Introducción
El mesotelioma maligno es un tumor que deriva de las superficies serosas y es más frecuente en la cavidad pleural que en el peritoneo, que es derivado de las células mesoteliales que se encuentran en pulmones, peritoneo, pericardio y testículos 1. La incidencia del mesotelioma está en aumento; incluso es más común que los cánceres de vejiga y huesos. Con frecuencia, los pacientes evidencian una sintomatología de disnea, angina, tos y emaciación. El tumor puede invadir la pleura visceral y parietal y se extiende a estructuras adyacentes, por lo que es de mal pronóstico, al punto que los pacientes tienen una mediana de supervivencia de seis a dieciocho meses después del diagnóstico 2.
Para el diagnóstico de esta enfermedad se realiza un estudio inmunohistoquímico en el cual se busca clasificar las células en los diferentes tipos, como son epitelioide, sarcomatoso y mixto. Adicionalmente, un estudio de imágenes radiológicas apoya el diagnóstico de derrame pleural 3.
El tratamiento actual incluye cirugía (pleurectomía o neumonectomía extrapleural), seguida de radioterapia, aunque recientemente se ha añadido el uso de quimioterapia con medicamentos como el pemetrexed, cisplatino o carboplatino. El tratamiento paliativo contribuye a mejorar la calidad de vida y a alcanzar un buen control sintomático durante años tras el diagnóstico 4.
Presentación del caso
El caso corresponde a un hombre de 56 años de edad, residente en Ibagué (Tolima, Colombia), de profesión mecánico automotor/industrial, a quien en enero de 2014 se le hallaron tres masas en región torácica con diagnóstico inicial de lipomas, y a quien se remitió a cirugía con el fin de retirárselos. Se le solicitaron exámenes preoperatorios, entre estos una radiografía de tórax (figura 1). Los lipomas fueron extraídos por cirugía ambulatoria y se tomaron muestras de tejido muscular de las regiones torácica y pleural que se remitieron a estudio histopatológico en la ciudad de Bogotá.

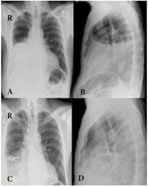
Figura 1 Radiografía de tórax: en la proyección posterior anterior se evidencia opacidad en el tercio interior del hemitórax izquierdo con borramiento del hemidiafragma con ascenso pulmonar ipsilateral (A). En la proyección lateral (B) se visuali za opacidad en 2/3 del hemitórax. En (C) se observa aumento de la silueta pulmonar y del diámetro pulmonar con presen cia de nódulos y posible afectación de los tejidos adyacentes. (D) Hay expansión pulmonar con presencia de consolidación aparentemente paraneumónica
Trascurridos tres meses desde la intervención, el paciente evidenciaba una tos persistente con disnea continua; adicionalmente, emaciación, fatiga, diaforesis nocturna, astenia y adinamia. El paciente ingresó a urgencias, y en el examen físico se auscultó líquido en la región torácica derecha, confirmado por una radiografía, donde se evidenciaba colapso pulmonar izquierdo (figuras 2a y 2b). El paciente fue hospitalizado con un peso de 49 kg y fiebre de 38 °C y se le solicitaron estudios de laboratorio. Según estos, los resultados fueron: hematocrito al 41.5 %; la hemoglobina: 13.8 g/dL; neutrófilos: 13.8 g/dL, y nitrógeno ureico sanguíneo: 19 mg/dL, para orientar el diagnóstico. Como medida clínico-quirúrgica se le drenó el líquido localizado en la región torácica, que dio como resultado un descenso del colapso pulmonar (figuras 2c y 2d). En el manejo hospitalario el paciente fue remitido a la ciudad de Bogotá, en junio de 2014, a una institución hospitalaria de mayor complejidad de atención en salud.

Figura 2 Radiografía de tórax (A y B). Se observa engrosamiento pleural con consolidación unilateral en el ángulo cos to-diafragmático y desplazamiento mediastinal, con visualización de la rama bronquial aparentemente normal. (C y D) Se detalla un aumento del espacio intrapulmonar con evidencia de múltiples consolidaciones en el ápice pulmonar y en el án gulo costo-diafragmático derecho con desplazamiento del mediastino posterior. Pulmón izquierdo aparentemente normal.
