Introducción
La cocaína es una sustancia natural que se encuentra en las hojas de la planta Erythroxylum coca. Es originaria de América del Sur, México, Indonesia y el Caribe (1). La cocaína tiene acciones complejas en el sistema nervioso simpático, conducción nerviosa, y sobre el sistema nervioso central (2). La cocaína ocupa el segundo lugar entre las sustancias ilícitas de mayor consumo en Colombia. En la última Encuesta Nacional de Consumo de Sustancias Psicoactivas, realizada por el Departamento Administrativo Nacional de Estadística en 2019, la prevalencia de consumo de cocaína fue del 2,1 % en una muestra de 169.344 personas, dentro de las que se seleccionaron 49.756 en el rango de 12 a 65 años, que ocupó el segundo lugar por detrás de la marihuana (3). El artículo presenta el caso de un paciente que requirió soporte de ventilación mecánica asociado con falla respiratoria, secundario a un episodio de broncoespasmo y afectación del sensorio tras la inhalación de cocaína. Dado el alto potencial de complicaciones vinculadas con estos episodios, consideramos relevante llevar a cabo este análisis de caso.
Caso
El caso correspondió a un hombre de 36 años de edad, con antecedentes de asma, trastorno depresivo y trastorno por consumo de sustancias, que ingresó al servicio de urgencias remitido por el servicio de atención prehospitalaria, con sospecha de consumo de sustancias psicoactivas y alcohol, con la vía aérea afectada. Tenía un valor inferior a 8 según la escala de coma de Glasgow, asociado con mal patrón respiratorio, dado por disociación toracoabdominal con sibilancias generalizadas en ambos campos pulmonares.
De inmediato, se le realizó la secuencia de intubación rápida para manejo con soporte ventilatorio. Un familiar del paciente refirió que le encontró un recibo de compra de amitriptilina, medicación que no consume. El paciente refirió haber consumido cocaína con alcohol el día anterior. Los signos vitales de ingreso fueron:
Frecuencia cardiaca: 140 latidos por minuto.
Frecuencia respiratoria: 40 respiraciones por minuto.
Oximetría: 89 % oxígeno ambiente.
Temperatura: 37,3 ºC.
Tensión arterial: 150/100 mmHg.
En la revisión primaria se encontró lo descrito, con adecuada perfusión, con clono bilateral en los miembros inferiores, asociado con respuesta plantar extensora bilateral y con pupilas mióticas de 2 mm no reactivas. Por las características mencionadas, se sospecha de lesión cerebral tipo evento cerebrovascular hemorrágico con falla ventilatoria asociada a posible intoxicación por antidepresivos tricíclicos.
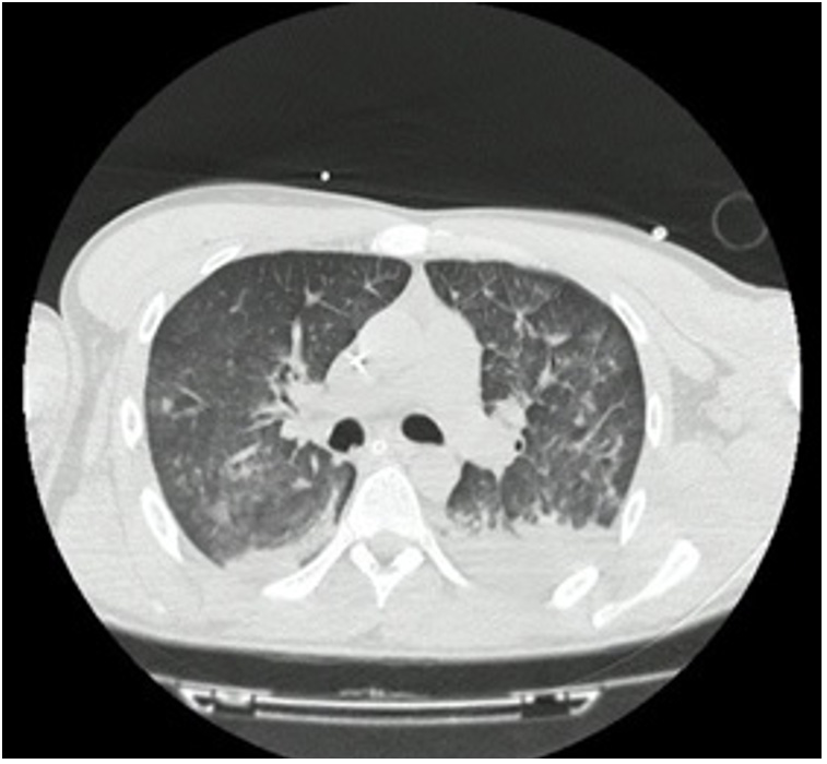
Por lo anterior, se trasladó el paciente a tomografía, donde se le realizó una imagen de tórax de alta resolución (figura 1), asociada con angiotomografía de cráneo, que evidenció un derrame pleural bilateral con patrón de empedrado. La imagen del cráneo no mostró cambios.

