Services on Demand
Journal
Article
Indicators
-
Cited by SciELO -
Access statistics
Related links
-
Cited by Google -
Similars in
SciELO -
Similars in Google
Share
Revista Ciencias de la Salud
Print version ISSN 1692-7273On-line version ISSN 2145-4507
Rev. Cienc. Salud vol.1 no.2 Bogotá July/Dec. 2003
Efecto de diferentes grados de actividad física en la presentación de cambios anatómicos e histológicos relacionados con el envejecimiento renal
Effects of Different Grades of Physical Activity in the Presentation of Anathomic and Histologic Changes Related with Renal Aging
Benjamin Wancjer, MD*; Ximena Rincón, MV**; Íngrid Romero, MV**; Germán Santamaría, HTL*; Ernesto Dalmau, MV, MSC**; Rafael Andrade, MD*; Claudio Bohórquez, MV, MSC**; Andrés Díaz, MD*; Jesús Muñoz, MD*
* Fundación Cardio Infantil. Instituto de Cardiología zune@starmedia.com.
** Universidad de La Salle. Facultad de Medicina Veterinaria.
Recibido: julio 2003. Aceptado: septiembre 2003.
Resumen
Objetivos: determinar los cambios anatómicos del ejercicio en el envejecimiento renal. Metodología: estudio longitudinal experimental durante 54 semanas. Se tomaron 120 ratones machos cepa Suizo, los cuales según su actividad se dividieron en 3 grupos: sedentarios, normales y activos. El ejercicio se moduló con el espacio habitacional y el acceso al alimento. Se sacrificaron 3 animales por grupo desde la 9ª semana de edad cada 9 semanas. Se consideraron animales jóvenes aquellos menores de 27 semanas y viejos los mayores de 36. Los ratones y sus riñones se pesaron, y se estableción la relación peso riñones/peso ratón. Del riñón izquierdo de cada animal se midió la corteza y se realizó el estudio histológico con las coloraciones clásicas. Los cortes fueron analizados por 2 patólogos que no conocían el propósito del estudio; describieron cambios glomerulares y túbulo intersticiales, los cuales se clasificaron de nulos a severos. Se midieron áreas glomerulares y la relación luz/pared arterial. Resultados: El máximo crecimiento renal se observó a las 18 semanas. En la semana 54, los sedentarios tuvieron menor espesor cortical (2288,65 ± 552,75) que los normales (2502,7 ± 163,81) y los activos (2609,46 ± 273,28), con n=3 para todos los grupos. El área glomerular fue significativamente menor (P= 0,035) en sedentarios (8657,33 ± 1954,38), com- parativamente con los activos (10318,64 ± 2425,14), pero entre los normales (9791,52 ± 2211,63) y los otros dos grupos no existieron diferencias significativas: n=18 para cada grupo. La atrofia tubular en animales viejos fue del 55,5% en los sedentarios, mayor que en normales y activos, en los cuales fue del 44,4% no significativo. La nefritis intersticial fue menor en normales (55,5%), en comparación con los sedentarios y activos (77,7%) no significativo. Conclusión: el grupo sedentario presentó mayor compromiso estructural en el envejecimiento renal. Aunque el ejercicio moderado puede limitar la severidad de estos cambios, el ejercicio intenso puede aumentar la nefritis intersticial. Es importante resaltar la naturaleza activa de los roedores; según nuestra clasificación, el grupo activo correspondería a un humano hiperejercitado; el grupo normal, a personas con ejercicio físico frecuente; y el sedentario, a su igual.
Palabras clave: ejercicio, envejecimiento, riñón, ratón
Abstract
Objective: With the purpose of determining anatomical changes of exercise in renal aging. Methodology: we carried out an experimental longitudinal study during 54 weeks. 120 swiss male mice were used, which were divided into three groups depending on their activity: sedentary, normal and active. The exercise was modulated with room space and food acces. three animals were sacrificed per group from the ninth week of age, each nine weeks. All animals with less than 27 weeks of age were considered young animals, and old animals were more than 36 weeks old. all mice and kidneys were weighted, establishing a kidney weight/mouse weight relation. The cortex of each animal´s left kidney was measured. And a histological estudy with classical colorations was carried out. Such cuts were analyzed by 2 pathologist who did not know the purpose of this study; they described glomerular changes and interstitial tubulus, classifying them from null to severe. Glomerular areas, as well as light/arterial wall relation were measured. Results: maximum renal growing was detected 18 weeks later. At the 54 th week, the sedentary mice had less cortical thickness (2288,65 ± 552,75) than the animals of the normal group (2502,7 ± 163,81) and the active group (2609,46 ± 273,28), with n=3 for all groups. The glomerular area was significantly less (p=0,035) in sedentary animals (8657,33 ± 1954,38) compared to the active animals (10318,64 ± 2425,14), but significant differences were not found among the normal animals (9791,52 ± 2211,63) and the other to groups, n=18 for each group. tubular atrophy in old animals was 55,5% in sedentary animals, higher than in normal and active animals, in which it was 44,4%, not significant. Interstitial nephritis was less in normal animals (55,5%) compared to sedentary and active groups (77,7%), not significant. Conclusions: We could conclede that the sedentary life in mice is related with some descripting changes of the renal aging such as cortex decreased, glomerular atrophy and increasing risk to develop interstitial nephritis, although moderate exercise may limit severity of such changes, and intense exercise may increased interstitial nephritis.
Key words: Exercise, kidney, aging, mouse
INTRODUCCIÓN
El envejecimiento renal es un proceso degenerativo caracterizado por cambios anatómicos y fisiológicos del riñón (1). Dentro de los cambios anatómicos se considera la presentación de atrofia glomerular manifiesta por disminución del área glomerular, atrofia corpuscular, glomeruloesclerosis, hialinosis y disminución del número de glomérulos observables por campo microscópico (2-10). En el intersticio se presentan fenómenos inflamatorios y fibróticos focales y difusos (11). En los túbulos se ha observado atrofia y fibrosis peritubular, muchas veces relacionada con los cambios inflamatorios intersticiales (12-17). Los vasos sanguíneos del riñón pueden hacer parte del proceso de ateromatosis gene ralizada y estar comprometidos, a veces, en forma crítica y producir nefroarteriosclerosis, que puede comportarse como enfermedad isquémica glomerular (2,3,18-24). Estos hallazgos se han descrito a partir de biopsias renales o piezas de patólogia de humanos y otros primates, así como de animales de laboratorio ancianos sin aparente enfermedad renal clínica.
Se han llevado a cabo estudios para determinar el efecto del ejercicio en la modificación de los hallazgos anatómicos relacionados con el envejecimiento renal en ratas y ratones (25-31). Mientras que algunos reportan el efecto del ejercicio en la disminución de los cambios degenerativos relacionados con el envejecimiento, otros mencionan el posible efecto profibrótico que puede producir el ejercicio intenso en el envejecimiento renal (32-38).
Existe muy poca información acerca del grado de actividad fisica y la progresión de los cambios renales relacionados con el envejecimiento bajo condiciones experimentales de seguimiento longitudinal en animales de laboratorio. El propósito del presente estudio es analizar los cambios morfológicos relacionados con el envejecimiento renal bajo el efecto de la actividad física, a diferentes grados de intensidad, en ratones sometidos a condiciones metodológicas de experimentación.
MATERIALES Y MÉTODOS
Animales
Para este estudio se utilizaron 120 ratones cepa Suizo, machos, de 21 días de edad, divididos en grupos de 20 animales por jaula. La vida media de esta cepa es de 15 meses.
Diseño experimental
Todos los animales permanecieron bajo una temperatura promedio de 20ºC, humedad relativa del 75%, horas de exposición oscuridad-luz 16:8, agua a voluntad y dieta comercial para conejos con la siguiente composición: 45.5% de carbohidratos, 16% de proteínas, 4% de grasas, 4% de fibra y 2.25% de cenizas, con consumo promedio de 10 gramos de alimento animal/día.
Los 120 ratones estaban divididos en 3 grupos de 40 animales, cada uno de acuerdo con el tipo de actividad física, así: sedentarios, normales y activos, con las siguientes áreas habitacionales por animal: 30 cm 2, 120 cm 2 y 1562,5 cm 2, respectivamente. El control de actividad fisica se hizo de la siguiente manera: todos los ratones fueron observados permanentemente en su ciclo de vigilia, que se indujo oscureciendo el medio ambiente para estimularlos, e iluminando su hábitat para dormirlos. Los ratones activos tuvieron ruedas para correr y rampas para acceder al agua y al alimento, que siempre se ubicaban en sitios diferentes y distantes en el cubículo. También se les colocaron juguetes. A los ratones normales se les permitió el libre movimiento en toda la jaula, sin ningún estímulo de enriquecimiento ambiental. La comida y la bebida la tenían a su disposición fácilmente. Los ratones sedentarios tampoco tuvieron estímulos para su movimiento y accedieron fácilmente al agua y al alimento.
Se sacrificaron 3 animales de cada grupo de actividad en las semanas 9ª, 18ª, 27ª, 36ª, 45ª y 54ª. La distribución de la muestra se observa en la tabla 1.
Tabla 1. Distribución de la muestra

