Introducción
Los tumores de las trompas uterinas son raros pero histológicamente se reconocen los mismos subtipos que en ovario; los tumores adenomatoides hacen parte de los tumores benignos más frecuentes y por lo general su hallazgo es incidental (1, 2). La falta de claridad respecto a su origen, explica por qué ha recibido diferentes denominaciones como: linfangioma, adenomioma, reticuloendotelioma, tumor angiomatoide, adenofibroma, adenoma o mesotelioma, pero solo hasta el año de 1945 Golden y colaboradores propusieron el término de tumor adenomatoide, que actualmente es aceptado(3, 4). Con la aplicación de diferentes pruebas se ha comprobado su estirpe mesotelial (4).
Caso clínico
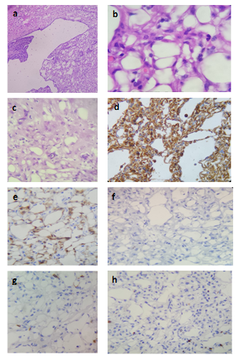
Una mujer de 27 años con paridad satisfecha, sin antecedentes médicos de relevancia y asintomática, es llevada a salpingectomía como método definitivo de planificación; se envían los fragmentos de las trompas para estudio histopatológico, al examen macroscópico la tuba uterina derecha que medía 7.8x 1cm de longitud, a 0.2 cm de la fimbria presenta una formación nodular al parecer dependiente de la serosa, al corte se trata de una masa redonda con dimensiones de 0,5X 0,5 cm, al corte es bien circunscrita, pero no encapsulada, blanquecina homogénea y elástica; en el análisis histopatológico se identifica tuba uterina con engrosamiento de la mucosa y la muscular a expensas de células ligeramente pleomorfas, aplanadas o cuboidales, de núcleos redondos con cromatina laxa y citoplasma eosinófilo que se disponen formando estructuras muy similares a vasos, algunas de esas luces son atravesadas por delgadas bandas eosinófilas, no se identifican zonas de necrosis y se cuenta 1 mitosis por 10 campos de alto poder; ante la sospecha de neoplasia de estirpe vascular se solicitan marcadores de inmunohistoquimica, expresando positividad para calretinina y vimentina, en cambio anticuerpos como CD34, actina de musculo liso y citoqueratina 5/6 no mostraron reactividad, el índice de proliferación celular (ki67) fue menor al 10%. (Ver figura 1)

Figura 1 a. Tuba uterina con proliferación de células que forman aparentes luces vasculares sobre la mucosa. b. Luces vasculares atravesadas por delgadas fibras eosinófilas. c. Áreas de degeneración hialina. d. Inmunorreactividad citoplasmática fuerte y difusa para vimentina. e. Reacción citoplasmática y nuclear moderada de calretinina. f. Ausencia de reactividad para CK5/6. g. Inmunorreacción CD34 solo en algunos elementos acompañantes. h. El índice de proliferación Ki67 es menor al 10%
DISCUSIÓN
Los tumores adenomatoides son neoplasias benignas, propias del tracto genital masculino o femenino(5) siendo más frecuentes en los primeros(3, 6), se han descrito ubicaciones extragenitales menos comunes como las glándulas adrenales, apéndice, corazón, hígado, saco herniario, mesenterio intestinal, ganglios linfáticos, mediastino, omento, páncreas, peritoneo y ombligo (7, 8).
El miometrio es el lugar en donde más frecuentemente han sido reportados y con un patrón infiltrativo, para el caso del tracto genital femenino, seguido por las trompas uterinas(5, 7). Macroscópicamente se trata de nódulos pequeños bien circunscritos, de color gris blanquecino, muy raramente bilaterales con un tamaño máximo de 2.7 cm (4, 5). Generalmente el tumor adenomatoide es asintomático, de hallazgo incidental, en donde la cirugía se realiza bajo otras indicaciones como: endometriosis, adenomiosis, leiomiomatoisis, hiperplasia endometrial, pólipos endocervicales, neoplasia cervical intraepitelial (NIC III), quiste de cuerpo lúteo y quiste paraovarico (9).
