INTRODUCCIÓN
La silicosis es una fibrosis pulmonar de origen ocupacional que se produce por la inhalación de polvo que contiene sílice cristalina libre, afectando al sistema respiratorio y produciendo una reacción tisular consecutiva que conlleva a un proceso, en algunos casos, progresivo de afectación irreversible del aparato respiratorio1. El paciente puede presentar algunos de los siguientes síntomas y/o signos: dolor torácico, disnea, sibilancias, hemoptisis, tos seca o con expectoración. La presentación clínica de la silicosis depende en gran medida de la intensidad y de la duración de la exposición. Aunque en la forma inicial de la silicosis generalmente no se encuentran signos ni síntomas, los que sí se presentan en estados tardíos de la enfermedad, inclusive llegar hasta el cáncer pulmonar2.
ASPECTOS METODOLÓGICOS
Para abordar estos temas, es esencial adoptar una perspectiva metodológica basada en el paradigma socio jurídico. Desde esta óptica, se reconoce que el análisis de los fenómenos sociales debe realizarse desde un enfoque jurídico. Esto se debe en parte a que la realidad presenta una variedad de posibilidades, problemas y debates que enriquecen la perspectiva teórica, metodológica y legal del derecho, especialmente en áreas de urgente actualidad como el diagnóstico de silicosis.
RESULTADOS
Su prevalencia puede variar en diferentes países y regiones 3. En el caso de Chile, la silicosis ha sido reconocida como un importante problema de salud ocupacional. La información epidemiológica específica sobre la silicosis en Chile puede estar sujeta a cambios y actualizaciones. Sin embargo, se estima que la silicosis es una enfermedad ocupacional significativa en la industria minera y en otros sectores que involucran la manipulación de materiales con contenido de sílice 4. En términos de prevención y control, Chile cuenta con legislación y regulaciones específicas para proteger la salud de los trabajadores expuestos a la sílice. La Ley N° 16.744 establece normas sobre enfermedades profesionales y accidentes del trabajo, y su reglamento (D.S. N° 101) incluye disposiciones relacionadas con la prevención y control de la silicosis.
Formas clínicas
La silicosis se puede clasificar en diferentes formas clínicas en función de la gravedad de la enfermedad y los hallazgos clínicos y radiológicos. Las formas clínicas comunes de la silicosis incluyen:
Silicosis crónica simple: La silicosis crónica simple es una enfermedad pulmonar causada por la inhalación prolongada de partículas de sílice cristalina, como el polvo de sílice, presente en ciertos entornos de trabajo5. Es una forma menos grave de silicosis en comparación con la silicosis acelerada y la silicosis complicada.
Los síntomas pueden variar desde leves a moderados e incluyen tos persistente, dificultad para respirar, fatiga, pérdida de peso y opresión en el pecho. Estos síntomas pueden tardar muchos años en desarrollarse, ya que la enfermedad progresa lentamente. La inhalación de partículas de sílice conduce a la formación de nódulos o cicatrices en los pulmones6. A diferencia de la silicosis acelerada y complicada, la silicosis crónica simple se caracteriza por una progresión lenta y estable de la enfermedad a lo largo del tiempo. Sin embargo, la exposición continua a la sílice puede empeorar los síntomas y provocar complicaciones adicionales.
Silicosis aguda: La silicosis aguda es una forma grave de silicosis que ocurre después de una exposición masiva y breve a altas concentraciones de sílice cristalina. A diferencia de la silicosis crónica, que se desarrolla después de una exposición prolongada, la silicosis aguda puede aparecer en cuestión de semanas o meses después de la exposición intensa7. Los síntomas de la silicosis aguda pueden aparecer rápidamente después de la exposición a altas concentraciones de sílice. Estos síntomas incluyen tos intensa y persistente, dificultad para respirar, fiebre, debilidad y fatiga. La exposición a altas concentraciones de sílice causa una reacción inflamatoria aguda en los pulmones. Esto conduce a la formación de tejido cicatricial y fibrosis pulmonar8, lo que limita la capacidad pulmonar y dificulta la respiración. La silicosis aguda aumenta el riesgo de desarrollar complicaciones graves, como insuficiencia respiratoria aguda, infecciones pulmonares recurrentes y enfermedades respiratorias crónicas.