Se efectuó pesaje premortem del animal en una gramera electrónica Denver Instruments A250 de alta precisión; el método de sacrificio utilizado fue la administración intraperitoneal de 2 cm de lidocaína 1% sin epinefrina, que ocasionó la muerte en sístole. Posteriormente, se realizó la exéresis de los riñones y se pesaron inmediatamente.
Evaluación histológica
Después de pesar los riñones, se incidió longitudinalmente el riñón izquierdo y se midió el espesor de la corteza con un micrómetro en la parte media del corte y se fijó la muestra en formaldehído al 10% por 24 horas. Se realizaron cortes de 3 m de espesor, que fueron tincionados con hematoxilina-eosina (HE), ácido peryódico de Schiff (PAS), tricrómica de Masson y tinción de plata o Jones.
Clasificación histológica
El criterio empleado para determinar las alteraciones fue realizado por dos patólogos (un médico y un veterinario), que no se conocieron, ni tampoco conocían las características de las muestras analizadas, y quienes establecieron los siguientes parámetros utilizando microscopía de luz: esclerosis glomerular focal cuando menos del 50% de los glomérulos están comprometidos; esclerosis glomerular difusa cuando más del 50% de los glomérulos se encuentran comprometidos; esclerosis glomerular segmentaria cuando un glomérulo está comprometido parcialmente; esclerosis glomerular global cuando está comprometida la totalidad del glomérulo; el grado de atrofia tubular, nefritis intersticial, fibrosis intersticial y arteriosclerosis se clasificaron en nulo, leve, moderado o severo, según el criterio patológico.
Para la evaluación cuantitativa se utilizó un software analizador de imágenes Leco 2001 con calibración en 10x, en el cual se determinó el área glomerular, corpuscular y del espacio de Bowman en 6 glomérulos por animal, grosor de la pared de las arterias segmentarias y diámetro de su lumen en 4 vasos por animal, los cuales se promediaron; se definió como índice de grosor arterial la relación espesor de la pared/pared + luz. Se estableció con microscopía de luz el índice de proliferación mesangioendotelial en 10 glomérulos yuxtamedulares por animal.
Análisis estadístico
Para el análisis estadístico se escogieron: área glomerular total, espesor de la corteza y las diferencias en los cambios histológicos estructurales característicos del envejecimiento. Para la comparación de promedios de las áreas glomerulares se utilizó la prueba t de student a dos colas, con un nivel de significancia del 5%. Los valores del grosor de la corteza requirieron pruebas no paramétricas como la de Mann Whitney y Kruskal-Wallis, dado el número reducido de mediciones disponibles para el análisis. En la comparación entre los diferentes hallazgos histológicos cualitativos de envejecimiento renal, se calculó el riesgo relativo (RR) con sus respectivos intervalos de confianza (IC) y se aplicó, adicionalmente, la prueba de Chi cuadrado y en algunos casos el test exacto de Fisher, cuando el número de animales era muy bajo.
RESULTADOS
Muestra
La muestra de 120 ratones con la que se inició el estudio se vió reducida a 54 animales por las siguientes razones: 1) en la 9ª semana se realizó un primer sacrificio de 12 animales (4 por grupo de actividad), que fue eliminado por errores en el procesamiento técnico de la muestra y fue necesario repetirlo a los 2 días. 2) se presentaron 25 muertes que se discriminaron de la siguiente manera: entre las semanas 9ª y 27ª hubo canibalismo en 3 animales sedentarios, 2 normales y 4 activos; por aplastamiento murieron en ese mismo lapso 6 sedentarios y 3 normales; por errores en la manipulación de la muestra por parte de los observadores murieron 1 sedentario y 2 normales; por causas sin aclarar murieron 2 sedentarios, 1 normal y 1 activo. Por lo tanto, la mortalidad que se presentó fue 20.83%. De este total, el 48% de las muertes fueron ratones sedentarios; el 32%, ratones normales y el 20%, ratones activos. Al final del estudio quedaron 29 ratones que se desecharon.
Pesos de los ratones y de los riñones
Los pesos de los riñones y de los ratones fueron similares en los 3 grupos de actividad hasta el final del trabajo. El promedio del peso corporal en la semana 54 de los grupos sedentario, normal y activo fue para n=3 en todas las muestras de 33,00 ± 2,55 g, 35,50 ± 2,15 g y 34,50 ± 3,64 g, respectivamente. En relación con el peso renal, se obtuvieron los siguentes promedios: 0,73±0,06 g, 0,73 ± 0,06 g y 0,77 ± 0,06 g, respectivamente (figuras 1 y 2). La relación peso riñón / peso ratón se incrementó significativamente en la semana 18 (p< 0.05) en los 3 grupos y permaneció constante hasta el final del estudio (figura 3).
Figura 1. Peso corporal de los ratones durante el estudio

