Services on Demand
Journal
Article
Indicators
-
Cited by SciELO -
Access statistics
Related links
-
Cited by Google -
Similars in
SciELO -
Similars in Google
Share
Revista MVZ Córdoba
Print version ISSN 0122-0268On-line version ISSN 1909-0544
Rev.MVZ Cordoba vol.13 no.1 Córdoba Jan./May 2008
CASO CLÍNICO
Pedro Eslava M,*1 M.Sc, Giovanny Torres V.2 Esp.
1Universidad de los Llanos, Villavicencio, Colombia.
2Universidad Pedagógica y Tecnológica de Colombia, Programa de Medicina Veterinaria y Zootecnia. Grupo de investigación GIDIMEVETZ Tunja, Colombia.
*Correspondencia: gavilnprimito@yahoo.com
Recibido: 31 de Agosto de 2007; Aceptado: Enero 10 de 2008
RESUMEN
Las neoplasias del testículo no son muy frecuentes en los animales domésticos Los caninos son los que las manifiestan con mayor frecuencia; estando entre los 0.7 y 4.6% de todos los tumores que sufren. Algunos factores se han asociado como predisponentes: entre ellos la edad madura y la presencia del criptorquidia uni o principalmente bilateral. Las neoplasias del testículo más frecuente son el tumor de células de Sertoli, el tumor de células de Leydig y los seminomas, que en general presentan la conducta benigna. El tratamiento recomendado previa evaluación clínica, es la orquiectomía (uni o bilateral), incluidos en los casos de criptorquidismo el testículo alojado en el escroto. En el presente manuscrito se realiza una revisión del tema en su primera parte; en la segunda, se describe el caso de un tumor de células del Sertoli en un canino Cocker que presentó al examen clínico un testículo retenido y síndrome feminizante. En este se caso se efectuó el diagnóstico histopatológico después de la extracción quirúrgica de la masa abdominal y también se realizó la extirpación del testículo alojado en el escroto.
Palabras clave: Tumor, células de Sertoli, criptorquidia, caninos.
ABSTRACT
Testicular neoplasms are not common in domestic animals. Among domestic animals, canines manifest them with more frequency (0.7% to 4.6% of all canine tumors). Some predisposing factors including age and the presence of criptorquidia uni or mainly bilateral have been identified. Testicular neoplasms more frequent are Sertoli cell tumor, the Leydig cell tumor and seminomas, which generally present as benign. Following clinical evaluation the recommended treatment is bilateral orchiectomy, including in cases involving Cryptorchidism. In the first part, this work presents a revision of the topic; in the second part it describes a Sertoli cell tumor case in a Cocker dog that presents with a retained testicle and testicular feminization syndrome. In this case histopathological diagnosis was made after surgical removal of the abdominal mass and extirpation of the testicle retained in the scrotum.
Key words: Tumor, Sertoli cells, cryptorchidia, canine.
INTRODUCCIÓN
Las neoplasias de testículo son una condición patológica relativamente frecuente en caninos adultos ya que están entre el 0.7 y 4.6% de las neoplasias que padecen, mientras que en otras especies incluido el hombre son eventos raros con una frecuencia del 0.006% (1). Los principales factores de riesgo asociados a la presentación de esta patología son el criptorquidismo uni o bilateral y la edad ya que la mayor cantidad de casos se han descrito en animales entre los 8 y 10 años (2,3). La frecuencia de aparición puede aumentar hasta 13.6 veces cuando uno o ambos testículos se encuentran retenidos en la cavidad abdominal (4).
A partir del tejido testicular se pueden originar una gran variedad de crecimientos tumorales primarios y algunos crecimientos metastásicos (4). Los principales tumores primarios del testículo identificados en los caninos son el tumor de células de Sertoli, tumor de células de Leydig y el seminoma. Estos se presentan por lo general como casos únicos; también los tres pueden presentarse simultáneamente en un testículo, lo cual es un evento muy raro ya que todos se derivan de diferentes líneas celulares (5,6). Existen algunas razas que presentan alto riesgo de desarrollar tumores testiculares dentro de las que se encuentran el Bóxer, Chihuahueño, Pastor Alemán, Pomerania, Poodle miniatura, Schnauzer, Husky Siberiano (7). Otras se consideran de bajo riesgo como son los Beagle, Cobrador Labrador y los mestizos (7)
Tumor de células de Sertoli. El tumor de células de sertoli (TCS) es el crecimiento neoplásico mas frecuente de los testículos; se origina a partir de células de sostén que se encuentran dentro de los tubúlos seminíferos, por lo tanto, un sinónimo es tumor de células sustentaculares. Este tipo de neoplasia es común en caninos especialmente criptórquidos, también se ha reportado en equinos, carneros, gatos y toros (6,8). Es mas común en animales adultos, por lo general son unilaterales, la incidencia es 20 veces más alta en testículos criptórquidos comparados con testículos escrotales (4).