Silicosis acelerada: La silicosis acelerada es una forma progresiva y grave de silicosis que se desarrolla en un período más corto de tiempo en comparación con la silicosis crónica. Se produce por una exposición intensa a altas concentraciones de sílice cristalina durante un período de 5 a 15 años. A diferencia de la silicosis crónica, que puede tardar décadas en desarrollarse, la silicosis acelerada se presenta en un período de 5 a 15 años después de la exposición a altas concentraciones de sílice. La silicosis acelerada se caracteriza por un rápido avance del daño pulmonar9. Esto se debe a que las partículas de sílice son más tóxicas y provocan una respuesta inflamatoria y fibrosis más intensa en los pulmones10. Los síntomas de la silicosis acelerada son similares a los de la silicosis crónica y pueden incluir tos persistente, dificultad para respirar, fatiga, pérdida de peso y debilidad generalizada. La silicosis acelerada aumenta el riesgo de desarrollar complicaciones graves, como infecciones pulmonares recurrentes, insuficiencia respiratoria y enfermedades pulmonares crónicas, como la tuberculosis.
Pruebas diagnósticas
El diagnóstico de la silicosis se basa en una combinación de la historia ocupacional del paciente, los síntomas clínicos, los hallazgos radiológicos y las pruebas de función pulmonar. Algunas pruebas diagnósticas comunes utilizadas en la evaluación de la silicosis son las siguientes:
Historia ocupacional: El médico recopilará información detallada sobre la exposición del paciente a la sílice en el entorno laboral, incluyendo la duración y el nivel de exposición11.
Examenfísico: Se realizará un examen físico para evaluar los síntomas respiratorios, auscultar los pulmones y detectar posibles signos de enfermedad pulmonar.
Radiografía de tórax con técnica OIT: La radiografía de tórax es una herramienta fundamental para el diagnóstico de la silicosis. Puede mostrar opacidades en forma de pequeñas opacidades nodulares en los pulmones, especialmente en los lóbulos superiores12.
Tomografía computarizada (TC) de tórax: En casos de diagnóstico diferencial y de silicosis más avanzada, se puede realizar una TC de tórax para obtener imágenes más detalladas de los pulmones y evaluar el grado de fibrosis pulmonar13.
Pruebas de función pulmonar: Las pruebas de función pulmonar, como la espirometría, se utilizan para evaluar la capacidad pulmonar y detectar posibles restricciones o limitaciones en la función respiratoria14,15.
Biopsia pulmonar: En casos específicos y cuando otros métodos no son concluyentes, se puede realizar una biopsia pulmonar para obtener una muestra de tejido pulmonar y analizarla en busca de signos de silicosis16.
Diagnóstico diferencial
El diagnóstico diferencial se realizará fundamentalmente con:
Tuberculosis pulmonar: Los signos radiológicos de la tuberculosis pulmonar pueden variar según la etapa y la forma de presentación de la enfermedad17. Pueden aparecer como opacidades nodulares, consolidaciones o infiltrados lineales en los campos pulmonares superiores. La formación de cavidades en los pulmones es un hallazgo característico de la tuberculosis pulmonar avanzada. Estas cavidades pueden contener aire o líquido. La tuberculosis pulmonar puede estar asociada con la inflamación de los ganglios linfáticos hiliares o mediastínicos, que pueden ser visibles en las radiografías de tórax18. En etapas avanzadas de la tuberculosis pulmonar, puede desarrollarse fibrosis pulmonar, lo que resulta en opacidades reticulares en los campos pulmonares. En cuanto a la asociación con la silicosis, es importante destacar que la exposición a la sílice cristalina, que es el principal agente causante de la silicosis, puede aumentar el riesgo de infección por Mycobacterium tuberculosis 19. La presencia de silicosis puede aumentar la susceptibilidad de una persona a desarrollar tuberculosis y también puede influir en la presentación radiológica de la enfermedad20. En pacientes con silicosis, los hallazgos radiológicos de la tuberculosis pulmonar pueden ser más pronunciados y extensos. Por ejemplo, las cavidades pulmonares y las lesiones infiltrantes pueden ser más grandes y más numerosas en aquellos con silicosis concomitante. Además, la presencia de silicosis puede afectar la respuesta inmunológica del organismo, lo que puede influir en la evolución clínica y radiológica de la tuberculosis21.
