Services on Demand
Journal
Article
Indicators
-
Cited by SciELO -
Access statistics
Related links
-
Cited by Google -
Similars in
SciELO -
Similars in Google
Share
Revista MVZ Córdoba
Print version ISSN 0122-0268
Rev.MVZ Cordoba vol.21 no.1 Córdoba Jan./Apr. 2016
ORIGINAL
Relationship between gene polymorphism and milk production traits in Teleorman Black Head sheep breed
Relación entre el polimorfismo de genes y rasgos de producción de leche en la ovejas Teleorman cabeza negra
Gras MA,* Ph.D, Pistol GC, Ph.D, Pelmus RS, Ph.D, Lazar C, Ph.D, Grosu H, Ph.D, Ghita E, Ph.D.
1National Research-Development Institute for Biology and Nutrition, Animal Biology Laboratory, Calea Bucuresti No.1, Balotesti, Ilfov, 077015, Romania, Tel. number:0040726585870 Fax number: 0040213512080.
*Correspondence: mihai.gras@ibna.ro
Received: November 2014; Accepted: May 2015.
ABSTRACT
Objective. This study is a preliminary step of a larger national program aimed to develop a strategy for “in situ” preservation of Teleorman Black Head sheep population. In this paper we estimated the effect of β-lactoglobulin, casein and prolactin on some quantitative and qualitative milk traits in this local sheep population. Material and methods. Genotyping methodology included PCR for CSN3 (A and B alleles) and PCR-RFLP for LGB (A and B alleles) and PRL (T and C alleles), respectively. Repeated milking and milk composition analysis were used for the polymorphism effect estimation. Results. No association between CSN3 polymorphism and milk traits was found. Effect of LGB on production traits was quite constant. Genotype AA performed better than AA. PRL marker effect showed small differences than LGB. Concerning milk, fat and protein yield, AA genotype for PRL had a smaller positive impact than AA genotype for LGB. Regarding fat and protein content, PRL showed a negative effect for AA and positive for AA genotype, respectively. Conclusions. Positive association between LGB and milk yield and composition recommend this candidate gene like marker for a future MAS program. Although PRL gene is also associated with an increased milk quantity, inverse response over milk composition must be considered in MAS strategy. Our study demonstrated that both LGB and PRL markers could became an advent of MAS utilization in Romanian dairy sheep breeding industry.
Key words: Biodiversity, gene, molecular markers, preservation, sequences (Source: AGROVOC).
RESUMEN
Objetivo. Este estudio es un paso preliminar de un programa nacional más amplio destinado a desarrollar una estrategia para la conservación “in situ” de la población de ovejas Cabeza Negra de Teleorman. En este trabajo se estimó el efecto de la β-lactoglobulina, caseína y prolactina en algunos rasgos cuantitativos y cualitativos de la leche en esta población de ovejas locales. Material y métodos. Metodología de PCR para genotipificación incluido CSN3 (A y B alelos) y PCR-RFLP para LGB (A y B alelos) y PRL (T y C alelos). Análisis y composición de la leche de ordeños repetidos se utilizaron para estimación el efecto del polimorfismo. Resultados. No se encontró asociación entre el polimorfismo y la leche rasgos CSN3. Efecto de LGB en los rasgos de producción era bastante constante. Genotipo AA obtenido mejores resultados que AA. Efecto marcador PRL mostró pequeñas diferencias que LGB. En cuanto a la leche grasa y proteína el genotipo AA para PRL tuvo un impacto positivo más pequeño que el genotipo AA para LGB. En cuanto a contenido de grasa y proteína, PRL mostró un efecto negativo para AA y positivo para AA genotipo. Conclusiones. La asociación positiva entre LGB y la producción de leche y la composición recomienda este gen candidato como marcador para un futuro programa de MAS. Aunque gen PRL también se asocia con un incremento en la cantidad de leche, la respuesta inversa sobre composición de la leche debe ser considerado en la estrategia de MAS. Nuestro estudio demostró que los marcadores tanto LGB y PRL podrían venir a ser utilizados en MAS en la industria rumanade cría de ovejas lecheras.