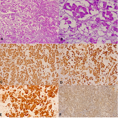
De acuerdo con las pruebas inmunohistoquímicas, se diagnosticó mesotelioma epitelioide maligno, positivo a citoqueatina AE1/AE3, citoqueratinas 5 y 7, citoqueratina de alto peso molecular, calretinina D2-40 y antígeno epitelial de membrana (figuras 3a-3d). La medida quirúrgica es la realización de una toracotomía, con pleurodesis química y se dejó con dren de Blake hasta que se detuviera la producción de líquido pleural "anormal". Se remitió a inicio de tratamiento oncológico.

Figura 3 Los cortes con tinción de hematoxilina-eosina observados (A) 10X y (B) 40X muestran neoplasia infiltrativa en los tejidos blandos con presencia de focos de necrosis, estroma de aspecto desmoplásico, se compone de células poligona les de citoplasma eosinófilo amplio, con núcleos de tamaño variable visibles, que forman grupos similares a glándulas. Los marcadores de inmunohistoquímica son positivos para el cóctel de (C) 10X y (D) 10X citoqueratinas 5, 6 y 7. La positividad fuerte y difusa para la calretinina (E) 10X y (F) 4X en patrón membranosos para D240 y la negatividad para el antígeno carcinoembrionario policlonal son cosistentes con el diagnóstico de mesiotelioma epitelio de maligno.
En julio de 2014 inició quimioterapia con pemetrexed (inhibidor de enzimas dependientes de folatos, que bloquea la síntesis de nucleótidos) y cisplatino (inhibidor de la replicación de ADN y ARN). Luego fue dado de alta con indicación de oxígeno y el dren de Blake para evitar el colapso pulmonar. Este dren se le retiró cuatro meses después de su ubicación, puesto que el paciente dejó de producir líquido. En el entretanto continuó con éxito sus sesiones de quimioterapia, debido a las cuales se evidenció la desaparición de la fiebre y un aumento del peso (entre 3 y 5 kg por mes).
Seis meses después, el paciente fue valorado por el cirujano, y los estudios imagenológicos evidenciaron que las múltiples masas de la región torácica y la parte posterior del corazón disminuyeron de tamaño, por lo que le sugirieron seis sesiones más de quimioterapia. Sin embargo, el paciente desarrolló alergia a uno de los medicamentos con prurito que comenzó en el tórax y que se diseminó a las extremidades, tratado con hidrocortisona. Las sesiones de quimioterapia se hicieron, entonces, más continuas para disminuir las masas y se consideró la opción de extraerlas quirúrgicamente.
Para enero de 2016, el paciente tuvo una marcada disminución en el tamaño y número de las masas pulmonares, por lo que se siguió con el tratamiento. Se le solicitó una tomografía por emisión de positrones contrastado. El resultado del examen mostró un engrosamiento en las pleuras del hemitórax derecho, con derrame pleural escaso, aunque no se pudo medir el grosor del tumor por la falta del medio de contraste.
En junio de 2016, le cambiaron los medicamentos de quimioterapia por gemcitabina, debido a la persistencia de sintomatología alérgica, con doble refuerzo a los días 1 y 8 de tratamiento. Continuó con estos hasta mayo de 2017. En esa fecha, se pasó a medicamentos de segunda línea, puesto que el paciente reaccionó con alergia a uno de los medicamentos. El pemetrexed fue remplazado por vinorelbina con tres refuerzos a los días 1, 8 y 15. El paciente falleció en febrero de 2018.
Discusión
El mesotelioma es un tumor que deriva del mesotelio, una de las capas de células del mesodermo de la cavidad celómica en estado embrionario, que posteriormente con el desarrollo dará lugar a la pleura, al pericardio, al peritoneo y a la túnica albugínea del testículo. Este origen mesodérmico le confiere la potencialidad de desarrollar un componente epitelioide y otro sarcomatoso. El mesotelioma puede desarrollarse en las cavidades donde se desarrolla el mesotelio 5.
Desde la década de 1960 se conoce la asociación de este tumor con la exposición al asbesto 6,7. Aproximadamente, en el 80 % de los casos de mesotelioma hay una relación causa-efecto que se debe a la exposición laboral con el asbesto y donde múltiples profesiones se ven implicadas.
Una revisión publicada en 1984 informó que el talco con el que se realiza la pleurodesis química en los pacientes con mesotelioma es un silicato magnésico hidratado, cuya composición aproximada es de sílice, magnesio y agua. Se sugería que esta mezcla puede inducir apoptosis en células tumorales e inhibir la angiogénesis, con lo que se contribuye a un mejor control de la efusión pleural maligna, aunque la célula mesotelial pleural es el objetivo principal y desempeña un papel fundamental en todo el proceso, incluyendo inflamación difusa, desequilibrio pleural coagulación-fibrinólisis, reclutamiento de fibroblastos y la subsiguiente proliferación y producción de colágeno después de la aplicación intrapleural del agente esclerosante 8,9.
