SciELO - Scientific Electronic Library Online

 
vol.15 issue2Animal protein consumer’s perception about the living of production animals in Santarém, Pará, Brazil author indexsubject indexarticles search
Home Pagealphabetic serial listing  

Services on Demand

Journal

Article

Indicators

Related links

  • On index processCited by Google
  • Have no similar articlesSimilars in SciELO
  • On index processSimilars in Google

Share


CES Medicina Veterinaria y Zootecnia

On-line version ISSN 1900-9607

Ces. Med. Vet. Zootec. vol.15 no.2 Medellín May/Aug. 2020

https://doi.org/10.21615/cesmvz.15.2.6 

Caso Clínico

Tiroiditis no-Hashimoto y feocromocitoma en un canino: un reporte de caso

Non- Hashimoto thyroiditis and pheochromocytoma in a canine: a case report

Tireoidite não-Hashimoto e feocromocitoma em cães: um relato de caso

MV Jersson Ávila Coy Esp1  * 

MVZ Benjamín Doncel Díaz MSc, PhD(c)1 

MV Diego Ordoñez Fontecha MSc(c)2 

MV(c) Daniel Gordillo González3 

MVZ Gersson Vásquez Machado MSc1 

MV Carlos Iregui Castro Esp, DSc1 

1 Laboratorio de Patología Veterinaria. Universidad Nacional de Colombia.

2 Clínica para Pequeños Animales. Universidad Nacional de Colombia.

3 Facultad de Medicina Veterinaria y de Zootecnia. Universidad Nacional de Colombia.


Resumen

Se reporta un caso de endocrinopatía múltiple constituido por tiroiditis linfocítica y feocromocitoma en un canino labrador hembra de 6 años de edad con historia de síncopes, alopecia, descamación, hiperpigmentación e hiperqueratosis en cola y nariz, intolerancia al ejercicio, disnea, depresión leve; paraclínicamente mostró TSH elevada, T4 disminuida, hipercolesterolemia, hipertrigliceridemia; por electrocardiografía se diagnosticó taquicardia supraventricular. Se trató con levotiroxina sódica vía oral, con respuesta parcial; sin embargo, después de varias semanas, la paciente falleció súbitamente. En la necropsia se evidenció una condición corporal 4/5, alopecia axilar y abdominal, reducción de tamaño de las glándulas tiroides con infiltración de tejido adiposo; en la médula adrenal se encontró una masa color amarilla; las arterias coronarias, basilares cerebrales y de las serosas gastrointestinales estaban engrosadas con material granular amarillento intramural y oclusión luminal; el miocardio mostró regiones blanquecinas difusas al azar. Microscópicamente se encontró una tiroiditis linfocítica multifocal con atrofia severa e infiltración de tejido adiposo; aterosclerosis de las arterias de múltiples órganos con trombosis; infartos crónicos y agudos del miocardio, dermatosis atrófica y feocromocitoma. Este es el primer reporte de hipotiroidismo primario en nuestro medio con énfasis en patología macro y microscópica, así mismo es el primer caso en la literatura de endocrinopatía múltiple constituida por tiroiditis linfocítica y feocromocitoma.

Palabras clave: aterosclerosis; feocromocitoma; hipotiroidismo; tiroiditis.

Abstract

A case report of multiple endocrinopathy consisting of lymphocytic thyroiditis and pheochromocytoma, in a 6-year-old female canine labrador with a history of syncope, alopecia, desquamation, hyperpigmentation and hyperkeratosis in the tail and nose, exercise intolerance, dyspnea, mild depression; Paraclinically, it showed elevated TSH, decreased T4, hypercholesterolemia, hypertriglyceridemia; supraventricular tachycardia was diagnosed by electrocardiography. It was treated with levothyroxine sodium orally, with partial response; however, after several weeks, the patient died suddenly. At necropsy, a 4/5 body condition was evident, axillary and abdominal alopecia, reduction of the size of the thyroid glands with infiltration of adipose tissue; a yellow colored mass was found in the adrenal medulla; the coronary, cerebral basilar, and gastrointestinal serous arteries were thickened with intramural yellowish granular material and luminal occlusion; the myocardium showed random fuzzy whitish regions. Microscopically, multifocal lymphocytic thyroiditis was found with severe atrophy and adipose tissue infiltration; atherosclerosis of the arteries of multiple organs with thrombosis; chronic and acute myocardial infarctions, atrophic dermatosis and pheochromocytoma. This is the first report of primary hypothyroidism in our setting with an emphasis on macro and microscopic pathology, as well as the first case in the literature of multiple endocrinopathy consisting of lymphocytic thyroiditis and pheochromocytoma.

