Services on Demand
Journal
Article
Indicators
-
Cited by SciELO -
Access statistics
Related links
-
Cited by Google -
Similars in
SciELO -
Similars in Google
Share
Revista de Medicina Veterinaria
Print version ISSN 0122-9354
Rev. Med. Vet. no.27 Bogotá Jan./June 2014
Estudio microscópico de dermatopatías en equinos de la sabana de Bogotá, Colombia
Iovana Castellanos Londoño1 / Germán Prada San Miguel2 / Germán Rodríguez Martínez3 / Rosario Santos Arias4
1 Médica veterinaria, Universidad de La Salle, Bogotá, Colombia. Especialista en Anatomopatología Veterinaria, Universidad Nacional de Colombia. MSc en Ciencias Veterinarias, Universidad de La Salle. Grupo de investigación "CIMRA". Unidad de Patología, Bogotá, Colombia.
iocastellanos@unisalle.edu.co
2 Médico veterinario, Universidad Nacional de Colombia. MSc en Clínica de Grandes Animales, Universidad Austral de Chile. Grupo de investigación "CIMRA". Unidad de Clínica de Grandes Animales, Bogotá, Colombia.
geprada@unisalle.edu.co
3 Médico veterinario zootecnista, Universidad Nacional de Colombia. MSc en Microbiología, PEG ICA-UNAL. PhD en Epidemiología, Universidad de Reading. Grupo de Investigación "CIMRA". Director de postgrado, Facultad de Ciencias Agropecuarias, Universidad de La Salle, Bogotá, Colombia.
grodriguez@lasalle.edu.co
4 Licenciada en Química y Biología, Universidad de La Salle, Bogotá, Colombia. MSc en Diseño y Gestión de Procesos, con énfasis en Bioprocesos, Universidad de La Sabana, Chía, Colombia. Departamento de Ciencias Básicas, Universidad de La Salle, Bogotá, Colombia.
rsantos@lasalle.edu.co
Recibido: 24 de septiembre del 2013. Aceptado: 14 de abril del 2014
Cómo citar este artículo: Castellanos Londoño I, Prada San Miguel G, Rodríguez Martínez G, Santos Arias R . Estudio microscópico de dermatopatías en equinos de la sabana de Bogotá, Colombia. Rev Med Vet. 2014; (27):11-20.
Resumen
Los caballos ocupan el tercer lugar en presentación de enfermedad dermatológica luego de los perros y los gatos; sin embargo, es escasa la información que se dispone sobre los aspectos demográficos de las enfermedades dermatológicas en esta especie en Colombia. El objetivo del presente trabajo fue hacer un estudio preliminar para conocer las enfermedades dermatológicas que afectan a los equinos en la sabana de Bogotá, mediante biopsia, raspado de piel y tricograma, con el fin de acercarse al diagnóstico y así establecer medidas terapéuticas y profilácticas que beneficien la salud animal y la productividad en explotaciones comerciales. Se recibieron 39 biopsias de piel, 39 raspados cutáneos y 37 muestras de cortezas pilosas de equinos con algún tipo de dermatopatía, las cuales fueron procesadas en el Laboratorio de Histopatología de la Universidad de La Salle. Las lesiones inflamatorias se clasificaron teniendo en cuenta los patrones histológicos de enfermedad inflamatoria de la piel y los tumores, según la clasificación de la Organización Mundial de la Salud (OMS). Las dermatitis alérgicas fueron las patologías más frecuentes (46%) y las neoplasias se observaron en el 13% de los casos; en el 10% de los raspados cutáneos se observaron esporas de hongos en posición ectotrix. En uno de los tricogramas se identificaron ácaros del género Psoroptes spp. Este es el primer reporte de diagnóstico microscópico de enfermedades dermatológicas en equinos en el país con el fin de contribuir al conocimiento demográfico de las dermatopatías en la sabana de Bogotá.
Palabras clave: biopsia, dermatitis, patrón histológico, tricograma, raspado de piel.
