Introducción
El empiema subdural consiste en una acumulación de pus entre las hojas durales, y representa del 15 % al 20 % de las infecciones intracraneales localizadas (1). Esta patología puede ser difícil de diagnosticar, debido a que, en algunos casos, su presentación es inespecífica. Este artículo presenta el caso de una persona diagnosticada con empiema subdural por Actinomyces, una rara condición que involucra una bacteria comensal con un bajo potencial patogénico.
Los actinomicetos son microrganismos grampositivos con resistencia a la decoloración por ácidos durante los procedimientos de tinción de laboratorio (término nonacid-fast), de ramificación filamentosa y pleomórficos que no forman esporas, que tienen requisitos anaeróbicos para su crecimiento (2,3,4). Anteriormente se les conocía como “hongo del rayo” (5), debido a sus filamentos ramificados, que se asemejaban a los micelios (6). Se clasifican entre bacterias clásicas y hongos superiores, debido a su estructura procariota y a su patrón de crecimiento micelar (5). Hacen parte de la flora normal de la cavidad orofaríngea (específicamente en criptas tonsilares, dientes cariados y bolsillo gingival) (2,7), el sistema digestivo y el aparato genital femenino (3,4,8). La principal bacteria en humanos es Actinomyces israelii, y otros miembros de la familia incluyen A. viscosus (40 %), A. naeslundii (5 %), A. odontolyticus (2 %) y A. meyeri (1 %) (2,4,6,9).
La actinomicosis es poco común, debido a la baja virulencia del microrganismo (2,3,4) y a que no se presenta como una enfermedad oportunista (2). Es una infección lentamente progresiva que conduce tanto a inflamación supurativa como granulomatosa, caracterizada por la formación de abscesos, fibrosis tisular y la formación del tracto sinusal (3,4,5). Se cree que el mecanismo fisiopatológico más común de la enfermedad es la alteración de la barrera mucosa (2,4,6,7). Las infecciones orales y cervicofaciales se relacionan frecuentemente con procedimientos dentales, traumatismo craneal y cirugía oral. Otros factores de riesgo incluyen mala higiene oral, otitis crónica, mastoiditis, sinusitis, osteomielitis, malformaciones cardiacas y daño tisular local por enfermedad neoplásica o irradiación (3,4,9,10).
A menudo, la infección se acompaña de copatógenos, más comúnmente por Aggregatibacter actinomycetemcomitans, ya que estos facilitan la infección al disminuir la defensa del huésped y reducir la tensión de oxígeno local (4,6,10). Después de que los actinomicetos se establecen localmente, se diseminan a los tejidos circundantes ignorando los planos tisulares (4). La infección del sistema nervioso central (SNC), aunque es rara, se puede originar a partir de una diseminación hematógena a distancia o por extensión directa a través del tejido conectivo a lo largo de la base del cráneo o las meninges en focos cervicofaciales (2,4,8,9).
Presentación de caso
El caso corresponde a un hombre de 82 años de edad, con antecedente de hipertensión arterial no tratada y tres intervenciones previas de drenaje de hematoma subdural (9/12/2015, 11/5/2016 y 22/11/2016), quien presentó un cuadro clínico de dos semanas de evolución de prurito en la herida quirúrgica asociado a dos días de secreción amarilla, debilidad progresiva del hemicuerpo izquierdo y dependencia para la realización de actividades básicas. El tiempo postoperatorio desde el último drenaje del hematoma subdural hasta la clínica del paciente fue de aproximadamente de un mes y cuatro días.
En el examen físico estuvo alerta, hemodinámicamente estable, sin mal estado dentario, con evidencia de secreción purulenta en el margen superior derecho de la herida quirúrgica. En el examen neurológico presentó hemiparesia izquierda 4/5 con predominio distal y respuesta plantar izquierda neutra. No se encontraron otros hallazgos anormales adicionales. Los exámenes paraclínicos mostraron leucocitosis leve con neutrofilia y elevación de la proteína C reactiva (leucocitos: 11.400; neutrófilos: 9800; hemoglobina: 14,3; plaquetas: 367.800; VSG: 8; PCR: 5,6). Se consideró que el paciente cursaba con una infección del sitio operatorio, y por ello se inició empíricamente manejo antibiótico y se ordenaron neuroimágenes.
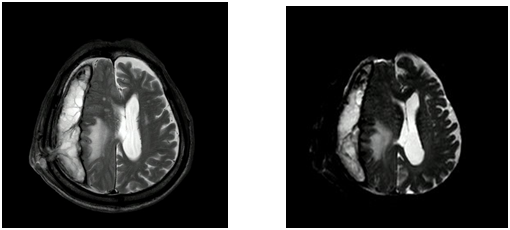
La resonancia magnética cerebral (véase Anexos) evidenció una restricción de difusión anormal en la difusión por resonancia magnética en el hemisferio derecho, altamente sugestivo de un absceso. El caso fue comentado con el grupo de infectología, que consideró necesario el uso de un antibiótico de alto espectro, por lo que se inició manejo con vancomicina y cefepima. El paciente fue llevado a cirugía de drenaje de la colección por medio de trepanación, con hallazgos intraquirúrgicos de una colección fétida subgaleal que se extendía a la piel y el espacio epidural, y una cavidad subdural con una cápsula fibrótica blanca gruesa sin presencia de material purulento en su interior. La resección quirúrgica fue completada sin complicaciones y se tomaron muestras para el análisis patológico. Los estudios histológicos mostraron áreas de necrosis, detritus celulares, fibrina e infiltración inflamatoria, principalmente de células polimorfonucleares. Se evidencio un área con presencia de bacterias grampositivas, cuyas características sugerían un diagnóstico de Actinomyces. Se realizaron tinciones de Ziehl-Neelsen, con ácido peryódico de Schiff (PAS) y plata, las cuales fueron negativas.