Palabras clave: Biodiversidad, genes, marcadores moleculares, preservación, secuencias (Fuente: AGROVOC).
INTRODUCTION
In Romania, sheep are managed in transhumance pastoralist system, using land resources otherwise useless for food production. Local sheep populations are well adapted to the harsh conditions in which they are grazed while still meeting the needs of their keepers. They can walk long distances while grazing, are resistant to diseases and parasites, survive through periods of feeding scarcity and other environmental stressors and have good prolificacy Carta et al (1). These adaptive traits and non-income ecosystem benefits, generally unappreciated, are major reasons to conserve this genetic resource is important. Teleorman Black Head is a dual purpose (milk and meat) local breed with male lambs commercialized for meat in spring, immediately after weaning and the milk used for cheese making. The breed is enlisted in the Domestic Animal Diversity Information System from FAO (http://dad.fao.org/). Selection in these sheep was performed mostly empirical and exclusively on own performance records, without a centralized selection goal. For this reason milk traits have large variability, with milk yield ranging between 160-210 liters, and fat percentage between 6.56-7.16% Pelmus et al (2).
“In situ” conservation, i.e. conservation of breed and the production system in which breed has evolved, is the overall objective of the project. Genetic improvement of milk production is needed if this population is to remain economically viable and, therefore, a critical step toward “in situ” preservation of the breed. Genetic improvement of milk production is needed to keep this breed economically viable. Small farms, absence of animal identification, pedigree structure and recording system, use of multiple rams and low heritability sex linked trait make implementation of a traditional breeding program impossible, but the implementation of MAS program should be feasible (3). Toward this objective, this preliminary study aimed to investigate the polymorphism of three genes known to be associated with milk yield and cheese production in several TBH sheep populations. Within the cheese industry, a special interest has been placed on the practical applications of the genetic markers in breed development programs and preservation strategies (4). For this purpose, substantial attention was attributed to the genetic structure of native sheep populations and the possible relationship between the genetic variants of milk protein genes and milk related traits (5).
Β-lactoglobulin (LGB) is the major whey protein found in the milk of a number of species, accounting for approximate 75% of the albumin fraction encoded by LGB gene. This gene is highly and specifically expressed in bovine mammary gland during lactation. One of the most extensively studied milk protein polymorphisms is the substitution of the amino acid Tyr20 with His in the LGB polypeptide (6) resulting in a saI restriction fragment length polymorphism which permits the genotyping of animals with a PCR-RFLP method (7).
Caseins (CSN) are a family of milk proteins that exist in several molecular forms (αs1-, αs2-, β-, k-casein) and are the main proteins present in milk (e.g. 80% in cow milk). Among these isoforms, kappa-casein (CSN3) was demonstrated to have an important role in improving milk yield in cattle. Genetic variability in the CSN3locushas been reported for several breeds, with allelic frequencies incorporated into studies on genetic diversity among breeds (8).
The lactogenic hormone prolactin (PRL), protein encoded by PRL gene plays an important role in milk production (9). It was demonstrated that PRL depletion in sheep was associated with reduction of milk secretion (8), suggesting that this hormone is a functional candidate gene for estimating of variations in milk yield. The PRL gene is located in ovine chromosome 20, in a region where putative QTL for milk, fat, and protein yield (4) and for fat percentage have been identified (10). Also, PRL gene was proposed to be used as a positional molecular marker associated with milk production and milk composition traits (9).
Starting from these data, the aim of our study was to evaluate the relationship between LGB, CSN and PRL gene polymorphism and the milk production traits in TBH breed using PCR-RFLP technique and general linear models.
MATERIALS AND METHODS
Animals and production traits. A total of 81 randomly selected ewes belonging to TBH breed from National Research Development Institute for Animal Biology and Nutrition (IBNA) flock were used for this study. Milk samples were obtained from each sheep at repeated intervals (14 days) between February - September 2011 and milk yield, fat and protein content were measured. Protein and fat content was quantified using Ecomilk analyzer. Blood samples were collected into a heparinized tube from the jugular vein of each sheep for DNA analysis.
