Services on Demand
Journal
Article
Indicators
-
Cited by SciELO -
Access statistics
Related links
-
Cited by Google -
Similars in
SciELO -
Similars in Google
Share
Colombia Médica
On-line version ISSN 1657-9534
Colomb. Med. vol.38 no.1 Cali Jan./Mar. 2007
Neurocisticercosis frontal y déficit de atención
Miriam Barboza, M.D.1, Sandra Sepúlveda, M.D.2, Dilia Montalvo, M.D.2
- 1. Docente Titular, Universidad de Cartagena, Cartagena, Colombia. e-mail:mirbar2001@yahoo.com
- 2. Pediatra, Universidad de Cartagena, Cartagena, Colombia. e-mail: sandrasepulveda2005@yahoo.com e-mail: mailto:sandrasepulveda2005@yahoo.com
- Recibido para publicación febrero 6, 2006 Aceptado para publicación enero 4, 2007
- 2. Pediatra, Universidad de Cartagena, Cartagena, Colombia. e-mail: sandrasepulveda2005@yahoo.com e-mail: mailto:sandrasepulveda2005@yahoo.com
RESUMEN
Introducción: La neurocisticercosis (NCC), es la parasitosis más frecuente del sistema nervioso central. La epilepsia, las disfunciones del tracto piramidal, el incremento de la presión intracraneana y el deterioro intelectual son las manifestaciones clínicas más usuales en esta entidad.
Materiales y métodos: Se revisan cinco casos de neurocisticercosis de localización frontal comprobados por estudios de neuroimágenes; los pacientes presentaron como síntomas déficit de atención y en cuatro de ellos crisis epilépticas focales. A todos se les realizó electroencefalograma, ELISA en sangre y a cuatro en líquido cefalorraquídeo. Todos se trataron con albendazol y carbamazepina. Además, se les prescribió metilfenidato como manejo farmacológico para el déficit de atención.
Resultados: En todos los pacientes se encontró al examen físico inquietud, gran distracción e impulsividad. La tomografía cerebral detectó en la mayoría de los casos la lesión (80%) y en un caso fueron necesarios estudios de resonancia magnética cerebral para comprobarla. Sólo en un caso el electroencefalograma fue anormal, pues se observaron ondas lentas focales temporo-occipitales. En cuatro pacientes la tomografía cerebral de control mostró lesiones calcificantes de localizaciones frontales después del manejo antiparasitario. Con ninguno de los medicamentos se observaron efectos nocivos.
Conclusión: Los pacientes con NCC frontal pueden presentar trastornos de déficit de atención e hiperactividad; esto se explicaría por la disfunción frontoestriatal, como sucede en el síndrome de trastorno de déficit de atención e hiperactividad (TDAH). En zonas endémicas de NCC como las de Colombia es prudente considerar esta entidad en niños con sintomatología TDAH, sobre todo si no hay ningún antecedente neuroconductual previo, pues los niños con trastornos neurológicos estructurales pueden presentar síntomas de TDAH.
Palabras clave: Neurocisticercosis; Lóbulo frontal; Trastornos de déficit de atención.
Frontal neurocysticercosis and attention deficit
SUMMARY
Introduction: Neurocysticercosis (NCC) is the most common parasitic disease of the central nervous system. Epilepsy, pyramidal tract dysfunction, increased intracranial pressure and intellectual deterioration are the most frequently recognized clinical manifestations of NCC.
Materials and methods: A total of five cases of frontal neurocysticercosis with diagnosis made by neuro-imaging studies are discussed. Symptoms as focal seizures associated to attention deficit were found. To all of them EEG, ELISA in blood and to four in LCR were carried out. Patients were treated with albendazol and carbamazepine. Methylphenidate as a pharmacologic treatment for attention deficit was also prescribed.
Results: All of the patients had restlessness to the physical examination, they were impulsive and had inattention. The cerebral computed tomography detected in most of the cases injury (80%) and in one case it was necessary to make additional magnetic resonance imaging to verify it. Only in one case the electroencephalogram was abnormal, with slow temporo-occipital waves observed. CT showed frontal calcificated injuries, after medical treatment. There were no side effects to medication.
