Introducción
En el 2007 Petrella et al.1 presentaron cuatro pacientes con lesiones papulo-nodulares en las orejas de crecimiento indolente que se caracterizaban por una proliferación mono clonal densa y difusa de linfocitos T CD8+ de tamaño intermedio en la dermis con presencia de zona de Grenz y ausencia de epidermotropismo. A esta nueva entidad se le otorgó el nombre de proliferación linfoide indolente CD8 positiva de la oreja. A partir de esta primera publicación se reportaron 42 casos nuevos, tanto en esa localización como en otras partes del cuerpo2-18, y se revisaron casos previa mente publicados de donde se observaron cinco casos con estos hallazgos clínicos e histopatológicos19-23.
Esta nueva entidad se caracteriza por un nódulo eritematoso de crecimiento lento de buen pronóstico y que a nivel histopatológico se caracteriza por un infiltrado mono-morfo de linfocitos T a lo largo de la dermis con presencia de zona de Grenz y ausencia de epidermotropismo. El infil trado es característicamente CD8+ así como CD3+, TIA-1+, CD4, CD56-, CD30-, PD-1-, Granzima B- y EBER negativo. El índice de proliferación Ki-67 es bajo y se observan reorde namientos clonales de los genes del receptor de antígeno de la célula T, TCR. El seguimiento clínico es favorable y no se ha observado compromiso sistémico1-18.
Se presentan tres casos vistos en el servicio de patología de proliferación linfoide indolente cutánea CD8 positiva con compromiso facial, y que podrían ser los primeros publicados en Latinoamérica.
Presentación de casos
Se presentan tres casos vistos en el servicio de patología; desafortunadamente solo se cuenta con la foto clínica del segundo caso y los datos clínicos son extraídos de las histo rias clínicas.
El primer caso corresponde a un hombre de 52 años de edad con presencia de nódulo fijo de consistencia blanda en pabellón auricular derecho de un mes de evolución que medía 2 x 2cm. Se realizó biopsia excisional sin evidencia de recurrencia local o sistémica a los 8 meses.
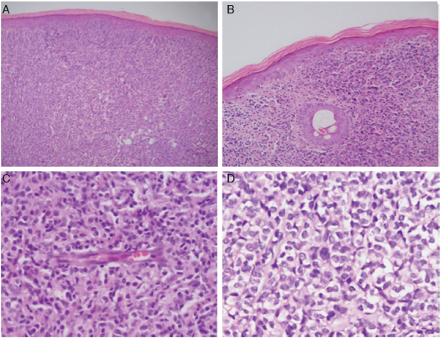
El segundo caso corresponde a un hombre de 46 años de edad con presencia de nódulo eritematoso de 2,5x 2cm (fig. 1) en pabellón auricular derecho de 12 meses de evolución. Se realizó biopsia excisional sin evidencia de recurrencia a los 3 meses.

Figura 1 Nódulo eritematoso de 2,5 x 2cm en pabellón auri cular derecho de 12 meses de evolución (Caso 2) (Foto cortesía del Dr. O Messa).
El tercer caso corresponde a un paciente de 48 años de edad con presencia de nódulo eritematoso de 1,8x 1,3cm en la punta nasal con 10 meses de evolución. Se realizó biop sia excisional sin evidencia de recurrencia a los 12 meses.
Al examen físico de los tres casos no se observaron otras lesiones sospechosas de malignidad ni se palparon adenomegalias cervicales. No se conocen antecedentes médicos ni quirúrgicos de importancia.
Estudio histopatológico
En las tres biopsias se observó una notable infiltración difusa y monótona de linfocitos de tamaño pequeño a intermedio irregular y nucléolo pequeño a lo largo de la dermis con presencia de zona de Grenz sin evidencia de: epidermotro pismo, figuras mitóticas, formación de centros germinales, microabscesos de Pautrier, necrosis, ulceración, angiocen-trismo ni angiodestrucción (figs. 2A-C). Curiosamente en el caso número uno se observó cambio de célula clara (fig. 2D).

Figura 2 A-C (Caso 2). Dermis con infiltración difusa y monótona de linfocitos de tamaño pequeño a intermedio irregulary nucléolo pequeño a lo largo de la dermis con presencia de zona de Grenz y sin presencia de epidermotropismo (A 4x HyE) (B 40x HyE) (C 100x HyE). D (Caso 1) Infiltrado linfoide con cambio de célula clara (100x HyE).