La histogénesis de los tumores adenomatoides ha sido controversial a través de los tiempos proponiéndose el origen endotelial, mesonefrico, mesotelial y mulleriano, no obstante en general se ha aceptado la estirpe mesotelial, mediante varios marcadores de inmunohistoquímica, estudio de microscopia electrónica e histoquímica (4, 8, 10), inclusive se ha demostrado continuidad de las células de revestimiento peritoneal y las células que tapizan las estructuras similares a canales o túbulos(11).
La patogénesis no es bien conocida, aunque se plantea disfunción en la señalización de las citoquinas entre las células endoteliales luego de estudios como el de Mizutani y colaboradores (2016) en donde encontraron que el trasplante renal, la inmunosupresión secundaria y el tiempo de diálisis son factores de riesgo para desarrollar estas neoplasias(12); por otro lado se ha comprobado una activación aberrante de la vía del factor nuclear kappa B (NF-kB) en tumores adenomatoides del tracto genital femenino y masculino, cuyo perfil genético es portador de mutaciones somáticas sin sentido en el gen TRAF7 que codifica una E3 ubiquitin ligasa perteneciente a la familia de factores asociados al receptor del factor de necrosis tumoral (TRAF). In vitro hay aumento de la fosforilación de NF-kB y mayor expresión de la molécula de adhesión celular L1 (L1CAM), que es un marcador de la activación de ésta vía; lo que concuerda con el perfil de inmunohistoquímica (13).
Histológicamente hay diferentes patrones como el adenoide, angiomatoide, quístico, glandular, sólido, oncocito, isquémico reactivo y tubular (7). Tanto en hombres como en mujeres se trata de neoplasias bien circunscritas más no encapsuladas, de aspecto glandular o acinar tapizados por células planas, cuboidales o muy raramente columnares, de citoplasma ligeramente eosinófilo, vacuolado, núcleos pequeños y nucléolos inconspicuo; la unión de proyecciones citoplasmáticas, que contienen material mitocondrial o tonofilamentos escasos, de células vecinas forman los patognomónicos filamentos que cruzan los espacios pseudotubulares y son típicos de estos tumores (en el 100%), dichos filamentos pueden ser tan delgados que se asimilan a los adipocitos, sobre los lúmenes que contienen material basófilo mucicarmin y PAS positivo son menos visibles dichos filamentos, el estroma subyacente es fibroso o denso, con algunos focos de hialinización (5), las mitosis son raras(4); otra característica descrita son los agregados linfoides que son frecuentes en los tumores del tracto genital masculino, diferente a los femeninos que se encuentran hasta en el 50% de los casos, una explicación razonable es la mayor exposición de los primeros a trauma (7) dada la variedad de patrones histológicos posibles del tumor adenomatoide, son amplios los diagnósticos diferenciales que deben considerarse, varios de ellos de naturaleza maligna, sin embargo se recomienda la evaluación cuidadosa de las características morfológicas y el uso de marcadores de inmunohistoquímica si la duda persiste (8). El inmunofenotipo de los tumores adenomatoides del tracto genital femenino es peculiar y varios de los marcadores confirman la histogénesis mesotelial; reacciona con anticuerpos como CKAE1/CAM5.2, D2-40 y calretinina en todos los casos, WT-1 reactivo en la mayoría (97%) y ocasionalmente es reactivo para caldesmon y CK5/6 (3% y 16% repectivamente) (7, 9); en cambio no reacciona con marcadores como ER, AR, CD31, CD34 y PAX8, el índice de proliferación ki67 menor o igual al 10% reafirma su benignidad(9).Otros marcadores expresados por estos tumores son vimentina, HBME-1 y OC125, los dos últimos son antígenos asociados al mesotelio (14). Confirmando la activación errada del NF-kB según la fenotipificación ya expuesta, los tumores adenomatoides expresan reactividad contra L1CAM diferente al mesotelio normal, mesoteliomas peritoneales malignos y los quistes peritoneales de inclusión multiloculares que no fueron reactivos (13).













