Introducción
La actinomicosis es una infección producida por bacterias grampositivas filamentosas, anaerobias, no formadoras de esporas, del género Actinomyces spp.; el Actinomyces israelii es la especie responsable de la mayoría de las actinomicosis evidenciadas clínicamente1. Estas bacterias son comensales colonizadores de los tractos gastrointestinal y genitourinario y pueden expresar su potencial patológico cuando se pierde la integridad de las mucosas2.
El caso que presentamos representa uno de los pocos casos descritos en la literatura médica de empiema por Actinomyces spp. secundario al drenaje de un absceso hepático a la cavidad pleural. En la revisión de la literatura encontramos 7 casos descritos con la asociación de absceso hepático y enfermedad torácica por Actinomyces spp.; solo uno de los casos presentaba antecedente de colecistectomía.
Descripción del caso
Mujer de 60 años de edad que ingresó al Servicio de Urgencias por un cuadro clínico de 2 semanas de evolución de dolor dorsal derecho asociado a fiebre no cuantificada y orina de olor fétido. Previamente había consultado y recibido manejo antibiótico con la sospecha de infección de vías urinarias sin presentar mejoría. Como antecedente relevante, 4 meses antes de la enfermedad actual presentó un cuadro de colecistitis que requirió colecistectomía laparascópica, sin complicaciones aparentes. No tenía antecedente de diabetes ni de algún tipo de inmunosupresión.
Al examen físico de ingreso se documentó desaturada, sin signos de dificultad respiratoria, con disminución del murmullo vesicular en la base pulmonar derecha, dolor a la palpación del abdomen en el flanco derecho y puñopercusión derecha positiva.
No existían alteraciones patológicas en sus piezas dentales.
La radiografía de tórax evidenció una opacidad compatible con derrame pleural derecho; el hemograma demostró leucocitosis con neutrofilia, sin mayores anormalidades en el resto de los paraclínicos (tabla 1).
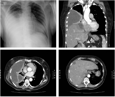
Con el diagnóstico inicial de derrame pleural secundario a neumonía bacteriana se manejó con antibioticoterapia (cefepime y claritromicina). Previamente a la toracentesis diagnóstica se realizó una tomografía computarizada de tórax (fig. 1 ).

Figura 1 Radiografía y tomografía computarizada de tórax (reconstrucciones axial y coronal). Colección pleural derecha lateral y basal, con atelectasia pasiva del parénquima pulmonar adyacente. Lesiones focales en el parénquima hepático con colección subcapsular en contacto con el diafragma que realza con el medio de contraste.
La presencia en la tomografía de colecciones pleurales y lesiones focales hepáticas indicó el diagnóstico de absceso hepático bacteriano drenado a la cavidad pleural. El Servicio de Cirugía General decidió realizar el abordaje quirúrgico de las colecciones. En cirugía se encontraron abscesos hepáticos (2) en los segmentos viii y iva con 800 cc de pus, una perforación diafragmática de 3 cm y 1.000 cc de pus en la cavidad pleural derecha. Los abscesos hepáticos fueron drenados y se realizó decorticación pleural derecha. Durante la cirugía presentó sangrado que requirió transfusión de hemoderivados, soporte hemodinámico y ventilación mecánica durante 5 días en la Unidad de Cuidado Intensivo.
La evolución clínica fue satisfactoria con modulación de la respuesta inflamatoria sistémica. Los hemocultivos y el cultivo del líquido pleural fueron negativos. Al completar 14 días de antibioticoterapia intravenosa, se dio de alta.
El análisis histopatológico del producto de la decorticación pulmonar fue compatible con infección por Actinomyces spp. (fig. 2). La paciente fue contactada para instaurar el manejo antibiótico prolongado que recomienda la literatura para las infecciones por estos gérmenes, en este caso con ampicilina/ sulbactam oral; en el control realizado al mes la paciente evidenciaba mejoría clínica

Figura 2 Tinción de hematoxilina eosina de producto de la decorticación pulmonar, se observa membranas de fibrina con neutrófilos en medio de los que se encuentran conglomerados de bacterias filamentosas grampositivas que conforman "gránulos de azufre" (magnificación original x10). Las coloraciones de Ziehl-Nielsen y BAAR fueron negativas.
Discusión
La incidencia de actinomicosis ha disminuido en las últimas décadas, probablemente por el manejo antibiótico temprano de las infecciones y la implementación de programas de higiene oral1. En la actualidad, la actinomicosis se presenta en cerca de una de cada 300.000 personas al año y es más común en hombres, entre la tercera y séptima décadas de la vida1,3.
En la mayoría de los casos la infección se produce en huéspedes inmunocompetentes, la diabetes y la deficiente higiene oral se consideran los factores de riesgo más importantes para el desarrollo de la enfermedad1,3. Se describe una mayor tasa de letalidad por actinomicosis en pacientes inmunosuprimidos4.
La actinomicosis se caracteriza por colecciones de curso insidioso que no respetan límites tisulares, con trayectos fistulosos a estructuras adyacentes5. Por naturaleza son infecciones polimicrobianas, pero se desconoce el papel que desempeñan los microorganismos acompañantes en la fisiopatología de la enfermedad1.