Estudios de inmunohistoquímica y moleculares
El infiltrado mostró una reactividad fuerte para marcadores T, incluyendo CD8 y CD3. Hubo una reducción en la expresión de CD5, CD7 y CD4. Se observó negatividad para CD30, ALK, CD56, Granzima B, Perforina, MUM-1, BCL-6 (figs. 3A-D). El índice de proliferación celular Ki-67 no superó el 10% en los tres casos (fig. 3E). Se observó CD20 en ocasionales linfocitos B. En los tres casos se observó positividad para CD68 (fig. 3F).

Figura 3 Estudio de inmunoperoxidasas con positividad para CD8 (A), CD3 (B) y CD68 (F), y negatividad para CD56 (C) y CD30 (D). Con un índice de proliferación celular Ki-67 menor al 10% (E). Figura A-E corresponden al caso2yla figura F al caso 3.
Los estudios moleculares utilizados para determinar el estado clonal de las lesiones presentadas se llevaron a cabo por medio de PCR multiplex y análisis de heterodupletas en gel de acrilamida, utilizando los protocolos desarrolla dos por el consorcio BIOMED224. De acuerdo con esto, en el primer y tercer caso se observaron productos clonales reproducibles en al menos una región del gen Gamma del TCR, mientras que en el segundo caso no se observaron productos clonales en ninguno de los blancos molecula res analizados (tabla 1, fig. 4); sin embargo, la clínica y los hallazgos observados en la microscopia de luz y en los estudios de inmunohistoquímica son los previamente repor tados.

Figura 4 Evaluación de reordenamientos de las cadenas gamma del receptor de antígeno de las células T por medio de PCR. Análisis de heterodupletas por medio de electroforesis en gel de poliacrilamida al 6%. Pozos 1-5 regiones variables 1-8 y 10. MP: Marcador de Peso 100 pb. 1: Control Positivo. Rango esperado: 145-255 pb. 2: Control Negativo Mix PCR + Agua. 3: Caso 1 4: Caso 2. 5: Caso 3. Pozos 6-9, regiones variables 9,11 y otras. 6: Control Positivo. Rango esperado: 80-220 pb. 7: Caso 2. 8: Caso 2. 9: Caso 3.
Discusión
Esta variante de linfoma T denominada proliferación linfoide indolente cutánea CD8 positiva es relativamente reciente y, con estos tres casos, en total se han reportado aproximadamente cincuenta y cuatro. Esta entidad no es exclusiva de las orejas, como fue descrito en primera instancia1, dado que se han encontrado casos con com promiso nasal4,5,12,14,16, en parpados15 y extrafaciales, que se presentaron en hombros8,19, glúteos8 y la región acral8,14,17,18,22.
Se caracteriza por ser una lesión única que frecuen temente se evidencia como un nódulo eritematoso de crecimiento lento, aunque también se han reportado casos con presentación a manera de pápulas o placas. La presen tación puede ser única o con compromiso de ambas orejas1,3,6,9 y menos frecuente con múltiples lesiones8. Afecta prin cipalmente a pacientes mayores de 50 años (media 56, rango 29-87 años) y la relación hombre:mujer fue de 1.7:118.
Su comportamiento clínico es de lento crecimiento, de buen pronóstico y sin compromiso extracutáneo. Se han reportado casos con recurrencia cutánea1,10,14,16,17 pero no de progresión sistémica ni con muertes atribuibles a la enfer medad. El periodo de seguimiento libre de enfermedad de los casos reportados ha sido de 3 a 168 meses18. Los casos reportados han sido tratados con: corticoide tópico, extir pación quirúrgica, radioterapia sola, extirpación quirúrgica más radioterapia, o únicamente con observación18.
Histológicamente se caracteriza por un infiltrado mono-morfo denso de linfocitos T "blastos-like" de tamaño intermedio con núcleo irregular y nucléolo pequeño a lo largo de la dermis con presencia de zona de Grenz yausencia de formación de centros germinales, necrosis, ulceración, angiocentrismo, angiodestrucción o epidermotropismo1,3,4. Aunque en algunos casos se ha observado la presen cia epidermotropismo9,16, en dos casos la presencia de microabscesos de Pautrier14 simulando micosis fungoide, y en dos casos con presencia de células en anillo de sello2,19, no se han descrito casos con cambios de célula clara como el primer caso presentado (fig. 2D), pero cabe destacar que se han reportado casos de linfoma con cambio de célula clara25.