Keywords: atherosclerosis hypothyroidism; thyroiditis; atherosclerosis; pheochromocytoma.

Resumo

Reporta-se um caso de endocrinopatia múltiple constituído por tireoidite linfocítica e feocromocitoma num cão labrador de 6 anos de idade com sintomatologia de síncopes, alopecia, descamação, hiperpigmentação e hiperqueratose na cauda e nariz, intolerância ao exercício e dispneia; paraclinicamente TSH aumentado, T4 diminuído, hipercolesterolemia, hipertrigliceridemia; eletrocardiograficamente diagnosticou-se taquicardia supraventricular; foi tratado com levotiroxina sódica oral, com resposta parcial; no entanto, depois de várias semanas, faleceu repentinamente. Na necropsia evidenciou-se alopecia axilar e abdominal, atrofia bilateral da tireóide; na medula adrenal um nódulo de cor amarela; as artérias coronárias, basilares cerebrais e das serosas gastrointestinais encontravam-se espessadas e irregulares. Microscopicamente, observou-se tireoidite linfocítica multifocal com atrofia grave e infiltração gordurosa; aterosclerose multi-orgânica; infartos crônicos e agudos do miocárdio, dermatose atrófica e, na medula adrenal, feocromocitoma; foi realizada imuno-histoquímica para classificação dos linfócitos tireoidianos com imunocoloração CD3 positiva e CD 79a negativa. Este é o primeiro relato de hipotireoidismo primário em nosso meio, com ênfase na patologia macro e microscópica, assim mesmo é o primeiro caso na literatura de endocrinopatia múltiple que consiste em tireoidite linfocítica e feocromocitoma, no qual foi realizada a imunoclassificação dos linfócitos intratireoidianos.

Palavras-chave: aterosclerose; feocromocitoma; hipotireoidismo; tireoidite.

Introducción

El hipotiroidismo es el trastorno endocrino más común en caninos (1,2,3; el desorden se define como la acción deficiente de hormonas tiroideas sobre los órganos blanco como consecuencia de una inadecuada secreción de T4 y T3, defectos en receptores nucleares (resistencia a la hormona) o defectos secretorios o moleculares de la tirotropina u hormona estimulante de la tiroides (TSH) 4. La mayoría de los casos se observan en perros de más de un año de edad, aunque un 10% puede corresponder a animales más jóvenes. Alrededor del 3% de los casos son congénitos, mientras que el resto se refiere a la patología adquirida durante el crecimiento 4. Cerca del 95% de los casos en adultos corresponden a un desorden primario de la glándula tiroides, mientras que un 5% o menos es debido a deficiencia de TSH (pituitaria o hipotalámica) 5.

Ciertas razas: Golden Retriever, Labrador Retriever, Doberman Pinscher, Dachshund, Bóxer, Bulldog, Gran Danés, entre otras se reportan como las más afectadas 2,6,7. No se conoce el mecanismo exacto del desorden, aunque se sugiere un patrón poligénico de herencia similar al descrito en el humano 7. La raza Pastor Alemán y la mestiza se consideran como de bajo riesgo 6.

El hipotiroidismo canino se clasifica según su origen en primario (tiroideo), secundario (pituitario) y terciario (hipotalámico) 8. En el hipotiroidismo primario existe una reducción del tejido tiroideo funcional a través de dos mecanismos: El primero se debe a una tiroiditis linfocítica, la cual es la causa de aproximadamente la mitad de los casos de hipotiroidismo primario 9,10; al 60% de estos le subyace un desorden autoinmune 4. El segundo mecanismo es la atrofia idiopática, en la cual existe una degeneración y exfoliación de las células epiteliales hacia el coloide y el parénquima se reemplaza por tejido adiposo o fibroso 10,11. Otras causas menos comunes de hipotiroidismo primario incluyen la destrucción de la glándula por tumores no funcionales de la tiroides, por la invasión de otros tumores, por medicamentos, tratamiento quirúrgico o con yodo radioactivo; o por causas congénitas las que incluyen deficiencia en la toma de yodo dietario, hormonogénesis defectuosa, o hipoplasia, aplasia y disgenesia tiroidea 3. El hipotiroidismo secundario se debe a una disminución de la secreción de TSH por parte de la hipófisis y se asocia generalmente con malformaciones o neoplasias pituitarias 8. El hipotiroidismo terciario se define como una deficiencia en la secreción de hormona liberadora de tirotropina (TRH) desde los núcleos supraóptico y paraventricular del hipotálamo, la carencia de esta hormona causa deficiencia de TSH y atrofia folicular de la glándula tiroides 3,12.

