Services on Demand
Journal
Article
Indicators
-
Cited by SciELO -
Access statistics
Related links
-
Cited by Google -
Similars in
SciELO -
Similars in Google
Share
Investigaciones Andina
Print version ISSN 0124-8146
Investig. andina vol.13 no.22 Pereira Apr. 2011
PARACOCCIDIOIDOMICOSIS CRÓNICA. REPORTE DE UN CASO
CHRONIC PARACOCCIDIOIDOMYCOSIS A CASE REPORT
PARACOCCIDIOIDOMICOSIS CRÓNICA. REFERÊNCIA A UM CASO.
William Arciniegas Quiroga*
Dora Luisa Orjuela Zuluaga**
* Médico Neumólogo. Docente facultad de Ciencias de la salud, Universidad Tecnológica de Pereira
** Médica especialista en medicina Interna. Docente facultad de Ciencias de la salud, Universidad Tecnológica de Pereira
Resumen
El pulmón es el órgano frecuentemente más afectado por paracoccidioidomicosis, con manifestaciones clínicas y radiológicas similares a otras patologías.
Presentamos el caso: agricultor de 58 años, con síntomas de tos, expectoración hemoptoica, fiebre, pérdida de peso y astenia. El diagnóstico fue confirmado con directo de lavado broncoalveolary serología. Elpaciente fue tratado con itraconazol durante 6 meses con seguimiento clínico, radiológico e inmunodifusion.
Palabras clave: Micosis; Paraccocidioidomicosis, Presentación Clínica; Diagnóstico.
Abstract
The lung is the organ but frequently affected by Paracoccidioidomycosis, with similar clinical and radiological manifestations to other pathologies. We present the case, 58 year-old farmer, with symptoms of cough, blood-tinged sputum, fever, lost of weight and fatigue. The diagnoses it was confirmed with direct of having washed broncoalveolar, serología. The patient was treated with itraconazol during 6 months with clinical, radiological pursuit and inmunodiffusion.
Keywords: Fungus Diseases; Paracoccidioidomycosis; Clinical Presentations; Diagnosis.
Resumo
O pulmão é o órgão freqüentemente mais afetado pelo paracoccidioidomicoses, com manifestações clínicas e radiológicas similares a outras patologias.
Apresentamos o caso: agricultor de 58 anos, com sintomas de tosse, expectoração hemática, febre, perda de peso e astenia. O diagnóstico foi confirmado com lavagem bronco alveolar e sorologia. O paciente foi tratado com itraconazol durante 6 meses com acompanhamento clínico, radiológico e imuno-difusão.
Palavras chave: Micoses; Paracoccidioidomicoses, Apresentação Clínica; Diagnóstico.
Fecha de recibo: Octubre/2010
Fecha aprobación: Enero/2011
Introducción
La Paracoccidioidomicosis (PCM) es una micosis sistémica, crónica, granulomatosa, descrita por Adolfo Lutz en 1908. Es autóctona de América Latina y la más alta incidencia está en Suramérica (Brasil, Argentina, Colombia, Venezuela). Es endémica de la población rural, afecta más hombres 1:10 con edad entre 30 y 60 años. Se relaciona con actividades agrícolas y ganadería.
El agente etiológico el paracoccidioides brasiliensis es un hongo dimórfico, térmico, crece como un moho blanco entre temperaturas de 4° a 25°C, se reproduce por gemación. Generalmente tiene un curso progresivo, presenta una forma aguda tipo juvenil y otra crónica, afecta principalmente el pulmón seguido de la piel, membranas mucosas, suprarrenales, sistema retículo endotelial (1). Se caracteriza por largos periodos de latencia y en ocasiones los síntomas pueden presentarse en pacientes que no proceden de un área endémica (2).
Borelli creó el término 'reservorio' para indicar el sitio particular que es el habitat natural y el sitio de infección. En Colombia 940 casos registrados en 30 años se localizaron en 216 municipios del país (23%), y el 43% corresponden al lugar de nacimiento y sitio de residencia por largo periodo (3).
En ausencia de tratamiento específico la mortalidad es alta.