Aspergilosis pulmonar: La aspergilosis pulmonar necrotizante crónica es una rara enfermedad que tiende a afectar a personas con enfermedad pulmonar subyacente o inmunocomprometidos en grado leve. Es una complicación excepcional de la silicosis y su diagnóstico precisa un alto índice de sospecha pues simula otras enfermedades como tuberculosis y neoplasia, complicaciones más frecuentes en estos pacientes16. Se visualizan como módulos con halo en vidrio deslustrado sin o con cavitaciones22.
Metástasis Pulmonar: Los signos radiológicos de las metástasis pulmonares pueden variar dependiendo del tipo y la extensión de las lesiones metastásicas, suelen presentarse como múltiples nódulos pulmonares en ambos pulmones23. Estos nódulos pueden ser redondos u ovalados y suelen tener bordes bien definidos. Pueden variar desde pequeños nódulos dispersos hasta grandes masas tumorales. Las metástasis pulmonares pueden tener un patrón de distribución centrípeto, es decir, más concentrado hacia el centro de los pulmones, o un patrón periférico. El patrón de distribución puede depender del tipo de cáncer primario y la vía de diseminación. En cuanto a la asociación con la silicosis, no hay una relación directa entre la silicosis y las metástasis pulmonares. Sin embargo, es importante destacar que la exposición crónica a la sílice cristalina, puede aumentar el riesgo de desarrollar ciertos tipos de cáncer pulmonar, tales como el carcinoma de pulmón de tipo escamoso y el carcinoma de pulmón de tipo microcítico. Estos tipos de cáncer pulmonar pueden tener la capacidad de metastatizar a los pulmones y, en consecuencia, pueden presentarse como nódulos metastásicos en las radiografías o tomografías computarizadas de tórax24.
Sarcoidosis: La sarcoidosis es una enfermedad granulomatosa sistémica de etiología desconocida, aunque se piensa que la exposición ocupacional a sustancias como la sílice y el berilio puede ser un desencadenante25. Una historia laboral incompleta puede conducir a un diagnóstico de sarcoidosis más que de neumoconiosis en muchos casos, aunque en la literatura se han reportado diversas asociaciones de estas dos enfermedades, como la coexistencia y detección de una antes o después de la otra. Radiológicamente la sarcoidosis pulmonar se caracteriza por la presencia de opacidades reticulonodulillares bilaterales de forma particular en regiones perivasculares, peribronquiales y subpleurales, especialmente en el tercio medio26.
Neumonitis por hipersensibilidad: La neumonitis por hipersensibilidad, también conocida como alveolitis alérgica extrínseca, es una enfermedad pulmonar inflamatoria causada por la inhalación de sustancias orgánicas o inorgánicas que desencadenan una respuesta inmunológica exagerada en los pulmones27. Algunos de los signos radiológicos característicos de la neumonitis por hipersensibilidad incluyen opacidad en los pulmones que tienen una apariencia difusa, borrosa y granular, similar a un vidrio deslustrado, tienen un patrón de distribución centrípeto, es decir, más pronunciado en las zonas periféricas de los pulmones y disminuyendo hacia el centro. En algunos casos de neumonitis por hipersensibilidad, se pueden observar nódulos centrales, que son áreas de opacidad más densas en el centro de los pulmones28. En cuanto a la asociación con la silicosis, es importante mencionar que la exposición crónica a la sílice cristalina, puede aumentar el riesgo de desarrollar neumonitis por hipersensibilidad. Esto se debe a que la presencia de la silicosis puede sensibilizar los pulmones y aumentar la susceptibilidad a otras enfermedades pulmonares de origen inmunológico, como la neumonitis por hipersensibilidad. Sin embargo, no todos los casos de silicosis desarrollarán neumonitis por hipersensibilidad.