Microscopic Study of Skin Diseases in Horses from the Bogotá Savanna, Colombia
Abstract
Horses hold third place in number of cases of skin disease after cats and dogs; however, there is little information about the demographic aspects of dermatological diseases in this species in Colombia. The purpose of this work was to carry out a preliminary study in order to determine the dermatological diseases that affect horses in the Bogotá Savanna, through biopsy, skin scraping and trichogram, in order to approach the diagnosis and thus to establish therapeutic and prophylactic measures that benefit the animal's health and productivity in commercial farms. Thirty-nine skin biopsies, thirty-nine cutaneous scraping and thirty-seven samples of hairy peel from horses with some kind of skin disease were received, all of which were processed by the Histopathology Laboratory from La Salle University. The inflammatory injuries were sorted taking into account the histological patterns of inflammatory skin disease and tumors, according to the classification by the World Health Organization (WHO). Allergic dermatitis was the most common pathology (46%) and neoplasia was observed in 13% of the cases; fungal spores in ectothrix position were found in 10% of the cutaneous scrapes. Mites of the type Psoroptes spp were identified in one of the trichograms. This is the first report of microscopic diagnosis of skin diseases of horses in the country with the goal of contributing with the demographic knowledge of skin diseases in the Bogotá Savanna.
Keywords: Dermatitis, biopsy, trichogram, skin scraping, histological pattern.
Estudo microscópico de dermatopatias em equinos da savana de Bogotá, na Colômbia
Resumo
Os cavalos ocupam o terceiro lugar em apresentação de doença dermatológica depois dos cachorros e dos gatos; contudo, é escassa a informação que se dispõe sobre os aspectos demográficos das doenças dermatológicas nesta espécie na Colômbia. O objetivo do presente trabalho foi fazer um estudo preliminar para conhecer as doenças dermatológicas que afetam os equinos na savana de Bogotá, mediante biopsia, raspagem de pele e tricograma, com a finalidade de aproximar-se ao diagnóstico e assim estabelecer medidas terapêuticas e profilácticas que beneficiem a saúde animal e a produtividade em explorações comerciais. Foram recebidas 39 biopsias de pele, 39 raspagens cutâneas e 37 amostras de crostas pilosas de equinos com algum tipo de dermatopatia, as quais foram processadas no Laboratório de Histopatologia da Universidade de La Salle. As lesões inflamatórias se classificaram levando em conta os padrões histológicos de doenças inflamatórias de pele e os tumores, segundo a classificação da Organização Mundial de a saúde (OMS). As dermatites alérgicas foram as patologias mais frequentes (46%) e as neoplasias se observaram em 13% dos casos; em 10% das raspagens cutâneas se observaram esporas de fungos em posição ectotrix. Em um dos tricogramas se identificaram ácaros do gênero Psoroptes spp. Este é o primeiro relatório de diagnóstico microscópico de doenças em equinos no país com a finalidade de contribuir ao conhecimento demográfico das dermatopatias na savana de Bogotá.
Palavras chave: dermatite, biópsia, tricograma, raspagem de pele, padrão histológico.
INTRODUCCIÓN
Las enfermedades dermatológicas son patologías frecuentes en equinos; sin embargo, en nuestro país se carece de información sobre los aspectos demográficos de estas enfermedades en grandes animales. En Estados Unidos se ha estimado que aproximadamente el 4% de las consultas en equinos son debidas a problemas dermatológicos (1). Estas patologías causan incomodidad, irritabilidad y aumento de sensibilidad a otras enfermedades, además de la incapacidad para montar, trabajar y exhibir los animales.
Existen gran cantidad de patologías dermatológicas en equinos que muestran similitud clínica entre ellas; por este motivo, el diagnóstico de la enfermedad dermatológica requiere el uso de técnicas paraclínicas especializadas, y dentro de ellas se encuentran los raspados cutáneos, la citología, el tricograma, el cultivo, el antibiograma y la biopsia de piel (2).
El tricograma es un test diagnóstico sencillo en el cual los pelos son examinados con el microscopio de luz; requiere poca práctica y experiencia, brinda una sensibilidad del 50-90% y una especificidad del 90-100% en la identificación de ácaros y hongos y en la fase del crecimiento del pelo (1,2).
