Services on Demand
Journal
Article
Indicators
-
Cited by SciELO -
Access statistics
Related links
-
Cited by Google -
Similars in
SciELO -
Similars in Google
Share
CES Medicina Veterinaria y Zootecnia
On-line version ISSN 1900-9607
Ces. Med. Vet. Zootec. vol.11 no.1 Medellín Jan./June 2016
Artículos originales de investigación
Histopathological determination of pneumonic patterns of the bovine respiratory complex in the city of Pasto, Colombia¤
Determinación histopatológica de patrones neumónicos del complejo respiratorio bovino en el municipio Pasto, Colombia
Determinación histopatológica de patrones neumónicos del complejo respiratorio bovino en el municipio Pasto, Colombia
Darío Antonio Vallejo Timarán1*, MV, Esp; Carlos Alberto Chaves Velásquez1, MV, Esp; ; Diana Patricia Morillo Patiño2,MV; Juan Manuel Astaíza Martínez1, MVZ, MSc; Cristhian Camilo Melo López3, MV.
.
¤Para citar este artículo: Vallejo Timarán DA, Chaves Velásquez CA, Morillo Patiño DP, Astaíza Martínez JM, Melo López CC. Determinación histopatológica de patrones neumónicos del complejo respiratorio bovino en el municipio Pasto, Colombia. Rev. CES Med. Zootec. 2016; Vol 11 (1): 88-99.
*Autor para correspondencia: Darío Antonio Vallejo Timarán. E-mail: davallejot@udenar.edu.co
1 cente departamento de salud animal, Grupo de Investigación en Medicina Interna y Farmacología Veterinaria Mifarvet. Universidad de Nariño, Calle 18 con Carrera 50 Ciudad Universitaria Torobajo, Pasto, Colombia
2 Médico Veterinario. Práctica privada. Frigorífico Jongovito S.A. de Pasto. Grupo de Investigación en Medicina Interna y Farmacología Veterinaria Mifarvet, Universidad de Nariño, Pasto, Colombia
3 Médico Veterinario. Práctica privada. Pasto, Colombia..
(Recibido: 1 de octubre, 2015; aceptado: 3 de marzo, 2016)
Abstract
Bovine Respiratory complex is a respiratory infection caused by the combination of different infeccious agents, compromised host defenses and predisposing factors, with significant morbility, mortality and economic losses. A descriptive, double-blind, transverse study was performed to microscopically characterize the pneumonic patterns of the bovine respiratory complex and relate them with clinical aspects of the disease. A total of 112 samples of lungs from confiscated bovines were taken in the slaughtering house of the city of Pasto, Colombia, which were processed following the paraffin embedding technique and routine haematoxylin-eosin staining. A histopathological description of the pneumonic patterns was done according to distribution and degree of severity, and the lessions were classified according to type of alteration. Interstitial pneumonia was the most common finding (41.1%), followed by bronchial interstitial pneumonia (11.6%). Of the bovines 48.2% were not healthy clinically before sacrifice. The pattern of distribution and inflamattory infiltrate was predominantly mononuclear in interstitial spaces with 41.1%. Chronical alterations were predominant with 60.7%. The results indicate that the bovines in this study are animals with long standing diseases, which have a negative impact in their productive potential and that may be explained by factors such as inadequate sanitary handling, diagnostic failures and clinical abordaje with increased involuntary culling. Clinically, direct and indirect methods are recommended for the diagnosis of respiratory diseases (Serology, PCR).
Key words:Bovine, molecular diagnosis, pneumonia, pathology.
Resumen
El complejo respiratorio bovino, consiste en una infección respiratoria, provocada por la combinación de diferentes agentes infecciosos, compromiso de las defensas del anfitrión y factores predisponente con morbilidad, mortalidad y pérdidas económicas significativas. Se realizó un estudio transversal, doble ciego de tipo descriptivo con el objetivo de caracterizar microscópicamente los patrones neumónicos del complejo respiratorio bovino y relacionarlos con aspectos clínicos de la enfermedad. Se tomaron muestras de 112 pulmones bovinos decomisados en la planta de sacrificio del municipio de Pasto, Colombia, las cuales se procesaron mediante la técnica de inclusión en parafina y tinción de hematoxilina y eosina de rutina. Se realizó una descripción histopatológica de los patrones neumónicos según patrón de distribución y grado de severidad y se clasificaron las lesiones de acuerdo al tipo de alteración. La neumonía intersticial fue el hallazgo más común (41,1%), seguido de la neumonía broncointersticial (11,6%). El patrón de distribución y el infiltrado inflamatorio fue predominantemente mononuclear en espacio intersticial con un 41,1%. Las alteraciones crónicas fueron predominantes en un 60,7%. Los resultados indican que los bovinos objeto de estudio fueron animales con enfermedades crónicas que tienen un impacto negativo en su potencial productivo, explicado en la literatura por el manejo sanitario inadecuado, las fallas en el diagnóstico y el abordaje clínico, que conlleva al descarte involuntario. Clínicamente se recomienda el diagnóstico de afecciones respiratorias mediante métodos directos e indirectos (Serología, PCR).