Figura 2. Peso renal de los ratones durante 54 semanas

Figura 3. Relación peso renal/peso corporal durante 54 semanas

Grosor de la corteza
En la semana 54 el grosor de la corteza no fue significativo (P>0.05). Los valores para los diferentes grupos fue: sedentario n=3; 2288,65 ± 552,75 m; normal n=3; 2502,7 ± 163,81 m; y activo n=3; 2609,46 ± 273,28 m (figura 4).
Figura 4. Grosor de la corteza renal durante 54 semanas

Análisis de patología
La concordancia de las observaciones de los 2 patólogos fue de 98.76% del estudio de las láminas. Los datos divergentes fueron la expansión mesangial que uno de los patólogos encontró en un ratón sedentario de la semana 36, mientras que el otro patólogo encontró expansión mesangial en otro ratón sedentario de la misma edad. Adicionalmente, un patólogo observó degeneración hidrópica leve en la pared de una arteriola, mientras que el otro patólogo no la observó. Otra divergencia fue que para uno de los patólogos un ratón activo de la semana 27 tuvo grado leve de atrofia tubular, mientras que el otro patólogo no hizo esta observación.
Estudio glomerular
Las mediciones de las áreas glomerulares se realizaron en glomérulos yuxtamedulares. La tendencia del área glomerular en los ratones sedentarios fue aumentar hasta la semana 45 y luego disminuir en la semana 54. En los ratones normales aumentó hasta la semana 36, luego descendió en la semana 45 y se mantuvo constante hasta la semana 54. En el grupo activo el área aumentó hasta la semana 36, descendió en la 45 y volvió a ascender en la 54 (figura 5). El área glomerular total en la semana 54 fue significativamente menor (p=0.035) en el grupo sedentario: n=18; 8657,33 ± 1954,38 m2, en comparación con el grupo activo (n=18; 10318,64 ± 2425,14 m2), y en el normal n=18; 9791,52 ± 2211,63 m2. Entre el grupo activo y normal no hubo difereencias significativas (tabla 2).
Figura 5. Áreas glomerulares de los ratones durante 54 semanas