Los raspados cutáneos permiten la observación de ácaros y hongos a partir de la superficie cutánea (1). Con la citología se identifica la presencia de bacterias y hongos y la respuesta celular que generan estos microorganismos (1). Por otro lado, el cultivo y el antibiograma permiten reconocer los microorganismos involucrados en la enfermedad dermatológica y su sensibilidad in vitro frente a sustancias antimicrobianas (1).
Así mismo, la biopsia de piel es un examen sencillo, rápido, sin contraindicaciones, con el que se facilita el diagnóstico de enfermedades dermatológicas inflamatorias y neoplásicas y puede sugerir la presencia de enfermedades metabólicas (1). En cuanto al diagnóstico de la enfermedad inflamatoria, Ginn, Mansell y Rakich (2), en 2007, describieron diez patrones dermatológicos en medicina veterinaria basados en los patrones postulados en medicina humana por el profesor Ackerman en 1978 (3). Estos patrones se realizaron teniendo en cuenta varios aspectos: el cambio epidérmico (hiperplasia, hiperqueratosis, hipergranulosis, acantosis, acantolisis, atrofia), el tipo de infiltrado inflamatorio (neutrofílico, linfocítico, eosinofílico, histiocítico o plasmocítico) y su localización (perivascular, periglandular, intersticial, liquenoide, nodular o difuso). Se describen a continuación:
Dermatitis perivascular: los infiltrados se observan alrededor de los vasos sanguíneos superficiales o profundos. Este patrón corresponde a reacciones de hipersensibilidad, aunque se puede observar en algunas etapas de la evolución en enfermedades bacterianas, virales o por deficiencias nutricionales. Puede subdividirse en cuatro tipos dependiendo del cambio epidérmico, así: a) dermatitis perivascular pura (reacciones de hipersensibilidad y urticaria); b) dermatitis perivascular con espongiosis: se acompaña generalmente con hiperqueratosis e hiperplasia epidérmica (dermatitis de contacto o irritativa, ectoparasitismo, reacción de hipersensibilidad); c) dermatitis perivascular con hiperplasia epidérmica (reacciones de hipersensibilidad crónica), y d) dermatitis perivascular con hiperqueratosis ortoqueratósica (seborrea o ictiosis) o paraqueratósica (dermatosis responsiva al zinc, hipersensibilidad crónica a ectoparásitos o dermatitis por Malassezia) (1,2).
Dermatitis de interfase: se caracteriza por el daño de la membrana basal con degeneración de queratinocitos. Puede ser de dos tipos: a) de baja celularidad (dermatomiositis, lupus eritematoso sistémico, eritema multiforme, erupción por medicamentos) y b) patrón de interfase liquenoide (lupus eritematoso discoide, pénfigo pustular panepidérmico, fiebre catarral maligna, síndrome uveodermatológico) (4).
Vasculitis: se refiere a la inflamación de la pared de los vasos sanguíneos; puede llevar a necrosis fibrinoide, hemorragia, trombosis y evidencia de isquemia. Puede ser de origen inmunomediado (reacción de hipersensibilidad tipo III) o séptico. Se clasifica de acuerdo con el tipo de células inflamatorias en vasculitis neutrofílica, linfocítica o eosinofílica (1,2).
Dermatitis nodular y difusa: ocurre por infiltración de células inflamatorias en dermis superficial y profunda. Es posible que suceda por la presencia de un agente infeccioso, material no infeccioso, o puede ser de tipo idiopático. La presentación de granulomas de tipo tuberculoide, sarcoidal o en palizadas puede observarse dentro de este patrón. De igual forma, la presentación de macrófagos (histiocitos, células espumosas, células epitelioides y células gigantes multinucleadas) es propia de esta reacción. Ocurre en casos de inflamaciones crónicas como tuberculosis, reacciones a cuerpo extraño, parásitos u hongos (habronemiasis, pitiosis, dermatofitosis) (5,6).
Dermatitis vesicular y pustular intraepidérmica: se caracteriza por la presentación de pústulas y vesículas dentro de la epidermis y de acuerdo con su localización en ella puede ser: a) subcorneal (pénfigo foliáceo, pioderma superficial o hipersensibilidad); b) en el estrato espinoso (pénfigo, enfermedad viral o síndrome hepatocutáneo); c) suprabasales (pénfigo vulgaris), y d) intrabasales (lupus eritematoso, eritema multiforme, necrólisis epidérmica tóxica y dermatomiositis) (1,2,7).