Palabras clave:Bovino, diagnóstico molecular, neumonía, patología. aballos, gasterophilosis, parásitos, ulceración (Fuente: MeSh).
Resumo
O complexo respiratório bovino consiste em uma infeção respiratória provocada pela combinação de diferentes agentes infeciosos, compromisso das defesas do anfitrião e fatores predisponentes com morbilidade, mortalidade e perdas econômicas significativas. Se realizou um estudo transversal, duplo-cego de caráter descritivo com o objetivo de caracterizar microscopicamente os patrões pneumônicos do complexo respiratório bovino e relacionalos com aspectos clínicos da doença. Tomaram-se amostras de 112 pulmões bovinos interditados no abatedouro do município de Pasto, Nariño, Colômbia, as quais se processaram mediante a técnica de inclusão em parafina e tinção de hematoxilina e eosina rotineiras. Se realizou uma descrição histopatológica dos patrões pneumônicos segundo o patrão de distribuição e o grau de severidade e classificaram-se as lesões de acordo ao tipo de alteração. A pneumonia intersticial foi o achado mais comum (41,1%), seguido da pneumonia broncointersticial (11,6%). O 48,2% dos bovinos não estavam clinicamente saudáveis prévio ao momento de sacrifício. O padrão de distribuição e o infiltrado inflamatório foram predominantemente mononucleares no espaço intersticial com um 41,1%. As alterações crônicas foram predominantes (60,7%). Os resultados indicam que os bovinos objeto de estudo são animais com doenças de curso longo, com impacto negativo em seu potencial produtivo, o qual pode ser explicado por fatores tais como deficiências no manejo do plano sanitário, falhas no diagnóstico e abordagem clinico, tudo isto, aumentando o descarte involuntário. Clinicamente recomenda-se o diagnóstico de afecções respiratórias mediante métodos diretos e indiretos (sorologia, PCR).
Palabras-clave:Bovino, diagnóstico molecular, patologia, pneumonia.
Introducción
Las enfermedades respiratorias, constituyen una de las principales patologías que generan pérdidas económicas en el sector ganadero3. Lo anterior debido a que la enfermedad aumenta considerablemente los costos directos generados por mortalidad, tratamientos, profilaxis, gastos de reposición, servicios veterinarios y costos indirectos, por disminución de la producción14. A pesar de la disponibilidad y el uso de muchas vacunas de patógenos respiratorios bovinos y nuevos fármacos antimicrobianos, así como una mayor comprensión de la patogénesis de la enfermedad; la frecuencia y severidad de las infecciones respiratorias se ha incrementado globalmente siendo estas, una causa importante de morbilidad, mortalidad y uno de los principales problemas de salud en explotaciones de lechería especializada17,18.
No se le ha atribuido una causa específica, al complejo respiratorio bovino (CRB) debido a que este síndrome se caracteriza por la combinación de diferentes agentes infecciosos, compromiso de las defensas del anfitrión, factores predisponentes de la especie y factores de riesgo19,21.
Los microorganismos responsables del CRB son virus (PI3, VRSB, HPVB-1, VDVB, CoVB, AdVB, RVB), bacterias (Mannheimia haemolytica, Histophilus somni, Pasteurella multocida, Trueperella piogenes, Mycoplasma spp, Mycobacterium bovis) y su interacción6,7,20.
Las bacterias relacionadas con mayor frecuencia con las lesiones neumónicas forman parte de la flora residente normal de la nasofaringe de las vacas, por esta razón juega un papel importante en la fisiopatología de la enfermedad, la inmunosupresión provocada por una infección viral previa o la exposición a factores de riesgo 17,21.
Actualmente los estudios se centran en determinar la presencia de los agentes infecciosos de forma indirecta por métodos serológicos; los cuales miden anticuerpos frente a antígenos comunes, sin enfocarse en las alteraciones tisulares10.