Los feocromocitomas son los tumores más comunes que se pueden observar en la médula adrenal; siendo el canino la especie más afectada entre los animales domésticos, en estas se observa como se subdivide la médula en pequeños lóbulos separados por tejido conectivo, en los cuales se observa un incremento en el número de células que varían de cuboidea a poliédricas de diferentes tamaños, con núcleos hipercromáticos 13,14. Pueden tener actividad secretora principalmente de norepinefrina y en casos de malignidad suelen invadir la vena cava caudal y hacer metástasis comúnmente hacia hígado 13.

En el presente artículo se describe un caso de hipotiroidismo primario en un canino con sus efectos sistémicos y en concomitancia con un feocromocitoma.

Descripción de caso

Anamnesis y hallazgos clínicos

A la Clínica para Pequeños Animales de la Universidad Nacional de Colombia sede Bogotá ingresó una hembra canina, raza labrador de 6 años de edad y 38 kg de peso con anamnesis de síncopes esporádicos, alopecia en la región nasal y de la cola, episodios de disnea y disminución de la actividad física. Clínicamente se encontró depresión leve; alopecia, descamación, hiperpigmentación e hiperqueratosis en piel de la cola y nariz; descamación severa en región cervical, torácica, abdominal, periocular y en miembros posteriores; a la auscultación de evidenciaron sonidos cardiacos hipofonéticos. Paraclínicamente, se encontró alteración del perfil de hormonas tiroideas, hiperlipidemia y aumento de la fosfatasa alcalina (la primera muestra de suero fue lipémica) (Tabla 1).

Tabla 1 Valores paraclínicos hallados en el paciente. TSH: Hormona Estimulante de la Tiroides, TT4: Tetrayodotironina Total, FA: Fosfatasa Alcalina. 

Al examen electrocardiográfico se evidenció taquicardia supraventricular. El animal fue tratado con Levotiroxina 0,22 mg/kg, BID; Carvedilol 0,3 mg/kg, BID; Enalapril 0,3 mg/kg, BID; Cefalexina 20 mg/kg, TID. Tras 5 meses de poca evolución clínica, con solo recuperación parcial de le densidad del pelo y un periodo de hospitalización por severa taquicardia, inapetencia y síncopes, el paciente fallece súbitamente.

Resultados

Hallazgos a la necropsia

Condición corporal 4/5; membranas mucosas orales cianóticas y conjuntival palidez severa; piel con moderada reducción de la densidad del pelo en la región abdominal ventral y descamación en la región facial. Glándulas tiroides disminución de tamaño severo, contornos irregulares con reemplazo por tejido graso (Figura 1).

Figura 1 Glándula tiroides: severamente isminuida de tamaño, superficie irregular e infiltración adiposa. 

La médula adrenal derecha tenía una masa redondeada de 1,2 x 0,9 cm de coloración amarilla y superficie irregular que se expandía hacia la corteza (Figura 2). La vasculatura coronaria arterial era prominente de forma severa, con superficie irregular, material granular blanco amarillento intramural y oclusión luminal parcial, además había múltiples focos irregulares de tonalidad blanquecina en el subendo cardio ventricular (Figura 3).

Figura 2 Glándula adrenal (Corte transversal): Nodulación bien delimitada de color amarillo ubicada en la médula. 

Figura 3 Corazón (vasos coronarios): Se observan los vasos arteriales coronarios severamente engrosados e irregulares, con depósito de material amarillo en la pared. 

El encéfalo mostró congestión en leptomeninges, en la región ventral las arterias basilares, del laberinto, cerebral caudal y rostral, cerebral media y del círculo arterial tuvieron características similares a las coronarias. En el estómago además de cianosis, edema de la mucosa y erosiones superficiales, los vasos arteriales de la serosa tenían cambios similares a los antes descritos.

