Introducción
Dentro de su constitución, los huesos maxilares, comúnmente, son afectados por una gran variedad de quistes y neoplasias que pueden dificultar su diagnóstico. El conocimiento sobre estas lesiones es de suma importancia, debido al alto índice de recurrencia. Es sobresaliente el comportamiento clínico variable de los quistes y el desconocimiento de su etiología 1. Los quistes están relacionados con un crecimiento anormal de forma redondeada, el cual se compone principalmente de dos tejidos, uno conectivo y otro epitelial. En su interior, se encuentran tapizados por epitelio y recubiertos en su cara externa por tejido conectivo, que encierra un contenido líquido o semilíquido 2.
El queratoquiste (QR) se conoce como una lesión intraósea benigna muy agresiva que comprende aproximadamente el 10 % de todos los quistes de los maxilares. Con un alto grado de recidiva, su mayor incidencia es en la mandíbula. Del 65 °% al 80 °% de los casos se encuentran en la rama y el ángulo mandibular. No muestra predilección por sexo, pero es más prevalente en hombres que en mujeres, con mayor frecuencia entre la segunda y cuarta décadas de la vida 3.
De acuerdo con diversos estudios, se ha planteado el origen del QR está en una hiperactividad de tejido odontógeno retenido dentro de los maxilares, como lo son los restos de la lámina epitelial de Hertwig, los restos de Malassez o el epitelio reducido del esmalte; por esto, la literatura científica actual sugiere que también pueden remitirse de una extensión de la unidad basal de la membrana bucal, ya que en estudios histopatológicos se ha encontrado que cubren dicha lesión quística. Este tipo de patología también puede provenir del órgano dentario durante su formación, exactamente del retículo estrellado, previo a la formación del esmalte dental 4.
Clínicamente, el QR puede presentarse como un aumento de volumen de larga evolución, crecimiento lento y expansivo. Cuando ha crecido mucho, suele ser asintomático y estar asociado con un proceso infeccioso secundario; sin embargo, en muchos casos, corresponde a un hallazgo radiográfico, por lo que puede ser imperceptible para el paciente. Cabe señalar que puede generar ciertos cambios, como asimetría facial consecuente a la expansión ósea, parestesia, aumento del volumen de los tejidos blandos adyacentes, desplazamiento y sensibilidad dentaria; además, alcanza un gran tamaño y puede llegar a desarrollar fracturas patológicas 5. Cuando se encuentra en el maxilar superior, es capaz de llegar afectar el seno maxilar, causar destrucción del piso de la órbita, proptosis del globo ocular, entre otros 6.
Desde el punto de vista histológico, se presenta una pared de tejido conectivo denso con una delgada y frágil cápsula de tejido fibroso revestida de un epitelio escamoso estratificado uniforme de varias capas celulares, acompañado de pequeños islotes de epitelio, similares a los del epitelio de revestimiento. Estos y los quistes pequeños representan las terminaciones de epitelio de revestimiento de la cavidad quística principal; entre tanto, la capa basal definida posee células en empalizadas cúbicas o cilíndricas con núcleos hipercromáticos. La luz del quiste contiene restos de queratina y quistes satélites en el tejido conjuntivo, también puede presentarse colesterol, así como cuerpos hialinos en el sitio de la inflamación 7.
Existen dos tipos de variantes de QR: en primer lugar, el paraqueratinizante, el cual presenta un epitelio estratificado delgado de 8 a 10 capas y superficie paraqueratinizada y corrugada, sin invaginaciones dermoepiteliales. Las células basales presentan núcleos polarizados, hipercromáticos y dispuestos en hilera; esta variante superficie paraqueratinizada tiene una alta tasa de recurrencia, un carácter localmente destructivo y una tendencia a ser múltiple. Suele estar asociada con el síndrome de Gorlin-Goltz. En segundo lugar, el ortoqueratinizante, que es menos común y presenta un revestimiento epitelial fino, con una capa granulosa y otro estrato más espeso de ortoqueratina no corrugada, células basales poco evidentes y lleno de un material compatible con queratina. Esta variante es de crecimiento limitado, con una baja tasa de recidiva y frecuentemente está asociada con un diente retenido 8.
Algunos autores sugieren que el QR podría presentar un potencial de malignidad asociado con algunos síndromes, puesto que se ha observado que la expresión de la proteína p53 se eleva en estos casos. Por otro lado, se ha hallado la expresión de la ciclina D1 y del p53 en los QR más agresivos. Aun así, la transformación maligna sigue siendo baja y no existe claridad con relación al mecanismo oncológico del QR 4. Su diagnóstico definitivo lo determina el análisis histopatológico, el cual se puede obtener realizando una biopsia incisional previa a la resección completa de la lesión, lo que implica dos intervenciones quirúrgicas: o bien realizando el estudio histopatológico y tratamiento definitivo en una misma cirugía, por medio de una biopsia rápida por congelación, o bien llevar a cabo un diagnóstico diferencial con otras lesiones quísticas que presentan un comportamiento similar, como son: quiste dentígero, mixoma, ameloblastoma uniquístico, quiste residual o quiste radicular 9.