En el departamento de Nariño las investigaciones se limitan a la determinación indirecta de la enfermedad mediante medición de niveles de anticuerpos dirigidos al diagnóstico de Rinotraqueitis Infecciosa Bovina (IBR) y Diarrea Viral Bovina (DVB), entre otros, enfocados como entidades involucradas en enfermedades reproductivas e infertilidad y no como patógenos implicados en enfermedades del complejo respiratorio en la zona.
La histopatología permite identificar los agentes infecciosos, determinar el grado de enfermedad o daño tisular y el posible compromiso clínico del animal, permitiendo establecer de manera objetiva las causas de la enfermedad. La histopatología en conjunto con la inmunohistoquímica permite llegar a un diagnóstico mucho más sensible y específico de la enfermedad respiratoria en bovinos.
No existen estudios previos en el departamento de Nariño y el municipio de Pasto que realicen una correlación entre las alteraciones microscópicas, las entidades presentes en la enfermedad y la severidad del daño tisular causado por el agente. Lo anterior permitirá un mejor abordaje de la enfermedad para tomar medidas de control específico en los sistemas de producción bovina, encaminados hacia mejorar la productividad del sector. Adicionalmente, no existe evidencia sobre la presencia de los virus Sincitial Respiratorio y Parainfluenza PI3, desconociendo su participación e impacto en los bovinos de la zona.
El objetivo del estudio fue determinar mediante histopatología los patrones neumónicos del complejo respiratorio y relacionarlos con aspectos clínicos de la enfermedad en el municipio de Pasto.
Materiales y métodos
Diseño metodológico
Se realizó un estudio transversal, doble ciego de tipo descriptivo.
Localización
El estudio se realizó en el municipio de Pasto, departamento de Nariño, en la planta de sacrificio Frigorífico Jongovito (Frigovito S.A.) y el área de cátedra y servicio de Patología Veterinaria de la Universidad de Nariño.
Tamaño de la muestra
Se estimó teniendo en cuenta el total de Bovinos sacrificados en la planta de beneficio Frigovito S.A en el año 2013 (23.837 animales con un promedio de sacrificio mensual de 1.986).
Debido a que no hay reportes específicos en el sector relacionados con diagnóstico histopatológico de la enfermedad. Para determinar la proporción de la población se tomaron como referencia estudios serológicos con una prevalencia del 12% para enfermedades respiratorias en bovinos5. Se estimó el tamaño demuestra mediante la fórmula9.

N= 23.837 bovinos.
Zα= 1.96 para un nivel de confianza del 95% (α= 0.05).
p= proporción de la población.
q=1- p.
e= precisión del estudio 6%.
n = 112.
En total se tomaron muestras de 112 pulmones Bovinos
Técnica de muestreo
Se realizó el muestreo de los pulmones decomisados en la planta de sacrificio del municipio de Pasto (incluyendo los pulmones sanos que son decomisados por bronco aspiración posmortem). Debido a que la procedencia de los animales y el orden de llegada de estos a la planta de sacrificio es variable, el muestreo se considera aleatorio y por lo tanto se muestrearon diariamente todos los decomisos hasta completar el tamaño de la muestra.
Registro de información
Se tuvo en cuenta la trazabilidad durante todo el proceso de muestreo registrando de manera secuencial y sistemática, la procedencia, registró en físico, registro fotográfico y evaluación macroscópica de cada animal incluido en el estudio. El registro se realizó antes de la toma de las muestras. Para la descripción macroscópica se tuvo en cuenta el tipo de lesión observado y el porcentaje de afectación pulmonar.
Toma de muestras
Se tomaron tres muestras de la porción proximal, media y distal del pulmón las cuales se fijaron en formol bufferado al 10% para su transporte. Adicionalmente se tomaron muestras de ganglio linfático y tráquea. Las muestras fueron debidamente rotuladas y transportadas al laboratorio16. Posterior a una fijación en formol de 48 horas, las muestras fueron cortadas y los tejidos procesados mediante la técnica de inclusión en parafina y coloración de hematoxilina y eosina de rutina, en el laboratorio de Patología de la Fundación Hospital San Pedro del Municipio San Juan de Pasto.
Evaluación histopatológica
La lectura de las placas se realizó en el área de cátedra y servicio de Patología Veterinaria de la Universidad de Nariño. Se realizó la descripción histopatológica de los patrones neumónicos según el patrón de distribución y el grado de severidad y se clasificaron las lesiones de acuerdo al tipo de alteración (micro circulatorio, degenerativo, inmunopatológica, inflamatoria, proliferativa)8.