Lesiones microscópicas

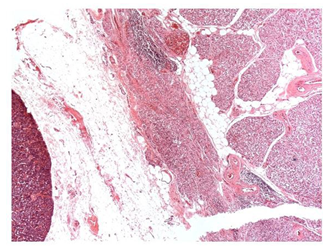
La tiroides mostró una severa atrofia folicular generalizada, folículos reducidos de tamaño e irregulares, la mayoría perdieron el coloide o permanecieron con escaso coloide condensado, áreas de infiltración de tejido adiposo en el intersticio (Figuras 4 y 5), múltiples focos de infiltrado de linfocitos y células plasmáticas, con predominio de los primeros, cambios ateroscleróticos en vasos arteriolares.

Figura 4 Tiroides. Se observa infiltración moderada de tejido adiposo entre los lobulillos, además de focos de inflamación linfoplasmocitaria (40X, H&E). 

Figura 5 Tiroides: Inflamación difusa de tipo linfoplasmocitario y severa atrofia de folículos, los cuales carecen de coloide en el lumen (200X, H&E). 

En las arterias coronarias se formaron múltiples placas ateromatosas con depósito de cristales de colesterol y adipocitos en la adventicia, también se observaron focos de mineralización e infiltrado de macrófagos espumosos, focos de hemorragia en la pared y pigmentos fagocitados, fibrosis periférica, y particularmente formación de trombos luminares con cambios endoteliales; por su parte el miocardio mostró necrosis isquémicas multifocales agudas y crónicas, acompañadas de proliferación de tejido conectivo (Figura 6). En la glándula adrenal se observó crecimiento neoplásico de médula, con organización a manera de pseudoacinos delimitados incompletamente por tabiques delgados de tejido conectivo con crecimiento expansivo; las células de morfología redonda o poligonal, de citoplasma basofílico granular, con pleomorfismo celular y anisocitosis leves, núcleos redondos, con pleomorfismo nuclear y anisocariosis leves, compatible con feocromocitoma. Las arterias de páncreas, riñón, cerebro, serosa gástrica y bazo igualmente fueron afectadas por ateroesclerosis severa multifocal; este último, además sufrió depleción linfoidea severa mixta. En la piel había ortoqueratosis severa, fragmentación de la queratina, en focos queratina en cesto, la epidermis con atrofia severa en ocasiones hasta una sola capa celular, la dermis mostró desorganización severa y fragmentación del colágeno, disminución severa de la población de anexos, y los folículos pilosos con tendencia a ubicarse superficialmente llenos de queratina y con atrofia severa del epitelio folicular.

Figura 6 Miocardio. Se observa un infarto crónico focal, en las arterias coronarias, depósito de cristales de colesterol en la túnica media, con mineralización leve y respuesta asociada de macrófagos (40X, H&E). 

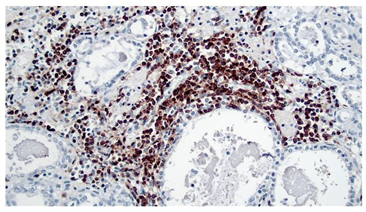
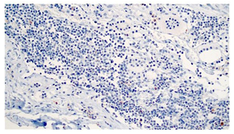
Inmunohistoquímica

La inmunomarcación de los linfocitos de la tiroides fue positiva para linfocitos T (CD3) (Figura 7) y negativa para linfocitos B (CD79a) (Figura 8).

Figura 7 Tiroides: marcación CD3 positivo para linfocitos intratiroideos (200x). 

Figura 8 Tiroides: marcación CD79a- para linfocitos intratiroideos (100x). 

Discusión

La historia clínica, el perfil de hormonas tiroideas, el perfil lipídico, hallazgos a la necropsia e histopatología, permitieron emitir el diagnóstico de hipotiroidismo primario, se propone que sea de origen autoinmune debido a la evidencia de infiltración linfoplasmocitaria, la cual no es común (o es mínima) en los casos de atrofia idiopática 7,10, para este caso se propone que la atrofia tiroidea sería una manifestación crónica de una tiroiditis inicial 4,11.