Cerca del 20 a 30% de caninos con este tipo de tumor presentan signos de hiperestrogenismo consistentes en feminización, ginecomastia, atrofia del testículo contra lateral, metaplasia escamosa de la próstata, alopecia, atrofia de la medula ósea (9). Sin embargo, el síndrome feminizante que acompaña este tipo de tumor no solo se debe a los altos niveles de estrógeno producido ya que se han encontrado casos en donde los niveles séricos de esta hormona se presentan normales (4,10). Para estos casos se ha encontrado que el factor responsable es la producción de la hormona inhibina por parte de las células tumorales que bloquea la producción de testosterona a partir del impedimento de la liberación del factor trófico desde la hipófisis (10,11).
La feminización de caninos con tumor de células de Sertoli se presenta en el 70% de casos con testículo intra abdominal, 50% en casos con testículo inguinal y 17% en casos con testículo escrotal. Se manifiesta con atracción hacia otros machos, letargia, pérdida de la libido, prepucio edematoso y penduloso y redistribución de la grasa corporal (7,12). Los cambios en la cubierta pilosa consisten en alopecia bilateral simétrica y atrofia epidérmica debido a los altos niveles de estrógeno circulante que conllevan a atrofia del folículo piloso y glándulas anexas (5,7).
El TCS es de consistencia firme, nodular o multinodular demarcado por estroma de tejido conectivo, de tamaño que varia entre 1 y 5 cm, pero cuando se presenta en testículos retenidos en cavidad abdominal puede tener un diámetro de hasta 25 cm. La superficie de corte es blanco amarillenta; en la gran mayoría de casos son de comportamiento benigno y solo los de gran tamaño se pueden diseminar hacia estructuras adyacentes como túnica albugínea, epidídimo, cordón espermático o ganglios linfáticos regionales (4,13).
Por su apariencia histológica este tumor se divide en los de apariencia intratubular y difusa. Las células que componen el tumor se asemejan a las células de Sertoli normales, se ubican en islas o estructuras tubulares separadas por estroma de tejido conectivo abundante. Las células son elongadas, con núcleo que varia de tamaño redondo u ovalado y citoplasma con abundantes vacuolas o de tonalidad eosinofílico denso que puede contener gránulos de pigmento tipo lipocromos (4,13). Los de forma intratubular consisten en tubúlos bien formados compuestos por varias capas de células de Sertoli neoplásicas que se ubican en orientación perpendicular a la membrana basal. De otra parte los de forma difusa carecen de un ordenamiento tubular y forman amplios nidos o islas y las células que componen estos tumores son mas irregulares en tamaño y forma. Cuando son de comportamiento maligno pueden invadir tejido adyacente o colonizar vasos sanguíneos (4,13).
Tumor de células de leydig (TCL). Este tumor se origina a partir de las células intersticiales o de leydig, es común en caninos adultos pero también se ha reportado en garañones y toros (6, 8,14). Es usual en testículos criptórquidos, puede ser uni o bilateral, únicos o múltiples. Aunque las células de Leydig son productoras de andrógenos, los crecimientos tumorales de estas no presentan manifestaciones obvias de exceso de tales hormonas circulantes. La apariencia microscópica es por lo general muy especial ya que son pequeños, no producen una distorsión llamativa de la morfología testicular, el color varia de amarillo a café, son blandos, bien circunscritos y delimitados del tejido adyacente, la superficie de corte tiende a protruir y en algunos casos se observan áreas de hemorragia o quistes (4,13,15).
En cuanto a las características histológicas las células neoplásicas semejan las células de Leydig normales siendo de forma redondeada o poliédrica, con citoplasma prominente y de tonalidad eosinofilica que varía de granular fino a vacuolado, el núcleo es pequeño, basofilico y las figuras mitóticas son infrecuentes o raras. Las células tumorales se pueden ubicar en nidos sólidos o en un patrón acinar irregular rodeado por estroma fino de tejido conectivo y vasos sanguíneos, en algunos casos se pueden observar estructuras quísticas limitadas por células tumorales (4, 8,13).