Dermatitis vesicular y pustular subepidérmica: este patrón se caracteriza por la separación de la epidermis y la dermis por degeneración hidrópica de las células basales, severo edema subepidérmico en casos de epidermólisis bullosa, penfigoide ampolloso y en casos de reepitelización (1,2).
Perifoliculitis, foliculitis y forunculosis: es un patrón que se caracteriza por la presencia de células inflamatorias dentro del folículo piloso o en el epitelio folicular (foliculitis), alrededor del folículo (perifoliculitis) o por la ruptura del folículo con la liberación de las cortezas pilosas en la dermis (forunculosis). Generalmente se acompaña de infiltrados de eosinófilos en equinos en casos de foliculitis estéril eosinofílica, hipersensibilidad a picadura de mosquitos e hipersensibilidad a Culicoides (1,2).
Dermatitis fibrosante: por lo general ocurre como secuela de alguna lesión grave de la epidermis y la dermis con la consecuente cicatrización. Sucede en casos de forunculosis, tejido de granulación excesivo en equinos, dermatitis actínica, escleroderma y morfea (1,5).
Paniculitis: es la inflamación de la grasa subcutánea. Se subdivide en lobular, septal y difusa, sin significado patológico aparente. Generalmente ocurre por agentes infecciosos, cuerpos extraños, deficiencias de vitamina E, trauma, enfermedad pancreática, vasculitis, lupus eritematoso; aunque puede ser estéril e idiopática (1,2).
Dermatosis atrófica: se caracteriza por la disminución en el número de anexos y en el grosor de la epidermis. Ocurre en casos de enfermedad endocrina, en casos de displasias (dermatosparaxis, displasia folicular) y de alopecia paraneoplásica (1,2).
En el presente artículo se presentan los resultados del estudio microscópico de biopsias de piel, raspados cutáneos y tricogramas que se tomaron de equinos con enfermedad dermatológica, procedentes de la sabana de Bogotá, con el fin de aportar al conocimiento de los aspectos demográficos de las enfermedades dermatológicas en esta especie, para la región geográfica de referencia.
MATERIALES Y MÉTODOS
El estudio se realizó en la región de la sabana de Bogotá, ubicada en el centro geográfico de Colombia (Suramérica), sobre la parte central de la cordillera Oriental (cordillera de los Andes) y forma parte del altiplano cundiboyacense, a los 4° 35' 53'' de latitud N y 74° 04' 33'' de longitud W, con una altitud de 2930 msnm, una temperatura media de 14 °C, una humedad relativa que varía entre el 73 y el 86% y con una extensión aproximada de 425.000 ha (8).
Se recibieron 39 biopsias de piel, 39 raspados cutáneos y 37 muestras de cortezas pilosas que fueron procesadas en el Laboratorio de Histopatología de la Universidad de La Salle.
Biopsias de piel. Se recibieron muestras de aproximadamente 4 mm de diámetro que fueron remitidas sin historia clínica, en recipiente plástico, sumergidas en formol bufferado al 10%. Las muestras fueron procesadas por el método de inclusión en parafina y teñidas con la coloración de rutina de hematoxilina-eosina (H-E) y la coloración especial de ácido peryódico de Schiff (PAS). Se realizó el estudio morfológico de las lesiones observadas y se describieron utilizando los patrones histológicos de enfermedad inflamatoria de la piel para animales domésticos (2,3). La clasificación histológica de los tumores se basó en la Clasificación Histológica de Tumores de los Animales Domésticos de la OMS (9). Con la coloración de PAS se descartó la presencia de hongos y se evidenció la membrana basal con el fin de establecer la ubicación de las lesiones presentes en dermis o epidermis.
Raspados de piel. Se recibieron frotis de raspados cutáneos sobre láminas portaobjetos que fueron identificados previamente con el nombre de los pacientes y en el laboratorio fueron nuevamente rotulados con un consecutivo. Las muestras se observaron con microscopio de luz óptica utilizando objetivos de 10X, 20X y 40X para la observación de hongos o ácaros.