Aunque existen ciertas similitudes entre las tiroiditis linfocíticas de los humanos y de los caninos 7, el presente caso tiene ciertas particularidades que permiten clasificarlo como una tiroiditis no-Hashimoto, entre estas se destaca, la ausencia de bocio 6,16; adicionalmente, en la tiroiditis de Hashimoto, aparte de la infiltración extensa de linfocitos, es bastante común y notoria la formación de centros germinales y el cambio oncocítico epitelial, lo cual no se encontró en este caso; por ende la recomendación actual es no usar como sinónimos los términos tiroiditis linfocítica y tiroiditis de Hashimoto16.

La base inmune para el desarrollo de la tiroiditis linfocítica crónica tanto en humanos como en caninos es a través de la producción de autoanticuerpos contra la tiroglobulina y la tiroperoxidasa principalmente, se reportan otros autoantígenos, pero son menos frecuentes 2,4,10. En este caso no fue posible realizar la detección de autoanticuerpos debido a que dicha técnica no está disponible en el país. Sin embargo, sí se hizo la caracterización molecular de los linfocitos dentro del tejido tiroideo, la cual fue positiva solamente para linfocitos T; aunque no se conoce el comportamiento cronológico de los linfocitos dentro del órgano, se sabe que la fase inflamatoria (tiroiditis linfocítica) progresa a una fase atrófica caracterizada entre otras por el reemplazo de tejido glandular por tejido adiposo y fibroso, en donde los niveles circulantes de autoanticuerpos desaparecen 4,11; en nuestra opinión, los linfocitos B serían los primeros en desaparecer, mientras que los linfocitos T perdurarían mayor tiempo en el tejido, en cuyo caso la lesión glandular se atribuiría en este punto al efecto de linfocitos T autoreactivos helper y citotóxicos 17 en términos de perpetuación de la tiroiditis linfocítica 10.

El hipotiroidismo cursa con signos clínicos complejos, debido al efecto de la deficiencia de la hormona en múltiples sistemas del cuerpo 18. Dada la importancia de las hormonas tiroideas en la función del sistema nervioso, se observan alteraciones a nivel central y periférico. La disminución en el consumo de glucosa provoca letargia y somnolencia (4, lo que en parte puede explicar la disminución de la actividad y la depresión en el presente caso. Adicionalmente, en el hipotiroidismo existe una disminución de la tasa metabólica basal, lo cual lleva a obesidad, ganancia de peso e intolerancia al ejercicio 7,18, lo cual explicaría la condición corporal del animal.

Los sincopes históricos reportados se pueden explicar por los múltiples infartos agudos y crónicos del miocardio. Los infartos en este caso son lesiones de tipo isquémico a causa de la oclusión arterial consecuencia de la aterosclerosis coronaria severa, esta es favorecida por la alteración sistémica en el metabolismo de lípidos debido a la inadecuada concentración de hormonas tiroideas, la cual lleva a deficiente conversión del colesterol a ácidos biliares u otras sustancias y su posterior eliminación intestinal; de igual manera no se incrementan los niveles de receptores LDL y de las enzimas involucradas en el metabolismo de las lipoproteínas y el transporte reverso de colesterol, tales como la lipasa hepática y la lipoproteína lipasa; así mismo se reduce la sensibilidad del tejido adiposo a la lipolisis 19,20,21,22; por lo anterior, se ha establecido que el hipotiroidismo es un factor de riesgo para el desarrollo de aterosclerosis y consecuentes infartos en el miocardio 23,24, como sería lo ocurrido en este caso. En adición, existen cambios funcionales reportados en los casos de hipotiroidismo que se presentan incluso desde las formas subclínicas, entre ellos están el incremento de la resistencia vascular sistémica, rigidez arterial central, disfunción endotelial, hemostática y plaquetaria (21, lo cual en el presente caso hubiese favorecido un estado protrombótico, que en concomitancia con la hiperlipidemia serían determinantes en la progresión de la aterosclerosis 23,24.

A pesar de que uno de los hallazgos clínicos comunes en perros hipotiroideos es la bradicardia 10 en este caso particular se evidenció taquicardia. La taquicardia se explicaría principalmente por el estímulo simpático sobre el corazón que tendrían los productos secretados por la médula adrenal en su estado neoplásico, la médula adrenal secreta epinefrina y norepinefrina estimulando receptores adrenérgicos 25; estas sustancias estimulan los receptores beta-adrenérgicos en el miocardio generando un efecto inotrópico y cronotrópico sobre la contracción miocárdica 19, particularmente sensible es el nodo sinoatrial, lugar determinante como origen de las taquicardias supraventriculares, por lo cual su sobreestímulo se propone como la causa de dicha taquicardia en el actual caso. Además, las hormonas adrenales se unen a los receptores alfa-adrenérgicos en el músculo liso vascular generando vasoconstricción y consecuente disminución del flujo sanguíneo 25, esto sería determinante en el presente caso y explicaría en parte los infartos en el miocardio.