La gran mayoría de TCL o intersticiales son de comportamiento benigno aunque se han descrito formas malignas (carcinomas de células intersticiales) que se caracterizan por estar compuestos por células irregulares que tienen frecuentes figuras mitóticas y la invasión vascular es común (4, 8,13).
Seminoma. Se origina en las células germinales o epitelio espermático del testículo, es el único de este tipo que se ha reportado en animales domésticos, son comunes en el canino pero también se han descrito en sementales equinos, bovinos, ovinos y felinos, al igual que los anteriores tumores se consideran como factores predisponentes la edad y el criptorquidismo (1,9,16). En este caso, la raza Bóxer parece tener alguna predisposición (9).
Los seminomas pueden ser uni o bilaterales, solitarios o múltiples, son mas comunes en el testículo derecho que en el izquierdo, son de tamaño variado pero los grandes causan distorsión en la morfología del testículo, en cuanto a la consistencia pueden ser blandos o firmes, la superficie de corte es blanca o grisácea y es frecuente la presencia de áreas de necrosis o hemorragia (4, 8,14).
De acuerdo con la apariencia histológica los seminomas se clasifican en intratubulares y difusos. Los primeros consisten en agregados de células germinales muy grandes, poliédricas, con bordes irregulares con núcleo vesiculado, figuras mitóticas frecuentes, prominente nucleolo y escaso citoplasma ligeramente basofilico (4,8). Estas células llenan el lumen de los tubúlos seminíferos afectados remplazando el límite normal entre células de sertoli y espermáticas. En la forma difusa las células tumorales no se encuentran confinadas a los tubúlos seminíferos si no que se encuentran distribuidas en nidos en el estroma testicular. Para los dos casos es frecuente la presencia de agregados focales de linfocitos (4, 8,13).
En cuanto al comportamiento, la incidencia de seminomas malignos es baja, los crecimientos metastásicos hacia ganglios linfáticos regionales y órganos internos se ha documentado en equinos y caninos (15,16). La distinción entre comportamiento benigno y maligno de este tumor con base en el foco primario no es fácil dadas las características de las células tumorales (17,18).
Diagnostico de los tumores testiculares. Los propietarios de las mascotas por lo general las llevan a consulta por que observan alteraciones de conducta relacionadas con la atracción por animales del mismo sexo, por alopecia o por que han notado que su animal a pesar de ser adulto no tiene ambos testículos en la bolsa escrotal o porque uno de ellos tiene un tamaño anormal. Para el diagnóstico de este tipo de alteraciones es necesario efectuar una inspección física a fondo del área genital, teniendo especial cuidado en la ubicación de los testículos dentro del escroto, su tamaño, consistencia y movilidad.
En el caso de que el animal presente criptorquidia uni o bilateral se debe hacer una inspección por palpación del abdomen para intentar localizar el o los testículos que por lo general, se encontrarán de gran tamaño dando la apariencia de una masa de consistencia y forma variable. Cuando se detecta la masa escrotal o abdominal es de gran ayuda la utilización de pruebas radiográficas o ultrasonográficas que orienta hacia la ecogenisidad o no de la misma y la posible invasión hacia estructuras adyacentes. Pruebas mas específicas para el diagnóstico incluyen la evaluación citológica de la masa por aspirado de aguja fina, para esto se utilizan tinciones de Wrigth o Giemsa que dan un adecuado detalle celular y permiten hacer una aproximación diagnóstica (19). Pero la evaluación histológica de la masa sea por biopsia o a partir de la extracción total de la masa es lo que permite emitir un diagnóstico final sobre la clasificación de la neoplasia en cuanto a tipo células y comportamiento.
Tratamiento de los tumores testiculares. Una vez se ha realizado el diagnóstico de neoplasia testicular en un paciente canino lo aconsejable es la realización de orquiectomia uni o bilateral, dependiendo de que tan comprometido esté el testículo contra-lateral, que en la mayoría de los casos se encuentra atrofiado. Una alternativa viable es la realización de una prueba de fertilidad para determinar la viabilidad espermática cuando los animales son de alto valor genético. Para el caso de individuos con criptorquidia uni lateral o bilateral es necesaria practicar orquiectomia total ya que este es un defecto genético en donde el responsable es un gen recesivo que se puede trasmitir a la descendencia en donde los individuos heterocigóticos serán portadores de la anomalía y los homocigóticos recesivos la manifiestan. Otra alternativa de tratamiento es la quimioterapia en donde la aplicación frecuente de cisplatino o combinaciones de vinblastina, ciclofosfamida y metrotexato (20) puede dar resultados positivos en la regresión de las células tumorales hasta en un 50% del tamaño inicial, pero los altos costos y lo prolongado del tratamiento, hacen en muchos casos, inviable esta alternativa, de la misma forma el pronóstico de vida del paciente está relacionado directamente con la presencia o no de crecimientos metastásicos.
