Services on Demand
Journal
Article
Indicators
-
Cited by SciELO -
Access statistics
Related links
-
Cited by Google -
Similars in
SciELO -
Similars in Google
Share
Revista Ciencias de la Salud
Print version ISSN 1692-7273On-line version ISSN 2145-4507
Rev. Cienc. Salud vol.1 no.1 Bogotá Jan./June 2003
Adoptar una posición que parece inadecuada: ¿es vicio postural o hace parte del desarrollo normal de la postura?
Adopting a position that seems inappropriate: Is it a postural bad habit or is it part of the normal development of the position?
Juan Carlos Rodríguez*
* Médico Ortopedista infantil. Profesor de la Universidad del Rosario. Especialista en Docencia Universitaria.
Recibido: octubre de 2002 Aceptado: febrero de 2003
Resumen
Los niños adoptan diferentes posturas como consecuencia normal de su desarrollo, pero algunas de estas actitudes son, en ocasiones, llamadas erróneamente vicios posturales. Este artículo resume el desarrollo de las posturas de los niños, explica por qué la gran mayoría de las posiciones adoptadas por ellos son normales e invita a los profesionales de la salud a analizarlas críticamente, antes de catalogarlas como vicios posturales.
Palabras clave: postura, vicio, niños, normal, desarrollo.
Abstract
Children adopt different postures as a normal consequence of their development, sometimes these attitudes are erroneously called postural vicious. This article summarizes the children postural development, explains why most of the positions adopted by children are normal, and invite health professionals to analyze critically postures before categorizing them as a postural vicious.
Key words: Postures, vicious, children, normal, development.
INTRODUCCIÓN
Desde hace varias décadas es muy dado que muchas comunidades prohíban a los niños que duerman en ciertas posiciones, que se sienten sobre sus pies o que los coloquen atrás y hacia los lados con las rodillas dobladas, posición comúnmente llamada en W (1),(2), en cambio, se obliga a que se sienten permanentemente con los pies hacia delante o cruzados en posición de indio o de Buda (Figura 1).
No obstante, las diferentes posturas que adoptan los niños en las distintas etapas de su crecimiento corresponden, en la mayoría de los casos, simplemente al descubrimiento, por ensayo-error, de cómo deben colocar sus extremidades para poder madurar e iniciar la siguiente etapa de su desarrollo, y para ello la naturaleza misma les ayuda proporcionando diferentes alineaciones, tanto rotacionales como en su eje longitudinal, que van cambiando durante el crecimiento. Para entender esto hay que remontarse a las primeras semanas de la vida intrauterina y hacer un seguimiento hasta los 15-16 años, cuando termina este desarrollo postural, como lo sostienen todos los autores dedicados a este tema.
La postura que adoptan los niños es más el efecto que una causa de estos cambios, y los llamados vicios posturales no cambian en nada su evolución, sólo podrían retrasarlos un poco, cuando dichas posturas se mantienen permanentemente, que no es el caso de los niños sanos.
Figura 1. Posición frecuentemente corregida y la adoptada luego de que se lo ordenan. Nótese en este la misma posición intrauterina.