Un artículo publicado por Alfonso Oropesa et al., en 2012, habló del tratamiento del derrame pleural paraneoplásico y demostró que la pleurectomía es un buen método para el control de derrame y una técnica quirúrgica con una efectividad del 99 %, pero a costa de una mortalidad de entre el 6 % y el 10 %, y una morbilidad del 23 % (10). Por parte de la pleurodesis, parece tener menor morbilidad y mortalidad, menos efectos colaterales y previene la recurrencia del derrame.
En un ensayo clínico aleatorizado en 2008, realizado en el Reino Unido, con pacientes diagnosticados con mesotelioma y que recibieron ciclos cortos de quimioterapia, se observó que aquellos sometidos adicionalmente a neumonectomía extrapleural presentaban mayor supervivencia, comparados con los pacientes que no se sometieron a este procedimiento (nueve vs. siete meses, respectivamente) (11.
Bessel Suffian Al-Alao et al., en un artículo publicado en 2012, describieron las características asociadas a la supervivencia de los pacientes que padecen mesotelioma pleural maligno. Informaron que a los pacientes a quienes se les realiza decorticación y neumonectomía no les afecta la supervivencia; mientras que la quimioterapia se asocia con una mejor supervivencia, y la pleurodesis con talco es un determinante independiente para la supervivencia 12. Para este caso, la sobrevida del paciente fue más alta, posiblemente, mediada por la combinación de tratamientos.
Bielsa et al. describieron la importancia pronóstica del análisis del líquido pleural en pacientes con derrame maligno 13. Evidenciaron que la mediana de supervivencia global de los pacientes con derrame pleural maligno fue de cinco meses después del diagnóstico y que la supervivencia varió significativamente según el tipo de tumor primario: diecisiete meses para el mesotelioma, en este caso 14. Además, informaron que la predicción de supervivencia en pacientes que padecen mesotelioma pleural maligno a través de tomografía computarizada demostró que los cambios en el volumen del tumor después de dos ciclos de quimioterapia predijeron la supervivencia en pacientes con mesotelioma pleural maligno, la cual fue de trece meses más larga que aquellos pacientes con un volumen de tumor aumentado 14. Si bien la supervivencia del paciente en este caso fue mayor y no se medió el líquido pleural, su tratamiento y seguimiento evidenciaron su eficacia en el aumento de la supervivencia.
Weder et al. publicaron un ensayo multicéntrico donde informaron una mediana de supervivencia de 23 meses a quienes fueron sometidos a quimioterapia y neumonectomía extrapleural 15. Si bien los resultados publicados hasta ahora son indicativos de que la cirugía radical puede estar asociada con una supervivencia más larga en comparación con la quimioterapia sola, una tesis doctoral publicada en Madrid, en 2017, finalmente, reportó que de 474 pacientes con análisis de supervivencia, la mediana fue de ocho meses 16. Además, un pH bajo en el líquido pleural mostró el fracaso de la pleurodesis, debido a una mayor actividad tumoral en la cavidad pleural y a una mayor actividad metabólica que favorezca la reacumulación de líquido y, por tanto, una pleurodesis fallida. Resultados del estudio del líquido pleural como un pH mayor o igual a siete pueden presentar supervivencia, aunque sin significación estadística; así mismo una glucosa mayor a 60 mg/dL se asoció con mayor supervivencia. Lo reportado en este caso demuestra que el uso de pleurodesis química incrementó la supervivencia del paciente en más de cuatro años.
Las opciones terapéuticas para esta enfermedad son pocas y el método para emplear un tratamiento es ampliamente controvertido, entre los que se incluyen procedimientos quirúrgicos, quimioterapia y radioterapia. Múltiples ensayos han concluido que la tasa de sobrevida varía en pacientes a quienes se les realice neumonectomía, que tiene mayor supervivencia comparada con aquellos a quienes únicamente se les realiza un procedimiento quirúrgico extrayendo pleura o pulmón. Esto se podría considerar como pilar fundamental del tratamiento 17,18.
Se deben realizar estudios exhaustivos de antecedentes en los pacientes, pues la clínica de esta enfermedad es inespecífica y no permite la identificación oportuna. De ser así, se puede brindar tratamiento pertinente que ayude a mejorar la calidad de vida y el pronóstico de la enfermedad.