HISTORIA CLÍNICA
A la Clínica Veterinaria de la Universidad Pedagógica y Tecnológica de Colombia con sede en Tunja, ingresó por consulta externa un canino Cocker Spaniel macho de 4 años de edad. El motivo de la consulta fue la caída del pelo en varios sitios del cuerpo.
Al paciente se le realizó un examen clínico general en donde los hallazgos relevantes fueron:buena condición corporal, signos vitales dentro de los parámetros normales para la especie, alopecia bilateral simétrica en la región lumbosacra, tórax y abdomen ventral, prepucio edematoso y pendular, tendencia a la ginecomastia de las ultimas glándulas mamarias (Figura 1).

Figura 1. Se observa el prepucio edematoso y ginecomastia de glándulas mamarias caudales.
A la inspección de la zona escrotal se encontró un solo testículo de tamaño muy pequeño para le edad y la raza, se hace inspección por palpación de la región abdominal y se detecta una masa de forma redondeada de gran tamaño y de consistencia semidura y bastante móvil en la región media abdominal (Figura 2). Se determina que el animal es criptorquido unilateral con atrofia del testículo que se encuentra alojado en el escroto y que la masa abdominal es compatible con un crecimiento tumoral del testículo retenido. Se descarta la alopecia de tipo parasitario o micótico ya que pruebas realizadas para los mismos dieron resultados negativos.

Figura 2. Palpación de la región abdominal con detencción de una masa de gran tamaño y de fácil desplazamiento.
Una vez evaluado el caso, el paciente se programó para cirugía con el propósito de extraer masa abdominal. Observada la masa se determina que efectivamente, corresponde a un testículo hipertrófico de aproximadamente 10 cm de diámetro retenido en la cavidad abdominal y altamente vascularizado (Figura 3), se procede a la extracción quirúrgica del mismo, se evalúan estructuras cercanas para determinar anormalidades, se observa un ligero incremento del tamaño de la próstata, se realiza aspirado de aguja fina de la misma para su evaluación, resultando una prostatitis supurativa. Se decide realizar orquiectomía del testículo que se encuentra en el escroto el cual se encuentra evidentemente atrófico (Figura 4). La cirugía termina satisfactoriamente, el paciente se deja en observación por 24 horas y se le da de alta con las recomendaciones del caso.

Figura 3. Masa extraída de región abdominal de gran tamaño y forma ovalada, envuelta en una cápsula de color blanco altamente vascularizada.

Figura 4. Se realiza incisión sagital de la masa, en donde se observa que está compuesta por un tejido
de consistencia semidura de color blanco amarillento circundado en la periferia por una capa gruesa de tejido conectivo.
El testículo retenido se remitió a patología en donde se evaluó macroscópicamente y se concluyó que era una masa neoplásica que por sus características correspondió a un testículo de gran tamaño, que al corte se observó un parénquima de color blanco amarillento rodeado por una cápsula que concordó con la túnica albugínea (Figura 5).

Figura 5. A la izquierda se observa el testículo atrófico extraído del escroto y a la derecha la masa
abdominal que corresponde al testículo retenido de gran tamaño.
Se realizaron algunos cortes del tejido y se fijaron en formalina al 10% bufferada para posterior procesamiento mediante la técnica de rutina con coloración de hematoxilina-eosina. Las muestras procesadas se evalúaron al microscopio óptico en diferentes aumentos siendo los hallazgos relevantes: pérdida de la arquitectura normal del testículo en donde sobresalieron formaciones tipo nidos o islas compuestas por abundantes células que en su gran mayoría fueron de tonalidad eosinofílica. Dichas estructuras se encontraron rodeadas por estroma de tejido conectivo que en algunos casos demarcadas por la formación de bandas gruesas y en otros bandas delgadas (Figura 6).

Figura 6. Corte histológico de testículo retenido en donde es evidente la pérdida de la arquitectura ya que los túbulos
seminíferos han sido remplazados por islas de diferente tamaño (
) separadas por bandas de tejido conectivo (
) y
compuestas por células de tonalidad eosinofilica (10X H-E).