Sus características radiográficas son variables. El QR se manifiesta como una lesión radio-lúcida, de forma ovalada o redondeada, con bordes definidos, irregulares, festoneados, uni o multiloculares, con presencia de un halo esclerótico periférico. Generalmente, no expanden corticales óseas, pero pueden erosionar las tablas óseas y producir reabsorción radicular. Es posible que esté o no asociado con la corona de un diente retenido, y observarse similar a un quiste dentígero, ameloblastoma, quistes residuales, periodontales, laterales y radiculares 10.
El tratamiento del QR resulta ser controversial, debido a su recidiva; sin embargo, entre las alternativas están incluidas: enucleación simple, curetaje y marsupialización o resección en bloque o completa del hueso; también se utilizan tratamientos coadyuvantes, como el curetaje químico con la solución de Carnoy (sc), crioterapia y ostectomía periférica. La elección de cada técnica depende del caso particular de cada paciente. Cuando se plantea este procedimiento, se conservan los dientes asociados a la lesión pero que no estén afectados 11.
El artículo tiene como objetivos demostrar la importancia de un diagnóstico correcto, una detección temprana y acertada; inferir la necesidad de utilizar la sc como primera línea de tratamiento, y determinar el momento oportuno para hacerlo, en caso de que sea necesario, y así evitar los posibles daños que esta puede causar, para que, de esta manera, el paciente reciba el mejor tratamiento.
Presentación del caso
El caso corresponde a un hombre de 34 años de edad, quien acudió a una consulta privada de estomatología y cirugía maxilofacial, remitido por odontología general, por presentar sintomatología dolorosa del lado inferior izquierdo, acompañado de sensibilidad dental.
Con respecto a los antecedentes médicos personales, negó antecedentes de importancia. Refirió que un año atrás había presentado una lesión radiolúcida localizada en los órganos dentarios 34 y 35, detectada por su odontólogo general, quien lo remitió a un especialista del área de endodoncia. Por tal motivo, le realizaron la endodoncia de estos y le removieron la lesión, que no se envió a estudio patológico. Ocho meses después, comenzó a sentir sensibilidad en los órganos dentarios adyacentes, por lo que decidió consultar nuevamente odontología general, donde le solicitaron una tomografía Cone Beam. Esta evidenció una lesión hipodensa de mayor tamaño que las iniciales en la hemiarcada inferior izquierda. Se tomaron las medidas que involucran la lesión (figura 1).

Figura 1 Tomografía computarizada Cone Beam de mandíbula. Se observa una lesión hipointensa en la hemiarcada inferior izquierda y sus dimensiones
Clínicamente, se observa dentición permanente, en las tablas linguales, torus mandibulares bilobulados asintomáticos a la palpación. En tabla vestibular de la hemiarcada inferior izquierda presentaba una masa de aproximadamente 5 x 6 cm crepitante y asintomática a la palpación, cuya mucosa que lo recubre se observa normocrómica con respecto a la mucosa adyacente, de tiempo de evolución de aproximadamente un año. En los órganos dentarios 33, 34, 35 y 36 presenta movilidad grado n con prueba de sensibilidad positiva para 31, 32, 33 y 36. De ahí que se consideren diagnósticos diferenciales de mixoma odontogénico, ameloblastoma y QR. Se decide la toma de una biopsia, cuyos resultados confirman el de QR.
Con los resultados clínicos, imagenológicos e histológicos, se decide consultar el algoritmo terapéutico propuesto por Arenas et al., teniendo en cuenta los antecedentes de tratamiento previos y así poder determinar la mejor pauta a seguir (figura 2) 12.
Teniendo en cuenta el algoritmo terapéutico estándar, se decide llevar a cabo la marsupialización, enucleación más adyuvancia, que consiste en la exodoncia quirúrgica de los órganos dentarios involucrados en la lesión, para luego de la endodoncia de los órganos dentarios adyacentes, se dé un manejo conservador como primera línea, sin el uso de la SC.