Tricogramas. Se recibieron muestras de cortezas pilosas en sobres de papel, cerradas e identificadas previamente con el nombre del paciente. En el laboratorio fueron de nuevo rotuladas con un número consecutivo y se observaron al microscopio de luz óptica con objetivos de 10X, 20X y 40X; se buscaron hongos y ácaros; así mismo, se describió la fase del crecimiento de las cortezas pilosas, así como su integridad o defectos.
Resultados
Biópsias de piel
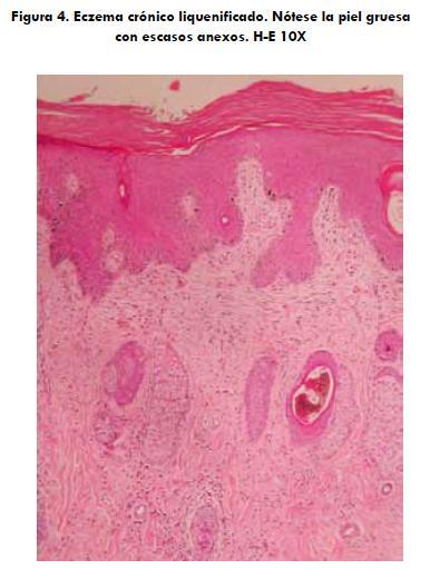
El patrón histopatológico que predominó fue el de dermatitis perivascular superficial (30%) seguido de la dermatitis pustular intraepidérmica (24%). Las neoplasias ocuparon el cuarto lugar con un 13% de los casos. Con el uso de patrones histológicos de enfermedad inflamatoria de la piel, se logró establecer el diagnóstico final en el 70% de los casos (figura 1). Las patologías diagnosticadas fueron: eczema crónico liquenificado (25%), dermatitis alérgica de contacto (20%), neoplasias (13%), dermatitis piotraumática (5%), dermatitis fibrosante, impétigo y displasia folicular (2%). Dentro de las neoplasias, los diagnósticos más frecuentes fueron sarcoide equino y papiloma. No se observaron lesiones histopatológicas en 20% de los casos estudiados (figura 2).
Raspados de piel
Los raspados de piel en su totalidad fueron negativos a la presencia de ácaros. Se observaron esporas de hongos en posición ectotrix en el 10% de los casos.
Tricogramas
En equinos, de los 39 casos estudiados se realizaron tricogramas al 92,5% de la población estudiada (37 casos). Se observó tricorrexis en el 24% (9/37) de los casos y presencia de esporas de hongos en posición ectotrix en el 8,1% (3/37). Solo en uno de los tricogramas se identificaron ácaros del género Psoroptes spp. La muestra fue inadecuada en el 8% de los casos (3/37).
DISCUSIÓN
Los exámenes complementarios (raspado de piel, tricograma y biopsia) son ayudas diagnósticas que permitieron establecer la naturaleza de la enfermedad dermatológica, de acuerdo con las variaciones morfológicas que se observaron en las diferentes estructuras cutáneas de los casos estudiados.
La biopsia de piel fue el examen que más información aportó al diagnóstico. Permitió diferenciar enfermedades inflamatorias de enfermedades neoplásicas, observar el tipo de infiltrados, su distribución y las estructuras involucradas en la enfermedad dermatológica. Con el uso de los patrones histológicos, se logró establecer el diagnóstico en el 70% de los casos, un porcentaje relativamente alto.
Los raspados cutáneos solo permitieron la observación de la integridad de las cortezas pilosas y la presencia de estructuras fúngicas. No se observaron ácaros tal como lo indica Scott y Miller (1), donde los raspados de piel tienen valor limitado porque los ácaros no son causa frecuente de dermatosis en los equinos. La presencia de esporas en posición ectotrix sobre la corteza pilosa indica la presencia de hongos ambientales o parte de la flora normal micótica de la piel del equino. De igual forma, las esporas en la superficie de la corteza pilosa no se correlacionaron con lesiones inflamatorias en la biopsia de piel, causadas por estos microorganismos.