Conclusion: Patients with frontal NCC may display upheavals of attention deficit and hyperactivity, that could be explained by the dysfunction frontostriatal theory, as it happens in the attention deficit and hyperactivity disorder (ADHD). In endemic zones of NCC like Colombia, it is necessary to consider this condition in children presenting symptoms of ADHD, especially in pediatric patients without any previous conduct disorder, since there are children with structural neurological upheavals with ADHD symptoms.
Keywords: Neurocysticercosis; Frontal lobe (LF); Attention deficit disorder.
La neurocisticercosis (NCC) se produce cuando la larva de la Taenia solium invade al sistema nervioso central; esta entidad constituye un serio problema de salud pública en América Latina, África y Asia. Es endémica en varios países de Sudamérica, como Brasil, Ecuador, Perú y Colombia, y es la parasitosis más frecuente del SNC1,2.
En los niños predomina después de los 4 años, pero también se han descrito casos antes de los 2 años3,4. La baja frecuencia de esta entidad en niños se atribuye al prolongado período de incubación de la enfermedad, que tiene un promedio de 4.8 años4-8. El diagnóstico en niños menores de 2 años en áreas endémicas sugiere contaminación oral, precarias condiciones higiénicas e infestación intradomiciliaria5,6,8.
La sintomatología es pleomórfica1,9 y depende del número de quistes, así como de la respuesta inflamatoria del huésped y su localización, ya sea parenquimatosa, meníngea, ventricular o medular1,6; los síntomas aparecen por lo general cuando el parásito inicia el proceso de destrucción 1,6. La epilepsia es la manifestación clínica más común y se presenta entre 70% y 90% de los pacientes10-12, y es más común en niños6,10. Otros síntomas son déficit motores en 4% de los niños y 16% de los adultos6, hipertensión intracraneal11, hidrocefalia, trastornos del movimiento11,13,14. Se han descrito en los adultos déficit neurocognitivo y trastornos psiquiátricos casi siempre de tipo depresivo6 y en los niños se han encontrado trastornos del aprendizaje en 24% y cambios conductuales en 12%6. El tratamiento se basa en el uso de medicamentos cesticidas como el albendazol y el praziquantel asociados con anticonvulsivantes en caso de las crisis epilépticas1,14.
Son conocidas las funciones de la corteza prefrontal y de los circuitos frontoestriados en la planificación de las acciones, la memoria perceptiva a corto plazo (memoria de trabajo) para retener la información sensorial relevante, resolución de problemas, conceptualización, incorporación de sentimientos en la toma de decisiones, control de la atención e inhibición de respuestas inadecuadas, entre otras15-23. Por tanto, las lesiones a este nivel pueden determinar dificultades en el razonamiento, trastornos de la atención, del aprendizaje asociativo, de la memoria de trabajo, de la conducta, del control de las emociones y de la planificación de las acciones, lo que se observa en el trastorno por déficit de atención (TDA)21-23.
Se presentan a continuación 5 pacientes con NCC localizada en lóbulo frontal a quienes se les diagnosticó además un TDA.
MATERIALES Y MÉTODOS
Se revisan las historias clínicas de cinco pacientes con diagnóstico de NCC en el período comprendido de mayo de 1996 a octubre de 1999, comprobado con base en criterios clínicos y neuro-radiológicos, mediante TAC y RMN. Los pacientes incluidos en este estudio presentaron déficit de atención e hiperactividad y en 4 de ellos se se asociaron con estos síntomas crisis focales motoras. A todos se les practicó una TAC de cráneo al inicio y a dos RMN. Además se les hizo ELISA en sangre y a cuatro ELISA en LCR y electroencefalograma (EEG). Todos los pacientes recibieron tratamiento con albendazol 15 mg/kg/día por 15 días para la NCC y se prescribió carbamazepina para el control de las crisis epilépticas en los que presentaron esta manifestación. Todos recibieron metilfenidato 0.3-0.6 mg/kg como manejo farmacológico del déficit de atención. En todos los casos se les realizó TAC de control entre los 3 y 6 meses después de haber recibido tratamiento, y actualmente están en controles neuropediátricos.