Quirúrgicamente, se procede bajo anestesia general a infiltración con lidocaína al 2 % + epinefrina en la hemiarcada inferior izquierda del nervio largo bucal, lingual e infiltrativa de Selding, para seguidamente llevar a cabo una incisión lineal festoneada con descargas mesiales y distales, junto con el levantamiento del colgajo mucoperióstico de espesor total. Se localiza la lesión quística (figura 3a), se procede con descompresión de esta, se continúa con exodoncia quirúrgica de los órganos dentarios 34 y 35, seguido de enucleación, decorticación/ curetaje óseo, desbridamiento y lavado profuso con solución salina al 0.9 %. Se rechaza el nervio mentoniano y se esqueletoniza para proteger su integridad (figura 3b). Se regularizan los rebordes óseos, para continuar con colocación de sonda Nelaton desde la luz del quiste hasta posicionarla en región lingual adyacente a 33 con sutura. Se procede con el cierre del colgajo con puntos simples de sutura, sutura continua y colchoneros con vycril 3.0 (figura 3c). Se finaliza el procedimiento, en el que se presentó una hemorragia del canal alveolar inferior, que se resuelve con cauterización.

Figura 3 Procedimiento quirúrgico. A) Localización de la lesión. B) Rechazo del nervio mentoniano. C) Cierre del colgajo
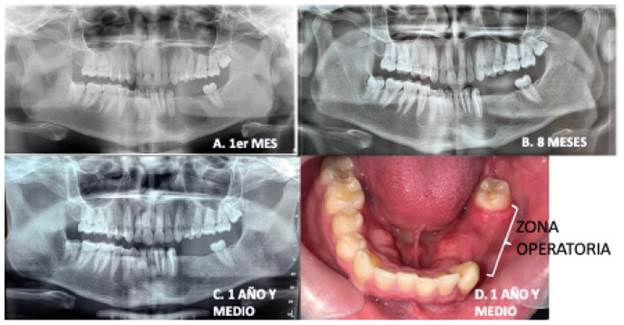
El seguimiento se llevó a cabo al mes del procedimiento con una radiografía panorámica, en la que se observó una disminución de la zona radiolúcida, en comparación con la situación inicial. En dicho mes se habían dado indicaciones de lavado con clorhexidina al 0.12 % más digluconato cada 12 horas durante los 30 días, a través de la sonda Nelaton, que conecta con la luz quística. En este control, se remitió el paciente al endodoncista, para el tratamiento del órgano dentario 33. Posteriormente, hubo controles a los 8 meses y al año y medio, tanto imagenológicamente como clínicamente, donde se puede ver la regeneración ósea casi completa (figura 4).

Figura 4 Seguimiento. A) A un mes. B) A los 8 meses. C) Al año y medio. D) Regeneración ósea al año y medio
Por la evolución que ha presentado el paciente, sin sintomatologia ni recidiva de la lesión después de 23 meses de control y sin necesidad de haber usado la sc, dentro del plan de tratamiento se plantea extraerle los terceros molares y regenerar la zona con injerto en bloque y particulado para colocarle implantes en la zona posteroinferior izquierda, seguido de rehabilitación sobre estos. No obstante, por falta de sustento económico, no puede iniciar dicho tratamiento y se maneja con prótesis removible. Por todo ello, se puede decir que al día de hoy el paciente presenta una buena evolución; sin embargo, se sugiere darle al caso un seguimiento durante más de cinco años.
Consideraciones éticas
Todos los procedimientos del estudio que involucraron participantes humanos se ciñeron a los estándares éticos del comité de investigación institucional o nacional y a la Declaración de Helsinki 2013 13. Asimismo, se contó con el consentimiento informado por escrito por parte del paciente para la publicación de sus fotografías clínicas y con el permiso para la divulgación del caso, protegiendo los datos personales, así como la imagen del paciente.
Discusión
El QR odontogénico pertenece a uno de los quistes más estudiados en patología oral, por su alta recurrencia y comportamiento agresivo. Autores como León Ramírez et al., en 2021, confirmaron en su estudio que el QR muestra una mayor prevalencia e incidencia por el sexo masculino, a cualquier edad de vida, pero teniendo más predilección por la segunda, tercera y cuarta décadas 14. Generalmente, se localiza en la región posterior de la mandibular en la zona de los morales inferiores; sin embargo, puede presentarse también en el maxilar superior y en asociación con la presencia de órganos dentales retenidos. Ello presenta una gran concordancia con el caso descrito, porque se relaciona con la variable sexo y edad para el desarrollo de esta lesión.
En la actualidad se contemplan muchas opciones de tratamiento que pueden combinarse entre sí; pero no se ha logrado un consenso definitivo que indique cómo debe ser la terapéutica para el manejo de esta patología, ya que cada lesión puede presentarse con una gran variabilidad de características entre cada paciente, lo que lleva a que la conducta no sea completamente igual en todos los casos. Cabe mencionar que todos los tratamientos se enfocan en eliminar la lesión, así como en disminuir el riesgo de recidiva tras el tratamiento. Entre las soluciones adyuvantes se encuentra la sc, la crioterapia u ostectomía periférica y la irrigación con solución salina 9.