Ethical aspects. Blood and milk samples were collected with veterinary assistance, and cared for procedure for sample collection, handle and preservation techniques, in accordance with the Romanian Law 206/2004 for handling and protection of animals used for experimental purposes. The study protocol was approved by the Ethical Committee of the National Research-Development Institute for Biology and Animal Nutrition, Balotesti, Romania.
Genomic DNA extraction. Genomic DNA was extracted from whole blood using a commercial kit (Wizard® Genomic DNA Purification Kit, Promega Corp., USA), according to manufacturer's recommendations.
PCR conditions. PCR was carried out in a total volume of 20 µl, containing 25-75 ng genomic DNA, 200 µM dNTPs (Promega Corp., USA), 0.3 µM each primerand 1.25 units DNA polymerase (GoTaq Polymerase, Promega Corp., USA). PCR amplification was performed ina Corbett Research thermal cycler (Palm - Cycler, CG1-96 model). Thermal profile for LGB and CSN3 genes amplification consisted from an initial denaturation step at 95°C for 10 minutes, followed by 35 amplification cycles of 30 seconds denaturation (at 95°C), annealing for 30 seconds (at 60°C for BLG and at 56°C for CSN3 genes), extension for 30 seconds at 70°C and one step of final extension at 70°C for 10 minutes.
The amplified 120 bp long PCR product of LGB gene was digested with RsaI restriction endonuclease (Promega Corp., USA), at 5U/20µl concentration, for 3 hours at 37°C and separated on ethidium bromide-stained 2% agarose gel in TAE buffer.
Genotyping of the identified SNP located on CSN3 gene was performed using a set of primers combining one forward (CSN3-TC) and two reverse (CSN3-T and CSN3-C) primers, as shown in table 1.
Table 1. Nucleotide sequences of primers used for PCR-RFLP.
Amplification protocol involved two reactions per sample containing SNP-TC/SNP-T and SNP-TC/SNP-C primer pairs respectively, as described by Feligini cited by Giambra and Erhardt (5). This protocol allowed the two different PCR products (85 bp for T allele and 97 bp for C allele) to be distinguished on 3% (w/v) agarose gel stained with ethidium bromide.
For PRL gene, amplification was carried out using the protocol described by Staiger et al (8). A 2.5-kbp fragment spanning intron 2 of the ovine PRL gene amplified was subsequently digested with HaeIII restriction enzyme (Promega Corp., USA). Products of digestion were visualized on a 3% agarose gelstained with ethidium bromide.
Statistical analysis. Hardy-Weinberg equilibrium was tested, for each gene, based on Feligini methodology, cited by Giambra (5).
Genotype effects are estimated at the QTL positions using Multiple Regression Least Square Method (11). The general model will be defined as:
[1]
Where
is the trait value of sheep j in herd i, µ is overall mean,
is fixed effect of herd i,
is the effect of molecular marker j and
is residual of the model. In matrix notation, model will became:
[2]
y is the phenotypic values vector, b is a vector of various fixed effects (like sex, farm, breed etc.), u is a vector of marker effects (also fixed), X and M being incidence matrices for vectors b and u. Marker effect was evaluated with the matrix model one previously described:
[3]
Where
is the variance ratio of the error and genetic effect in the model and I is an identity matrix. We assume that just only half of genetic additive variance was captured by markers, then:
[4]
is genetic additive variance and L representing number of markers. In this case,
term became
where studied trait heritability is
.
For marker codification we use 101 allele coding system, described by Strandén and Christensen (12). Value -1 was assigned to the homozygous genotype for the more frequent allele, 0 for the heterozygous genotype and 1 for less frequent allele. This codification describes a centered coding system with maximum mixing properties in the model. In comparison, we use a different codification for marker effect estimation (0 for allele absence, 1 and 2 respectively for allele number at each locus). A comparison between estimations was performed. Statistical analysis and marker effect estimation was performed in R.