Criterio de inclusión
Bovinos provenientes de sistemas de producción lechera especializada, localizados en el municipio de Pasto.
Variables de estudio
Cambios histopatológicos en pulmones bovinos, patrón de distribución de las lesiones, severidad de las lesiones, tipo de alteración. Hallazgos histopatológicos sugestivos infección viral.
Análisis estadístico
Para la caracterización histopatológica de patrones neumónicos del complejo respiratorio bovino se empleó estadística descriptiva, determinando la participación porcentual de los diferentes variables en la población objeto de estudio, estableciendo la de mayor presentación. Se estableció el porcentaje de muestras sugestivas de infección viral, bacteriana secundaria entre otras, estableciendo el porcentaje de pulmones afectados.
Este estudio se realizó mediante un doble ciego el personal que tomo las muestras, realizo la tinción de las placas y la posterior lectura, desconocían información respecto a la población objeto de estudio. Para el análisis estadístico se empleó el paquete estadístico SPSS 20.0 bajo licencia shareware.
Resultados
Evaluación macroscópica
En el 98% de los casos el grado de severidad de las lesiones fue "Grado 3" (Más del 11% del pulmón afectado)7. Bajo esta condición existe una alta probabilidad de que los animales incluidos en el estudio presenten signos de enfermedad respiratoria en el momento del sacrificio.
Los lóbulos afectados en mayor proporción fueron los apicales y los diafragmáticos. En el 100% de los casos los lóbulos diafragmáticos y cardiacos estaban afectados en conjunto con los lóbulos apicales. Esto indica que la lesión es craneoventral con elevada probabilidad de entrada de los patógenos por vía aerógena.
Se encontraron afecciones en pleura en el 37,82% de los casos con engrosamiento, exudado o adherencias. El compromiso pleural indica una mayor severidad y cronicidad de la afección (mayor probabilidad de signología clínica).
La evaluación del patrón de distribución permite tener una aproximación clínica de la enfermedad respiratoria en la población objeto de estudio (severidad del daño, vía de entrada), al realizar esta evaluación se encontró que el patrón mixto (concomitancia de diferentes patrones de distribución macroscópica dentro de un mismo tejido evaluado) fue el de mayor presentación (58,5%). Lo anterior tiene relación con las características multifactoriales y concomitancia de agentes infecciosos en las afecciones respiratorias en bovinos.
El patrón craneoventral (40,5%) es característico de una posible infección bacteriana con entrada por vía aérea. Por su parte el intersticial (18%) es característico de una infección viral con entrada del agente por cualquier vía. El conocimiento de los posibles agentes relacionados permite una mejor toma de decisiones al momento del diagnóstico a campo.
El patrón de distribución difuso (46,84%) indica un compromiso generalizado del pulmón con una ruta de entrada embolica o hematógena relacionada con un proceso distante al pulmón. Clínicamente permite enfocar el diagnóstico en otro tipo de afecciones o entidades. Es indispensable para estos casos la evaluación microscópica de un pool completo de tejidos.
Evaluación microscópica
La neumonía intersticial (Figura 2) fue el hallazgo más común con un 41,1%, seguido de la neumonía broncointersticial con un 11,6%. El 17% de las muestras fueron aparentemente normales.
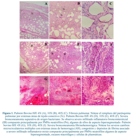
En el 3.6% de la población se encontró severa fibrosis pulmonar (Figura 1), la cronicidad del cuadro impidió determinar el tipo de lesión y su distribución. Se encontró hemorragia pulmonar en el 1,8% de los casos. El 13,4% de las muestras no fueron evaluadas debido a diferentes factores entre los cuales se incluyen artefactos por manipulación, hemorragias y ruptura alveolar derivadas del proceso de sacrificio o patología en segmentos distantes al muestreado. En la tabla 1 se puede observar la descripción de los hallazgos histopatológicos encontrados.
El grado de severidad de las lesiones "moderada" fue el hallazgo más común (25% de la población). Las lesiones "severas" se presentaron en el 23,2%. Lo anterior indica que el 48,2%.
Las alteraciones crónicas, fueron predominantes en un 60,7% de la población y crónicas activas (3,6%), adicionalmente, la formación de tejido conectivo y presencia de fibrosis estuvo presente en un 25,5% y un 7,2%, respectivamente.