RESULTADOS
Los pacientes incluidos en este estudio fueron del sexo femenino, con edades de presentación comprendida entre los 2 y los 6 años de edad. En 80% de los casos el motivo de consulta inicial fue el de crisis focal motora, cefalea en 20% y atención dispersa en 20%. Estos pacientes manifestaron síntomas de déficit de atención, bajo rendimiento académico, con un tiempo de evolución comprendido entre 2 y 8 meses (Cuadro 1).
No hubo antecedentes epidemiológicos de NCC en los pacientes. Dentro de los antecedentes personales de importancia se encontró sufrimiento fetal en un niño y epilepsia desde la edad neonatal en el segundo caso. Sólo un paciente mostró otras alteraciones en el examen físico como: bradipsiquia, bradilalia y torpeza motora (Cuadro 2).
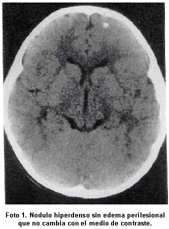
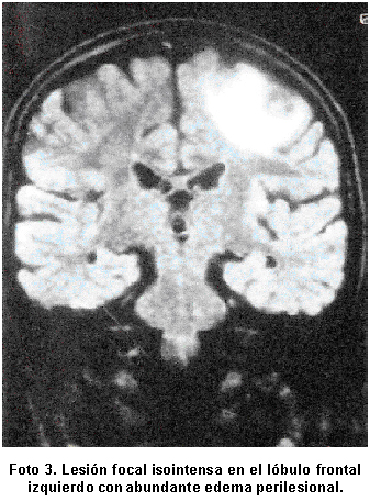
En el Cuadro 3 se describen las lesiones parasitarias halladas en los estudios de neuroimagen, que se localizaron en el lóbulo frontal (Foto 1) y (Foto 2). La TAC evidenció lesiones en cuatro pacientes y sólo en un caso se requirió la RMN para detectar lesión estructural (Foto 3). La tomografía de control reveló lesiones calcificadas en 4 pacientes (80%) y resultó normal en un caso. El estudio electroencefalográfico mostró ondas lentas focales de localización temporo-occipital bilateral en una paciente. La prueba de ELISA fue negativa en todos los casos.
A todos los pacientes se prescribió albendazol como tratamiento para neurocisticercosis y carbamazepina como antiepiléptico, no se informaron efectos deletéreos. Todos además recibieron metilfenidato con mejoría de los síntomas de déficit de atención.
DISCUSIÓN
Durante más de un siglo se ha descrito la asociación entre funciones intelectuales superiores y regiones del lóbulo frontal, considerándose éste el órgano «superior de la civilización»15,16,22. Este lóbulo no actúa como una unidad funcional, sino que se puede dividir en distintas regiones como son: el córtex precentral, que incluye el área promotora y motora suplementaria y sus proyecciones proceden de los núcleos ventromediales; el córtex cingular, con proyecciones que provienen del núcleo ventral anterior; y el córtex prefrontal que recibe proyecciones que provienen del núcleo dorsomedial del tálamo17.
La corteza prefrontal (CPF) constituye el nivel más elevado en la jerarquía cortical dedicada a la representación y ejecución de acciones15-18,22,23. Las funciones de la CPF se ligan íntimamente a su conectividad con gran variedad de estructuras cerebrales, es decir, se trata de una corteza integradora de información que comprende un conjunto de áreas neocorticales interconectadas que envía y recibe proyecciones de casi todos los sistemas sensoriales corticales y motores, además posee conexiones con estructuras subcorticales, principalmente con el tálamo, hipotálamo y el sistema límbico, lo que explica su participación en el control del comportamiento emocional18.