DESARROLLO NORMAL
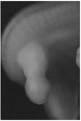
Hacia la quinta semana de gestación, al asomar los botones germinales de los miembros inferiores, el grueso artejo está colocado en posición cefálica, por lo cual toda la extremidad rota hacia la línea media del cuerpo para llevarlo a la parte interna; posteriormente, tanto el segmento tibial como el femoral rotan hacia el lateral o afuera (5),(6),(7),(8),(9), tal como se puede observar en la Figura 5.
En los últimos meses de embarazo, el bebé adopta una posición en flexión de toda la columna, es decir, con una curva anterior; los miembros superiores hacia el frente del tórax, brazos en flexión y rotación interna; codos en flexión con las manos hacia el pecho y las palmas en oposición, como si fueran a aplaudir, o hacia abajo (antebrazos en neutro o en pronación). Los miembros inferiores se encuentran doblados hacia el abdomen (flexión de caderas) con una discreta rotación externa y abducción de muslos, rodillas en flexión a los lados del abdomen, las piernas cruzadas al frente en rotación interna, el retropié en varo y la punta de los pies hacia adentro en aducción de antepié, esto hace que en el momento del nacimiento, por las retracciones musculares y las fuerzas deformantes de la cavidad uterina, el niño se vea con las caderas y rodillas en ligera flexión, rodillas varas, piernas en torsión interna y pies aductos, generalmente uno más que el otro, debido a que estaba sobre el otro en la cavidad uterina (1),(3),(4).
Esta posición va cambiando con el tiempo hasta la adolescencia, edad en la cual se logra la postura definitiva y cuando la alineación de los diferentes segmentos están influidos de manera importante por factores hereditarios; por esto es esencial que en la anamnesis se interrogue sobre la forma de las extremidades y el cuerpo, lo mismo que sobre las características de la marcha de los miembros cercanos de la familia (1),(5),(6), así como se puede observar en la Figura 2.
Figura 2. Madre e hija con las mismas características de alineación de sus miembros inferiores.

Al nacer toda la columna está incurvada hacia adelante en una gran cifosis. El neonato no es capaz de controlar la cabeza, y sólo hasta alrededor del segundo mes logra mantener la extensión de la columna cervical, es decir, es cuando aparece la primera curva de la espina con eje posterior: la lordosis cervical; hacia el cuarto o quinto mes descubre que se puede colocar boca abajo si cruza una de sus manos hacia el lado contrario y apoya el pie del mismo lado atrás sobre la cama, y en esta posición decúbito prono se empiezan a fortalecer los músculos de la espalda y a disminuir la curva anterior o cifosis del resto de la columna (Figura 3).
Figura 3a. Lactante de un mes con gran cifosis de toda la columna, aún no controla cabeza

Figura 3b. Lactante de cuatro meses que controla la cabeza y extiende el tronco

Simultáneamente, al estar en decúbito supino, comienza a intentar sentarse y a hacer fuerza con sus músculos abdominales, con lo cual prepara su tronco para la posición sedente que logra alrededor del séptimo mes y para mantener su estabilidad lateral con el apoyo en abducción de los miembros inferiores. En este momento las madres generalmente colocan almohadas en la parte posterior del niño, puesto que éste se cae hacia atrás y se puede golpear la cabeza. A esta edad ya tiene bien formada la lordosis de la columna cervical, pero el resto de la columna aún está incurvada hacia delante o está recta, sin embargo, ya es capaz de jugar sin perder el equilibrio, con objetos que tenga entre sus miembros inferiores, los cuales mantienen la forma de paréntesis.
Alrededor de los siete o nueve meses descubre que si voltea uno de sus miembros inferiores en rotación interna y fleja su rodilla, colocando la pierna detrás del tronco (media posición en W), no se cae hacia atrás y puede girar su cuerpo hacia el lado opuesto. De esta manera comienza a manejar sus espacios físicos y logra tomar los objetos que están a sus lados y a sus espaldas, sin caerse. Unas semanas después coloca ambos pies hacia atrás, cae en cuenta que en esta posición es capaz de inclinar su tronco hacia delante, puede tomar objetos que están un poco lejos del alcance de sus manos y regresar a la posición de sentado, y si apoya adelante las dos manos logra desplazarse: comienza el gateo. Como puede deducirse, es imposible iniciar el gateo si el niño no coloca los pies atrás y ésta es la posición que le corrigen (Figura 4).
Poco tiempo después, alrededor de los diez meses, aprende a arrodillarse posición indispensable en la preparación muscular y para el equilibrio del tronco y la pelvis y paso previo a la parada, al tiempo que la parte baja de la columna, su sector lumbar, empieza a encurvarse hacia delante for - mando la lordosis lumbar que, al principio, es muy pronunciada porque las caderas tienen unas retracciones musculares normales, especialmente las del psoas-iliaco, que las mantienen en flexión; para esto también el niño requiere colocar las piernas por detrás de su tronco, ya que es muy difícil pararse si se tienen las extremidades inferiores hacia delante (Figura 4).
Figura 4. Secuencia normal del niño para gatear y para pararse