For marker effect estimation we use production traits heritability described by Ugarte cited by Pelmus (12): 0.19 for milk yield, 0.17 for fat yield, and 0.17 for fat content, 0.18 for protein yield and 0.47 for protein content.
RESULTS
In marker analysis the next steps were followed: gene polymorphism detection, estimation of the genotypic and allelic frequencies and evaluation of the genetic effect of analyzed markers.
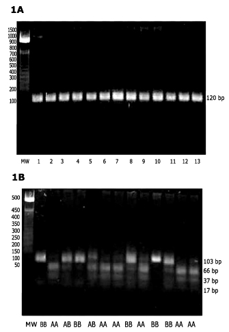
LGB, CSN3 and PRL polymorphism detection. LGB: PCR amplification of ovine genomic DNA resulted in a 120 bp fragment of the LGB gene including exon 2 (Figure 1A).
Figure 1. PCR amplification (1A) and RsaI digestion (1B) of the ovine LGB gene. PCR products of LGB gene were visualized on 2% (w/v) agarose gel. Lane1: DNA ladder; lanes 2-14: ovine samples. RsaI RFPL products were identified on a 2% (w/v) agarose gel. Lane1: DNA ladder; lanes 2, 5, 9, 11 and 12: BB genotype, lanes 3, 7, 8, 10, 13 and 14: AA genotype; lanes 4 and 6: AB genotype.
Restriction fragment was identified after digestion with RsaI endonuclease; in particular two restriction sites (GT/AC) for allele A and only one restriction site for allele B were detected. Allele discrimination was based on size differentiation (bp) of LGB; the three different genotypes, AA (66, 37 and 17 bp), AB (103, 66, 37 and 17 bp) and AA (103 and 17 bp) were detected for Teleorman Black Head sheep (Figure 1B).
CSN3: Genotyping of the CSN3 gene was performed using the protocol described by Giambra and Erhardt (5). In our experiments two different PCR products with different length, 85 bp for T allele and 97 bp for C allele were identified (Figure 2).
Figure 2. CNS3 PCR pattern for Teleorman Black Head sheep. 2% agarose gel electrophoresis was used for visualization of C and T alleles of ovine CSN3 gene. Lane 1: DNA ladder. Lanes 2-14: C and T alleles, respectively.
PRL: A 2.5 kbp fragment from PRL gene was amplified successfully (Figure 3A).
Figure 3. PCR amplification (3A) and HaeIII RFLP (3B) of the ovine PRL gene. PCR products of PRL gene were visualized on 2% (w/v) agarose gel. Lane1: DNA ladder; lanes 2-8: ovine samples. HaeIII RFLP products of PRL gene were identified on a 3% (w/v) agarose gel. Lane1: DNA ladder; lanes 2, 4, 6, 9: BB genotype; lanes 3 and 5: AA genotype; lanes 7 and 8: AB genotype.
Digestion with restriction enzyme HaeIII differentiated alleles A and B. Allele A contained 3 restriction sites for HaeIII and resulted in 4 fragments of 1400, 530, 360, and 150 bp, whereas the presence of an additional restriction site in the B allele resulted in 5 fragments of 1400, 510, 360, 150, and 20 bp (Figure 3B).
Approx.30% from genotyped animals show additional restriction sites that create a newer fragment of 700bp long.
Genotypic and allelicfrequencies for LGB, CSN3 and PRL genes. For LGB gene a proportion of 49% of genotype AA, 37% of AB and 14% of AA were found. The allelic frequency for LGB gene was 68% for A allele and 32% for B allele.
Hardy-Weinberg equilibrium test returned the following observed and expected genotypes in our study (Table 2).
Table 2. Observed and expected genotypes for LGB gene.

For LGB gene, the TBH sheep population is in Hardy-Weinberg equilibrium that means their genotype was not affected by selection pressure for or against it. This aspect offer enough space for further implementation of selection program based on homozygosis on LGB gene.
The genotypes for CSN3 gene showed a single CT heterozygote genotype, without homozygote individuals. In our study, allelic frequency for casein gene was 50% for C allele and 50% for T allele. Comparison between observed and expected genotypes for Hardy-Weinberg equilibrium test is showed in table 3.
