SciELO - Scientific Electronic Library Online

 
vol.29 issue2Cáncer en el paciente pediátrico ¿cuándo sospecharlo? ¿cuándo alarmarse?Muerte perinatal por atresia laríngea: reporte de caso author indexsubject indexarticles search
Home Pagealphabetic serial listing  

Services on Demand

Journal

Article

Indicators

Related links

  • On index processCited by Google
  • Have no similar articlesSimilars in SciELO
  • On index processSimilars in Google

Share


Revista Médica de Risaralda

Print version ISSN 0122-0667

Revista médica Risaralda vol.29 no.2 Pereira July/Dec. 2023  Epub Apr 05, 2024

https://doi.org/10.22517/25395203.25215 

Reportes de caso

Bisegmentectomía hepática en paciente cirrótico “CHILD A” con hepatocarcinoma fuera de criterio de Milán

Byron Abad-Gonzáleza 

Priscila Martínezb 

Viviana Paullanc 

Omar Chungatad 

Javier Illescase 

Andrés Cedeñof 

Boris Cedeñog 

Jazmín Cabeza

a. Médico, Cirujano. Hospital Abel Gilbert Pontón- Unidad de Cirugía Hepatobiliar, pancreática y trasplante. Guayaquil, Ecuador.

b. Médico, Gastroenterólogo. Hospital Abel Gilbert Pontón- Unidad de Cirugía Hepatobiliar, pancreática y trasplante. Guayaquil, Ecuador

c. Médica, Gastroenteróloga. Hospital Abel Gilbert Pontón- Unidad de Cirugía Hepatobiliar, pancreática y trasplante. Guayaquil, Ecuador.

d. Médico, Cirujano. Unidad de cirugía percutánea. Guayaquil, Ecuador.

e. Médico. Departamento de Imágenes. Hospital Abel Gilbert Pontón. Guayaquil, Ecuador

f. Médico, Cirujano. Hospital Abel Gilbert Pontón- Unidad de Cirugía Hepatobiliar, pancreática y trasplante. Guayaquil, Ecuador

g. Médico. Magíster en Gestión en Directiva de Instituciones de la Salud. Guayaquil, Ecuador

h. Médico, Cirujano. Hospital Abel Gilbert Pontón- Unidad de Cirugía Hepatobiliar, pancreática y trasplante. Guayaquil, Ecuador


Resumen

La incidencia del Hepatocarcinoma se incremento en los últimos años especialmente en los pacientes cirróticos por alcohol y por virus de hepatitis C, por esta razón que hoy en día el tratamiento de estos pacientes está a cargo de un equipo multidisciplinario conformado por cirujanos de trasplante, hepatólogos, oncólogos, radiólogos. La incidencia de los pacientes con cirrosis que desarrollaron HCC es del 2 al 8%, en cambio en los estados Unidos la hospitalización de los pacientes con HCC y que cirrosis por alcohol fue de 8 a 9 por cada 100.000 habitantes esto no determina la incidencia de HCC en pacientes cirrótico por alcohol, pero si confirma el alcohol como importante factor de riesgo para desarrollar Hepatocarcinoma.

Palabras Claves: Hepatocarcinoma; Cirrosis por Virus C; Cirrosis por Alcohol

Abstract

The incidence of hepatocellular carcinoma is increasing in recent years especially in cirrhotic patients by alcohol and hepatitis C virus, which is why today the treatment of these patients is conducted by a multidisciplinary team of transplant surgeons, hepatologists, oncologists, radiologists. The incidence of patients who developed cirrhosis and HCC is 2 to 8%, however, while in the U.S. the hospitalization of patients with HCC and alcoholic cirrhosis was 8-9 per 100,000 people this does not determining the incidence of HCC in cirrhotic patients but confirms alcohol as alcohol important risk factor for the development of Hepatocarcinoma.

Key Words: Hepatocarcinoma; Cirrhosis due to Virus C; Cirrhosis due to Alcohol

Introducción

El Hepatocarcinoma (HCC) es el quinto cáncer mas frecuente y la tercera causa de muerte relacionada al cáncer llegando a producir hasta 600.000 muertes al año. Existe una alta relación entre la presencia de Hepatocarcinoma y Cirrosis especialmente las producidas por Virus de Hepatitis C (VHC) y en la Cirrosis por alcohol.

La incidencia de Hepatocarcinoma en pacientes cirróticos por VHC es del 2 al 8 %, y en los pacientes que tienen Cirrosis por alcohol es de 8 por cada 100.000 habitantes, lo que determina que el alcohol es un factor de riesgo importante para desarrollar Hepatocarcinoma 1.