Las anormalidades dermatológicas se reportan hasta en el 85% de los caninos con hipotiroidismo 26,27,28,29 las mismas son diversas e incluyen entre otras, alopecia, descamación, seborrea, pioderma y resequedad; dichos cambios se explican por la participación de las hormonas tiroideas en el crecimiento y metabolismo tisular cutáneos, en el establecimiento del estrato córneo y la proliferación de queratinocitos y fibroblastos dérmicos. En cuanto al ciclo folicular, las hormonas tiroideas se requieren para la iniciación de la fase anágena 18. En el presente caso las lesiones fueron leves y se limitaron a alopecia abdominal ventral y descamación en la región facial, esta particularidad se atribuyó a que el animal ya había sido tratado por un tiempo con hormonas tiroideas y su deficiencia para las funciones basales dérmicas descritas ya había sido parcialmente cubierta.

Conclusión

Se reporta este caso de hipotiroidismo primario, haciendo énfasis en la patología macro y microscópica, la fisiopatología del mismo en concomitancia con feocromocitoma, combinación hasta ahora no descrita dentro de las endocrinopatías múltiples en Medicina Veterinaria.

Referencias

1. Credille KM, Slater MR, Moriello KA, Nachreiner RF, Tucker KA, Dunstan RW. The Effects of Thyroid Hormones on the Skin of Beagle Dogs. J Vet Intern Med. 2001; (15): 539-546. [ Links ]

2. Ferguson DC. Testing for Hypothyroidism in Dogs. Vet Clin Small Anim. 2007; (37): 647-669. [ Links ]

3. Scott-Moncrieff JC. Hypothyroidism. En: Feldman EC, Nelson RW, Reusch C, Scott-Moncrieff JC, Behrend E. Canine and Feline Endocrinology. 12ª Ed. St. Louis, Missouri. Elsevier Saunders; 2015; (3): 77-135. [ Links ]

4. Castillo V. Canine hypothyroidism. Veterinary Focus. 2001; (21): 2-8. [ Links ]

5. Rijnberk A, Kooistra HS. Thyroids. En: Rijnberk A, Kooistra HS. Clinical Endocrinology of Dogs and Cats. 2ª Ed. Hannover. Schlütersche; 2010. p. 55-92. [ Links ]

6. Kemppainen RJ, Clark TP. Etiopathogenesis of Canine Hypothyroidism. Vet Clin North Am Small animal practice. 1994; (24): 467-476. [ Links ]

7. Rosol TJ, Gröne A. Endocrine glands. En: Maxie MG. Jubb, Kennedy and Palmer’s. Pathology of Domestic Animals. 6ª ed. St. Louis, Missouri Elsevier Saunders; 2016. (3): p. 269-357. [ Links ]

8. Nelson RW. Endocrine Disorders. En: Nelson RW, Couto CG. Small Animal Internal Medicine. 5ª Ed. Philadelphia. Elsevier Saunders; 2014. p. 713-862. [ Links ]

9. Lee JY, Uzuka Y, Tanabe S, Sarashina T. Prevalence of thyroglobulin autoantibodies detected by enzime-linked immunosorbent assayof canine serum in hypothyroid, obese and healthy dogs in Japan. Research in Veterinary Science. 2004; (76): 129-132. [ Links ]

10. Scott-Moncrieff JC. Hypothyroidism. En: Ettinger SJ, Feldman EC. Textbook of Veterinary Internal Medicine. 7ª Ed. St. Louis, Missouri Elsevier Saunders; 2010. p. 1751-1760. [ Links ]

11. Graham PA, Refsal KR, Nachreiner RF. Etiopathologic findings of canine hypothyroidism. Vet Clin Small Anim. 2007; (37): 617-631. [ Links ]

12. Shiel RE, Acke E, Puggioni A, Cassidy JP, Mooney CT. Tertiary hypothyroidism in a dog. Irish Veterinary Journal. 2007; (60): 88-93. [ Links ]