La enfermedad torácica corresponde del 15 al 45% de los casos de actinomicosis2. Se considera que el principal mecanismo involucrado es la infección del parénquima pulmonar por aspiración de los gérmenes desde la orofaringe2,6. La infección en el tórax se presenta con mayor frecuencia en personas con enfermedad periodontal y alteraciones pulmonares estructurales como bronquiectasias, broncolitiasis y enfisema5-7.
Por el curso clínico y la presentación radiológica, la actinomicosis pulmonar debe considerarse en el diagnóstico diferencial de la neumonía "crónica" y del carcinoma pulmonar2. En los estudios de imágenes las alteraciones predominan en los lóbulos inferiores e incluyen nódulos que confluyen, consolidación (75%) y masa cavitada5-7.
La extensión de la infección del parénquima pulmonar a la pleura puede condicionar engrosamiento pleural y derrame pleural con empiema (en la mitad de los casos)5. También se describe la extensión de la infección al mediastino y a la pared torácica, con formación de fístulas en la piel5,6.
La infección del parénquima hepático representa el 5% de los casos totales de actinomicosis y el 15% de las actinomicosis abdominales3. Con mayor frecuencia la actinomicosis hepática cursa como un absceso único derecho por diseminación hematógena (vía vena cava) de un foco abdominal a distancia o por extensión directa de una infección adyacente3,8. En el 80% de los casos no se logra establecer un mecanismo fisiopatológico3. En un porcentaje pequeño de pacientes se puede establecer la asociación entre la infección con una cirugía abdominal reciente3. La clínica del absceso hepático por Actinomyces spp. es similar a la que se describe en abscesos hepáticos de otra etiología, con fiebre y pérdida de peso como síntomas característicos8.
El diagnóstico de la actinomicosis es tardío por la baja sospecha clínica de la enfermedad, su curso indolente y la dificultad para aislar el germen (por su alta sensibilidad a los antibióticos) 1. Es necesario realizar la tinción de Gram y el cultivo de la muestra de la colección antes del inicio de la terapia antibiótica, o el diagnóstico dependerá del análisis histopatológico1,2. El germen es de crecimiento lento y requiere para su cultivo de medios enriquecidos, en condiciones de anaerobiosis a 37 °C2. Las colonias pueden aparecer luego de 3 a 7 días de incubación, pero para una detección adecuada los cultivos deben ser observados al menos durante 21 días2.
En el estudio histológico se puede visualizar dentro del absceso pequeños conglomerados de microrganismos ramificados rodeados de biofilm denominados "gránulos de azufre", por su color amarillo característico2,5. Con hematoxilinaeosina (HE) se observa abundante cantidad de neutrófilos y eosinófilos que rodean los gránulos, las colonias tiñen basófilas y el material proteináceo de los gránulos tiñe eosinófilo1.
Aunque el hallazgo de los gránulos indica el diagnóstico de la enfermedad, son necesarias las tinciones de Gram, Gomori y Giemsa para descartar la infección por hongos (eumicetoma), por cocos o por bacilos no ramificados (botriomicosis o nocardiosis), que también pueden formar granulaciones2.
La terapia antibiótica es el pilar del tratamiento de la enfermedad. La penicilina G y en general los betalactámicos son la opción inicial de manejo1. Como manejo alterno se puede utilizar macrólidos, doxiciclina o clindamicina; no se recomienda el uso de quinolonas, tetraciclina ni metronidazol1.
Tradicionalmente se ha establecido la duración de la antibioticoterapia de 2 a 6 semanas por vía intravenosa seguidas de 6 a 12 meses por vía oral2. En la actualidad se considera que la terapia debe ser individualizada de acuerdo con la respuesta clínica y radiológica, teniendo en cuenta que tratamientos menores de 3 meses han demostrado ser útiles en actinomicosis torácica, particularmente si tienen manejo quirúrgico asociado9,10.
La cirugía debe considerarse en el contexto de hemoptisis masiva, colecciones torácicas o abdominales de gran extensión o cuando el tratamiento médico fracasa luego de 12 semanas1,10.
En general, el pronóstico de la enfermedad es bueno. Los factores de mal pronóstico incluyen el curso clínico prolongado previo al diagnóstico y la existencia de inmunosupresión asociada4,10.
Conclusiones
A pesar de su baja incidencia, la actinomicosis debe considerarse en situaciones clínicas específicas como en consolidaciones persistentes en los estudios de imágenes del tórax o en pacientes con infecciones cervicales/abdominales de curso clínico prolongado, con colecciones sin causa aparente.
Para el diagnóstico de la actinomicosis es esencial una correcta aproximación clínica y bacteriológica inicial; si esto no ocurre la identificación del germen requerirá del análisis anatomopatológico.
Responsabilidades éticas
Protección de personas y animales. Los autores declaran que para esta investigación no se han realizado experimentos en seres humanos ni en animales.
Confidencialidad de los datos. Los autores declaran que en este artículo no aparecen datos de pacientes.
Derecho a la privacidad y consentimiento informado. Los autores han obtenido el consentimiento informado de los pacientes y/o sujetos referidos en el artículo. Este documento obra en poder del autor de correspondencia.