Al evaluar en detalle las formaciones en islas se determinó que estaban compuestas por células poliédricas, de tamaño variado con citoplasma eosinofílico ligeramente vacuolado y núcleo prominente vesiculado. La forma varió de ovalado a redondeado y dejaron ver frecuentemente acúmulos de cromatina (Figura 7).

Figura 7. Se observa que las formaciones en islas están compuestas por células de tonalidad eosinofilica de forma irregular,
en algunos casos con vacuolas citoplasmáticas (
) y núcleo vesiculado (
) de tamaño y forma variada.
Se observan algunas células necroticas (
) (40X H-E).
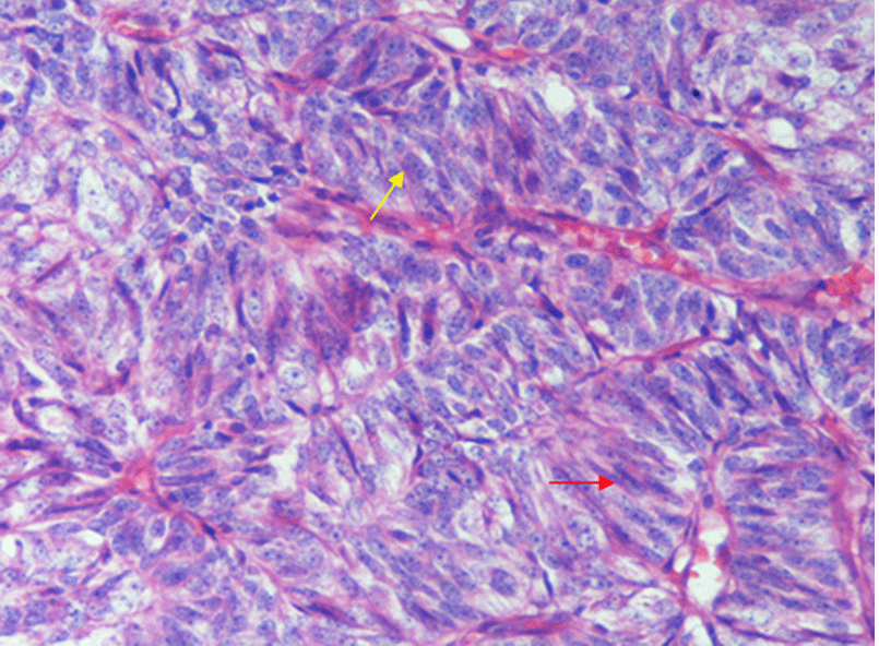
En general las células se ubicaron en diferente orientación al tejido conectivo que hace las veces de membrana basal. Un pequeño foco las células que hacian parte de las estructuras en isla con forma alargada o fusiforme con núcleo de las mismas características un poco mas hipercromático lo cual pudo ser indicativo de mayor actividad celular (Figura 8).

Figura 8. En algunos focos del crecimiento tumoral se observa que las células toman una forma mas fusiforme (
)
con núcleos mas hipercromáticos (
) y ausencia de vacuolas, que puede se indicativo de mayor actividad celular. (40X H-E).
La evaluación anatomopatológica macro y microscópica permitió concluir que el caso correspondió a una neoplasia de testículo la cual por sus características histológicas se describe como un tumor de células de Sertoli de tipo difuso.
DISCUSIÓN
Tres meses después, el paciente se encontró en buen estado de salud y las alteraciones de la cubierta pilosa revirtieron, lo cual sugiere que los niveles de estrógeno circulante habian descendido notablemente.
Como lo reporta la literatura los tumores testiculares se presentan con mayor frecuencia en los caninos comparados con otros animales domésticos, siendo el tumor de células de Sertoli el más común dentro de estos (1-3). En este caso el crecimiento neoplásico se presentó en un canino Cocker Spaniel de cuatro años, lo cual según la literatura no es tan frecuente para la edad ya que la mayoría de casos se describen en animales mayores de 8 años y otras razas son las que se consideran de alta predisposición (7). Como lo reporta la literatura, la retención del testículo en la cavidad abdominal genera alta predisposición para que éstos desarrollen crecimientos tumorales de diverso origen celular, que para este caso se acompañó de un síndrome feminizante, debido, muy probablemente, a los altos niveles de estrógeno e inhibina que ejercen un estímulo negativo sobre la liberación de FSH y LH desde la hipófisis, lo cuál repercute en los signos ya descritos y en la atrofia del testículo contra lateral (5,7,12) En este caso, se consideró realizar orquiectomía del testículo que se encontraba alojado en el escroto ya que diversos autores afirman que la orquiectomia uni o bilateral es un defecto genético de carácter recesivo, que se hereda a las generaciones de posibles padres con el defecto manifiesto, como es este caso. A pesar que la extracción del que presenta masa tumoral puede afectar de forma positiva el contra lateral, por el cese de la influencia negativa que ejercen los estrógenos e inhiba liberadas desde las células neoplásicas.
