilage. a and bwere magnified at 40×, while the rest were magnified at 1000×.
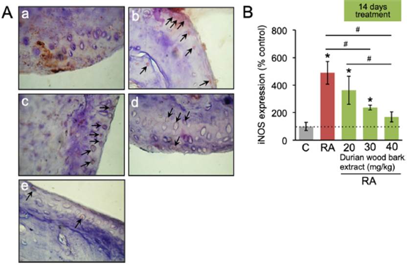
The expression of iNOS was detected in chondrocytes of the superficial zone articular cartilage (Fig. 3A). In agreement with the previous finding [6], our results revealed that the expression of iNOS was nearly a 5-folded increase in the RA group compared to control (Fig. 3A (a,b), B). iNOS expression was suppressed by the administration of durian wood bark extract in a dose-dependent manner (Fig. 3A (c-d), B), particularly at a dose of 40mg/kg (Fig. 3A (d), B).

Fig. 3 The expression of iNOS in chondrocytes of articular cartilage. (A) representative images of iNOS expression in the articular cartilage; (a) control; (b) RA model; (c-e) RA model treated with durian wood bark extract at dosages of 20, 30, and40 mg/kg, respectively. The images were taken at 1000× magnification. (B) Quantification of iNOS expression. Data are expressed as a mean ± standard deviation (SD). (*) and (#) indicates a significant difference compared to control and between two groups indicated in the graphs (p < 0.05), respectively.
Discussion
This study investigated the effect of durian wood bark extract on a rat model of rheumatoid arthritis by evaluating morphological changes of the hind limbs, histopathology, and expression of iNOS in rat cartilage. First, morphological changes of the hind limbs were analyzed to confirm the anti-arthritic effects of durian wood bark extract. We found that the highest dose of durian wood bark extract effectively inhibiting inflammatory response in the CFA-induced RA model. In corroborate, microstructural changes of the ankle joint was attenuated by a higher dose of the extract, thereby implying that the durian word bark extract exhibits anti-inflammatory properties and possesses the potential to treat joint symptoms or RA.
In vitro study revealed that the ethanolic durian pulp extract suppressed the formation of reactive oxygen species (ROS) and inflammatory mediators in U937 monocyte like cells-induced by hydrogen peroxide. (16 On the other hand, the oral administration of stem bark extracts from different species, such as Chloranthus serratus, Cleistopholis patens, and Vitellaria paradoxa, in CFA-induced RA model, displayed similar findings marked by the inhibition of inflammatory cytokines and improvement of joint structure and symptoms. (17-19 Moreover, it is believed that flavonoids content contains in the stem bark are responsible for the suppression of inflammatory factors, including nuclear factor-kappa B, iNOS, adhesion molecules, and cytokines. (19
Phytochemical screening of durian wood bark extract revealed the presence of phenols, alkaloids, tannins, terpenes, saponins, and flavonoids. (9 Besides, (Z)-9-Octadecenoic acid (Oleic Acid) has been identified as a significant chemical constituent contain in durian wood bark extract, (9 suggesting its biological and therapeutic properties related to health. Several studies have been demonstrated that the inflammatory response observed in RA is strongly associated with increased production of NO due to the upregulation of the iNOS. (7 Indeed, suppression of iNOS and NO production, as well as inflammatory mediators, have been demonstrated when lipopolysaccharide (LPS)-stimulated macrophage cells were co-incubated with Octadecenoic acid. (11 Furthermore, the administration of flavonoid, hesperidin, has been proven to suppress the overproduction of prostaglandin E2 (PGE2) and nitric oxide (NO) by inhibiting inducible isoforms of cyclooxygenase and nitric oxide synthase. (20 Therefore, the anti-arthritic properties of durian wood bark extract may be associated with the action of NOS inhibitor.
Conclusion
Durian wood bark extract exhibits anti-arthritic properties by reducing hind limb swelling, improving microstructural changes, and suppression of iNOS expression in the articular cartilage. Altogether, these findings imply that durian wood bark extract can be an alternative treatment for RA. However, further studies are required to define appropriate dosing regimens of the extract for RA therapy.