La tendencia del área de Bowman fue similar en los grupos activo y normal, donde aumentó hasta la semana 36, disminuyó en la 45 y se mantuvo hasta la 54. En el grupo sedentario aumentó hasta la semana 45 y disminuyó en la semana 54 (figura 6). El área del espacio de Bowman fue similar entre los grupos sedentario, normal y activo en la semana 54, pues fue n=18 en cada grupo; 2792,00 ± 926,81 m2, 2828,63 ± 1356,65m 2 y 3405,12 ± 2082,69 m2, respectivamente (tabla 2).
Figura 6. Área del espacio de Bowman durante las 54 semanas

Tabla 2. Significancias en la semana 54 para valores cuantitativos

La tendencia del área corpuscular para el grupo activo fue aumentar hasta la semana 36, disminuir en la semana 45 y aumentar en la semana 54. El normal aumentó hasta la semana 36; luego, a partir de la semana, 45 se mantuvo y el sedentario aumentó hasta la semana 45 y disminuyó en la 54 (figura 7). El área corpuscular fue 5865,32 ± 1925,13 m2 en el grupo sedentario; 6962,89 ± 1774,79 m2 en el grupo normal, y 6913,52 ± 2073,72 m2 en el grupo activo (tabla 2).
Figura 7. Área corpuscular de los ratones durante las 54 semanas

La tendencia de la celularidad mesangioendotelial fue irregular en todas las muestras durante el estudio (figura 8). En la semana 54, para n=30, el promedio de células mesangioendoteliales fue: 59,40 ± 4,45 en el grupo activo; 67,06 ± 4,76, en el grupo normal, y 57,51 ± 7,06 grupo sedentario. Estas diferencias no fueron significativas (tabla 2). En este estudio se encontraron 6 ratones con aumento leve de la matríz mesangial de algunos glomérulos: 2 ratones del grupo activo en la semana 27; 2 ratones del grupo normal en la semana 36, y 1 ratón activo y otro sedentario en la semana 45. En todos los ratones del estudio se observaron como hallazgos constantes el aparato yuxtaglomerular y la tubulización glomerular (figura 9).
Figura 8. Celularidad mesangioendotelial durante 54 semanas

Figura 9. Aparato yuxtaglomerular y tubulización glomerular

Estudio tubular
Los cortes mostraron abundantes secciones de túbulos en todos los animales (figura 10). El 55% de los ratones sedentarios viejos presentó atrofia moderada y en los otros 2 grupos esta fue de 44.4%, diferencia no significativa (figura 11). No se encontraron en los ratones cambios severos de atrofia tubular. En la semana 54 todos los ratones de los grupos sedentario y normal presentaron dilatación tubular en algunas estructuras, asociada con atrofia de las mismas (figura 12).
Figura 10. Abundantes secciones de tubulos

Figura 11. Porcentaje de atrofia tubular moderada en animales jóvenes y viejos

Figura 12. Dilatación tubular asociada a atrofia

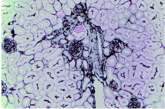
Estudio del intersticio
Los focos de nefritis intersticial fueron ricos en células mononucleares, tipo linfocitos, y monocitos de predominante ubicación perivascular (figura 13). Los animales activos y sedentarios viejos tuvieron 77.7% de nefritis intersticial moderada, mientras que el grupo normal presentó 55.5%. (figura 14). Desde la semana 36 a la 54 no se observó una diferencia significativa (P >0,05) entre los grupos por el tamaño de la muestra (n=9), pero la comparación entre activos vs. normales indicó que los primeros presentaban mayor riesgo de desarrollar nefritis intersticial (RR 1,4; IC 0,71-2,77; P 0,062), y la comparación entre normales vs sedentarios señaló que los primeros presentaban menor riesgo de desarrollar nefritis intersticial (RR 0,71; IC 0,36-1,41; P 0,062). La fibrosis se localizó entre los focos de nefritis intersticial (figura 15). Al final del estudio, los ratones viejos activos tuvieron 33% de fibrosis intersticial, mientras que en los otros 2 grupos fue 22,2%. No se observó una diferencia significativa (P >0,05) (figura 16). No se advirtieron cambios severos de nefritis o de fibrosis intersticial en los animales.
Figura 13. Focos de nehilitis intersticial

Figura 14. Porcentaje de nefritis intersticial moderada en animales jóvenes y viejos.

