Introducción
La fístula colovesical (FCV) es una comunicación patológica entre la vejiga y el intestino grueso, causada principalmente por la enfermedad diverticular del colon sigmoides (80%) cuya probabilidad de desarrollar una FCV oscila entre el 1-4% de los casos 1; seguida del cáncer de colon (15%) y otras causas menos frecuentes como la enfermedad de Crohn (5%), complicaciones de radioterapia, cáncer vesical y lesiones iatrogénicas 1)(2.
La comunicación patológica entre la vejiga y el intestino grueso genera el paso del contenido intestinal hacia la vejiga y viceversa, por lo que se presentan múltiples manifestaciones clínicas como la neumaturia (71% - 90%) y fecaluria (51% - 76%), considerados signos patognomónicos de esta patología 3. La presencia de materia fecal en la vía urinaria propicia el medio para la aparición de infecciones de vías urinarias recurrentes, por lo que es frecuente la presencia de síntomas urinarios irritativos en estos pacientes (66%). Además, se pueden presentar otras manifestaciones como dolor abdominal (71%), hematuria (30%) y peritonitis localizada (14%) 2. Las manifestaciones clínicas de esta entidad varían de un paciente a otro, llegando a ser tan severas como una urosepsis, frecuente en adultos mayores 3.
El diagnóstico de la FCV generalmente se realiza por la clínica del paciente, pero es importante la verificación por medio de exámenes imagenológicos para confirmar, localizar la zona en donde se encuentra la fístula y descartar la presencia de otras posibles complicaciones 4. Existen múltiples estudios de imágenes que permiten identificar las FCV, entre ellos, el estándar de oro es la Tomografía computarizada (TC) con doble contraste, puesto que posee una alta sensibilidad (>90%) para identificar la lesión y permite visualizar las estructuras adyacentes 4)(5. El tratamiento de las FCV es principalmente quirúrgico, generalmente por medio de laparotomía se realiza corrección de la fístula y resección del segmento intestinal comprometido 5.
El objetivo de este reporte de caso es presentar la clínica y evolución atípica de una fístula colovesical secundaria a diverticulitis complicada grado IIb, manejada mediante técnica laparoscópica, sin resección del segmento intestinal afectado.
Caso clínico
Paciente masculino de 69 años de edad, con antecedentes de Enfermedad diverticular, hipertensión arterial (HTA) e hiperplasia prostática benigna (HPB). Ingresó al servicio de urgencias por clínica de una semana, caracterizada por dolor en el hipogastrio asociado con disuria, polaquiuria, tenesmo vesical y fiebre no cuantificada. En el examen físico de ingreso se encuentra globo vesical a pesar de micción positiva, paraclínicos de ingreso con función renal alterada, albuminuria, hematuria, bacteriuria y urocultivo positivo para Escherichia coli (EC) multisensible e impresión diagnóstica inicial de infección de vías urinarias complicada, por lo que realizaron cateterismo vesical e iniciaron antibioticoterapia.
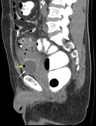
Durante manejo intrahospitalario presentó un episodio de fecaluria y neumaturia, sugestivas de FCV, se realizó cistoscopia transuretral en dónde no se evidencian trayectos fistulosos. Ante la ausencia de etiología, realizaron Tomografía Computarizada (TC) abdominopélvica con doble contraste, con hallazgos inflamatorios con aire en su interior, que evidencian la presencia de fístula colovesical asociada a enfermedad diverticular complicada (Figura 1). El paciente fue valorado por cirugía general, quienes consideraron ante clínica y hallazgos imagenológicos que requería un tratamiento quirúrgico con cierre del orificio fistuloso.

Figura 1 Tomografía axial computarizada abdominopélvica: corte sagital en donde se evidencia divertículo a nivel colónico, absceso pericólico bien (Flecha blanca), con burbuja de aire en su interior (Flecha amarilla)
El procedimiento laparoscópico se realizó bajo anestesia general. Presencia de cambios inflamatorios con emplastronamiento del colon sigmoides hacia la pelvis. Por disección meticulosa se logra separar el borde antimesentérico del colon sigmoides de la cara posterior de la vejiga, identificando en este lugar una colección purulenta entre la vejiga y el colon (Figura 2).

Figura 2 Fotografía intraoperatoria: Drenaje de absceso pericólico entre el colon sigmoides y la vejiga
Se practica drenaje del absceso, estableciendo el diagnóstico postoperatorio de un absceso pericólico con fístula colovesical (Figura 3).
Se realizó cierre del defecto del sigmoides, sin sigmoidectomía. Interposición de epiplón entre la vejiga y la cara anterior del recto fijándolo con puntos de seda al tejido perirrectal (Figura 4).