Otras neumoconiosis:
Neumoconiosis de los Trabajadores del Carbón: La neumoconiosis de los trabajadores del carbón, también conocida como «pulmón negro» o «antracosis», es una enfermedad pulmonar crónica causada por la inhalación prolongada de polvo de carbón. Los signos radiológicos característicos de la neumoconiosis de los trabajadores del carbón incluyen, pequeños nódulos redondos en los campos pulmonares. Estos nódulos representan la acumulación de partículas de polvo de carbón en los pulmones29. Se puede apreciar un engrosamiento de los vasos linfáticos en los pulmones, que aparecen como líneas lineales o reticulares en las radiografías. En etapas más avanzadas de la enfermedad, puede haber fibrosis pulmonar. Esto se manifiesta como opacidades lineales, reticulares o en panal de abeja en las radiografías. En cuanto a la asociación con la silicosis, es importante mencionar que tanto la neumoconiosis de los trabajadores del carbón como la silicosis son enfermedades pulmonares causadas por la inhalación de partículas de polvo. Si bien ambas enfermedades tienen características radiológicas similares, la principal diferencia es el tipo de polvo al que están expuestos los trabajadores. Sin embargo, en algunos casos, los trabajadores del carbón también pueden estar expuestos a sílice en el entorno laboral, lo que podría resultar en una superposición de hallazgos radiológicos entre ambas enfermedades30.
Neumoconiosis del Caolín: La neumoconiosis del caolín es una enfermedad pulmonar causada por la exposición prolongada al polvo de caolín, un mineral de arcilla utilizado en la industria cerámica, de papel, plásticos y otros productos31. Los signos radiológicos de la neumoconiosis del caolín pueden incluir pequeños nódulos redondos en los campos pulmonares. Estos nódulos representan la acumulación de partículas de caolín en los pulmones. En etapas más avanzadas de la enfermedad, puede haber fibrosis pulmonar. Esto se manifiesta como opacidades lineales, reticulares o en panal de abeja en las radiografías. Es importante destacar que la neumoconiosis del caolín es una enfermedad distinta a la silicosis, aunque ambas están relacionadas con la exposición a partículas de polvo en el entorno laboral. Sin embargo, en algunos casos, puede haber una superposición de hallazgos radiológicos entre ambas enfermedades si existe una exposición concurrente al caolín y a la sílice 32.
Beriliosis: La beriliosis es una enfermedad pulmonar causada por la exposición al berilio, un metal utilizado en diversas industrias, como la fabricación de dispositivos electrónicos, la metalurgia y la fabricación de cerámica33. Los signos radiológicos de la beriliosis pueden variar según la etapa de la enfermedad y pueden incluir nódulos pequeños y redondos en los campos pulmonares. Estos nódulos son característicos de la beriliosis y se denominan «nódulos de berilio». Pueden ser múltiples y distribuirse de manera uniforme en ambos pulmones34. En algunas personas con beriliosis crónica, puede haber áreas de hiperlucencia, es decir, áreas donde los pulmones se ven más oscuros de lo normal en la radiografía. Esto puede indicar la presencia de enfisema, una complicación de la beriliosis. Es importante destacar que la beriliosis es una enfermedad distinta de la silicosis, aunque ambas están relacionadas con la exposición a partículas de polvo en el entorno laboral. Sin embargo, en algunos casos, puede haber una superposición de hallazgos radiológicos entre ambas enfermedades si existe una exposición concurrente al berilio y a la sílice.
Siderosis: La siderosis es una enfermedad pulmonar causada por la inhalación de partículas de hierro. Los signos radiológicos de la siderosis pueden variar y generalmente son más leves en comparación con otros trastornos pulmonares. Algunos de los posibles hallazgos radiológicos en la siderosis incluyen, opacidades reticulares en los campos pulmonares, que representan la deposición de partículas de hierro en los tejidos pulmonares35. Estas opacidades suelen ser más prominentes en los lóbulos superiores. En algunos casos, pueden aparecer nódulos pequeños en los pulmones. Estos nódulos son el resultado de la acumulación de partículas de hierro en los tejidos pulmonares. Es importante destacar que la siderosis se considera una enfermedad benigna y generalmente no produce síntomas clínicos significativos. A menudo es una condición asintomática y se diagnostica incidentalmente a través de pruebas radiológicas realizadas por otras razones36. En cuanto a la asociación entre la siderosis y la silicosis, es importante tener en cuenta que ambas enfermedades pueden estar presentes de manera concurrente en individuos expuestos a partículas de sílice cristalina y partículas de hierro. La exposición ocupacional a estos agentes puede ocurrir en ciertos entornos de trabajo, como la industria minera o la fundición de metales. En tales casos, es posible que se observen características radiológicas y clínicas superpuestas, lo que puede dificultar el diagnóstico diferencial.