La SC es un agente cauterizador que posee una rápida fijación tisular, al desvitalizar las células tumorales y controlar la hemostasia. Presenta una penetración de hasta 1.54 mm de profundidad, por lo que está contraindicado su uso en el maxilar superior, por la posible necrosis de la membrana del seno maxilar, y en el maxilar inferior se debe tener en cuenta la cercanía con el nervio alveolar inferior 14. Esta solución también se aplica en aquellas zonas en las lesiones quísticas o tumorales, donde estaba adherido a los tejidos blandos. Después de realizada la enucleación, ayuda a reducir la recidiva de la lesión, ya que actúa a nivel de las proteínas, coagulándolas. Entre los diversos componentes se encuentra el etanol, el cloroformo, el ácido acético y el ácido fénico. La solución reduce la destrucción de células de la pared remanente y células hijas 15.
Sin embargo, en el momento de utilizar la SC, se debe tener precaución con los tejidos blandos, para evitar la necrosis y aumentar la morbilidad postoperatoria; además, puede causar déficits persistentes de la función neural, dependiendo de la duración de la exposición. Algunos autores indican que no es prudente el empleo de la sc como tratamiento adyuvante para el QR, por los riesgos para las estructuras adyacentes, como el tejido nervioso. Así mismo, se cree que existe la posibilidad de efectos carcinogénicos, debido a que contiene cloroformo. De esta manera, la sc es citotóxica para los queratinocitos 16. En la tabla 1 se reseñan las ventajas y desventajas de la sc 17,18.
Tabla 1 Comparativo sobre las ventajas y desventajas de la solución de Carnoy
| Ventajas | Desventajas |
|
• Elimina la presencia de microquistes en la pared ósea. • Evita la resección quirúrgica en bloque. • Elimina las células tumorales. |
• Puede dañar el tejido blando y el nervio dentario inferior, al causar una neurotoxicidad irreversible. • Ocasiona toxicidad para los tejidos blandos, piel y folículos dentales adyacentes (especialmente en niños). • Puede producir necrosis ósea. • Altera la estructura ósea (parte inorgánica) del defecto. • Produce necrosis tisular, daño irreversible a la superficie y desvitalización de los márgenes óseos, sin posibilidad de injerto óseo inmediato. • Infección, dehiscencia, secuestro óseo. |
El tratamiento conservador se enfoca en la descompresión mediante la remoción quirúrgica completa de la lesión. En casos más complejos se lleva a cabo una resección en bloque o una resección mandibular por segmentos. El defecto óseo generado durante dicho procedimiento puede ser completado mediante algunos materiales o trasplantes autógenos para acelerar la cicatrización. La elección del tratamiento dependerá de la edad del paciente, el tamaño de la lesión y la localización del quiste; posteriormente, se realiza seguimiento durante cinco años 19. De Castro et al., en 2018, reportaron en una revisión sistemática y metanálisis que existe una tasa de éxito superior en aquellos casos de tratamiento conservador de QR donde se emplea la descompresión seguida de enucleación, en vez de enucleación únicamente, ya que con este enfoque se presentan un mejor pronóstico y menor índice de recidiva 20. Tal y como se realiza en el presente caso.
De este caso se puede concluir que es indispensable una valoración detallada de esta patología, con la finalidad de evitar daños irreversibles que lleguen a afectar la calidad de vida del paciente, ya que presenta una alta recurrencia y potencial de agresividad. Es relevante mencionar que este caso se abordó tras un riguroso análisis fotográfico, imagenológico e histopatológico y que, así mismo, se tuvieron en cuenta las condiciones de salud del paciente. Por consiguiente, este plan de tratamiento se emplea como una correcta y adecuada opción para el abordaje, debido a que aproximarse a una lesión con estructuras anotómicas de gran importancia, como el nervio alveolar inferior, podría poner en riesgo el empleo de alguna solución coadyuvante como la sc, ya que esta esta en la capacidad de ocasionar graves lesiones al nervio, si tiene contacto directo con la lesión.
Se ha podido concluir que, a pesar de no emplear dicha solución, el caso ha presentado una evolución muy favorable. Aun así, debido a la posibilidad de recurrencia tardía, siempre se recomienda un seguimiento postoperatorio a largo plazo. Por otra parte, no se descarta el uso de la sc en casos aislados y según criterio del operador.














