Introducción
El vólvulo gástrico agudo es una condición clínica rara que consiste en la rotación anormal del estómago sobre uno de sus ejes, con un ángulo mayor de 180º 1,2, y que causa obstrucción de su luz. La obstrucción puede ser transitoria, pero, cuando se prolonga, puede causar isquemia, necrosis, perforación y serio compromiso cardiorrespiratorio, y convertirse en una emergencia quirúrgica 3. Generalmente, se presenta de forma vaga, con signos y síntomas inespecíficos, como vómito, distensión abdominal, taquicardia y dolor epigástrico, que es el síntoma más común; esto la hace una entidad poco específica, que raramente se sospecha clínicamente.
A nivel mundial, no hay claridad sobre la incidencia de esta enfermedad por su presentación poco frecuente. El tratamiento quirúrgico es la mejor opción terapéutica, el cual consiste en la corrección del vólvulo y de los factores etiológicos que lo condicionan 4. La técnica abierta es más descrita en la literatura científica; se han reportado pocos casos tratados con cirugía mínimamente invasiva mediante laparoscopia, lo cual da importancia a esta revisión bibliográfica.
El objetivo del artículo fue, además, describir el cuadro clínico de dos pacientes, las ayudas diagnósticas utilizadas y las dos formas de abordaje quirúrgico, con su evolución y sus complicaciones quirúrgicas.
Caso 1
Se trata de un hombre de 55 años de edad sin antecedentes patológicos o quirúrgicos de importancia, que consultó al servicio de urgencias por un cuadro clínico de 12 horas de evolución de dolor intenso en el flanco izquierdo, asociado con emesis.
En el examen físico de ingreso, los signos vitales fueron: tensión arterial, 137/92 mm Hg; frecuencia cardiaca, 73 latidos por minuto; frecuencia respiratoria, 18 por minuto; saturación de O2, 98 %; y temperatura, 36,6 ºC. Además, se encontró: distensión abdominal, timpanismo, dolor a la palpación en el hemiabdomen superior, y disminución de los ruidos intestinales, sin signos de irritación peritoneal.
En el cuadro hemático se encontró: 15.200 leucocitos por mm3 /μ, neutrófilos 86 %, linfocitos 5 %; hemoglobina, 16 g/dl, hematocrito 51,8 % y 219.000 plaquetas por mm3 /μl En la radiografía simple de abdomen se observó aumento anormal del tamaño de la cámara gástrica (figura 1A). Ante la sospecha de un cuadro clínico obstructivo, se practicó una tomografía computadorizada (TC) abdominal, en la que se apreciaba un gran nivel hidroaéreo en la cámara gástrica (figura 1, B y C). El paciente evolucionó de forma tórpida, con aumento del dolor abdominal, taquicardia y signos de irritación peritoneal, por lo que se decidió someterlo a una laparotomía exploratoria por abdomen agudo quirúrgico.

Figura 1. Paciente masculino, vólvulo órgano-axial. A. Radiografía de abdomen simple: gran dilatación de la cámara gástrica; B. TC axial: distensión gástrica con nivel hidroaéreo; C. TC en plano sagital: estómago de localización central, distendido y con nivel hidroaéreo.
Durante la intervención quirúrgica, se evidenció vólvulo gástrico órgano-axial, completo, con isquemia y necrosis completa del estómago, que requirió reducción manual y posterior gastrectomía total, (figura 2, A, B y C). Dado el compromiso hemodinámico del paciente durante el procedimiento (recibió soporte vasopresor), se consideró hacer la reconstrucción en un segundo tiempo quirúrgico, configurando la cirugía de control de daños.