Neumoconiosis por Inhalación de Otros Metales: La neumoconiosis por inhalación de otros metales, también conocida como neumoconiosis metálica, es una enfermedad pulmonar causada por la inhalación de partículas de metales distintos del hierro37. Los signos radiológicos de esta neumoconiosis pueden variar según el tipo de metal inhalado38. Sin embargo, en general, los hallazgos radiológicos pueden incluir pequeños nódulos en los campos pulmonares, que representan la acumulación de partículas de metal en los tejidos pulmonares. Estos nódulos suelen ser más prominentes en los lóbulos superiores. En algunos casos, se pueden observar líneas finas y lineales en los pulmones, que corresponden a la deposición de partículas de metal en los tejidos pulmonares. Es importante tener en cuenta que la neumoconiosis por inhalación de otros metales puede estar asociada con la exposición a metales como el aluminio, el estaño, el níquel, el cromo, el cobalto, entre otros39. La exposición ocupacional a estos metales puede ocurrir en diversas industrias, como la minería, la metalurgia, la fabricación de baterías, la industria química, entre otras. En cuanto a la asociación con la silicosis, es posible que en algunos casos haya una superposición de características radiológicas y clínicas, especialmente cuando hay exposición concurrente a partículas de sílice cristalina y partículas de metal. En tales casos, el diagnóstico diferencial puede ser desafiante y requerir la evaluación de antecedentes laborales detallados y pruebas adicionales, como análisis de laboratorio y biopsia pulmonar.
Puestos de trabajo tradicionales asociados a silicosis Entre las actividades de riesgo más frecuentemente identificadas en la revisión de la literatura científica y en la práctica clínica, se encuentran aquellos trabajadores:
Mineros: Los mineros, especialmente aquellos que extraen minerales como el carbón, el oro, el cobre y el hierro40, están expuestos a altos niveles de sílice cristalina durante la excavación y el procesamiento de minerales.
Canteros y talladores de piedra: Los trabajadores que cortan y tallan piedra, como canteros, escultores y fabricantes de lápidas, están expuestos a sílice cristalina liberada durante el proceso de corte y pulido de la piedra41.
Arenadores: Los operadores de equipos de arenado con chorro de arena, utilizados en la limpieza y preparación de superficies, pueden inhalar partículas de sílice cristalina si no se toman las precauciones adecuadas.
Trabajadores de la construcción: Los trabajadores de la construcción que realizan actividades como demolición, perforación, corte de hormigón y manipulación de materiales como ladrillos y azulejos pueden estar expuestos a la sílice cristalina presente en estos materiales42. Además de estos puestos de trabajo tradicionales, también hay puestos emergentes en los que los trabajadores pueden estar expuestos a sílice cristalina y correr el riesgo de desarrollar silicosis. Algunos ejemplos incluyen:
Industria del fracking: Los trabajadores en la industria del fracking, utilizada para la extracción de gas y petróleo de esquisto, pueden estar expuestos a altos niveles de sílice cristalina durante el proceso de fracturación hidráulica43.
Fabricación de productos electrónicos: Los trabajadores en la fabricación de productos electrónicos, como chips de computadora y placas de circuito impreso, pueden estar expuestos a sílice cristalina durante el proceso de pulido y grabado de los componentes44.
Industria del vidrio reciclado: Los trabajadores en la industria del vidrio reciclado pueden estar expuestos a sílice cristalina durante el proceso de trituración y fundición de vidrio reciclado45.
Industria de la fabricación aditiva (impresión 3D): Algunos métodos de impresión 3D, como la sinterización selectiva por láser, pueden utilizar materiales que contienen sílice cristalina, lo que puede representar un riesgo para los trabajadores involucrados en estos procesos46.
Criterio de calificación de enfermedad profesional
El criterio de calificación de enfermedad profesional por agente sílice en Chile se encuentra establecido en la Ley N° 16.744 sobre Accidentes del Trabajo y Enfermedades Profesionales, y su reglamento (Decreto Supremo N° 109). Según esta normativa, la calificación de la enfermedad profesional por agente sílice se realiza a través de un proceso médico-legal en el cual se evalúa la relación causal entre la exposición a la sílice y la enfermedad pulmonar del trabajador.