Presentación del caso
Hombre de 58 años, agricultor, desplazado, casado, escolaridad primaria, procedente del área rural de municipio de la Ceja, departamento de Antioquia; desde hace 3 meses vive en Dosquebradas (Colombia).
Ingresa por síntomas de 6 meses de evolución de malestar general, tos con expectoración amarilla y ocasionalmente hemoptoica, fiebre, astenia, adinamia y pérdida de peso cuantificada en 5 kilos durante este periodo.
Tratamiento recibido: Ciprofloxacina 500 mg cada 12 horas durante 10 días y acetaminofen sin mejoría.
Antecedentes personales: niega HTA, diabetes, dislipidemia, fumador de 40 paquetes año; niega ingesta de alcohol y drogas ilícitas.
Antecedentes familiares: madre HTA, 2 hermanos sanos, al igual que sus dos hijos.
Examen físico: talla: 1.60m, peso: 47 kilos; TA: 120/ 80, frecuencia respiratoria: 20/minuto, frecuencia cardiaca: 86/minuto IMC: 18.35, T° 38.5° C. Regular estado general, febril, ansioso, adenopatía submandibular derecha de 2 x 2 cm. dolorosa, orofaringe normal, ruidos cardiacos rítmicos, de buena intensidad, taquicárdicos, no hay soplos, ni frote, murmullo vesicular con hipoventilación generalizada, retracciones intercostales y crepitos bibasales bilaterales.
Abdomen: blando,depresible, nohaydolor a la palpación, no hay visceromegalias Extremidades: normal, Piel: sin lesiones. Sistema nervioso central; normal.
Exámenes de laboratorio
Cuadro hemático: leucocitos 13. 720, neutrófilos 85%, linfocitos 15%, hemoglobina 11.1, hematocrito: 32.4, VCM 88, RDW 12.4%, HMC 34, plaquetas 304.000, velocidad sedimentación globular 40, reticulocitos 1.0, Creatinina 1.1, GOT 37 y GPT 40.
Gases arteriales: FiO2 al 21% PH: 7.45, PaO2: 53.7 mmHg, PCO2: 34 mmHg, HCO3: 34.9 mmol/L, BE: 10 mmol/L, Saturación 02:87.7%.
VIH: negativo.
Baciloscopias seriadas: 3 muestras negativas para BAAR.
Colesterol: 289, triglicéridos: 120, HDL: 50, ácido úrico: 3.2, glicemia: 92, parcial orina: normal, electrocardiograma: eje normal, sinusal, taquicardia 110 por minuto.
Espirometria: alteración ventilatoria obstructiva de carácter moderado.
Radiografía de Tórax: infiltrados alveolares e intersticiales bilaterales, parahiliares, atrapamiento aéreo (figura 1)
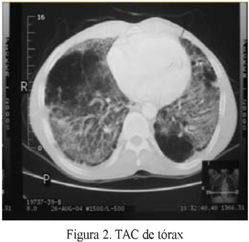
Tomografía de Tórax: infiltrados alveolares bilaterales con áreas en vidrio esmerilado, con zonas hiperlucidas compatibles con bulas (figura 2)
En el centro de Salud a pesar de baciloscopias negativas le inician tratamiento antituberculoso. Después de 4 meses de tratamiento la remiten por falta de mejoría.
Serología para hongos:
IDA:(inmunodifusión en Gel Agar) Paracoccidioidina: reactiva con banda 1 Fijación del Complemento: reactiva: títulos > 1: 1.024
Estudios Diagnósticos
Broncoscopia: endobronquitis moderada bilateral en bronquios fuentes. Lavado broncoalveolar: BAAR: negativo, KOH: positivo para levaduras en timón de barco.

Inició tratamiento con itraconazol 200 mg al día, durante 6 meses.
El ganglio ha desaparecido.