Con un diagnóstico patológico de un empiema subdural a causa de Actinomyces, se inició tratamiento con ceftriaxona con una dosis de 2 g intravenoso cada 12 h por medio de catéter subcutáneo hasta completar 12 meses. El paciente presentó una evolución clínica adecuada, con mejoría de la paresia y descenso —según los exámenes paraclínicos— de los parámetros infecciosos. Fue dado de alta sin secuelas después de un corto periodo de hospitalización, continuó con terapia ambulatoria y seguimiento, donde no se observó evidencia de deterioro neurológico o paraclínico en la consulta externa.
Discusión
La mayoría de los casos descritos de actinomicosis ocurren en pacientes de mediana edad con una proporción de hombres a mujeres de 3:1. En Estados Unidos se reportan menos de 100 casos al año; sin embargo, se cree que debido a la dificultad diagnóstica se puede subestimar el diagnóstico (4,10). En 1882, Ponfick describió el primer caso de un absceso cerebral causado por Actinomyces (2,7). Desde entonces, se han notificado pocos casos de actinomicosis en el SNC, que constituyen menos del 2 % de todas las infecciones intracraneales piógenas (10). En 1987 se realizó un análisis retrospectivo de 70 casos de infecciones actinomicóticas del SNC, que mostró la siguiente distribución: abscesos cerebrales, 67 %; meningitis o meningoencefalitis, 13 %; actinomicomas, 7 %; abscesos epidurales, 7 %; y empiemas subdurales, 7 % (7). Teniendo en cuenta la distribución, un caso de empiema subdural por Actinomyces es poco frecuente.
La actinomicosis del SNC se puede presentar con una duración más prolongada de los síntomas frente a otras infecciones del SNC (10). Clínicamente, se manifiesta como lesiones que ocupan espacio, con síntomas de aumento de la presión intracraneal y déficit neurológico focal, atribuibles a la ubicación anatómica de la lesión (7,10). El dolor de cabeza es un hallazgo común, y la fiebre está presente en menos del 50 % de los casos (7,9). El diagnóstico frecuentemente se retrasa, porque hay poca evidencia que sugiera un proceso infeccioso. Sin embargo, en el caso de nuestro paciente, si se presentó alteración en los exámenes paraclínicos, lo cual nos llevó a pensar en la presencia de un proceso infeccioso y se decidió iniciar manejo antibiótico y solicitar una resonancia magnética cerebral ante la sospecha de infección del SNC.
La neuroimagen no proporciona un diagnóstico específico, pero permite definir las dimensiones y la extensión de la enfermedad. Los actinomicetomas aparecen como lesiones sólidas nodulares o de masa (4,10); por ello, el diagnóstico debe confirmarse mediante el aislamiento del microrganismo en un cultivo. Sin embargo, este microrganismo es difícil de aislar, ya que requiere condiciones anaeróbicas estrictas (2,4,7,10) y se deben obtener varios especímenes, siendo el pus el más apropiado (4,10). La presencia de organismos grampositivos, con resistencia a la decoloración por ácidos en pruebas de laboratorio, con ramificación filamentosa es muy sugestivo del diagnóstico (2,4,10). A fin de confirmar el diagnóstico, nuestro paciente fue llevado a un procedimiento quirúrgico donde se drenó la colección; posteriormente, se realizó el análisis histopatológico, donde se logró identificar el microrganismo para instaurar el tratamiento antibiótico adecuado.
La penicilina es el fármaco de elección para cualquier infección causada por especies actinomices (2,4). La resistencia adquirida durante el tratamiento prolongado es poco común, pero la adición de un inhibidor de la betalactamasa ofrece una cobertura de ventaja frente a los copatógenos (4). Clásicamente, el tratamiento se ha dividido en dos fases: una dosis endovenosa inicial alta de penicilina durante varias semanas, seguida de un régimen oral prolongado (2,4,6,8,10), aun cuando no hay evidencia de que la terapia antibiótica prolongada ofrezca alguna ventaja (10). En pacientes alérgicos a la penicilina, la tetraciclina se ha utilizado con éxito (6). Otros antibióticos de primera línea incluyen eritromicina, cloranfenicol y clindamicina (4). En el caso de nuestro paciente, se decidió iniciar manejo con ceftriaxona, pues ha mostrado mejoría clínica en pocos días, por lo cual se instauró un régimen de 12 meses de antibiótico intravenoso, el cual fue administrado por medio de un catéter subcutáneo.
El presente caso constituye uno de los pocos reportes en Colombia sobre empiema subdural, ocasionado por Actinomyces (11,12). Por otro lado, nos permite resaltar cuán importante es tener en cuenta como diagnóstico diferencial la infección del SNC por Antinomyces, ya que se trata de una condición poco frecuente que involucra un microrganismo con poca virulencia; pero que sin el tratamiento adecuado y oportuno puede llegar a tener una alta tasa de secuelas neurológicas y de mortalidad. En el caso de nuestro paciente, recuperó totalmente su función neurológica normal, al responder satisfactoriamente al tratamiento instaurado. Continuó en seguimiento ambulatorio que no evidenció deterioro neurológico o paraclínico. Como conclusión se puede establecer que un tratamiento adecuado rápidamente debe componerse por un abordaje quirúrgico de la colección y la instauración de un antibiótico durante un tiempo prolongado. Los pacientes con una infección del SNC por Actinomyces tienen buen pronóstico, y la recuperación de los síntomas neurológicos se resuelve completamente sin dejar secuelas.















