Introducción
La artritis reumatoide (AR) es una enfermedad autoinmune crónica de etiología multifactorial, la cual es caracterizada por poliartritis simétrica periférica y erosiones óseas, que llevan a la deformidad y la destrucción articular1. Se han descrito diversas manifestaciones extraarticulares, la inciden cia de estas varía de acuerdo con los diferentes estudios y las características geográficas; estas ocurren en el 17,8-40,9% de los pacientes con AR2, siendo la más común los nódulos reumatoides3. Estos nódulos subcutáneos se ven usualmente en la superficie extensora de la ulna proximal y en áreas suje tas a presión como el sacro, tendón de Aquiles, área occipital y tendones de las manos. Los nódulos reumatoides viscera les son detectados en áreas como el pulmón y el corazón4. Diferentes series de casos se han llevado a cabo para intentar describir este tipo de compromiso, sin embargo, la presenta ción de nódulos en el hígado es demasiado infrecuente y es poca la evidencia existente al respecto.
Caso clínico
Describimos el caso de una paciente femenina de 31 años de edad, quien hace 2 años, durante su primer embarazo, pre sentó prurito y artralgias en muñecas y dedos de las manos; al examen físico no tenía cambios inflamatorios articulares ni lesiones primarias en la piel. En el puerperio presentó mejoría importante de los síntomas articulares, pero con persistencia del prurito. Se encontró elevación de transaminasas, gamma glutamil transpeptidasa (GGT) y fosfatasa alcalina, hipoalbuminemia leve, bilirrubinas normales, pruebas para virus hepatotropos negativos y ecografía de hígado y vías biliares normal. Perfil autoinmune con anticuerpos antimús culo liso (ASMA) y anticuerpos antimitocondriales (AMA) por IFI negativos; anticuerpos antinucleares (ANA) por IFI 1/80 patrón nucleolar, anticuerpos extractables del núcleo (ENA) por ELISA negativos ([valor de referencia: <25U/ml]: anti-Ro 21 U/ml, anti-La 8,5 U/ml, anti-Sm 2,9 U/ml, anti-RNP 6,2 U/ml), anti-DNA doble cadena negativo por ELISA ([valor de refe rencia: < 20 IU/ml]: anti-DNA2,2) y anticuerpos anticitoplasma de neutrófilos (ANCA) por ELISA negativos ([valor de referen cia: < 5 U/ml]: anti-PR3 1,4U/ml, anti-MPO 2,2U/ml). Se inició manejo con ácido ursodesoxicólico y colestiramina, sin mejo ría de colestasis.
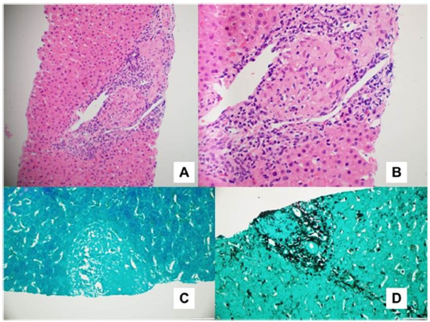
Se realizó biopsia de hígado donde se encontró inflamación crónica granulomatosa sin necrosis asociada, ubicada en la tríada portal, sin incremento del infiltrado inflamatorio portal ni periportal, no daño a las estructuras portales, ni evidencia de ductopenia, ductulitis, proliferación ductular o venulitis. En el lobulillo no se observó infiltrado inflamatorio considerable, esteatosis, balonamiento hepatocitario, megamitocondrias ni figuras histológicas sugestivas de hialina de Mallory, no se observó colestasis ni glóbulos hialinos (fig. 1). Se realizaron tinciones con Ziehl-Neelsen, Gomori, hierro, Orceína, PAS, tri crómico y retículo, negativas.
A pesar que la paciente nunca presentó síntomas respi ratorios, por las características de los hallazgos se realizaron estudios para descartar sarcoidosis con niveles de enzima convertidora de angiotensina, calcio sérico y calcio en orina de 24 h, los cuales fueron negativos, además de radiografía de tórax, la cual no mostró ningún tipo de alteración.