Figura 2. A. Vólvulo agudo con isquemia y necrosis. B. Reducción manual. C. Gastrectomía total: estómago sin vólvulo con cambios isquémicos y necróticos.
Se practicó una recostrucción con anastamosis esófago-yeyuno en Y de Roux, 72 horas después. Como complicación, presentó fístula de la anastomosis, por lo cual se colocó una endoprótesis (stent) por vía endoscópica, con resolución exitosa de la misma.
Por lo anterior, el paciente permaneció en la unidad de cuidados intensivos, con soporte hemodinámico, asistencia respiratoria mecánica y antibióticos de amplio espectro (meropenem y vancomicina); no se documento aislamiento de ningún germen en el hemocultivo ni en el cultivo de cavidad abdominal. Además, el paciente requirió nutrición parenteral total una vez se logró estabilizar los parámetros hemodinámicos y acido-base, 36 horas después del primer procedimiento.
Caso 2
Se trata de una mujer de 62 años de edad sin antecedentes patológicos de importancia, que consultó al servicio de urgencias por presentar un cuadro clínico de 12 horas de evolución de dolor abdominal en el epigastrio, con posterior extensión al hipocondrio derecho, asociado con distensión abdominal y vómito, sin otra sintomatología.
En el examen físico de ingreso, los signos vitales fueron: tensión arterial, 125/86 mm Hg; frecuencia cardiaca, 88 latidos por minuto; frecuencia respiratoria, 25 por minuto; saturación de O2, 98 %; temperatura, 36,1 ºC. Además, se encontró distensión abdominal, dolor a la palpación en el epigastrio y el hipocondrio derecho, sin signos de irritación peritoneal.
En los exámenes de laboratorio, se encontró: 13.300 leucocitos por mm3 /μ, neutrófilos 77,3 %, linfocitos 18,7 %; hemoglobina, 14,1 g/dl, hematocrito 44,1 %, 447.000 plaquetas por mm3 /μ; amilasa en suero, 133 U/L; bilirrubina total 0,25 mg/dl, bilirrubina directa, 0,11 mg/dl; bilirrubina indirecta, 0,14 mg/dl; fosfatasa alcalina, 130 U/L; transaminasa oxaloacética, 25,5 U/L, y transaminasa pirúvica, 30,1 U/L.
Inicialmente, se consideró una colelitiasis sintomática, por lo cual se practicó una colecistectomía por laparoscopia, sin que se detectara ninguna otra alteración intraabdominal. La evolución fue tórpida durante las 48 horas del periodo posoperatorio inmediato: presentó vómito, distensión abdominal y dolor en el epigastrio. Se sospechó una pancreatitis posquirúrgica, por lo que se solicitó cuantificación de lipasa, TC abdominal con contraste y valoración por el servicio de nutrición por intolerancia a la vía oral. Se inició nutrición parenteral por la imposibilidad de introducir una sonda nasogástrica.
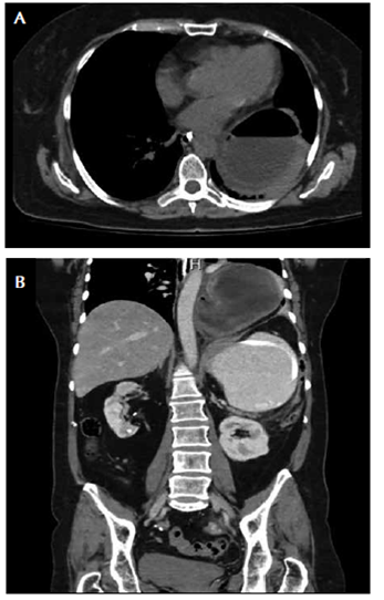
La concentración de la lipasa fue normal. En la TC de abdomen se observó una colección de 95 x 95 mm, con paredes bien definidas, morfología redondeada y contenido hidroaéreo, en la base del hemitórax izquierdo, aparentemente, de localización en el mediastino y extrapulmonar, no dependiente de la pleura, asociada con importante dilatación y aparente obstrucción del estómago a la altura del antro (figura 3, A y B).