Para calificar una enfermedad profesional por agente sílice, se deben cumplir los siguientes requisitos:
Exposición laboral: El trabajador debe haber estado expuesto a la sílice en su lugar de trabajo de manera significativa y continuada. Esta exposición puede haber ocurrido en diferentes sectores productivos, como la minería, la construcción, la fundición, entre otros.
Enfermedad pulmonar: El trabajador debe presentar una enfermedad pulmonar relacionada con la exposición a la sílice, como la silicosis o alguna otra patología pulmonar causada por esta sustancia.
Relación causal: Se debe establecer una relación causal entre la exposición a la sílice y la enfermedad pulmonar del trabajador. Esto implica demostrar que la exposición a la sílice en el trabajo fue la causa principal o determinante de la enfermedad. El proceso de calificación de enfermedad profesional por agente sílice incluye la evaluación de los antecedentes clínicos y laborales del trabajador, así como la realización de exámenes médicos, pruebas diagnósticas y análisis de la exposición laboral. Es importante destacar que la calificación de enfermedad profesional por agente sílice otorga derechos y beneficios al trabajador, como la atención médica, el acceso a prestaciones económicas y la posibilidad de reubicación laboral, de acuerdo a lo establecido en la ley N° 16.744.
Confirmación del diagnóstico de silicosis
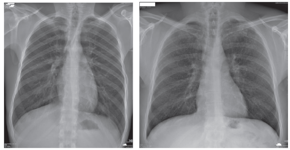
Obligatorias: Si la radiografía de tórax con técnica OIT muestra una profusión de 1/0 o 1/1, esto indica la presencia de opacidades pulmonares que sugieren la posibilidad de silicosis. Sin embargo, es importante tener en cuenta que la radiografía de tórax por sí sola no puede confirmar definitivamente el diagnóstico de silicosis, ya que existen otras condiciones pulmonares que pueden tener una apariencia similar en la radiografía47. Para una confirmación más precisa del diagnóstico, es recomendable que la lectura de la radiografía de tórax sea realizada por un lector acreditado o especialista en enfermedades pulmonares ocupacionales. Estos profesionales tienen la experiencia y los conocimientos necesarios para evaluar las imágenes radiográficas en el contexto de la exposición a sílice y las características clínicas del paciente48. El informe de lectura realizado por un lector acreditado proporcionará una evaluación detallada de la radiografía de tórax, identificando las opacidades presentes, su localización, tamaño y distribución49. Esto ayudará a determinar si los hallazgos son consistentes con la silicosis y a descartar otras enfermedades pulmonares similares. Ver gráfico 1, imagen 1. Es importante destacar que el diagnóstico definitivo de silicosis puede requerir una tomografía computarizada (TC) de tórax de alta resolución para confirmar el diagnóstico de silicosis50. Ver imagen 1, gráfico 1.

Imagen 1 Diferencia entre radiografía de tórax con técnica OIT en profusión 0/0 y 1/1. Imágenes gentiliza de reproducción del Dr. Anselmo López Guillén y Dr. Sergio Rovira Sans.

Gráfico 1 Guidelines for the Use of the ILO International Classification of Radiographs of Pneumoconioses» (Edición revisada 2022), es una herramienta importante utilizada por expertos en salud ocupacional para evaluar y clasificar radiografías de tórax en relación con las neumoconiosis, que son enfermedades pulmonares causadas por la inhalación de polvos y partículas en el lugar de trabajo.
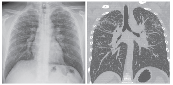
Complementarias: Es cierto que en algunos casos se puede requerir una tomografía computarizada (TC) de tórax de alta resolución para confirmar el diagnóstico de silicosis, especialmente cuando existen dudas o cuando la radiografía de tórax con técnica OIT no es concluyente. La TC de tórax de alta resolución proporciona imágenes más detalladas y precisas de los pulmones, lo que permite una mejor visualización de las lesiones pulmonares y una evaluación más precisa de la presencia y extensión de la silicosis13,50. En casos de sospecha de silicosis, si la radiografía de tórax con técnica OIT muestra una profusión de 1/0 o 1/1 pero se requiere una mayor certeza diagnóstica, el médico puede solicitar una TC de tórax de alta resolución12. Esta prueba puede revelar cambios característicos de la silicosis, como nódulos, fibrosis y engrosamiento pleural, que pueden ser más evidentes en comparación con la radiografía de tórax convencional. Es importante mencionar que la interpretación de la TC de tórax debe ser realizada por un radiólogo experimentado en enfermedades pulmonares y, en algunos casos, puede ser necesaria una evaluación adicional por parte de un neumólogo especializado. Ver imagen 2.