Seis meses después la paciente desarrolló artralgias inflamatorias en metacarpofalángicas e interfalángicas proximales bilaterales y exacerbación del prurito. Al examen físico se evidenció inflamación articular en los sitios descritos.
Se tomaron paraclínicos, en los que se encontró factor reumatoide (FR) positivo ([valor de referencia: < 14UI/ml] FR: 34), anticuerpo antipéptido citrulinado cíclico (ACPA) por ELISA positivo ([valor de referencia: 20-40 UI/ml]) ACPA: 353), y persistencia de transaminasas y fosfatasa alcalina elevadas; se realizó RMN de manos que reportó severos cambios inflamatorios sinoviales a nivel de articulaciones carpo-metacarpianas, se realizó diagnóstico de AR seropositiva. Dado el compro miso de las pruebas hepáticas nuestra paciente fue tratada con esteroides, antimalárico asociado a terapia biológica con rituximab, con desaparición posterior de la sintomatología y normalización de las pruebas hepáticas.
Discusión
Los nódulos reumatoides se han descrito hasta en el 30% de los pacientes con AR. Estos pueden ser detectados en áreas expuestas como dedos, tendones o codos; en órganos como laringe, faringe, vulva o mamas, y en vísceras como riñones, pulmón o corazón.
El hígado es uno de los órganos linfoides más grandes y actúa no solo como un sitio de inmunotolerancia, sino tam bién como una línea primaria de defensa en la biología de las mucosas5. Existe evidencia sobre su importancia en la modu lación de la respuesta inmune en enfermedades inflamatorias crónicas y autoinmunes6.
El compromiso hepático no es una característica extraarticular común en la AR. La aparición de nódulos es más frecuente en esta entidad cuando el FR y ACPA son positi vos; la patogénesis de estos no está claramente entendida, sin embargo, se hipotetiza que pequeñas hemorragias en los órganos resulta en la acumulación de complejos de FR en el sitio de la lesión. Los complejos de FR tienen una función quimiotáctica en la respuesta inmune por la activación local de monocitos y desarrollo de vasculitis a ese nivel.
Los laboratorios pueden mostrar pruebas hepáticas anor males que van a variar según la actividad de la enfermedad, principalmente elevación de la fosfatasa alcalina, la cual se ha reportado elevada en un 18-50% de los pacientes; en nues tro caso la paciente presentaba elevación persistente de AST, ALTy GGT, además de fosfatasa alcalina. La progresión histoló gica de los nódulos reumatoides ocurre en 3 etapas: una aguda inflamatoria, una granulomatosa y una final necrótica7-9. En nuestra paciente se encontró inflamación crónica granulomatosa no necrosante ubicada en la tríada portal.
Los nódulos reumatoides localizados en vísceras tienen un amplio diagnóstico diferencial; en nuestro caso se realizó biopsia de hígado con estudios de inmunohistoquímica y tinciones especiales, con lo que se descartó tuberculosis, otras infeccio nes y neoplasias. Adicionalmente, se descartó sarcoidosis, lo que llevó al diagnóstico de nódulos reumatoides hepáticos.
La descripción en la literatura de nódulos reumatoides hepáticos es escasa, solo se encontró un reporte de 1986 donde describieron múltiples nódulos hepáticos en la autopsia de una mujer con antecedente de AR activa por 13 años10; luego de su diagnóstico se empezaron a evaluar las posibles terapias; dada la escasa o nula información sobre formación de nódulos en el hígado, decidimos extrapolar el manejo de estos en otras localizaciones, y encontramos que el uso de medicamen tos anti reumáticos modificadores de la enfermedad (DMARD) convencionales como metotrexato11 y leflunamida12, puede cursar con el aumento del tamano de los nódulos a pesar de la buena respuesta de la AR; también se ha documentado la pobre mejoría con algunos biológicos como etanercept13,14 e infliximab15; de esta manera, basándonos en algunos reportes de la literatura16,17, la seropositividad a títulos altos de autoanticuerpos y el compromiso de las pruebas hepáticas, se decidió el uso de rituximab, con posterior mejoría de los síntomas y normalidad de las pruebas hepáticas.