Table 3. Observed and expected genotypes for CSN3 gene.
TBH sheep population is not in Hardy-Weinberg equilibrium for CSN3 gene, due to absence of homozygote genotypes.
The allelic frequencies for the genotypes of PRL gene where 39% for AA genotype, 28% for AB and 33% for AA. Allele A has 53% presence, meanwhile B allele just 47%.
Observed and expected genotypes for PRL genotype (Table 4) show a lack of Hardy-Weinberg equilibrium. Hardy-Weinberg disequilibrium for PRL gene pointed some empirical selection in behalf of AA genotype and weighing against AB and AA genotypes.
Table 4. Observed and expected genotypes for PRL gene. 
Genetic effect on milk production traits. Milk, fat and protein yield perform measured in this studied population (throughout 144 lactation days) at first lactation was lower than breed average (60.71±31.75 kg milk, 4.84±2.61 kg fat and 3.42±1.8 kg protein), but fat and protein content (7.97±1.13% fat and 5.61±0.27% protein) were on the breed level. This diminished production was correlated with a prolonged dry period.
In order to estimate the effect of LGB, CSN3 and PRL alleles on milk production traits, we used Multiple Regression Least Square Method for all QTLs.
Assuming a balanced effect of alleles, heterozygote effect is set to zero. In this case, CSN3 shows a null effect for all individuals. Effect of markers on homozygotic animals is described in table 5.
Table 5. Effect of LGB and PRL homozygotic genotypes over studied traits estimated using balanced marker codification.

Effect of LGB over production traits is quite constant. Genotype AA performs better then genotypes AA.
PRL marker effect showed small differences compared with LGB gene effect. Concerning milk, fat and protein yield AA genotype for PRL had a smaller (also positive) impact than the same genotype identified for LGB gene. Regarding fat and protein content, PRL showed a reversed effect, negative for AA genotype and positive for AA genotype, respectively.
Pearson chi-squared test applied to the results obtained using both encoding systems showed no difference between estimates.
In our study, we use a different codification for marker effect estimation (0 for allele absence, 1 and 2 respectively for allele number at each locus). Using the described codification, in the same model and with the same parameter input, marker effect estimation was slightly higher but with similar pattern (Table 6).
Table 6. Effect of LGB and PRL homozygotic genotypes over studied traits estimated using 0, 1 and 2 marker codification.

The estimated effect of LGB is slightly superior (with 1.65 kg difference for milk yield and 0.01% for protein content) but, as a general rule, is the similar (along the production traits) with the one estimated with 101 allele encoding system. The same rule is applying for PRL gene, but at a lower level, with difference of 0.86 kg for milk yield and 0.01 % for protein content.
The differences observed in the estimation of marker effect using “101” and “each allele” encoding systems demonstrated the importance of codification in the design and implementation of the general linear model. For breeding value estimation, based on products like marker effect vector and marker assignation matrix is very important to use the same allele codification for all theindividuals used in the evaluation program.
DISCUSSIONS
A possible association between the genetic variants of the LGB gene and milk-related traits was extensively studied by Mateescu and Thonney (4). On the other hand, Giambra and Erhardt (5) has demonstrated that a T→C nucleotide transversion in exon 2 of the LGB gene can be detected using RsaI RFLP; also, this substitution results in the replacement of Tyr20 with His in the β-lactoglobulin polypeptide (8). Until now, the results of genetic studies regarding the allelic variants are conflicting, indicating no relationship between this SNP and milk yield or association of either the A or B allele with milk production traits. For example, AA genotype tends to show greater milk production compared with AA and AB genotype on Massese and Sardinian breeds (8), while Ramos et al (13) found a different result for Serra da Estrela and Merino breeds, with greater milk production for AB and AA genotypes. Some studies pointed out superiority of the A allele. Staiger et al (8) associated AA genotype with greater milk yield for Valle del Belice and East Friesian breeds. Genotypic frequencies at the LGB RsaI locus calculated in the present study were different to the frequencies reported by Wessels et al (14) on East Friesian sheep, in which B allele was predominant. In 2010, Staiger et al (8) reported very similar allelic frequencies, 0.69 and 0.31 for the LGB RsaI polymorphism (alleles A and B) on East Friesian breed, in comparison with 0.68 and 0.32 frequencies obtained in our study.