En la actualidad se han creado sistemas de vigilancia para la detección oportuna del HCC, como la realización de programas de seguimiento trimestral de nódulos. En estos programas de vigilancia se utilizan el control ecográfico y de alfafetoproteina (AFP), lo que ha permitido disminuir la mortalidad de estos pacientes, logrando ofrecer un tratamiento oportuno y en algunos casos curativo como cirugía o trasplante 2.

Estos mecanismos han permitido tener hasta el 34% de tratamientos curativos en pacientes con una sola lesión y que tengan menos de 3 cm, un 11.5% de pacientes aptos para trasplante y 12.9% de pacientes ideales para resección quirúrgica 3.

Además, dentro del manejo integral de HCC se establecieron algoritmos o escalas de estadificación lo que ha permitido optimizar el tratamiento y la toma de decisiones en cuanto a la cirugía o trasplante, dentro de los sistemas de estatificación tenemos el Barcelona Clinic Liver Cancer (BCLC), Okuda, Child Pugh, Meld.

Figura 1: Algoritmo de seguimiento de nódulos pequeños 

Figura 2: Algoritmo de estatificación BCLC 

Dentro de la estatificación de los pacientes cirróticos con HCC que son candidatos a trasplante los criterios más usados son los CRITERIOS DE MILAN que fueron desarrollados por Mazzaferro en 1996 donde demostró que los pacientes con HCC que fueron trasplantados dentro de los criterios de Milán tuvieron una sobrevida del 70% a los 5 años 4.

Figura 3: Criterios de Milán 

Los pacientes con HCC que están fuera de criterios de Milán y no tienen posibilidad de tratamiento curativo o resección quirúrgica pueden ser sometidos a tratamientos alternativos como ablación por radiofrecuencia, quimioembolización e incluso tratamiento oncológico con Sorafenib 5. Algunos de estos tratamientos alternativos pueden producir mejoría clínica e incluso disminución del tamaño de los nódulos lo que se conoce con el nombre DOWNSTATING, haciéndolos candidatos a trasplante hepático 6.

Por todas estas características los pacientes con esta patología deben ser referidos a un centro hospitalario de alta complejidad con programas de trasplante Hepático activo.

Presentacion del caso

Paciente de 62 años de sexo masculino con antecedentes de consumo de alcohol por más de 20 años, sin antecedentes clínicos ni quirúrgicos de importancia. Diagnosticado de Cirrosis unos meses antes de su internación. Sin presentar ningún tipo de complicaciones mayores como ascitis, hemorragia digestiva alta, encefalopatía ni ictericia.

Acude al hospital para internación el 29 de julio del 2012 por presentar dolor abdominal penetrante y sensación de masa palpable en flanco derecho y fosa iliaca derecha.

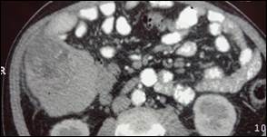
Se realizaron pruebas de imágenes como ecografía y tomografías donde se evidencia imagen nodular de 8 cm en el hígado derecho segmentos 6-7.

Figura 4: masa en hígado derecho segmento 6-7 

Con los antecedentes y las imágenes se llegó al diagnóstico de HCC en Hígado Cirrótico por alcohol.

Figura 5: Masa Hepática Hepatocarcinoma 

El diagnóstico de HCC se realiza mediante la realización de tomografía trifásica tiempo arterial tiempo portal y venoso tardío. Donde se pudo observar la captación del contraste en tiempo arterial y lavado rápido del contraste en fase portal.

Para determinar el estadio de evolución de la cirrosis se utilizó la escala de Child-Pugh, la misma que era “A”. Además, se realizó endoscopia digestiva alta en busca de várices esofágicas las mismas que estaban ausentes, en la ecografía se evidencio esplenomegalia.

Con todas las características se llega al diagnóstico de Cirrosis Alcohólica child A con HCC en segmento 6-7.

Se evalúa el HCC para posibilidad de trasplante hepático, utilizamos los criterios de Milán y por el tamaño está fuera de criterios para trasplante Hepático; por lo que consideramos alternativas terapéuticas como la resección hepática, embolización del tumor o tratamiento oncológico paliativo.

El análisis multidisciplinario del equipo de trasplante Hepático por las características del tumor localizado periféricamente en segmento 6-7 y en un paciente Child A se plantea como mejor opción proponer una Hepatectomia del segmento 6-7.

Para esto se analizan las imágenes en busca de trombosis portal la que se descarta con ecografía doppler, además se valora la reserva funcional hepática post resección recordando que en pacientes cirróticos el volumen hepático mínimo debe ser del 40% por resección.