Las tres funciones cognoscitivas básicas de la corteza prefrontal y circuitos frontoestriados son:
- La memoria a corto plazo motora y la preparación para la acción.
- La memoria perceptiva a corto plazo (memoria de trabajo).
- El control inhibitorio para eliminar el efecto de los estímulos irrelevantes que permiten dirigir la atención hacia la acción17,21,23.
La primera función cognoscitiva se trata de una función prospectiva temporal que prepara al organismo para las acciones de acuerdo con la información sensorial; es decir, hay una planificación de las acciones además de la regulación de éstas de acuerdo con los resultados obtenidos, con el fin de proseguir y rectificar o modular la acción a fin de conseguir una meta o resolver un problema determinado. Esta función se atribuye a la corteza frontal dorsolateral17,20.
La memoria de trabajo se entiende como parte de un sistema de atención que permite retener en forma temporal los informes para solucionar un problema o una operación mental16,17,19,20,22.
La tercera función ejecutiva se refiere al control inhibitorio que suprime estímulos internos y externos que puedan interferir en la conducta, en el habla o en la cognición para lograr que se focalice la atención y la concentración en tareas de rendimiento continuo16,17,20.
La importancia de la atención como función cognitiva se une a su relevancia como proceso básico, subyacente y necesario para que el resto de procesos cognitivos superiores se desarrollen con eficacia. Los estudios de neuroimagen funcional confirman la participación de varias regiones cerebrales en diversas tareas de atención (automática o voluntaria) como la región cingular, corteza motora, putamen, cerebelo, parietal inferior y corteza prefrontal dorsolateral; estas regiones se podrían relacionar entre sí y constituir una red de conexiones nerviosas o network funcionalmente activa en tareas que requieran la participación de los aspectos controlados o voluntarios de la atención19.
Además del control cognitivo la corteza prefrontal desempeña un papel importante en otras funciones cerebrales superiores como el control de la conducta y del afecto, la incorporación de los sentimientos en la toma de decisiones y la motivación20.
Las lesiones en los lóbulos frontales van a implicar cambios en todas las funciones cognitivas como dificultades en la planeación de acciones, en el razonamiento, en la resolución de problemas, en la formación de conceptos, en el ordenamiento temporal de los estímulos, en mantener la información en la memoria de trabajo; fracaso en el aprendizaje condicionado y asociativo, trastornos de la atención, dificultades en el sostenimiento de la atención (incapacidad de concentración), distracción anormal, hiperactividad a los estímulos sensoriales; pérdida del control inhibitorio que se manifiesta como irritabilidad, hiperactividad e impulsividad; trastornos de la motivación, apatía, mutismo, conductas de imitación, poca capacidad de respuesta y dirigir inadecuadamente la emotividad16,17,21,24.
En esta revisión, cuatro de los pacientes con neurocisticercosis presentaron trastornos de la atención y bajo rendimiento escolar, síntomas que no fueron alarmantes inicialmente para los padres, estos sólo consultaron al aparecer las crisis epilépticas. Es posible que ante la ausencia de crisis no se hubiese realizado la TAC, porque se habría confundido con el trastorno por déficit de atención e hiperactividad (TADH). Es importante destacar el caso de la niña que traen a la consulta por un déficit de atención con bajo rendimiento escolar y antecedentes previos de ser una estudiante de rendimiento académico normal, lo que motivó los estudios de neuroimagen donde se encontró una lesión frontal compatible con neurocisticercosis, que desaparece después del tratamiento médico. Esta niña nunca presentó crisis epiléptica pero sí continuó con trastornos escolares, lo que hace cuestionar una posible secuela cognitiva de la neurocisticercosis.