Giambra (5) observed an excess of heterozygote genotypes of LGB in Pag sheep breeds. The H-W disequilibrium shows, in author's opinion, a value of AB genotype over AA and AA genotypes due to an empirical selection. The presence of H-W equilibrium for LGB gene in our studied population underlines the lack of selection pressure on animal genotypes. However, data regarding effect of BLG gene on milk quality and quantity parameters show a positive effect, similarly with the effect found by Staiger et al (8) at Valle del Belice and East Friesian breeds.
In our study, CSN3 polymorphism showed equal frequencies (0.5 for both C and T alleles) similar with the frequencies found by Staiger et al (8) in East Friesian breed (0.51 and 0.49, respectively). The present study did not find a significant effect of the CNS3 polymorphism on milk production. By contrast, Staiger et al (8) and Caravaca et al (15) reported a positive association between variants of CSN3 and milk traits in goats. On the other hand, any association between CSN3 locus and milk yield has not been reported in our study.
Despite the lack of CSN3 effect, the CSN3 genotyping need further investigation taking into account the number of individuals genotyped and DNA sequencing of C and T amplicons.
While the LGB and CSN3 were intensely studied for their association with milk production traits, the effect of PRL genotype was poorly investigated. Gene frequencies for PRL HaeIII locus reported by Ramos et al (13), in the Serra da Estrela and Merino breeds showed that A allele occurs more frequently than B allele. Staiger et al (8) found a different occurrence of B allele, more frequent than A. Serra da Estrela ewes (13) with AA genotype determine a lower milk yield compared with AB and AA genotypes. In our study, B allele of PRL gene is slightly outnumbered by A allele. Also H-W disequilibrium stimulates the genotypes containing A allele. Data obtained in our study are totally different by those obtained by Staiger et al (8) who reported that A allele has an increased frequency in East Friesian breed. This thing could point some empirical selection criteria that could leads to an excess in the use without knowledge of A allele in selection programs. Like LGB, A allele of the PRL gene have a positive effect on milk production quantitative traits. Similar results are reported by Staiger et al (8) and Ramos et al (14). Like LGB, A allele of the PRL gene had a positive effect on milk production quantitative traits similarly with the results reported by Staiger et al (8) and Ramos et al (13) for East Friesian breed. Same allele produced a decreased of qualitative milk traits (fat and protein content). Approx 30% of the genotyped animals presented additional restriction sites resulting in a new fragment. From this reason, other studies are necessary to assess the PRL polymorphism and amplification fragment sequencing.
This preliminary study highlights the opportunity and necessity of the “in situ” preservation program for Teleorman Black Head sheep population. Using molecular biology techniques and mathematical modeling, our study demonstrates a strong association between genetic polymorphism and milk traits. Also, the identified markers might be used in a MAS program, together with the traditional breeding program. The further program evolution will permit the use of both programs (MAS and traditional) using Single Step Genomic BLUP evaluation method. Also, it must be taken into account the coherence and unity of the preservation program, and the evaluation of marker and production should be performed using the same protocol strategies.
Future supplementary studies for the validation of these results using an increased number of animals and the designing of a mating program in order to generate breeding rams with optimal genotypes for the two genes with positive effect are needed. Also, future extension of data obtained for TBH population to other sheep breeds from Romania will be taken into account.
In conclusions, positive association between LGB and milk yield and composition, recommend this candidate gene, like marker for a future MAS program. Although PRL gene is also associated with an increased milk quantity, the PRL polymorphism investigated in our study could be taking into consideration in a MAS strategy. Teleorman Black Head sheep breed is the most important breed from the Southern Romania, exploiting very well poor nutritive forages from this part of the country; further studies are needed to extend the polymorphisms identified in present study to other sheep populations reared in Romania, both LGB and PRL markers could became an advent of MAS utilization in Romanian dairy sheep breeding industryin the future.