Figura 15. Fibrosis entre focos de nefritis intersticial
Figura 16. Porcentaje de fibrosis moderada en animales jóvenes y viejos

Estudio vascular
La tendencia de la relación pared / luz no tuvo variaciones significativas para los grupos durante todo el estudio (figura 17). En la semana 54 para n=12, en cada grupo los valores promedio de la relación pared/ luz fueron los siguientes: 30,42 ± 8,03 en sedentarios; 28,47 ± 11,17 en normales y 26,35 ± 7,91 en activos, diferencias no significativas (P>0,05) (tabla 2). No hubo ateromatosis importante en ninguno de los ratones. Se observó en algunas arterias degeneración hidrópica en 9 ratones durante todo el estudio: un ratón sedentario de la semana 18; 2 ratones normales y 2 sedentarios de la semana 27; 2 ratones activos, un sedentario de la semana 36; 1 ratón normal de la semana 45; y un ratón normal de la semana 54 (figura 18). Sólo en un ratón sedentario de la semana 36 se observó principio de vasculitis en dos vasos arteriales. Se observó dilatación de los capilares peritubulares, que alcanzaron diámetros similares a los túbulos adyacentes en 2 ratones activos de la semana 9 (figura 19).
Figura 17. Porcentaje de arteriosclerosis moderada en animales jóvenes y viejos