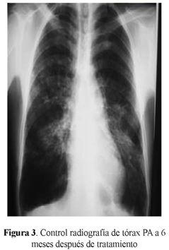
Evolución: al sexto mes de tratamiento control de inmunodifusión en gel Agar: negativo, fijación del complemento: reactiva 1:512, radiografía de tórax (figura 3)
Discusión
La enfermedad se adquiere por la inhalación del hongo; las microconidias alcanzan la vía aérea inferior, donde se forma un complejo primario y de allí se disemina a órganos extrapulmonares a través de vía linfohematogena. La generación de la enfermedad depende del inóculo, patogenicidad, virulencia, estado inmune del paciente y posibles factores genéticos. Puede permanecer latente y originar una reactivación endógena produciendo la forma crónica en adultos; es endémica en el área subtropical de América Latina, principalmente en Brasil, donde aparecen el 80% de casos. La forma juvenil es siempre diseminada y menos prevalente (4).
Tiene un amplio espectro de manifestaciones clínicas. La forma crónica unifocal es la presentación más común, acompañándose de astenia, pérdida de peso, tos, disnea, expectoración mucopurulenta y hemoptoica: Esta forma se presentó en nuestro caso. Un 51% afecta mucosa bucofaríngea, algunas veces sin compromiso pulmonar.
La radiografía de tórax presenta lesiones intersticiales y en ocasiones alveolares, centrales, bilaterales con áreas hiperlucidas en las bases. La tomografía de alta resolución presenta nódulos, opacidades en vidrio esmerilado, patrón en árbol de gemación, lesiones acinares, bandas parenquimatosas, engrasamiento intersticial peribroncovascular, cavernas, patrón reticular, bulas y bronquiectasias por tracción. Esta forma clásica se presentó en nuestro caso, pero posiblemente asociado a enfermedad pulmonar obstructiva crónica EPOC. La resolución dejó fibrosis pulmonar (5).
La forma multifocal es caracterizada por compromiso extrapulmonar como piel, mucosa oral, faringe, laringe, suprarrenales; el sistema nervioso central se manifiesta con epilepsia en un 44%.
En 81 estudios publicados con 257 casos, 93% eran hombres, con mortalidad del 44%, ganglios, intestino, sistema osetoarticular, epidídimo, hígado y bazo. Puede causar síndrome de dificultad respiratoria del adulto (7).
En pacientes con SIDA puede ser la primera manifestación en un 60%.
Los principales diagnósticos diferenciales son la tuberculosis, histoplasmosis por su similitud clínica y radiológica. En nuestro caso le fue iniciado tratamiento antituberculoso con baciloscopia negativa y nuevamente estudiado por no mejoría. Otro diagnóstico diferencial cuando se presentan lesiones ganglionares es el linfoma de Hodgkin; en mucosa oral el diagnóstico diferencial es el carcinoma y en lesiones cutáneas se debe diferenciar con leishmaniasis, actinomicosis y Wegener.
El diagnóstico definitivo es por demostración del hongo en material de biopsia, secreciones o cultivo de esputo.
También debe hacerse examen directo con hidróxido de potasio al 10% en esputo, igual que para exudado de lesiones ulcerativas, pus de fístulas ganglionares. Las levaduras pueden estar solas o agrupadas produciendo su característica estructural en timón de barco ya que es un agente multigemante. Las biopsias de tejidos se deben colorear con las tinsiones de grocot, gomori, metenamina de plata. El ácido peryódico de Schiff reporta una reacción inflamatoria aguda y crónica, con granulomas bien o escasamente formados.
La inmunodifusión en doble gel de agar tiene sensibilidad del 90% y especificidad 100%; se reportan de 1 a 3 bandas de precipitación: la banda 1 y 2 son específicas, la banda 3 tiene reacción cruzada con coccidiodomicosis y éstas desaparecen cuando hay curación, por eso también se utiliza como prueba de seguimiento.
La fijación de complemento se hace positiva en etapas tardías: títulos de 1:8 o mayores, indican infección. El estudio Elisa detecta el antígeno circulante del hongo en un 100% en la forma aguda y unifocales. La técnica de PCR con iniciadores para los genes 5.8S, 28S, y las regiones intergénicas del ADN ribosomal son útiles para el diagnóstico y estudios epidemiológicos (8).