Acknowledgements
This work was financially supported from Projects PN 08938-01.01 and PN 0938-04.03, granted by the Romanian Ministry of Education.
REFERENCES
1. Carta A, Casu S, Salaris S. Invited review: Current state of genetic improvement in dairy sheep. J Dairy Sci 2009; 92(12):5814-5833. [ Links ]
2. Pelmus RS, Pistol GC, Lazar C, Gras MA, Ghita E. Estimation of genetic parameters for milk traits in Romanian local sheep breed. Rev MVZ Córdoba 2014, 19(1):4033-4040. [ Links ]
3. Marshal K, Quiros-Campos C, van der Werf JHJ, Kinghorn B. Marker-based selection within small holder production systems in developing countries. Livest Sci 2011; 136(1):45-54. [ Links ]
4. Mateescu RG, Thonney M. Genetic mapping of quantitative trait loci for milk production in sheep. Anim Genet 2010; 41(5):460-6. [ Links ]
5. Giambra IJ, Erhardt G. Molecular genetic characterization of ovine CSN1S2 variants C and D reveal further important variability within CSN1S2. Animal Genet 2012; 43(5):642-5. [ Links ]
6. Elyasi G, Shodja J, Nassiry MR, Tahmasebi A, Pirahary O, Javanmard A. Polymorphism of β-lactoglobulin gene in Iranian sheep breeds using PCR-RFLP. J Mol Genet 2010; 2(1):6-9. [ Links ]
7. Arora R, Bhatia S, Mishra BP, Sharma R, Pandey AK, Prakash B et al. Genetic polymorphism of the beta - lactoglobulin gene in native sheep from India. Biochem Genet 2010; 48(3-4):304-11. [ Links ]
8. Staiger EA, Thonney ML, Buchanan JW, Rogers ER, Oltenacu PA, Mateescu RG. Effect of prolactin, β-lactoglobulin, and k-casein genotype on milk yield in East Friesian sheep. J Dairy Sci 2010; 93(4):1736-1742. [ Links ]
9. Orford M, Tzamaloukas O, Papachristoforou C, Miltiadou D. A simplified PCR-based assay for the characterization of two prolactin variants that affect milk traits in sheep breeds. J Dairy Sci 2010; 93(12):5996-9. [ Links ]
10. Gutierrez-Gil B, El-Zarei MF, Alvarez L, Bayon Y, de la Fuente LF, San Primitivo F et al. Quantitative trait loci underlying milk production traits in sheep. Anim Genet 2009; 40(4):423-34. [ Links ]
11. Gao H, Christensen OF, Madsen P, Nielsen US, Zhang Y, Lund MS, Su G. Comparison on genomic predictions using three GBLUP methods and two single-step blending methods in the Nordic Holstein population. Genet Sel Evol 2012; 44(1):8. [ Links ]
12. Strandén I, Christensen OF. Allele coding in genomic evaluation. Genet Sel Evol 2011; 43:25. [ Links ]
13. Ramos AM, Matos CAP, Russo-Almeida PA, Bettencourt CMV, Matos J, Martins A, et al. Candidate genes for milk production traits in Portuguese dairy sheep. Small Rumin Res 2009; 82(2-3):117-121. [ Links ]
14. Wessels G, Hamann H, Erhardt G, Distl O. Genotype effects of milk protein polymorphisms on milk production in East Friesian dairy sheep. Berl Munch Tierarztl Wochenschr 2004; 117(9-10):414-9. [ Links ]
15. Caravaca F, Carrizosa J, Urrutia B, Baena F, Jordana J, Amills M et al. Short communication: Effect of alphaS1-casein (CSN1S1) and kappa-casein (CSN3) genotypes on milk composition in Murciano-Granadina goats. J Dairy Sci2009; 9(6):2960-4. [ Links ]