El patrón de distribución y el infiltrado inflamatorio fue variable (Tabla 1), predominantemente mononuclear en espacio intersticial (41,1%), seguido de un infiltrado mononuclear en vía aérea y espacio intersticial (9,8%). Adicionalmente se encontraron infiltrados supurativos, mixtos y granulomatosos localizados en pleura, vía aérea y parénquima funcional. En la tabla 2 se relaciona el componente celular del infiltrado inflamatorio.



Cambios histopatológicos en tráquea, bronquio, bronquiolo
Se encontró hiperplasia del epitelio de vías respiratorias (HEVR), la moderada HEVR fue la más frecuente con un 31,3%. En un 4,5% se presentaron sincitios y en un 7,1% aplanamiento del epitelio de las vías respiratorias (Figura 2). Estos hallazgos indican la entrada de un agente por vía aérea con la posible participación concomitante de agentes virales (Virus Sincitial Respiratorio, Parainfluenza 3, Herpes Virus Bovino, etc.). Clínicamente se recomendaría el diagnóstico de afecciones respiratorias mediante métodos directos e indirectos (Serología, PCR, inmunohistoquimica).
Los sincitios (Tabla 3) indican la presencia de fragmentos de células producto de necrosis, los cuales se aglutinan entre sí. Esto evidencia una posible participación de virus sincitial respiratorio bovino y parainfluenza 3. Cabe resaltar que la presencia de sincitios solamente se encontró en el 4.5% de los tejidos evaluados, adicionalmente no se encontraron cuerpos de inclusión indicativos de replicación viral.
Patrones neumónicos
En la tabla 4 se relaciona el diagnóstico morfológico de los casos evaluados en el estudio, de esta manera se establecen los "patrones neumónicos en bovinos lecheros en el municipio de Pasto". Adicionalmente se relaciona la vía de entrada, así como el posible agente etiológico involucrado en la enfermedad.




Discusión
La resolución 240 del 2013 del ministerio de salud y protección social de la república de Colombia establece que los animales destinados para consumo humano deben estar clínicamente sanos al momento de la inspección antemortem para ser aptos para el sacrificio, caso contrario, el animal debe ser ubicado en un corral de observación para ser reevaluado 24 horas después y establecer si es apto o no para consumo. Dentro del estudio se encontró que el 48,2% de los animales que ingresan a la planta de beneficio no están clínicamente sanos sal momento del sacrificio, además son animales con enfermedades de curso largo, con impacto negativo en su potencial productivo en el cual factores tales como manejo sanitario inadecuado, fallas en el diagnóstico y abordaje clínico con aumento del descarte involuntario pueden explicar este comportamiento.
A pesar de que el patrón de distribución y el infiltrado inflamatorio fue variable, el infiltrado predominantemente mononuclear indica participación de la respuesta celular y respuesta humoral del sistema inmune, lo anterior indica un proceso crónico11, caso contrario los patrones supurativos indican procesos agudos bacterianos. Las neumonías mixtas indican procesos inflamatorios crónicos activos11,13.
Dentro del estudio cambios degenerativos del epitelio de vías respiratorias relacionados con una posible participación de agentes virales en la enfermedad. Se recomienda la confirmación diagnóstica de dichos agentes y replicar el estudio en bovinos neonatos y jóvenes.
Los agentes virales PI3 y VSRB como agentes únicos no tienen relevancia clínica y cursan como procesos respiratorios autolimitantes. Sin embargo en conjunto con otros factores predisponentes y de riesgo cobran importancia clínica1,2. Esto resalta la importancia de un adecuado manejo sanitario, nutricional y control de factores de riesgo y predisponentes. La presencia de aplanamiento del epitelio de las vías respiratorias denota un cambio adaptativo por un proceso injuriante constante, sea por un agente viral o de un agente irritativo20.
Los resultados indican que los bovinos objeto de estudio son animales con enfermedades de curso largo, con impacto negativo en su potencial productivo en el cual factores tales como manejo sanitario inadecuado, fallas en el diagnóstico y abordaje clínico con aumento del descarte involuntario pueden explicar este comportamiento.
Conclusiones
El estudio permitió establecer la presencia de lesiones sugestivas de participación infecciosa viral, adicionalmente se recomienda el diagnóstico molecular de los bloques de parafina mediante inmunohistoquimica (INHQ) y PCR con secuenciación genética y árbol filogenético. Lo anterior permitirá establecer en la población objeto de estudio, la presencia del agente etiológico en el tejido pulmonar (INHQ) involucrado en la enfermedad respiratoria, las alteraciones que provoca y el origen del mismo (PCR).
Agradecimientos
Planta de beneficio "Frigorífico Jongovito FRIGOVITO S.A." Pasto, Colombia.