Figura 1 Tomografía de tóraxSe aprecia un engrosamiento liso de los tabiques interlobulillares asociados con opacidades en “vidrio esmerilado” centrales y consolidaciones difusas, principalmente en las zonas dependientes. Engrosamiento de las paredes bronquiales. Derrame pleural bilateral
También se le tomaron gases arteriales (tabla 1), que indicaron acidosis respiratoria. A su vez, el examen de tóxicos comprobó rastros de cocaína positiva mayor a 1000 ng/ml (valor normal hasta 150). Finalmente, el electrocardiograma no mostró alteraciones.
Frente a dichos resultados, se decidió trasladar al paciente a la unidad de cuidados intensivos para continuar el manejo médico con soporte ventilatorio. Por los hallazgos radiológicos de “vidrio esmerilado”, se le tomó la prueba de reacción en cadena de la polimerasa para SARS-CoV-2 en el contexto de pandemia, cuyo reporte fue negativo. Al ser valorado por el servicio de toxicología, este consideró que el cuadro, probablemente, se relacionaba con el consumo de cocaína. Luego de permanecer durante 48 horas con soporte ventilatorio, el paciente logró mejoría clínica, paraclínica y radiológica (figura 2), por lo que fue extubado sin complicaciones, con evolución favorable. Luego de ello se indicó su traslado a la unidad de hospitalización de psiquiatría, de donde egresó siete días después de su ingreso a urgencias.
Discusión
La cocaína (químicamente: benzoilmetilecgonina; estructuralmente: 2-b-carbometoxi-3-b-benzoxitropano) es un alcaloide de origen natural extraído de las hojas de Erythroxylum coca (4), que se usa como una droga de uso común. Los efectos varían según la ruta de exposición, incluyendo propiedades anestésicas locales, vasoconstrictoras, simpaticomiméticas, psicoactivas y protrombóticas (5). La concentración máxima en la sangre varía de 1 a 5 minutos (para fumar o inyección intravenosa) a 60 a 90 minutos (administración oral). En cuanto a la duración de la acción farmacológica, varía entre 5 y 60 minutos después de fumar o de la administración intravenosa, y hasta 180 minutos después de la administración oral (6). Dentro de los ingresos a los servicios de urgencias relacionados con el consumo de drogas, la cocaína es la causa más común, con un aproximado de 500.000 visitas por año, debido a las complicaciones derivadas del abuso, y si bien el principal síntoma es el dolor en el pecho, los síntomas de vías respiratorios no son infrecuentes (7).
En Estados Unidos, en 2019, se estimó que 19,3 millones de personas de 18 años o más tenían un trastorno por consumo de sustancias. Dentro de este número, el 38,5 % corresponde a consumo de drogas ilícitas, en las que la cocaína ocupa el cuarto lugar (8). Las complicaciones que se relacionan con el consumo de cocaína están en directa relación con la lesión de las vías respiratorias, con informes de casos de exacerbaciones de asma que podrían ser potencialmente mortales (9).
En los últimos años se ha remplazado el consumo de clorhidrato de cocaína y la vía inhalatoria clásica por otras vías. La diferencia radica en cómo se consume cocaína alcaloide (cocaína de base libre): se puede fumar y ocasiona una rápida absorción, es resistente a la degradación por temperatura y, a su vez, es soluble en lípidos. Esto causa un efecto de euforia de forma rápida e intensa, incluso más que por inyección por vía endovenosa (10).
La toxicidad pulmonar por el consumo de cocaína es menos frecuente que las alteraciones cardiovasculares y los efectos sobre el sistema nervioso central (5). La cocaína es un estimulante del sistema nervioso simpático, a través de la inhibición de la recaptación de noradrenalina, dopamina y serotonina. Lo anterior conduce a una actividad sostenida sobre los receptores simpaticomiméticos. La cocaína también bloquea los canales de sodio y de potasio y genera depresión cardiovascular. Todos estos efectos se ven potenciados por la ingesta concomitante de alcohol, que aumenta de forma importante las concentraciones de cocaína en la sangre (6).