Cuando al fin se para, tiene que sostenerse en algo y agarrarse con ambas manos, debido a que mantiene los pies unidos en la línea media, en consecuencia, no puede mantener el equilibrio si se suelta. Al intentar desplazarse, se pisa un pie con el otro y esto le genera más inestabilidad, así descubre que el que pisa y el pisado son de él, por lo tanto, ensaya hasta aprender a alejar uno del otro en sentido lateral, pues esto le da tal estabilidad que empieza a soltar inicialmente una y luego la otra mano. Las caderas y las rodillas adoptan una posición de semiflexión y el niño tiene que abrir mucho las extremidades al tiempo que las rota hacia adentro, mete las puntas de los pies, y aumenta su polígono de susten - tación, como si estuviera borracho, para poder mantener el equilibrio; es la misma posición que adoptamos los adultos cuando vamos parados en un vehículo en movimiento, acto que produce el efecto óptico de un niño muy cascorvo (piernas arqueadas), que sumado a los pocos grados normales, inquieta mucho a los padres y a las personas inexpertas (3),(5),(8),(14). Es normal que hasta alrededor de los 18-20 meses las rodillas sean varas.
Alrededor de los 12-14 meses el niño inicia la marcha, la cual es demasiado inestable por falta de equilibrio y, como ya se mencionó, éste se cuida abriendo las extremidades inferiores, doblando caderas y rodillas y triangulando los pies, es decir, orientándolos hacia adentro, la mayoría, o hacia fuera, como Charlott (el personaje de Chaplin en el cine mudo) en los primeros días de su marcha independiente (3). Es importante notar que la marcha la deben iniciar, normalmente, antes de los 18 meses; así que un niño que camine a los 15 meses no es atrasadito, ni uno que camine a los 10 meses, muy inteligente.
La inestabilidad en la marcha del niño hace que éste camine en zig-zag y que las rotaciones de los pies hacia adentro (progresión interna) aumenten si el terreno es irregular o si acelera la marcha, con el fin de mantener el equilibrio y la dirección (5),(7),(8). La evolución de la postura, por sí misma, ayuda a que esto sea así, puesto que normalmente la anteversión femoral, es decir, el ángulo que existe entre el eje transverso de los cóndilos femorales con el eje del cuello del fémur está aumentando, lo mismo que la torsión tibial interna, como ya se expuso (Figura 5). Esta anteversión femoral, que al nacimiento está alrededor de 50° -60°, disminuye; al año llega aproximadamente a los 35° y se estabiliza entre los 12° a 17°, en la adolescencia (1), (5), (8), (9), (14). Por lo tanto, la anteversión femoral obliga a que el niño se siente en posición W o se acueste con los pies en rotación interna (la cadera está hecha para adoptar esta posición); el sentarse en posición W es el efecto y no la causa de la anteversión femoral. En cuanto a la torsión tibial interna, al nacimiento puede estar alrededor de los 15°; a los 18 meses, en 0°, y en la adolescencia (generalmente es externa), llegar a los 15°, es decir, puede corregir hasta 30° entre el nacimiento y el final del crecimiento (1), (5), (8), (9), (10). Además, siempre va a tener un pie más rotado que el otro, porque en la vida intrauterina, una pierna estaba por delante de la otra y las hacía discretamente asimétricas: todos somos asimétricos.
Figura 5a. Botón germinal a la cuarta semana (4)

Figura 5b. Sexta semana: pie con primer dedo hacia cefálico. Rotación del miembro inferior (4)

Figura 5c. Novena semana: primer dedo casi en alineación definitiva (4)