Considerando que la propuesta quirúrgica es una Hepatectomia del segmento 6-7 lo que corresponde al 25% de volumen hepático total dejando una reserva del 70-75% post resección se decide la cirugía como opción de tratamiento.

El paciente fue sometido a cirugía de alta complejidad por el procedimiento mismo y las características del paciente se tomaron todas las medidas preventivas por parte del equipo de anestesiología como colocación de vía periféricas, vía venosa central, línea arterial, medidas para mantener la temperatura del paciente.

Se realizó una incisión subcostal con extensión mediana y tuvo una duración de 6 horas 30 minutos.

La técnica quirúrgica consistió en realizar maniobras de liberación de ligamentos de fijación hepática, movilización del hígado derecho hacia la línea media, disección de las venas supra hepáticas hasta visualizar e individualizar la vena supra hepática derecha la misma que se deja reparada.

Para el control vascular se realizó maniobra de pringle en el pedículo hepático.

Figura 6: Equipo Quirúrgico 

Macroscópicamente el hígado lució cirrótico.

Posterior a la resección la superficie de corte en el hígado se controló sangrado con el electrocauterio argón.

Se utilizaron también equipos como ecografía intraoperatoria para delimitar la línea de resección sobre el parénquima hepático, el seguimiento de la vena supra hepática derecha dentro del parénquima, la relación del tumor con los elementos anatómicos adyacente, lo que nos permitió lograr un margen de resección R0.

Figura 7: Hepatectomia Segmento 6-7 

Al término de la cirugía el paciente pasó a terapia intensiva y fue extubado a las 4 horas.

Figura 8: Movimiento enzimático post quirúrgico 

El paciente presento en el post operatorio complicaciones propias de un paciente cirrótico sometido a una intervención quirúrgica como ascitis, y encefalopatía grado 2. El movimiento enzimático se reflejo con el aumento de las enzimas hepáticas llegando a tener su pico máximo hasta las 48 horas de post quirúrgico empezando a disminuir y llegando a su nivel normal al sexto día de la cirugía.

Como complicación presento edema de miembro inferior izquierdo por trombosis venosa profunda debido a trombo antiguo fijo en la femoral superficial. En base a esto paciente hizo profilaxis anti trombotica con enoxiparina y posteriormente recibió tratamiento.

El paciente no presento complicaciones infectologicas, paso a sala de internación general y fue dado de alta después de 3 semanas de la cirugía.

Conclusiones

El manejo de los pacientes cirróticos con HCC debe ser siempre por un equipo multidisciplinario con y en un centro de alta complejidad con programa de trasplante hepático activo.

La indicación de cirugía en estos pacientes siempre será una alternativa para los que tiene una clase funcional CHILD A que estén fuera de la posibilidad de trasplante.

Para los pacientes con tumores grandes y centrales siempre se puede plantear la posibilidad de embolización transarterial o tratamiento paliativo oncológico.

Bibliografía

1. Pateron D, Ganne N, Trinchet JC, Aurousseau MH, Mal F, Meicler C, Coderc E, et al. Prospective study of screening for hepatocellularcarcinoma in Caucasian patients with cirrhosis. J Hepatol 1994;20. [ Links ]

2. Lok AS, Sterling RK, Everhart JE, Wright EC, Hoefs JC, Di BisceglieAM, Morgan TR, et al. Des-gamma-Carboxy Prothrombin and alpha-Fetoprotein as Biomarkers for the Early Detection of Hepatocellular Carcinoma. Gastroenterology 2010;138:493-502. [ Links ]

3. Marrero JA, Feng Z, Wang Y, Nguyen MH, Befeler AS, Roberts LR, Reddy KR, et al. Alpha-fetoprotein, des-gamma carboxyprothrombin, and lectin-bound alpha-fetoprotein in early hepatocellular carcinoma. Gastroenterology 2009;137:110-118. [ Links ]

4. Sherman M. Alphafetoprotein: an obituary. J Hepatol 2001;34:603- [ Links ]

5. Forner A, Reig M, Bruix J. Alpha-fetoprotein for hepatocellular carcinoma diagnosis: the demise of a brilliant star. Gastroenterology 2009; 137:26-29. [ Links ]

6. Marrero JA, Su GL, Wei W, Emick D, Conjeevaram HS, Fontana RJ, Lok AS. Des-gamma carboxyprothrombin can differentiate hepatocellular carcinoma from nonmalignant chronic liver disease in American patients. Hepatology 2003;37:1114-1121 [ Links ]

Creative Commons License Este es un artículo publicado en acceso abierto bajo una licencia Creative Commons