Con el tricograma se evaluó el ciclo del crecimiento del pelo, la integridad de las cortezas pilosas y su morfología; las alteraciones como presencia de cortezas pilosas delgadas y onduladas se reportaron, debido a la correlación de esta lesión con la condición corporal establecida en el examen clínico del paciente. Según Scott y Miller (1), estas lesiones sugieren alteraciones nutricionales y metabólicas. En uno de los casos se evidenció la presencia de ácaros del género Psoroptes spp.; sin embargo, en la biopsia de piel solo se observaron lesiones pruríticas y un patrón de dermatitis perivascular superficial inespecífico. De todas formas, debe tenerse en cuenta que este tipo de ácaros vive en la superficie de la piel, en el estrato córneo y puede perderse con el procesamiento de histotecnia (1,2).
De acuerdo con los resultados obtenidos en la biopsia de piel, el patrón más frecuente fue la dermatitis perivascular superficial con cambio epidérmico notable (hiperqueratosis, hipergranulosis e hiperplasia epidérmica), lo que indicó la naturaleza crónica de las lesiones y su origen posiblemente alérgico. La hiperplasia epidérmica, asociada a la verticalización del colágeno en la dermis superficial, permitió sugerir la naturaleza prurítica de las lesiones. Dichas lesiones asociadas a la presencia de tejido conectivo en la dermis superficial sugieren cronicidad, sin poder establecerse el agente etiológico involucrado. Este es un patrón que se describe en casos de hipersensibilidad crónica (2).
De igual forma, la dermatitis pustular intraepidérmica fue el patrón que ocupó el segundo lugar, y estuvo relacionado con espongiosis y la presencia de gran cantidad de eosinófilos en dermis superficial y profunda como un componente muy importante en los casos diagnosticados como dermatitis alérgicas (10). La presencia de estas lesiones permitió sugerir como diagnóstico la existencia de dermatitis de contacto por hipersensibilidad a ectoparásitos (moscas) y la contaminación bacteriana secundaria a las lesiones pruriginosas con la formación de pústulas. Las dermatitis de contacto pueden ocurrir como una reacción de hipersensibilidad (dermatitis alérgica de contacto) en cuyo caso se requiere la sensibilización previa al agente alergénico, o puede suceder por el daño directo de una sustancia irritante sobre la piel como es el caso de la exposición a álcalis, ácidos, jabones, detergentes o plantas irritantes (11).
En este estudio, la presencia de eosinófilos fue un componente importante en la reacción inflamatoria mixta y sugiere una reacción de hipersensibilidad tipo I. La presencia de pústulas intracórneas y costras en algunos casos con presencia de bacterias se consideró como una complicación en los casos de dermatitis alérgica por el papel que desempeña el prurito en la lesión epitelial, lo que favorece la contaminación bacteriana superficial. De igual forma, la espongiosis y la exocitosis de linfocitos fue un hallazgo frecuentemente asociado que se describe en este tipo de patologías (2,11).
Los eosinófilos estuvieron presentes en el 23% de los casos, y forman un componente importante en la dermatitis alérgica y en uno de los casos de "necrobiosis nodular", también llamada "granuloma eosinofílico", en la cual se observó colagenolisis y la hialinización de las fibras de colágeno, generada por la acción de las enzimas liberadas por los eosinófilos. La presencia de eosinófilos se ha asociado con enfermedades inmunológicas como urticaria e hipersensibilidad a Culicoides (4,5), atopia y alergia alimentaria (1,3). Sin embargo, por las condiciones ambientales, la presencia de moscas picadoras es más frecuente en la sabana de Bogotá y puede generar este tipo de reacciones de hipersensibilidad. Las lesiones morfológicas microscópicas sugirieron un cuadro de hipersensibilidad a ectoparásitos más que a procesos reales de urticaria, debido a la ausencia del edema marcado en la dermis superficial. En el caso de las perifoliculitis neutrofílicas, se discute su presentación secundaria en casos de dermatitis alérgicas y atopia (11).