La detección de antígenos específicos en lavado broncoalveolar sirve en el diagnóstico, principalmente en etapas tempranas de la enfermedad. (9)
La paracoccidiodina es una prueba intradérmica y se utiliza como arma epidemiológica para demostrar contacto previo; se considera positiva cuando supera los 10 milímetros.
El daño pulmonar progresa a fibrosis produciendo hipoxemia y disfunción ventilatoria. En este caso inicialmente con hipoxemia severa sin hipercapnia. El tratamiento debe ser con itraconazol que es la mejor opción en forma leve y moderada, a dosis de 100 a 300 mg/día por 6 a 12 meses; el fluconazol 400 mg al día durante 3-6 meses; el trimetoprin sultametoxaxol es una alternativa: 800+160 cada 12 horas. La anfotericina B para las formas severas 1 mg/kilo/día, para un total de 25-35 mg /kilo hasta la mejoría, puede darse tratamiento vía oral.
Los criterios de cura son el mejoramiento micológico, clínico, radiológico, estabilización de inmunodifusión en doble gel de agar con resultados 1:2 o negativo (10).
Las principales secuelas son: insuficiencia respiratoria, insuficiencia suprarrenal, disfonía, obstrucción laríngea, epilepsia, hidrocefalia. Las medidas preventivas son difíciles de implementar porque el origen de la infección es desconocido. No se trasmite persona a persona.
• La paracoccidioidomicosis es una de las más frecuentes micosis en Latinoamérica.
• Se relaciona con el área rural.
• El diagnóstico diferencial es amplio; el diagnóstico clínico y de laboratorio debe realizarse tan temprano como sea posible con exámenes concluyentes, para iniciar un adecuado manejo terapéutico y evitar secuelas severas.
• Se confunde fácil con TBC.
REFERENCIAS
1 Restrepo A, Benard G, Castro C, Agudelo C, Tobón A. Pulmonary Paracoccidioidomycosis. Semin Respir Crit Care Med 2008; 29(2): 182-97 [ Links ]
2 Restrepo A. Paracoccidioides brasiliensis. In: Mandell GL, Bennett JE, Dolin R, eds. Principles and practice of infectious diseases. New York: Churchill Livingstone, 2000; 2768-72. [ Links ]
3 Calle D, Rosero D S, Orozco L C, Camargo D, Castañeda E and Restrepo A. Paracoccidioidomycosis in Colombia: an ecological study. Epidemiol. Infect. 2001; 126: 309-315. [ Links ]
4 Ferreira MS. Paracoccidioidomycosis. Paediatr Respir Rev. 2009 Dec; 10(4):161-5. [ Links ]
5 Marchiori E, Valíante PM, Mano CM, Zanetti G, Escuissato DL, Souza AS Jr, Capone D. Paracoccidioidomycosis: High-resolution computed tomography-pathologic correlation. Eur J Radiol. 2009 in press. [ Links ]
6 Pedroso VS, Vilela Mde C, Pedroso ER, Teixeira AL. Paracoccidioidomycosis compromising the central nervous system: a systematic review of the literature. Rev Soc Bras Med Trop. 2009 Dec; 42(6): 691-7. [ Links ]
7 Benard G, Costa AN, Ravanini J, Goulart S, Nicodemo EL, Barbas CS, Ferraz da Silva LF. Fatal acute respiratory distress syndrome in a patient with paracoccidioidomycosis: first case report. Med Mycol. 2010; 48(3):542-5. [ Links ]
8 Fernández R, Arenas R. Paracoccidioidomicosis. Actualización. Dermatología 2009. Rev Mex; 53(1):12-21 [ Links ]
9 Marques-da-Silva S H, Lopes Colombo A, Souza Lima Blotta. M H. Diagnosis of Paracoccidioidomycosis by Detection of Antigen and Antibody in Bronchoalveolar Lavage Fluids. Clinical and vaccine immunology. 2006, Dec: 1363-66 [ Links ]
10 Vargas J, Vargas R. Paracoccidioidomicosis. Rev. de Enfermedades Infecciosas y Tropicales, 2009; 1( 1): 49-56 [ Links ]