Imagen 2 Diferencia entre radiografía de tórax con técnica OIT y Tomografía computadorizada de tórax de alta resolución (TCAR). Imágenes gentiliza de reproducción del Dr. Anselmo López Guillén y Dr. Sergio Rovira Sans.
La biopsia pulmonar puede ser utilizada en casos de silicosis cuando existen dudas o necesidad de realizar un diagnóstico diferencial con otras enfermedades pulmonares16,51. Sin embargo, cabe mencionar que la biopsia pulmonar no es el método diagnóstico de elección para la silicosis, ya que generalmente se basa en la combinación de la historia ocupacional, los síntomas clínicos y los hallazgos radiológicos. La biopsia pulmonar puede ser invasiva y conlleva ciertos riesgos, por lo que se considera una opción cuando otras pruebas no han sido concluyentes o cuando se sospecha la presencia de otras enfermedades pulmonares con características similares a la silicosis, como la sarcoidosis o las neoplasias pulmonares. La muestra obtenida se envía a laboratorio para su análisis histopatológico, donde se busca la presencia de lesiones características de la silicosis, como la fibrosis y la presencia de cuerpos de sílice.
La historia ocupacional es fundamental para evaluar la exposición laboral al agente de sílice y confirmar el diagnóstico de silicosis11. Es importante recopilar información detallada sobre los trabajos anteriores y actuales del individuo, incluyendo el tipo de industria en la que ha trabajado y las tareas específicas realizadas. Algunas ocupaciones y actividades laborales que pueden implicar exposición a la sílice incluyen la minería, la construcción, la fundición, la fabricación de vidrio, la cerámica, la producción de piedra y trabajos de demolición. Se debe investigar la duración de la exposición a la sílice en cada trabajo, es decir, cuánto tiempo el individuo estuvo expuesto al agente de sílice. Además, se debe considerar el nivel de exposición, que puede estar influenciado por factores como la concentración de sílice en el ambiente laboral y las medidas de control implementadas en el lugar de trabajo.
Declaración de enfermedad profesional
Compin: Es un organismo público de Chile encargado de la evaluación y calificación de la invalidez, así como de la supervisión de la medicina preventiva y de los programas de rehabilitación en el ámbito laboral.
Silicosis leve: Enfermedad caracterizada por la presencia de pequeñas opacidades redondas, generalmente localizadas en los lóbulos superiores de ambos pulmones, con una profusión muy baja y sin causar ninguna alteración funcional en el individuo afectado. La única consecuencia de la silicosis leve es la disminución de la inmunidad celular, lo que los hace más propensos a infecciones respiratorias. Desde el punto de vista legal, estos pacientes han recibido una compensación y una resolución de la Comisión de Medicina Preventiva e Invalidez (Compín) que indica que su incapacidad alcanza el 25%.
Silicosis moderada: Enfermedad caracterizada por la presencia de opacidades redondas, generalmente ubicadas en los lóbulos superiores de ambos pulmones, con una profusión mediana y que generalmente no causa ninguna alteración funcional en la persona afectada. En estos pacientes, el compromiso de la inmunidad celular es más pronunciado. Desde el punto de vista legal, esta forma de silicosis recibe los mismos beneficios que la silicosis leve en términos de compensación y resoluciones legales.
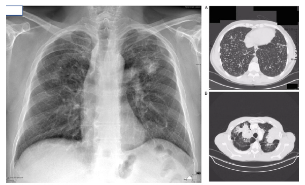
Silicosis avanzada: En esta etapa avanzada de la enfermedad, las opacidades redondas se extienden por todo el pulmón (lo cual es menos común) o se agrupan formando masas mayores a 1 cm de diámetro. El espectro radiográfico es amplio y complejo. La retracción pulmonar conduce a la formación de enfisema compensatorio o bullas, lo que hace que las infecciones del tejido pulmonar sean poco visibles. La alteración funcional puede variar desde ninguna hasta disnea en reposo. La afectación del ventrículo derecho del corazón dependerá del grado de destrucción del lecho vascular pulmonar y del nivel de hipoxemia que presente el paciente, lo que puede llevar desde ninguna repercusión hasta insuficiencia cardíaca derecha. La respuesta inmune en estos pacientes puede estar gravemente comprometida, lo que los hace muy susceptibles a las infecciones respiratorias bajas. Desde el punto de vista legal, esta forma de silicosis generalmente se califica con una pensión parcial (50% de incapacidad según Compín) y rara vez se concede una pensión completa (80% de incapacidad según Compín). Ver imagen 3.