La presencia de bacterias (cocos) en la epidermis se ha asociado a hiperqueratosis y enfermedad inflamatoria de la piel, conocida como impétigo (2,11), y aunque existe una flora bacteriana normal sobre la superficie cutánea, es frecuente encontrar bacterias asociadas a los procesos patológicos como posibles patógenos oportunistas (12). En el presente estudio se pudo observar la presencia de bacterias con morfología de cocos asociadas a hiperqueratosis en el patrón de dermatitis pustular intraepidérmica, lo que indica la participación bacteriana secundaria en la enfermedad inflamatoria. En estos casos la morfología bacteriana hace pensar en Staphylococcus spp. (1,12).
La dermatitis pustular subepidérmica fue un patrón escaso y se consideraron enfermedades autoinmunes como el penfigoide ampolloso, eritema multiforme y pénfigo vulgar. En este caso, solo se pudo sugerir la presentación de esta enfermedad, ya que se requiere la correlación clínico-patológica y las pruebas de inmunofluorescencia (4,7).
En cuanto a las dermatosis neoplásicas, el sarcoide equino fue la neoplasia más frecuentemente diagnosticada, al igual que lo reportado en otros estudios realizados en Estados Unidos y en diferentes regiones de Brasil (Pelotas y Río Grande del Sur), (1,13-15). En Colombia ha sido reportado en caballos y en burros (16). Se discute su origen viral y la predisposición por raza y sexo. Macroscópicamente se clasifica en cuatro tipos: verrugoso, fibroblástico, mixto y plano (1,9,17). Histopatológicamente se caracterizó por la proliferación de tejido conectivo denso irregular y gran cantidad de fibroblastos fusiformes y estrellados con moderada atipia e hipercromasia, asociados a hiperplasia epidérmica. Se discute aún su posible origen viral (9,16). En segundo lugar, se diagnosticó papiloma cutáneo contrario a lo expuesto por varios autores, quienes reportan el melanoma (1) y el carcinoma escamocelular (13,14) como la segunda neoplasia más frecuente en equinos. La presencia de coilocitos sugirió el origen viral de los casos diagnosticados (11,12). Estos hallazgos indican que probablemente las condiciones medioambientales no desempeñarán un papel muy importante como lo harán la predisposición genética, la condición sanitaria de los animales y la etiología viral de estas neoplasias (15,18).
En el 20% de las biopsias no se encontraron lesiones histopatológicas. En este estudio, debido a la renuencia por parte de los propietarios de los equinos, solo se tomó un fragmento de piel por paciente para el estudio histopatológico. Esta situación hace que haya un porcentaje alto de carencia de lesiones histopatológicas en las muestras estudiadas. De igual forma, se debe considerar la falta de reconocimiento de las lesiones primarias de la piel o los errores en la elección del sitio de muestreo, ya sea porque la lesión en el sitio ya se resolvió o porque no queda la lesión dentro del área de tejido tomado. Por este motivo, es importante tener claridad en los alcances de la biopsia de piel y explicar a los propietarios la importancia de tomar mínimo tres fragmentos de diferentes lesiones de la piel, con el fin de establecer el diagnóstico de la patología dermatológica.
CONCLUSIONES
Las dermatosis diagnosticadas en equinos en la sabana de Bogotá correspondieron a patologías en su mayoría de origen inflamatorio, alérgico con un componente bacteriano secundario, seguido de los procesos neoplásicos donde el sarcoide equino y los papilomas fueron las neoplasias diagnosticadas. Por otro lado, indiscutiblemente, en el estudio microscópico, la biopsia de piel fue el examen de elección para el diagnóstico de las dermatopatías. Por este motivo, los médicos veterinarios deben conocer los alcances de los exámenes de piel y ofrecer este método diagnóstico. Así mismo, deben familiarizarse con la toma de las muestras para conocer y establecer las medidas de control, de prevención y el tratamiento adecuado de las dermatopatías en los equinos. Aunque la biopsia de piel no es diagnóstica en todos los casos, permite establecer el diagnóstico, descartarlo o establecer una lista de diferenciales con el uso de los patrones histológicos de enfermedad inflamatoria. Siempre se debe tener en cuenta que es necesario correlacionar estos resultados con la historia clínica y con los resultados de aislamiento bacteriano.