Referencias
1. Ackerman M. Innate immology of bovine respiratory disease. North Am Vet Clin. Food An Pract 2010; 26(2) 215-228. [ Links ]
2. Bagnis G. Estudio histopatológico, etiológico e inmunohistoquímico de lesiones compatibles con neumonías intersticiales en el ganado bovino. Rev Chil Med Vet 2006; 7(9) 1-7. [ Links ]
3. Bednarek DA, Szymańska CM, Dudek K. Bovine Respiratory Syndrome. Etiopathogenesis, diagnosis and control. A bird´s eye view of veterinary medicine - InTech 2012; 7(1): 363-378. [ Links ]
4. Betancur CH, Rodas JG, Gonzáles TM. Seroepidemiologia del virus Sincitial Respiratorio Bovino en el municipio de Monteria, Colombia. Rev MVZ Córdoba 2011; 16(32): 2772- 2773. [ Links ]
5. Betancur CH, Orrego AU, Gonzáles TM. Estudio seroepidemiológico del virus de parainfluenza 3 en bovinos del municipio de Montería (Colombia) con trastornos reproductivos. Rev Med Vet 2010; 20(1) 63-70. [ Links ]
6. Blood DC, Henderson JA, Radostits OM. Veterinary Medicine. A Textbook of the Diseases of Cattle, Sheep, Pigs and Horses. 5a ed. London: Bailliere Tindall; 2010. p. 487-496. [ Links ]
7. Broadgen KA, Guthmiller JM. Polymicrobial Diseases. Respiratory Viruses and Bacteria in Cattle. Washington (DC): ASM Press; 2002. p. 1-13. [ Links ]
8. Caswell J, Williams K. Respiratory system. En: Kennedy J, Palmer S. Pathology of domestic animals. 5a ed. Davis: Elsevier; 2007. p. 526-750. [ Links ]
9. Fernández S. Elementos básicos en el diseño de un estudio. Unidad de Epidemiología Clínica y Bioestadística. Complejo Hospitalario Juan Canalejo. Coruña (España). Cad Aten Primaria 2006; 3(1) 83-85. [ Links ]
10. Fulton R. Lung pathology and infectious agents in fatal feedlot pneumonias and relationship with mortality, disease onset, and treatments. J Vet Diagn Invest. 2009; 21(4): 464-477. [ Links ]
11. Gordon B, Haddawilf M. If lung defenses are this sophisticated, why is bronchopneumonia so pervasive? North Am Vet Clin. Food An Pract 2010; 26(2) 410-468. [ Links ]
12. Gulliksen S. Respiratory infections in Norwegian dairy calves. Journ Dairy Sci. 2009; 92(19): 5139- 5146. [ Links ]
13. Dohoo IR, Wayne SM. Disease, production and culling in Holstein-Friesian cows III. Disease and production as determinants of disease. Prev Vet Med 1994; 2(5): 671-690. [ Links ]
14. Leblanc S. Major Advances in Disease Prevention in Dairy Cattle. Journ Dairy Sci 2006; 89(4) 1267-1279. [ Links ]
15. Maillard R, Assie S, Douart A. Respiratory disease in adult cattle. En: XXIV World Buiatrics Congress. Nice [France]: IVIS; 2006. p. 1-14. [ Links ]
16. Mogollon J. Instrucciones generales para el usuario de los servicios oficiales de diagnóstico veterinario en Colombia. ICA 2003. p. 1-23. [ Links ]
17. Montgomery D. Bovine Respiratory Disease and Diagnostic Veterinary Medicine. Managing respiratory diseases in the herd. Journ Dairy Sci 2009; 28(1) 1025-1060. [ Links ]
18. Panciera R. Pathogenesis and pathology of bovine pneumonia. North Am Vet Clinics - Food Animal Practice 2010; 26(2): 192-214. [ Links ]
19. Taylor J. The epidemiology of bovine respiratory disease: What is the evidence for predisposing factors? Can Vet Jour 2010; 51(10) 1095-1102. [ Links ]
20. Wellman N, O'Connor A. Meta-analysis of treatment of cattle with bovine respiratory disease with tulathromycin. Journ Vet Pharmac & Therap 2007; 30(3) 235-267. [ Links ]
21. Wilkins P, Woolums A. Diseases of respiratory system. En: Smith B. Large animal internal medicine. 5a ed. Davis: Elsevier Health; 2014. p. 576-726. [ Links ]