El diagnóstico diferencial se hizo con el trastorno de déficit de atención e hiperactividad (TADH), que se caracteriza por niveles inapropiados de atención, exceso de actividad motriz e impulsividad25-27. Se plantea que es un trastorno genético y los estudios se han centrado en los genes de receptor de la dopamina y del transportador de la dopamina26-28, esto es congruente con el efecto farmacológico de los medicamentos utilizados en este síndrome, como el metilfenidato y las anfetaminas que incrementan la liberación de la dopamina, y las anfetaminas que bloquean el transportador de la dopamina29. La alteración genética descrita llevaría consigo a la disfunción de los circuitos frontoestriales, que son parte esencial del sustrato neurofisiológico de las funciones ejecutivas, las cuales se encuentran alteradas en estos niños26-28.
Los criterios para su diagnóstico han sido establecidos por el DSM-IV y se requiere que persistan por más de 6 meses y se presenten en dos o más medios diferentes25,30,31. Se han encontrado lesiones anatómicas en los niños con TADH al compararlas con testigos, tales como diferencias en los núcleos caudados y pálido y en la corteza frontal premotora, disminución en el volumen del cerebro, la sustancia blanca y el cerebelo32,33.
Los niños con trastornos neurológicos estructurales pueden presentar también síntomas del TADH, entre los cuales están el trauma craneoencefálico grave con lesiones de los lóbulos frontales28. También en algunos síndromes neurológicos como el de Tourette, alcohol fetal, cromosoma X frágil Williams, Angelman28,34,35. Otras entidades donde se encuentran síntomas del TADH son esclerosis tuberosa36, intoxicación por plomo28, tabaquismo materno durante el embarazo37, secundario a quistes aracnoideos en el lóbulo temporal38, en el autismo39. Se ha sugerido que las complicaciones neonatales son más frecuentes en niños con TADH si se comparan con los hermanos que no tienen estos antecedentes40.
No hay una prueba definitiva del funcionamiento ejecutivo y no se ha encontrado una prueba neuropsicológica relacionada o alguna serie de pruebas que permitan validar los criterios de TADH32,41, o que permitan distinguir entre TADH con los que tengan padecimientos relacionados30,42.
A todos los pacientes se prescribió metilfenidato y se obtuvo mejoría de los niveles de atención, lo que sugiere que un daño estructural producido por lesiones como la neurocisticercosis puede alterar funcionalmente la vía frontoestriatal. En la serie de Sánchez-Carpintero21 dos pacientes con lesiones frontales tempranas desarrollaron alteraciones conductuales similares a las que se presentan en los niños con TADH, que precisaron tratamiento estimulante como en los pacientes que aquí se comentan.
En conclusión, la neurocisticercosis de localización frontal puede manifestarse con síntomas del trastorno por déficit de atención, además de crisis epilépticas. Esta relación se explicaría por la teoría de la disfunción frontoestriatal, alteración de las funciones ejecutivas del lóbulo frontal secundario al daño estructural por las lesiones de la NCC. Es necesario hacer seguimiento a esos niños porque se ha demostrado que el TADH puede persistir en la vida adulta en 50%43, además en la serie de Singh & Singghi6 encontraron que NCC en niños puede presentar síntomas como trastornos de aprendizaje en 24% y trastornos conductuales en 12%. Sin embargo, no todos los pacientes con lesiones del lóbulo frontal tienen mal pronóstico, cuando éstas ocurren en edades tempranas hace pensar que los fenómenos de plasticidad neuronal pueden ser a veces efectivos21 y no tan de mal pronóstico como en otros casos44.