AGRADECIMIENTOS
Especial agradecimiento a la citohistotecnóloga Carolina Neira, del Laboratorio de Histopatología del Programa de Medicina Veterinaria de la Universidad de La Salle, por el trabajo cuidadoso en la elaboración de las láminas utilizadas para el diagnóstico microscópico.
REFERENCIAS
1. Scott DW, Miller WH. Dermatología equina. Buenos Aires: Intermédica; 2003. [ Links ]
2. Ginn PE, Mansell JE, Rakich PM. Skin and appendages. En: Jubb, Kennedy, Palmer's, editors. Pathology of domestic animals (vol. 1). 5 a ed. Philadelphia: Elsevier Saunders; 2007. [ Links ]
3. Ackerman B. Histologic diagnosis of inflamatory skin diseases: A method by Pattern Analysis. Philadelphia: Lea & Febiger; 1988. [ Links ]
4. Stannard AA. Immunologic diseases. Vet Dermatol. 2000; 11(3):163-78. [ Links ]
5. Stannard AA. Nodular diseases. Vet Dermatol. 2000; 11(3):179-86. [ Links ]
6. Verde MT, Conde T, Marteles D, Fernández A. Dermatitis papulonodulares equinas. Equinus. 2012; (33):6-24. [ Links ]
7. Zabel S, Mueller RS, Fieseler KV, Bettenay SV, Littlewood JD, Wagner R. Review of 15 cases of pemphigus foliaceus in horses and survey of the literature. Vet Rec. 2005; 157(17):505-9. [ Links ]
8. Instituto Colombiano de Antropología e Historia. Sabana de Bogotá [internet]. 2014 [citado 2013 ago 28]. Disponible en: http://www.icanh.gov.co/ver_pagina_ingles/release/register_of_archaeological_sites/sabana_bogota [ Links ]
9. Meuten D. Tumors in domestic animals. 4a ed. Iowa: State Press; 2002. [ Links ]
10. Hargis AM, Clark EG, Duclos DD, Leclerc S, West K. Spongiotic vesicular dermatitis as a cutaneous reaction pattern in seven horses. Vet Dermatol. 2001; 12(5):291-6. [ Links ]
11. McGavin, MD, Zachary JF. Pathologic of veterinary disease. 4a ed. St. Louis, MO: Mosby; 2007. [ Links ]
12. Cook CP, Scott DW, Erb HN, Miller WH. Bacteria and fungi on the surface and within no inflamed hair follicles of skin biopsy specimens from horses with healthy skin or inflammatory dermatoses. Vet Dermatol. 2005; 16(1):47-51. [ Links ]
13. Souza T, Brum J, Fighera R, Brass K, Barros C. Prevalência dos tumores cutâneos de equinos diagnosticados no Laboratório de Patologia Veterinária da Universidade Federal de Santa Maria, Rio Grande do Sul. Pesq Vet Bras. 2011; 31(5):379-82. [ Links ]
14. Ramos A, Souza A, Norte D, Ferreira J, Fernandes C. Tumores em animais de produção: aspectos comparativos. Ciênc Rural. 2008; 38(1):148-54. [ Links ]
15. Nasir L, Campo MS. Bovine papilloma viruses: their role in the etiology of cutaneous tumors of bovids and equids. Vet Dermatol. 2008; 19(5):243-54. [ Links ]
16. Cardona J, Vargas M, Perdomo S. Estudio clínico e histopatológico del sarcoide fibroblástico en burros (Equus asinus) en Colombia. Rev Cient (Maracaibo). 2013; 23(2):97-104. [ Links ]
17. Wobeser BK, Davies JL, Hill JE, Jackson ML, Kidney BA, Mayer MN, Townsend HG, Allen AL. Epidemiology of equine sarcoids in horses in western Canada. Can Vet J. 2010; 51(10):1103-8. [ Links ]
18. Baccarin R, Silva L, Belli C, Fernandes W, Zoppa A. Ocorrência de neoplasias em 15 anos de atendimento hospitalar de equídeos. Braz J Vet Res Anim Sci. 2011; 48(6):439-45. [ Links ]


