Figura 5d. Cuarto mes (4) el proceso de orientación de los pies ha terminado

La motricidad fina está dada básicamente por la integridad neurológica y la interacción entre la visión, las manos y las distancias; la única manera de lograrla es trabajando esta integración. Los ojos están en el frente, las manos funcionan por delante del cuerpo y los miembros superiores son más cortos que los inferiores, por eso cuando el niño está jugando en el piso, ya sea con carros, armando un rompecabezas, etc. (Figura 6), efectúa sus acciones por delante de él, por lo tanto, necesita ese espacio libre, y eso lo logra colocando sus piernas atrás. Hay que notar, que cuando al niño se le hace sentar en el piso con los miembros inferiores al frente, le cuesta trabajo jugar o desarrollar su actividad investigadora y creadora, le toca de medio lado y sus extremidades interfieren en el juego, lo cual hace que lo suspenda, porque sabe que es muy difícil hacerlo con los pies al frente, además, la misma forma de las extremidades inferiores hace que el sentarse como indio sea complicado.
Figura 6. En las tres fotos, la niña de la izquierda adopta una posición que le permite manejar mejor el espacio, lo cual facilita su actividad; a la de la derecha, al mantener sus extremidades inferiores al frente, tiene dificultad en sus actividades. Estas niñas son gemelas y de los 2 a 3 años a la niña de la izquierda se le permitió sentarse como quisiera, mientras que a la de la derecha se le corregía su postura.

Alrededor de los dos años, la evolución de los miembros inferiores hace que pase de rodilla valga o cascorvo a rodilla valga o rodillijuntos o patiapartados (Figura 7), conformación normal que aumenta hasta alrededor de los tres o cuatro años, al parecer como truco de la naturaleza para que el polígono de sustentación sea amplio mientras se logra la madurez del equilibrio, no sólo ocular, sino también por parte del cerebelo y del vestíbulo; por ello el valgo comienza a decrecer rápidamente hasta los siete-ocho años, y su última modificación es hacia los doce-catorce años (1), (6), (8), (11), (12). Es normal que las rodillas del adulto sean valgas, más en las mujeres, porque la pelvis femenina es más ancha que la masculina, característica anatómica que obliga a las cabezas del fémur a estar más alejadas de la línea media que las rodillas. En las mujeres adultas se acepta como normal hasta ocho grados de valgo y en los hombres hasta cinco grados (11),(12).
Figura 7. Rodilla valga fisiológica (las niñas de esta foto son las hermanas gemelas que aparecen en la Figura 6). Podemos evidenciar la misma evolución de sus miembros inferiores en ambas