13. Capen CC. Tumors of the Endocrine Glands. En: Meuten DJ. Tumors in Domestic Animals. 4ª ed. Iowa State Press. Ames, Iowa; 2002. p. 787-791. [ Links ]

14. McNicol AM. Adrenal Medulla. En: Lloyd R. Endocrine Pathology. 2ª Ed. New York Springer; 2010. p. 281-295. [ Links ]

15. Thuróczy J, van Sluijs FJ, Kooistra HS, Voorhout G, Mol JA, van der Linde-Sipman JS, Rijnberk A. Multiple endocrine neoplasias in a dog: corticotrophic tumour, bilateral adrenocortical tumours, and pheochromocytoma. Veterinary Quarterly. 1998; (20): 56-61. [ Links ]

16. Rosai J, Tallini G. Thyroi gland. En: Rosai J. Rosai and Ackerman’s Surgical pathology. 10ª Ed. St. Louis, Missouri Elsevier Mosby; 2011. p. 488-564. [ Links ]

17. Miller J, Popiel J, Chelmonska-Soyta A. Humoral and cellular immune response in canine hypothyroidism. J Comp Path. 2015; (153): 28-37. [ Links ]

18. Panciera DL. Conditions Associated with Canine Hypothyroidism. Vet Clin North Am Small animal practice. 2001; (31): 935-950. [ Links ]

19. Capen CC, Martin SL. The thyroid gland. En: Pineda MH, Dooley MP. McDonald’s Veterinary Endocrinology and Reproduction. 5ª ed. Iowa State Press. Ames, Iowa; 2003. p. 35-70. [ Links ]

20. Duntas LH, Brenta G. The Effect of Thyroid Disorders on Lipid Levels and Metabolism. Med Clin N Am. 2012; (96): 269-281. [ Links ]

21. Jabbar A, Razvi S. Thyroid disease and vascular risk. Clinical Medicine. 2014; (14): 29-32. [ Links ]

22. Kahaly GJ, Dillmann WH. Thyroid Hormone Action in the Heart. Endocrine Reviews. 2005; (26): 704-728. [ Links ]

23. Danese MD, Ladenson PW, Meinert CL, Powe NR. Clinical review 115: effect of thyroxine therapy on serum lipoproteins in patients with mild thyroid failure: a quantitative review of the literature. J Clin Endocrinol Metab. 2000; (85): 2993- 3001. [ Links ]

24. Müler B, Tsakiris DA, Roth CB, Guglielmetti M, Staub JJ, Marbet GA. Haemostatic profile in hypothyroidism as potential risk factor for vascular or thrombotic disease. Eur J Clin Invest. 2001; (31):131-137. [ Links ]

25. Guyton AC, Hall JE. Thyroid metabolic hormones. En: Guyton AC, Hall JE. Textbook of Medical Physiology. 12ª ed. Philadelphia, Pennsylvania Elsevier Saunders; 2006. p. 931-943. [ Links ]

26. Dixon RM, Reid SWJ, Mooney CT. Epidemiological, clinical, haematological and biochemical characteristics of canine hypothyroidism. Vet Rec. 1999; (145): 481. [ Links ]

27. Greco DS, Rosychuk RAW, Ogilvie GK, et al: The effect of levothyroxine treatment on resting energy expenditure of hypothyroid dogs. J Vet Intern Med.1998; (12): 7 [ Links ]

28. Kaelin S, Watson ADJ, Church DB. Hypothyroidism in the dog: A retrospective study of sixteen cases. J Small Anim Pract. 1986; (27): 533. [ Links ]

29. Panciera DL. A retrospective study of 66 cases of canine hypothyroidism. JAVMA. 1994; (204): 761. [ Links ]

Forma de citar: Ávila Coy J, Doncel Díaz B, Ordoñez Fontecha D, Gordillo González D, Vásquez Machado G, Iregui Castro C. Tiroiditis no-Hashimoto y feocromocitoma en un canino: a case report. Rev. CES Med. Zootec, 2020; Vol 15(2): 75-85.

Recibido: 19 de Mayo de 2020; Aprobado: 04 de Septiembre de 2020

*Autor para correspondencia: Jersson Ávila Coy. Universidad Nacional de Colombia. Correo electrónico: jaavilaco@unal.edu.co

Creative Commons License Este es un artículo publicado en acceso abierto bajo una licencia Creative Commons