Figura 4 Fotografía intraoperatoria: Interposición con sutura de parche de Epiplón entre el colon sigmoides y la vejiga
Se deja dren en fosa pélvica (Figura 5). Sonda vesical a permanencia.
Postoperatorio con evolución satisfactoria. Drenaje claro y escaso. Diuresis por sonda en cantidad y aspecto adecuados. Fue dado de alta con ausencia de síntomas, seis días después del procedimiento. 24 meses de seguimiento, paciente persiste asintomático, niega nuevos episodios de infección urinaria.
Discusión
La FCV es una comunicación anormal entre el intestino y la vejiga que en el 80% de los casos es secundaria a diverticulitis complicada, siendo más frecuente en pacientes de la tercera edad, con una relación 3:1 en hombres 6, lo que concuerda con nuestro paciente.
En este texto, se expone el caso de un paciente con antecedente de enfermedad diverticular que cursa con la sintomatología usual de la FCV, dado por neumaturia y fecaluria asociadas a síntomas urinarios irritativos. Estos síntomas se consideran patognomónicos de esta complicación y son presentados por más del 75% de los pacientes con FCV, por lo que es posible realizar un diagnóstico clínico 7)(9.
Ante la presencia de síntomas patognomónicos que sugieren el diagnóstico de FCV, es necesario el uso de pruebas diagnósticas adicionales para confirmar la existencia de la fístula, esclarecer la etiología, observar estructuras adyacentes y determinar la estrategia terapéutica 9. Entre los estudios más utilizados se encuentra la TC con contraste oral e intravenoso como examen de primera línea, presenta una sensibilidad del 92% al 100%, los hallazgos descritos en la literatura son presencia de aire en la vejiga, engrosamiento de la pared vesical e intestinal, presencia de divertículos colónicos y la presencia de una masa paravesical de tejido blando con aire en su interior 4)(8)(9.
La resonancia magnética (RM) tiene una sensibilidad del 100%, puede detallar la morfología de la fístula y su localización anatómica 10, sin embargo, no se realiza de rutina en nuestro medio ya que es un estudio costoso y poco accesible. El examen endoscópico más utilizado es la cistoscopia, una herramienta útil para detectar alteraciones en la vejiga, pero, su sensibilidad en este caso solo es del 35% al 60%, en ella se puede visualizar directamente el orificio de la fístula o hallazgos sugestivos como lo son el edema, eritema o ulceración de la pared de la vejiga 4)(8)(10. En este caso, se utilizó en primera instancia la Cistoscopia en la cual no se encontraron hallazgos sugestivos de FCV, pero, debido a la sintomatología del paciente, se decidió realizar tomografía en donde se encontró el tracto fistuloso.
El manejo de la FCV se divide en conservador y quirúrgico. El tratamiento conservador consiste en reposo intestinal con nutrición parenteral total, antibioticoterapia, esteroides y drenaje del catéter uretral. Este enfoque se considera viable en pacientes con esperanza de vida corta, mal estado general o que no son aptos para la realización de una cirugía mayor; no obstante, se ha asociado a mayor riesgo de sepsis, por lo que la indicación en la población general es llevar a cabo un manejo quirúrgico definitivo 6)(8.
En cuanto al tratamiento quirúrgico, consiste en la resección y la anastomosis del segmento intestinal afectado y el cierre de la vejiga 5)(9)(11. Tradicionalmente se ha llevado a cabo a través de Laparotomía, no obstante, un nuevo enfoque en este manejo es la cirugía laparoscópica con la que se han encontrado mayores beneficios. Gilshtein y col, evidenciaron una menor tasa de morbilidad con la cirugía laparoscópica (11.8%) versus laparotomía (50%), siendo este resultado estadísticamente significativo (p:0.027); además, se encontró un odds ratio (OR) siete veces mayor de presentar complicaciones en la herida quirúrgica para el grupo de laparotomía (p:0.023) 12. De igual forma, se ha encontrado una menor estancia hospitalaria en los pacientes con enfermedad diverticular sometidos a laparoscopia comparado con los pacientes sometidos a cirugía abierta (SMD: -7,65, 95% IC ( -10.96, -4.32), p: 0,000) 13)(14.
Es importante resaltar que existe una probabilidad de conversión a cirugía abierta cuando se somete a laparoscopia en el 5-40% de los casos especialmente en pacientes con ciertas condiciones específicas, tales como la localización de la fístula en la pared posterior de la vejiga, antecedente de operaciones abdominales previas y dificultad en la visión de la FCV en la pelvis 14)(15.
Teniendo en cuenta que el paciente de este caso no tenía ninguna comorbilidad o factores de riesgo para conversión a cirugía abierta, se decide realizar procedimiento mínimamente invasivo. Durante el procedimiento quirúrgico no se evidenció el orificio fistuloso, lo que no descarta el diagnóstico de FCV, al contrario, es un ejemplo del adecuado manejo preoperatorio que permitió la epitelización natural y cierre de los mismos, quedando como consecuencia el absceso pericólico que no tenía vía natural de salida, por lo cual era indispensable su drenaje. De igual forma, por los hallazgos intraoperatorios se realiza cierre del defecto del sigmoides, sin sigmoidectomía, con la interposición de epiplón entre la vejiga y cara anterior del recto, ofreciendo un manejo preservador del órgano, evitando así prolongación del tiempo operatorio y mayores morbilidades relacionadas con el mismo.
Actualmente, no hay evidencia significativa que sugiera un estándar de oro para el manejo de la FCV. Por lo que es importante la individualización del paciente con el fin de escoger la mejor terapéutica 16. Para poder definir seguridad y eficacia, deben realizarse estudios multicéntricos con el mayor nivel de evidencia para evaluar las variables que pueden pronosticar un mejor o peor desenlace y considerarse un proceso seguro, eficaz y reproducible.
Conclusión
La FCV es una complicación que se presenta en el 2% de los pacientes con enfermedad diverticular de colon, especialmente en las personas con edad avanzada. La clínica de esta patología es característica y se puede confirmar con imágenes. Respecto al tratamiento, teniendo en cuenta el número limitado de estudios, el enfoque laparoscópico se puede considerar de primera línea en pacientes con bajo riesgo de conversión a cirugía abierta ya que se asocia con una recuperación funcional más rápida y menor tasa de complicaciones. En este caso se optó por no efectuar la sigmoidectomía, ofreciendo un manejo preservador del órgano, evitando así prolongación del tiempo operatorio y mayores morbilidades relacionadas con el mismo. La maniobra de interposición de epiplón entre la vejiga y el colon, suturándolo a manera de parche, ofrece seguridad del aislamiento de estas dos vísceras.