DISCUSIÓN
Después de revisar el desarrollo normal, podemos deducir que no son las posiciones en W (Figura 1), sentarse sobre los pies o dormir bocabajo las que producen valgo en las rodillas, anteversión femoral o torsión tibial, sino que éstas son posiciones que se adaptan a la evolución de la postura. Por otro lado, la posición de indio permanente (Figura 1), que también es contraria a la evolución normal de las rodillas y las torsiones femoral y tibial, podría considerarse como un vicio postural, incluso más grave que los primeros, puesto que de esta forma se mantienen las posiciones fetales de los miembros inferiores y la columna, que normalmente desaparecen con el crecimiento.
Como se ha explicado, cada uno de los segmentos del cuerpo sufre importantes cambios durante el crecimiento y mucho de lo que se cree patológico o inadecuado es normal en determinadas etapas de la niñez; por lo tanto, la adopción momentánea de ciertas posturas modela el cuerpo hasta llegar a la adolescencia. De esta manera adoptar una por poco tiempo no deforma el cuerpo ni las extremidades; las deformidades se producen cuando esto sucede por tiempos muy prolongados, y los niños normales no hacen esto. A modo de ver del autor, algunas de estas creencias surgieron porque algunos estudiosos dicen que colocar espicas de yeso en malas posiciones por tiempos prolongados (varias semanas o meses) pueden producir alteraciones en los huesos, pero ni siquiera esto se ha comprobado (13). Revisando además la literatura médica (1),(2),(3),(5),(6),(7),(8),(9),(12), (13),(14), los diferentes autores coinciden en que todas estas deformidades se corrigen espontáneamente y que en algunos casos la adopción de las malas posturas puede simplemente demorar un poco este proceso.
Estos comentarios son ciertos para los niños normales y no se pueden transpolar a niños con alguna patología que les altere el neurodesarrollo, para ellos la situación es diferente, porque la adopción de posturas se realiza por un tiempo muy prolongado. Por otro lado, el que este hecho sea demasiado evidente puede hacer sospechar la existencia de una patología subyacente, y en este caso la postura seguramente no es la causa, sino la consecuencia de la patología.
CONCLUSIÓN
Teniendo en cuenta el desarrollo normal de los niños, podemos asumir que las posturas que adoptan, muchas veces en contra del alineamiento músculo-esquelético, corresponden simplemente a un proceso de aprendizaje. Éste culmina en la adolescencia y es hasta este momento cuando se llega obtener la postura definitiva del adulto.
Por otro lado, después de efectuar una revisión bibliográfica extensa, sólo se encuentra a dos autores (3),(15) que citan estas posturas como vicios posturales, pero no se encuentra un estudio científico o una referencia bibliográfica en los cuales hayan basado esta información.
El sentarse en posición en W o como indio, al igual que el dormir en ciertas posiciones no se ha definido como vicios posturales. La evolución de la postura desde el nacimiento hasta la adultez nos indica que estas posiciones son normales dentro del desarrollo, por lo tanto, no se considera pertinente prohibirlas a los niños.
Nota: este artículo también está basado en la observación que el autor ha hecho por más de veinte años, no solamente de sus pacientes, sino también de sus familiares y amigos.
El autor obtuvo la autorización por parte de los padres de todos los niños que aparecen en las fotos para su publicación.
REFERENCIAS
1. Malagón V, Soto D. Tratado de ortopedia y fracturas. Bogotá: Celsus; 1994. [ Links ]
2. Kendall´s. Músculos: pruebas, funciones y dolor postural. 4th ed. Marban; 2000. [ Links ]
3. Malagón V, Arango R. Ortopedia infantil. 2nd ed. Barcelona: JIMS; 1987. [ Links ]
4. Nilsson L, Hamberger L. Nacer: la gran aventura. Barcelona: Salvat; 1990. [ Links ]
5. Staheli L. Rotational problemns of the lower extremities. Orthopedic Clinics of North America 1987;18:503-12. [ Links ]
6. Cahuzac J, Vardon D, Sales de Gauzy J. Development of the clinical tibiofemoral angle in normal adolescents. J Bone Joint Surg Br 1995;77B:729-32. [ Links ]
7. Robledo LG. Marcha en el niño y adolescente. Usuario pediátrico. 6th ed. Bogotá: Celsus, Hospital Infantil Lorencita Villegas de Santos; 1998. [ Links ]
8. Tachdjian MO. Ortopedia pediátrica. México: Interamericana; 1994. [ Links ]
9. Staheli L. Medial femoral torsion. Orthopedic Clinics of North America 1980; 11:39- 50. [ Links ]
10. Kumar SJ, Macewen GD. Torsional abnormalities in children´s lower extremities. Orthopedic Clinics of North America 1982; 13:629-39. [ Links ]
11. Kling TF Jr. Angular deformities of the lower limbs in children. Orthopedic Clinics of North America 1987;18:513-5. [ Links ]
12. Heath CH, Stheli L. Normal limits of knee angle in white children- genu varum and genu valgum. J Pediatric Orthop 1993; 13:259-62. [ Links ]
13. Tachdjian M. Pediatrics orthopedics. W.B. Saunders Co; 1990. [ Links ]
14. Thometz J. Rotational and angular deformities of the lower extremities. In: Richards S. Orthopaedic knowledge update: pediatrics. American Academy of Orthopaedic Surgeons; 1996. p. 29-33. [ Links ]
15. Turek S. Ortopedia principios y aplicaciones. Barcelona: Salvat; 1982. [ Links ]