REFERENCIAS
1 Peters MAJ, Teerds KJ, Van der Gaag I, Rooij DG, Sluijs FJ. Use of antibodies against LH receptor, 3B-hydroxysteroid dehidrogenase nd vimentin to characterize different types of testicular tumour in dog. J Repro Fert 2001; (121): 287-291. [ Links ]
2 Ortega-Pacheco A, Avalos-Borges EA. Hiperestrogenismo, alopecia y metaplasia escamosa de próstata asociados a un tumor de células de Sertoli en un perro. Rev Biomed 2000; (11):33-38. [ Links ]
3 Patnaik AK, Mostofi FK. A clinicopathologic histologic, and inmunohistochemical study of mixed germ cell-stromal tumors of the testis in 16 dogs. Vet Pathol 1993; (30): 287-295. [ Links ]
4 Meuten DJ. Tumors in domestic animals. 4th edition. Iowa state press; 2002. [ Links ]
5 Masserdotti C. Tumori testicolari del cane: diagnostica citológica e correlazioni istopatologiche. Veterinaria Anno 2000; 14: 57-63. [ Links ]
6 McEntee K. Scrotum, spermatic cordon, and testis: proliferativa lesions. In Reproductive pathology of domestic mammalas. 1 edition. Academic state press; 1990. [ Links ]
7 Felman EC, Nelson RW. Endocrinología y reproducción en perros y gatos. 2a ed. Editorial McGraw-Hill Interamericana; 2000. [ Links ]
8 Jubb KVF, Kennedy PC, Palmer N. Pathology of domestic animals. 4th ed. Academic press 1993; 479-502. [ Links ]
9 Peters MAJ, Jong FH, Teerds KJ, Rooij DG. Ageing, testicular tumours and the pituitary-testis axis in dogs. J Endocrinol 2000; (166): 153-161. [ Links ]
10 Peters MAJ, Rooij DG, Teerds Kj, Sluijs FJ. Spermatogenesis and testicular tumors in the ageing dogs. J Repro Fertil 2000; (120): 443-452. [ Links ]
11 Grootenhuis AJ, Steenbergen IA, Tillerman MA, Bevers MM. Inhibin, gonadotrophins and sex steroids in dogb with Sertoli cell tumors. J endocrinol 1990; (121): 235-242. [ Links ]
12 Mueller A, Hermo L, Robaire M. The effects of aging on the expression of glutathione S-transferases in the testis and epididymis of the Brown Norway rat. J Androl 1998; 19: 450-465. [ Links ]
13 Moulton JE. Tumors of domestic animals. 3th ed. California press; 1990. [ Links ]
14 Weller RE, Dagle Ge, Buschbom RL, Park JF. Examination of testicular tumours in the beagle dog exposed inhaled plutonium. Inter J Radiat Biol 1995; (68): 63-70. [ Links ]
15 Wakui S, Fursato M, Yokoo K, Ushigome S. Testicular efferent ductile cysts of a dog. Vet Pathol 1997; (34): 230-232. [ Links ]
16 Schumaker J, Lenz SD, Walker W. Cystic rete testis associated with cryptorchidism in horses. Vet Pathol 1994; (31): 115-117. [ Links ]
17 Doxsee AL, Yager JA, Best SJ, Foster RA: Extratesticular interstitial and Sertoli tumors in previously neutered dogs and cars: a report of 17 cases. Can Vet J 2006; (47): 763-766. [ Links ]
18 Bazzo R, Sarli G, Mandrioli L, Marcato PS. Sertoli cell tumour with call-esner-like bodies in a dog. J Vet Med A Physiol Pathol Clin Med 2002; (49): 535-537. [ Links ]
19 Verma K. Value of fine needle aspiration cytology in the diagnosis of testicular neoplasms. Acta Cytol 1989; (33):631-634. [ Links ]
20 Birchard S, Sherding R. Manual clinico de pequeñas especies. 2 edición. McGraw-Hill Interamericana 1996: 1043-1045. [ Links ]