Figura 18. Degeneración hidrópica arterial

Figura 19. Dilatación de capilares peritubulares

DISCUSIÓN
En este estudio se determinó la cantidad de ejercicio según el espacio de movimiento de los ratones, la dificultad para acceder a las fuentes alimenticias y el enriquecimiento ambiental. El ejercicio de los ratones activos en el experimento pudo ser mayor que el descrito en estudios previos (32,39).
Se encontró que el crecimiento de los riñones fue mayor hasta la semana 18 en relación con el crecimiento corporal; después, el peso de los riñones y de los ratones se mantuvo constante. Una posible explicacion para este fenómeno puede deberse al aumento del flujo plasmático renal efectivo, con agrandamiento de los riñones, en la etapa joven de la vida (40).
La corteza renal al final del estudio del grupo sedentario fue significativamente menor que la de los otros 2 grupos. La pérdida de masa renal primariamente cortical ya ha sido descrita como parte del envejecimiento renal, con disminución en el tamaño tanto de los glomérulos como de los túbulos contorneados proximales en nefronas con glomeruloesclerosis (7), pero ese reporte no discrimina grados de actividad fisica. Se propone como explicación del menor espesor cortical en los ratones sedentarios el hecho de que su área glomerular fue significativamente más pequeña que la de los grupos activo y normal.
Las observaciones de los patólogos fueron concordantes para casi todo el trabajo. Esto, posiblemente, se debe a que su trabajo se simplificó por los datos puntuales que describieron. El hecho de que los patólogos no se conocieron también apoya la validez de los resultados.
Se decidió realizar las mediciones en los glomérulos yuxtamedulares porque se advirtió que hasta la semana 36 era observable el espacio de Bowman en los glomérulos corticales. Se encontró que el área glomerular en los ratones sedentarios tuvo tendencia a disminuir en el transcurso de la vida, mientras que en los ratones activos y normales se mantuvo constante. La disminución del tamaño glomerular ha sido reportada en trabajos acerca de enfermedad isquémica renal (41), donde también se observaron cambios de atrofia tubular, fibrosis y nefritis intersticial multifocales. Se contempla la posibilidad de que la disminución del tamaño glomerular esté vinculada con factores vasculares relacionados, a su vez, con la expresión de moléculas vasodilatadoras como el óxido nitrico (42), y endocrinos, como la presencia o ausencia de andrógenos (43). La tendencia de aumento de las áreas glomerulares y del espacio de Bowman fue similar en todos los ratones. La reducción glomerular en el grupo sedentario puede ser un hallazgo normal asociado al envejecimiento renal. No se estableció la disminución del área glomerular en los grupos normal y activo en la semana 45 y su posterior aumento en la semana 54. Es posible que ocurrieran defectos técnicos o la existencia de influencias endocrinas que hubieran afectado esta etapa de la vida. Observaciones similares se detectaron en el área del espacio de Bowman y en el área corpuscular, aunque en ésta última, en los ratones normales se encontró que después del pico en la semana 36, el áera corpuscular no se modificó. Se infiere de estas observaciones que las variaciones en el área glomerular total dependen del aumento y disminución en las medidas del corpúsculo y del espacio de Bowman, los cuales tienden a ser paralelos.
Se ha descrito como parte del proceso del envejecimiento renal la presencia de glomeruloesclerosis en diversos grados (6,9,10), pero no reportó este hallazgo en el presente trabajo. Se propone que este hecho se debe a que en el diseño del experimento el consumo de proteínas fue menor que en otros estudios. Como es conocido, la alta carga proteica es un factor relacionado con glomeruloesclerosis (44, 45). En un trabajo se encontró que el ejercicio en los ratones viejos estaba relacionado con esclerosis glomerular, cuando se comparó con ratones jóvenes (36), pero fue un estudio puntual realizado con animales de diferentes edades sin grupos control.
Otra explicación posible es el hecho de que los ratones no alcanzaron la edad suficiente para desarrollar glomeruesclerosis. Aunque en un estudio realizado en ratones de la cepa tal, que se llevó a cabo a lo largo de un año de vida de los mismos, se registró este hallazgo (46), pero dicha cepa fue modificada genéticamente para presentar tal cambio. La diferencia entre éste estudio y los previos puede tener relación con el hecho de que en otros trabajos se utiliza la cepa Fischer 344 de rata (47), en la cual se observó glomeruloesclerosis después de más de 2 años de estudio, pero debe considerarse que la vida promedio de estos animales es 2-3 años.
Estudios experimentales observan que el envejecimiento cursa con aumento de la celularidad mesangial (48) o de la matriz, relacionado con la expresion de factor de crecimiento transformante (TGF beta) en celulas mesangiales cultivadas (49). En algunos ratones sedentarios del experimento se encontró aumento de la matriz mesangial, pero no fue un hecho constante; tal vez la microscopía electrónica permita discriminar adecuadamente células mesangiales de células endoteliales, para determinar con certeza cada una de estas poblaciones.
Otros cambios relacionados con el envejecimiento glomerular, como disrupción de la membrana basal, engrosamiento y duplicación parcial de la membrana de la cápsula de Bowman, se observan también con microscopía electrónica, que fue un recurso con el cual no se contó.
Otro hallazgo patologico que se describe en el envejecimiento renal es el engrosamiento de la pared arterial (50, 51). En nuestro trabajo no hubo diferencia a lo largo del estudio. Como explicación para la ausencia de ateromatosis en nuestros animales, se propone la disminución de factores de riesgo tanto genéticos como ambientales, relacionados con arteriosclerosis (dieta con bajo contenido de grasa).
Un hallazgo relevante del estudio fue la atrofia tubular moderada, que fue significativa en el análisis longitudinal del grupo sedentario, mientras que en los otros 2 grupos también hubo atrofia progresiva, pero menor que la de los sedentarios. Igualmente, al final del estudio la atrofia tubular fue mayor que en los otros 2 grupos donde no hubo diferencias significativas. El proceso de reducción del volumen tubular en ratas que envejecen ha sido descrito por otros autores (52), donde se explica que la arofia tubular es parelela a la reducción del volumen glomerular (53). Estos estudios no consideraron la actividad física de las ratas. Se propone que la atrofia tubular puede, en parte, ser agravada por fenómenos inflamatorios intersticiales peritubulares, como también se ha planteado en otros estudios (42), y que está relacionada con la disminución en el espesor de la corteza de los ratones sedentarios.