REFERENCIAS
1. Del Brutto OH. Neurocisticercosis. Acta Neurol Colomb 2000; 16: 28- 41. [ Links ]
2. Botero P. Estudio sobre neurocisticersosis. Rev UIS Med 1986; 14: 19-34. [ Links ]
3. Mitchell W, Crawford T. Intraparenchimae cerebral cysticercosis in children: diagnosis and treatment. Pediatrics 1988; 82: 76-82. [ Links ]
4. Cuéllar R, Molinero M, Ramírez F, Vallejo R. Manifestaciones clínicas de la neurocisticercosis cerebral activa en pediatría. Rev Neurol 1999; 29: 334-337. [ Links ]
5. Ruiz-García M. Neurocysticercosis in children. Clinical experience in 122 patients. Child Nerv Syst 1997; 13: 608-612. [ Links ]
6. Singh O, Singghi S. Neurocystercosis in children. J Child Neurol 2004; 19: 482-492. [ Links ]
7. Talukdan B, Saxena A, Kumar-Poplin V. Neurocysticercosis in children: clinical characteristics and outcome. Ann Trop Pediatric 2002; 22: 333-339. [ Links ]
8. Morales NM, Agapegev S, Morales RR, Padula NA, Lima MM. Clinical aspects of neurocysticercosis in children. Pediatric Neurol 2000; 22: 287-291. [ Links ]
9. Barry M, Kaldjian LC. Neurocysticercosis. Semin Neurol 1993; 13: 131-143. [ Links ]
10. Alarcón F. Neurocisticercosis: etiopatogenia manifestaciones clínicas, diagnóstico y tratamiento. Rev Neurol 2006; 43 (Supl 1): 93-100. [ Links ]
11.Del Brutto OH. Neurocysticercosis. Semin Neurol 2005; 25: 243-251. [ Links ]
12. Nash TE, Del Brutto OH, Butman JA, Corona T, Delgado-Escueta A, Duron RM, et al. Calcific neurocysticercosis and epileptogenesis. Neurology 2004; 62: 1934-1938. [ Links ]
13. Carpio A. Neurocysticercosis: an update. Lancet Infect Dis 2002; 2: 751-762. [ Links ]
14.Troiano AR, Micheli FE, Alarcon F, Teive HAG. Movement disorders in Latin America. Parkisonism Relat Disord 2006; 12: 125-138. [ Links ]
15. Guyton A, Hall J. Tratado de fisiología médica. 10ª ed. México: McGrawHill Interamericana; 2001. p.799-814. [ Links ]
16.Allegri RF, Harris P. La corteza prefrontal en los mecanismos atencionales y la memoria. Rev Neurol 2001; 32: 449-453. [ Links ]
17. Jodar VM. Funciones cognitivas del lóbulo frontal. Rev Neurol 2004; 39: 178-182. [ Links ]
18. Puig MV, Celada P, Artigas F. Control serotoninérgico de la corteza prefrontal. Rev Neurol 2004; 39: 539-547. [ Links ]
19.Ojeda N, Ortuño F, López P. Bases neuroanatómicas de la atención mediante PET-15O: el papel de la corteza prefrontal y parietal en los procesos voluntarios. Rev Neurol 2002; 35: 501-507. [ Links ]
20. Artigas-Pallarés J. Comorbilidad en el trastorno por déficit de atención/hiperactividad. Rev Neurol 2003; 38 (Supl): 68-78. [ Links ]
21. Sánchez-Carpintero R, Narbona J. El sistema ejecutivo y las lesiones frontales en el niño. Rev Neurol 2004; 39: 188-191. [ Links ]
22. Niedermeyer E. Frontal lobe functions and dysfunctions. Clin Electroencephalogr 1998; 29: 79-90. [ Links ]
23. Fuster JM. Sinopsis of function and dysfunction of the frontal lobe. Acta Psychiatr Scand Suppl 1999; 395: 51-57. [ Links ]
24. Sarazin M, Pillon B, Giannakopoulos P, Rancurel G, Samson Y, Dubois B. Clinicometabolic dissociation of congnitive functions and social behavior in frontal lobe lesions. Neurology 1998; 51: 142-148. [ Links ]
25. Rappley MD. Attention deficit-hyperactivity disorder. N Engl J Med 2005; 352: 165-173. [ Links ]
26. Mediavilla-García C. Neurobiología del trastorno de hiperactividad. Rev Neurol 2003; 36: 555-565. [ Links ]
27. Castellanos FX, Acosta MT. Neuroanatomía del trastorno por déficit de atención con hiperactividad. Rev Neurol 2005; 38 (Supl 1): 131-136. [ Links ]
28. Dunn D, William K. Trastornos de déficit de atención/hiperactividad en niños y adolescentes. Clin Neurol Norte Am 2003; 4: 917-927. [ Links ]
29. Solanto MV, Arnsten AFT, Castellanos FX. The neuroscience of stimulant drugs action in ADHD. In: Solanto MV, Arnsten AFT, Castellanos FX. Stimulant drugs and ADHD. Basic and clinical neurosciences. New York: Oxford University Press; 2001. p. 355-379. [ Links ]
30. American Psychiatric Association: DSM-IV-TR. Manual diagnóstico y estadístico de los trastornos mentales. Texto revisado. Barcelona: Masson; 2002. F.90. [ Links ]
31. Dunoyer C, Espinosa E (eds.). Desorden deficitario de la atención e hiperactividad. En: Neuropediatría. 2ª ed. Bogotá: Asociación Colombiana de Neurología; 2001. p. 308-317.