Imagen 3 Diferencia entre radiografía de tórax con técnica OIT y Tomografía computadorizada de tórax de alta resolución (TCAR), en la imagen A opacidades redondas confluyentes típicas de silicosis y en la imagen B coalescencia de opacidades redondas con formación de silicomas que puede caracterizar una fibrosis pulmonar masiva en curso. Imágenes gentiliza de reproducción del Dr. Anselmo López Guillén y Dr. Sergio Rovira Sans.
Reubicación laboral
La reubicación laboral en Chile por silicosis se refiere al proceso de trasladar a un trabajador diagnosticado con silicosis a otro puesto de trabajo dentro de la misma empresa o entidad, con el objetivo de evitar una mayor exposición a la sílice y reducir el riesgo de progresión de la enfermedad. La reubicación laboral por silicosis en Chile se rige por la Ley N° 16.744 sobre Accidentes del Trabajo y Enfermedades Profesionales, y su reglamento (Decreto Supremo N° 101). Esta legislación establece los derechos y responsabilidades tanto del empleador como del trabajador en relación con la salud ocupacional y la prevención de enfermedades profesionales. La reubicación laboral por silicosis implica el traslado del trabajador a un puesto de trabajo donde no esté expuesto a la sílice. Este proceso debe realizarse en coordinación con el empleador, los servicios de salud ocupacional y otras autoridades pertinentes, y se deben respetar los derechos laborales del trabajador, como el salario y las condiciones de trabajo. Es importante destacar que la reubicación laboral no implica la pérdida del empleo, sino la adaptación del trabajador a un entorno laboral más seguro y adecuado para su condición de salud.
DISCUSIÓN
Se cumplió el objetivo al describir claramente los efectos en salud que ocasiona la exposición a sílice y la base teórica apegada a la legislación vigente en torno la Ley chilena N° 16.744 sobre Accidentes del Trabajo y Enfermedades Profesionales, la manera cómo abordar la calificación de enfermedad profesional en el marco de la silicosis y el respectivo proceso de reubicación. Al no existir estudios similares que focalicen esta enfermedad pulmonar de origen ocupacional, el estudio se ve limitado, sin embargo, abre oportunidades para el desarrollo de investigación en los diferentes países de la región, que también están inmerso en la problemática de salud ocupacional de trabajadores de grandes, mediana, pequeñas empresas como de los rubros artesanales que para su proceso productivo utilizan polvos neumoconiógenos.
CONCLUSIONES
El entendimiento contemporáneo de la secuencia de eventos en la patogenia de la silicosis no ha alterado el enfoque convencional de la vigilancia de los trabajadores, pero ha mejorado significativamente las capacidades de diagnóstico médico temprano de la enfermedad. Es crucial identificar y retirar a las personas en las primeras etapas de la enfermedad de futuras exposiciones significativas si queremos prevenir la discapacidad a través de la vigilancia médica. La similitud en las lecturas radiográficas requiere un mayor énfasis en el diagnóstico diferencial entre estas patologías. Debe realizarse una tomografía computarizada de alta resolución del tórax sin contraste, y se debe considerar una biopsia pulmonar en casos de sospecha de comorbilidad, si las pruebas diagnósticas disponibles lo permiten52. Es importante destacar que la prevención de la silicosis requiere una combinación de medidas técnicas, administrativas y de capacitación, así como un firme compromiso por parte de los empleadores y los trabajadores para cumplir con las prácticas seguras de trabajo y la protección de la salud. Por otro lado, la existencia de brechas en la normativa y la manera de abordar el diagnóstico de silicosis puede conllevar a un enfoque jurídico, ya aplicable en países de la región andina.