En la actualidad existen numerosos factores desencadenantes de asma, como los aeroalergenos, el humo del cigarrillo de segunda mano, las infecciones respiratorias y el ejercicio, el uso de drogas ilegales y, en especial, la cocaína, que es un factor que genera este tipo de consecuencias, como se ven reflejadas en el caso presentado. La inhalación de cocaína puede exacerbar el asma, debido a que esta es un irritante de las vías respiratorias y puede inducir un broncoespasmo severo. Se cree que la cocaína es capaz de actuar como antígeno e inducir la producción de inmunoglobulina E. Al volver a exponerse a la cocaína, se produce una reacción antígeno-anticuerpo, que activa los mastocitos, con la posterior degradación de estos y la irritación o broncoespasmo de las vías aéreas (2).
La cocaína puede dañar directamente los bronquios y sus células epiteliales, que exponen y estimulan los receptores vagales y, por lo tanto, causan broncoconstricción y tos (2), que va contra el mecanismo primario y fundamental del estímulo por cocaína, esto es, una respuesta simpaticomimética que fisiopatológicamente generaría broncodilatación de los receptores adrenérgicos del músculo liso bronquial.
En el estudio de Osborn et al. (11), de prevalencia de casos y controles, el objetivo era determinar si el broncoespasmo de nueva aparición o la exacerbación del asma estaban asociados con el consumo de cocaína en pacientes adultos en una muestra de 5 años. Los autores encontraron, después del análisis de regresión logística multivariante, con ajuste por edad y sexo, que el uso de cocaína se asoció 3 veces más con la probabilidad de broncoespasmo de nueva aparición o crisis de asma (OR = 3,28; IC95 %: 1,26 a 8,50).
En 2000, Rome et al. (12) evaluaron la prevalencia del consumo de cocaína y su impacto en la exacerbación del asma en 116 pacientes. En el grupo de cocaína positivo, 5 de 13 pacientes (38 %) ingresaron al hospital, incluidos dos que requirieron intubación y ventilación mecánica. Del grupo total, 23 de 103 pacientes (22 %) fueron admitidos y 5 de esos 23 pacientes admitidos (22 %) fueron positivos para cocaína. Los autores concluyeron que la gravedad de la exacerbación parece ser peor en el grupo positivo a cocaína.
Basándose en estudios previos, se ha demostrado una asociación entre el consumo de cocaína y las exacerbaciones del asma, al punto de llegar a relacionarla con la presencia de broncoespasmo de novo. En muchos casos, los clínicos han menospreciado esta relación, y ante esto se ha buscado investigarla a partir de experimentos clínicos que, a pesar de que son limitados, han logrado evidenciar la conexión ente la exposición a dicho agente psicoactivo y la generación de broncoespasmo.
En una revisión retrospectiva de pacientes con diagnóstico de crisis de asma se encontró que de 152, el 27,6 % eran consumidores de cocaína y que, a su vez, ellos tenían una estancia hospitalaria más prolongada, en relación con los que no eran consumidores. La gravedad del episodio de broncoespasmo se hizo más evidente entre los consumidores, dado por la intubación y el requerimiento de ingreso a la unidad de cuidado intensivo. La intubación (21,4 % vs. 2,3 %; p = 0,0006) y el ingreso a la unidad de cuidados intensivos (31 % vs. 11,5 %; p = 0,0068) destacan una clara significancia estadística que demuestra dicha relación (13).
En un estudio de 2011 que evaluó las causas post mortem de asma ocurridas por fuera del ámbito hospitalario se evidenció que de 22 pacientes analizados, 11 eran hombres y 14 (64 %) eran afroamericanos. Se encontró que las pruebas toxicológicas para las drogas de abuso fueron positivas en 4 pacientes (18 %), y de estos, 3 tenían antecedentes de consumo de cocaína o una prueba de toxicología positiva para la cocaína. Con lo anterior, ya se ha documentado la relación entre el consumo de cocaína y aparición de broncoespasmo; sin embargo, es una entidad poco frecuente, lo que hace que si no existe sospecha clínica por parte del médico, pase como una causa y, en consecuencia, se retrase el manejo (14).
Conclusión
En el caso clínico anterior, encontramos a un paciente en quien se encontró una relación directa entre la crisis asmática con el broncoespasmo severo y el consumo de cocaína días previos al ingreso a urgencias. Esto nos plantea un reto diagnóstico frente a aquellos pacientes con antecedente de consumo de sustancias psicoactivas y el desarrollo de estados clínicos catastróficos, desarrollo de falla ventilatoria con requerimiento de ventilación mecánica, con potencial riesgo de complicaciones derivadas que pueden conducir a la muerte.
Así, surge la necesidad de considerar entre los diagnósticos diferenciales el consumo de sustancias psicoactivas, para facilitar, de manera oportuna, el inicio del manejo, a fin de evitar desenlaces infortunados que suman morbilidad en los pacientes con problemas de adicción a las drogas; además de identificar vías alternativas de consumo de esta sustancia, que se relacionan con el desarrollo del cuadro clínico mencionado.
