32. Stein MT, Reiff MI. Valoración y diagnóstico del trastorno de hiperactividad con déficit de la atención: una conducta práctica en el ejercicio en el consultorio. Clin Pediatr North Am 2003; 5: 985-1011. [ Links ]
33. Cao Q, Zang Y, Sun L, Manqiu S. Long X, Zou Q, Wang Y. Abnormal neuro activity in children with attention deficit hyperactivity disorder: a resting-state functional magnetic resonance imaging study. Neuroreport 2006; 17: 1033-1036. [ Links ]
34. Aronson M, Hadberd B, Gillberg C. Attention deficits and autistic spectrum problems in children exposed to alcohol during gestation: a follow-up study. Dev Med Child Neurol 1997; 39: 583-587. [ Links ]
35. Moldavsky M, Lev D, Lerman-Sagie T. Behavioral phenotypes of genetic syndromes: a reference guide for psychiatrists. J Am Acad Child Adolesc Psychiatr 2001; 40: 749-761. [ Links ]
36. Harrison JE, Bolton PF. Annotation: tuberous sclerosis. J Child Psychol Psychiatr 1997; 38: 603-614. [ Links ]
37. Mick E, Biederman J, Faraone SV, Sayer J, Kleinman S. Case control study of attention-deficit hyperactivity disorder and maternal smoking, alcohol use, and drug use during pregnancy. J Am Acad Child Adolesc Psychiatr 2002; 41: 378-385. [ Links ]
38. Millichap JG. Temporal lobe arachnoid cyst-attention deficit disorder syndrome: Role of the electroencephalogram in diagnosis. Neurology 1997; 48: 1435-1439. [ Links ]
39. Ruggieri VL. Procesos atencionales y trastornos por déficit de atención en el autismo. Rev Neurol 2006; 42 (Supl): 51-56. [ Links ]
40. Ben-Amor L, Grizenko N, Schwartz G, Lageix P, Baron C, Ter- Stepanian M, et al. Perinatal complications in children with attention-deficit hyperactivity disorder and their unaffected siblings. Rev Psychiatr Neurosci 2005; 30: 120-126. [ Links ]
41. Chhabildas N, Pennington BE, Willcutt EG. A comparison of the neuropsychological profiles of the DSM-IV subtypes of ADHD. J Abnorm Child Psychol 2001; 29: 529-540. [ Links ]
42. Reiff MI. Attention deficit/hyperactivity disorder. In: Bergman AB (ed.). 20a ed. Common problems in pediatrics. New York: McGraw Hill; 2001. p. 265-300.
43. Ramos-Quiroga JA, Bosch-Munsó R, Castells-Cervelló X, Nogueira-Morais M, García-Giménez E, Casas-Brugué M. Trastornos por déficit de atención con hiperactividad en adultos: caracterización clínica y terapéutica. Rev Neurol 2006; 42: 600-606. [ Links ]
44. Eslinger PJ, Flaherty-Craig CV, Benton AL. Developmental outcomes after early prefrontal cortex damage. Brain Cogn 2004; 55: 84-103. [ Links ]



