Se observó en el experimento que la presencia de nefritis intersticial fue significativamente menor en el grupo con actividad normal comparado con los otros 2 grupos, entre los cuales no hubo diferencias. Thomas (42) encontró que el daño tubular estaba asociado con infiltración de linfocitos y macrófagos en el intersticio de ratas viejas, acompañada de dilatación y atrofia tubular y fibrosis intersticial, que fueron hallazgos similares a los encontrados en nuestro trabajo en los grupos activo y sedentariario. Se plantea la posibilidad de que mecanismos diferentes expliquen la inflamación intersticial en ambos grupos: en los animales sedentarios puede ser el resultado de isquemia secundaria a daño de la red capilar peritubular por factores que afectan la hemodinamia de los pequeños vasos renales, como la ya mencionada expresión alterada de la oxidonitrico sintetasa, mientras que en los ratones activos puede relacionarse con aumento de la filtración glomerular, proteinuria, y expresión de quimoquinas tipo RANTES con actividad proinflamatoria a nivel intersticial. Tal vez estos mecanismos no son excluyentes, sino superpuestos.
La fibrosis intersticial es un hallazgo comunmente descrito en la histología del envejecimiento renal. El origen de la fibrosis es controvertido. Para algunos (54) puede ser el resultado de fenómenos inflamatorios intersticiales que estimulan células fibroblasticas existentes in situ. Otros creen que la fibrosis puede ser el producto de células epiteliales tubulares que hacen transdiferenciación y se convierten en células mesenquimales con capacidad de producir colágeno tipo IV (55) y en miofibroblastos, que son células fusiformes que resultan de la migración y transformación de las células del epitelio tubular cuando hay disrupción de la membrana basal (56).
Se encontró que la fibrosis intersticial se ubicó especialmente alrededor de los túbulos en vecindad de los focos de nefritis, acompañada de atrofia tubular; aunque la fibrosis fue progresiva, no alcanzó el grado de inflamación y el daño tubular concomitantes. Esto puede ser explicado porque el estudio culminó antes de que los ratones hubieran alcanzado a desarrollar un grado severo de fibrosis, de acuerdo con su potencial promedio de vida.
Podemos concluir en nuestro estudio experimental que en los ratones de cepa Suizo la vida sedentaria está relacionada significativamente con cambios del envejecimiento renal, como son la disminución de la corteza, la atrofia glomerular y tubular y el desarrollo de nefritis y fibrosis tubulointersticial. La actividad física moderada e intensa redujo los cambios mencionados, aunque los ratones con mayor cantidad de ejercicio presentaron nefritis intersticial de grado similar a la de los animales sedentarios.
A la luz de estos hallazgos, consideramos que la práctica de ejercicio moderado es un factor protector para disminuir los cambios renales relacionados con el envejecimiento. Proponemos que se diseñen trabajos longitudinales que permitan conocer la correlación entre estructura y funcionamiento renal para diferentes niveles de actividad física.
REFERENCIAS
1. Tauchi H, Tsuboi K, Okutomi J. Age changes in the human kidney of the different races. Geront 1971;17:87-97. [ Links ]
2. Abboud hE. Growth Factor in Glomerulonephritis. Kidney Int 1993; 43: 252-67. [ Links ]
3. Takano T, Brady HR. The Endothelium in Glomerular Inflammation. Curr Opin Nephrol Hypertens 1995; 4(3): 277-86. [ Links ]
4. Kappel B, Olsen S. Cortical Interstitial Tissue and Sclerosed Glomeruli in the Normal Human Kidney Related to Age and Sex: A Quantitative Study. Virchows Arch A Path Anat Histol 1980; 387: 271-77. [ Links ]
5. Kaplan C, Pasternack B, Shah H, Gallo G. Age- Related Incidence of Sclerotic Glomeruli in Human Kidneys. Am J Patho 1975; 80: 227-34. [ Links ]
6. Anderson S, Brenner BM. Effects of Aging on the Renal Glomerulus. Am J Med 1986; 80(3): 435-42. [ Links ]
7. Epstein M. Aging and the Kidney. J Am Soc Nephrol 1996; 7: 1106-22. [ Links ]
8. Lindeman RD. Renal physiology and pathophysiology of aging. Am J Kidney Dis 1990; 4: 275-82. [ Links ]
9. Couser WG, Stilmant MM. Mesangial lesions and focal glomerular sclerosis in aging rat. Lab Invest 1975; 33: 491-501. [ Links ]
10. Goldstein RF, tarloff JB, Hook JB. Age-related nephropathy in laboratory rats. Faseb J 1988; 2: 2241-51. [ Links ]
11. Karttunen T, Risteli J, Autio-Harmainen H, Risteli L. Effect of age and diabetes on type IV collagen and laminin in human kidney cortex. Kidney Int 1986; 30: 586-91. [ Links ]
12. Mackensen-Haen S, Bohle A, Christensen J, Wehrmann M, Kendziorra H, Fokot F. The consequences for renal function of widening of the interstitium and changes in the tubular epithelium of the renal cortex and outer medulla in various renal diseases. Clin Nephrol 1992; 37:70-7 [ Links ]
13. Kliem V, Johnson RJ, Alpers CE, Yoshimura A, Couser WG, Koch KM et al. Mechanisms involved in the pathogenesis of tubulointerstitial fibrosis in 5/6 nephrectomized rats. Kidney Int 1996; 49(3): 666-78. [ Links ]
14. Mackensen-Haen S, Grund KE, Sindjic M, Bohle A. Influence of the renal cortical interstitium on the serum creatinine concentration and serum creatinine clearance in different chronic sclerosing interstitial nephritides. Nephron 1979; 24: 30-4. [ Links ]
15. Pichler R, Andoh T. Differential expression of nitric oxide synthase (nos) isoforms in csa nephropathy: potential regulation by osteopontin (opn). Abstrac. J Am Soc Nephrol 1996; 7: 1763. [ Links ]
16. Risdon RA, Sloper JC, De Wardener HE. Relationship between renal function and histological changes found in specimens from patients with persistent glomerular nephritis. Lancet 1968; 2: 363-6. [ Links ]
17. Schainuck LI, Striker GE, Cutler RE, Benditt EP. Structural-functional correlations in renal diseases. Hum Pathol 1970; 1(4): 631-41. [ Links ]
18. Atkinson J. Effect of aging and chronic angiotensin I converting enzime inhibition on the endothelial function of the mesenteric arterial bed of the rat. Am J Cardiol 1995; 76(15): 19E-23E. [ Links ]