En los casos reportados se evidenció positividad para diferentes anticuerpos. Sin embargo, el inmunoperfil más frecuente, además de la presencia de linfocitos T CD8+, fue la positividad para CD3, TIA-1 y negatividad para CD4, CD56, CD30, PD-1, Granzima B y EBER. El índice de proliferación Ki-67 fue bajo, inferior al 10% con usual presencia de reor denamientos de los genes del receptor de la célula T18.En algunos casos se determinó que se puede encontrar pérdida de CD3, CD5 y CD7 y el índice de proliferación celular Ki-67 de hasta el 40%18. Se observaron células B CD20 positivas aisladas y escasas células plasmáticas, neutrófilos, eosinófilos o histiocitos1,3,4. Recientemente han observado que la expresión de CD68 puede ser útil para distinguir la proli feración linfoide indolente cutánea CD8 positivo de otros linfomas T cutáneos CD8 positivos17, en nuestros casos se observó positividad para CD68 apoyando el diagnóstico.
En cinco casos no se observó clonalidad3,8,16 y de estos, dos casos tenían compromiso en las orejas, el primero corresponde a un hombre de 69 años con nódulos en ambas orejas de 24 meses de evolución3, y el otro era el caso de un hombre de 68 años con una pápula en oreja izquierda de 18 meses de evolución14. Los siguientes casos presenta ron recurrencias después del tratamiento con radioterapia: el caso de un hombre de 41 años de tres meses de evolución en párpado izquierdo16; el caso de una mujer de 41 anos con lesión en la nariz de 36 meses de evolución16, y el caso de un hombre de 48 años con lesión en glúteo derecho8.
El segundo caso presentado en este artículo no mos tró clonalidad pese a que la clínica (fig. 1) y los hallazgos histopatológicos concordaron con el prototipo ya conocido (fig. 2 A-C y fig. 3). Los otros casos fueron confirmados como proliferaciones monoclonales por medio de estudio de reor denamientos del TCR.
Aunque la mayor parte de este tipo de proliferaciones cutáneas fueron positivas para este tipo de análisis, exis ten casos de micosis fungoides y otros linfomas cutáneos con resultados policlonales del análisis de reordenamientos. El encontrar productos clonales en lesiones clínicamente benignas, como en pacientes con lupus eritematoso sistémico, es también relativamente frecuente. Lo recomendado en esos casos es repetir el análisis en una nueva muestra en un nuevo momento de la evolución clínica o realizar seguimiento clínico cuidadoso26. Siempre deben interpre tarse estas pruebas de manera multidisciplinaria.
Por su comportamiento clínico y por sus hallazgos histopatológicos esta entidad se asemeja al linfoma cutáneo primario de células T pleomórficas pequeñas o medianas CD4+27 y difiere a nivel histopatológico y en su compor tamiento clínico con otros linfomas cutáneos con expresión de CD8 como: el linfoma primario cutáneo agresivo epidermotrópico de células T citotóxicas CD8 positivo: el linfoma subcutáneo de células T paniculítico; el linfoma cutáneo de células T 7/8 28; el pseudolinfoma CD8 positivo (asociado a pacientes VIH)29; la micosis fungoide variante CD8+ 30; la papulosis linfomatoide; la reticulosis pagetoide; el sín drome de Sezary y el linfoma cutáneo primario de células T pleomórficas pequenas o medianas31.
Otros diagnósticos diferenciales a tener en cuenta por la localización en las orejas son el pseudolinfoma cutáneo (linfocitoma cutis) a causa de la infección por: Borrelia burg dorferi, picaduras de insectos, lupus eritematoso discoide, erupción polimorfa lumínica, hiperplasia angiolinfomatoide con eosinofilia, y menos frecuente el linfoma cutáneo de células B del centro folicular, el linfoma de la zona marginal y el linfoma de Hodgkin6.
En resumen, esta nueva entidad con compromiso facial o extrafacial tiene un comportamiento clínico favorable y se ha convertido en un desafío para el clínico como para el patólogo, ya que el tratamiento, el seguimiento clínico y el pronóstico depende de los otros tipos de linfomas T CD8 positivo. Por lo anterior, el diagnostico se debe realizar considerando: el cuadro clínico; las características histopatológicas; la positividad de los diferentes marcadores de inmunohistoquímica, y la presencia de monoclonalidad.
Responsabilidades éticas
Protección de personas y animales. Los autores declaran que para esta investigación no se han realizado experimen tos en seres humanos ni en animales.
Confidencialidad de los datos. Los autores declaran que en este artículo no aparecen datos de pacientes.
Derecho a la privacidad y consentimiento informado. Los autores declaran que en este artículo no aparecen datos de pacientes.