19. Kung CF, Luscher TF. Different mechanism of endothelial dysfunction with aging and hypertension in rat aorta. Hypertension 1995; 25(2): 194-200. [ Links ]
20. Mayhan WG, Faraci FM, Baumbach GL, Heistad DD. Effects of aging on responses of cerebral arterioles. Am J Physiol 1990; 258 (4 pt 2): H1 138-43. [ Links ]
21. Lindeman RD, Goldman R. Anatomic and physiologic age changes in the kidney. Exp Gerontol 1986; 21(4-5): 379-406. [ Links ]
22. Hicks JD. Vascular changes in the kidneys of nzb mice and nzb x nzw hybrids. J Path Bact 1966; 91(2):479-86. [ Links ]
23. Hicks JD, Burnet FM. Renal lesions in the autoinmune mouse strains nzb and f1 nzbxnzw. J Path Bact 1966; 91(2): 467-77. [ Links ]
24. Kagawa J, Uchida E, Yokota H, Yamaguchi M, Taniyama H. Inmunohitochemical localization of apolipoprotein b-100 and expression of glutathione peroxidase (gsh-po) in canine atherosclerotic lesions. Vet Pathol 1998; 35(3):227-9. [ Links ]
25. Carlson GP. Thermoregulation and fluid balance in the exercising horse. Equine Exercise Physiology. 1 ed. Cambridge: Edited by DH Snow. Granter edition; 1983. [ Links ]
26. Convertino VA. Blood volume: its adaptation to endurance training. Indianapolis. Med Sci Sports Exerc 1991; 23:1338-48. [ Links ]
27. Claybaugh JR, Pendergast DR, Davis JE, Akiba C, Pazik M, Hong SK. Fluid conservation in athletes: responses to water intake, supine posture, and immersion. England. J Appl Physiol 1986; 61(1):7-15. [ Links ]
28. McKeever KH. Effect of exercise on fluid balance and renal function in horses. Vet Clin of North Am 1998; 14(1): 23-44. [ Links ]
29. Hinchcliff KW, McKeever KH, Schmall LM, Kohn CW, Muir WW 3rd. Renal and systemic hemodynamic responses to sustained submaximal exertion in horses. England. Am J Physiol 258 (suppl): r11177-83. [ Links ]
30. Farquhar WB, Kenney WL. 1999. Age and renal prostaglandin inhibition during exercise heat stress. en: abstract J Appl Physiol 86(6): 1936-43. [ Links ]
31. Kregel KC. Augmented mesenteric and renal vasoconstriction during exercise senescent fischer 344 rats, en: abstract J Appl Physiol 79(3): 706-12.. [ Links ]
32. Osato S, Onoyama K, Okuda S, Sanai T, Hori K, Fujishima M. Effect of swimming exercise on the progression of renal dysfunction in rat with focal glomerulosclerosis. Nephron 1991; 55. 306-11. [ Links ]
33. Eidemak I, Haaber AB, Feldt-Rasmussen B, Kanstrup IL, Strandgaard S. Exercise training and the progression of chronic renal failure. Nephron 1997; 75: 36-40. [ Links ]
34. Poortmans JR. Exercise and renal fuction. Sports Med 1984; 1(2):125-53. [ Links ]
35. Gardner KD jr. Athletic pseudonephritisalternation of urinary sediment by athletic competition..Jama 1956; 161(17): 1613-17. [ Links ]
36. Lichtig C, Levy J, Gershon D, Reznick AZ. Effect of exercise on the kidney of aging mice. Isr J Med Sci 1989; 25:376-81 [ Links ]
37. Weissgarten J, Averbukh Z, Modai D. Exercise training and progession of chronic renal failure. Nephron 79(2):224. [ Links ]
38. Terreros DA. Aging, exercise and kidney. University of Utah 1999. Disponible en: URL: www.umed.med.utah.edu/renal [ Links ]
39. Heifets M, Davis TA, Tegtmeyer E, Klahr S. Exercise training ameliorates progressive renal disease in rats with subtotal nephrectomy. Kidney Int 1987; 32(6): 815-20. [ Links ]
40. Yared A, Ichikawa I. Glomerular circulation and function. En: barrat tm ed, pediatric nephrology, 4 th ed.baltimore:lippincott williams & wilkins, 1999. p. 40-58. [ Links ]
41. Greco BA, Breyer JA. Atherosclerotic ischemic renal disease. Am J Kidney Disease 1997; 29(2):167-87. [ Links ]
42. Thomas SE, Anderson S, Gordon KL, Oyama TT, Shankland SJ, Johnson RJ. Tubulointerstitial disease in aging: evidence for underlying peritubular capillary damage, a potential role for renal ischemia y pathophysiology of renal disease. J Am Soc Nephron 9(2): 231-42. [ Links ]
43. Baylis C, Fredericks M, Wilson C, Munger K, Collins R. Renal vasodilatory response to intravenous glycine in the aging rat kidney. Am J Kidney Dis 1990; 15(3): 244-51. [ Links ]
44. Brenner BM, Meyer TW, Hostetter TH. Dietary protein intake and the progressive nature of kidney disease: the role of homodynamically mediated glomerular injury in the pathogenesis of progressive glomerular sclerosis in aging, renal ablation and intrinsic renal disease. N Engl J Med 1982; 307 (11): 652-59. [ Links ]
45. Meyer B. Renal function in ageing. Journal of the American Geriatrics Society. 1989; 37:791-800 [ Links ]
46. Yoshida F, Matsuo S, Fujishima H, Kim HK, Tomita T. Renal lesions of the fgs strain of mice: a spontaneus animal model of progressive glomerulosclerosis. Nephron 1994; 66(3): 317-25. [ Links ]
47. McDermott GF, Ingram A, Scholey J, Kirkland JL, Whiteside CI. Glomerular dysfunction in the aging fisher 344 rat is associated with exessive growth and normal mesangial cell function. Journals of Gerontology 1996; 51(2):80-9. [ Links ]
48. Cortés P, Zhao X, Dumler F, Tilley BC, Atherton J. Age-related changes in glomerular volume and hydroxyproline content in rat and human. J Am Soc Nephrol 1992; 2(12):.1716-25. [ Links ]
49. Riser BL, Cortés P, Zhao X, Bernstein J, Dumler F, Narins RG. Intraglomerular pressure and mesangial stretching stimulate extracelullar matrix formatioon in the rat. J clin invest 1992; 90:1932-43 [ Links ]
50. Fliser D, Ritz E. Relationship between hypertension and renal function and its therapeutic implications in the elderly. Gerontology 1998; 44(3):123-31 Review. [ Links ]
51. Levi M, Rowe JW. Aging and the kidney. in Schrier RW and Gottschalk CW (ed.): diseases of the kidney, 4th ed., boston, little, brown and co., 1988. [ Links ]
52. Darmady EM, Offer J, Woodhouse MA. The parameters of the aging kidney. Patology 1973; 109(3):195-207. [ Links ]
53. Abrass CK. The nature of chronic progressive nephropathy in aging rats. Adv Ren Replace Ther 2000; 7(1): 4-10. [ Links ]
54. Sappino AP, Schurch W, Sabbiani G. Biology of disease. Differentiation repertoire of fibroblastic cells: expression of cytoskeletal proteins as markers of phenotypic modulation. Lab Invest . 1990; 63:144-61 [ Links ]
55. Nadasdy T, Laszik Z, Blick KE, Johnson DL, Silva FG. Tubular atrophy in the end stage kidney: a lectin and inmunohistochemical study. Hum Pathol 1994; 25(1): 22-8. [ Links ]
56. Strutz F, Muller GA. Transdifferentiation comes of age. Nephrol Dial Transplant 2000; 15(13): 1729-31. [ Links ]