Figura 3 A. TC axial: hemitórax izquierdo ocupado por parte del estómago, el cual se encuentra dilatado y contiene un nivel hidroaéreo. B. Hernia hiatal de tipo III: estómago en ‘reloj de arena’, herniado y con vólvulo, que ocupa la base del hemitórax izquierdo.
Por todo lo anterior, se hizo una impresión diagnóstica de vólvulo gástrico asociado con hernia hiatal y se decidió intervenir quirúrgicamente. Mediante abordaje laparoscópico, se evidenció una hernia hiatal de tipo III (paraesofágica mixta) y vólvulo gástrico mesentéricoaxial, con necrosis y perforación gástrica de 3 cm de diámetro sobre la curvatura mayor en la unión fundocorporal. Se procedió a la reducción de la hernia hiatal y del vólvulo gástrico.
Dado el compromiso parcial del estómago, se llevó a cabo una manga gástrica, corrigiendo la perforación descrita con grapadoras mecánicas laparoscópicas de 45 mm triple stapler, previa calibración con sonda de cirugía bariátrica; la línea de sutura se reforzó con polipropileno vascular 3.0. Se corrigió la hernia hiatal con cierre prima rio de los pilares del diafragma, sin usar malla. Se pasó un tubo de tórax por el compromiso de la pleura durante la reducción gástrica, con un defecto que no se pudo cerrar por vía laparoscópica (figura 4, A-F).

Figura 4. A. Reducción de la hernia hiatal. B. Reducción del vólvulo gástrico. C. Perforación del cuerpo gástrico por necrosis secundaria al vólvulo. D. Gastrectomía vertical con suturas mecánicas con corrección de la perforación, secundaria a la necrosis. E. Corrección de la hernia hiatal. F. Receso costo-diafragmático izquierdo borrado y tubo de tórax en la base izquierda.
La evolución posquirúrgica fue adecuada y no se hizo ninguna prueba de filtración; se inició la vía oral con dieta líquida, hubo mejoría progresiva y se autorizó el egreso al tercer día posoperatorio. La paciente no presentó complicaciones inmediatas y recibió un adecuado control ambulatorio, con indicaciones y recomendaciones correspondientes a cirugía bariátrica: dieta semiblanda fraccionada y cuidado de los puertos quirúrgicos (figura 5).
Revisión de la literatura y discusión
Epidemiología
El vólvulo gástrico se presenta principalmente entre la quinta y la sexta década de la vida. El 30 % de los casos ocurre como un evento primario, pero la etiología secundaria es la más prevalente, dentro de las cuales se encuentran con mayor frecuencia la hernia hiatal paraesofágica, las adherencias abdominales y otras condiciones diafragmáticas o intrabdominales. No se ha reportado asociación del vólvulo gástrico con el sexo o la raza 5,6,7. En este caso, el primer paciente estaba en el rango de edad con mayor incidencia de esta condición y, en la segunda paciente se presentó la causa etiológica más común, la hernia hiatal.
Fisiopatología
La rotación gástrica puede producirse en dos direcciones. La primera, y la más común, es la rotación órgano-axial; el eje de rotación se localiza entre el cardias y el píloro, y la curvatura mayor gira hasta 360º en sentido anterior o posterior a este eje; esta se presentó en el primer paciente. El segundo tipo es la rotación mesentérico-axial sobre los ángulos cardio-pilóricos: el píloro rota hacia la izquierda y el cardias hacia la derecha, como sucedió en la paciente 2 8,9,10,11 (figura 6).

Figura 6. A. Vólvulo órgano-axial por rotación del estómago sobre su eje longitudinal. B. Vólvulo mesentérico-axial por rotación del estómago sobre su eje transverso.
Presentación clínica
Las manifestaciones clínicas del vólvulo gástrico dependen de la rapidez de la evolución, del tipo y del nivel de la obstrucción. La forma clínica aguda se caracteriza por la tríada de Borchardt: dolor abdominal superior, vómito y dificultad en el paso de la sonda nasogástrica, mejor evidenciada y descrita en el caso de la paciente 2. La forma crónica puede ser asintomática o puede cursar con dolor epigástrico que se irradia a espalda y hombros, se exacerba después de ingerir alimentos, y se acompaña de sensación de plenitud y vómito 12,13,14,15,16,17.
Las complicaciones del vólvulo gástrico incluyen ulceración, perforación, hemorragia, necrosis pancreática y avulsión epiploica. Además, el compromiso vascular puede producir gangrena en 5 a 28 % de los casos agudos; se estima que del 30 al 50% de los pacientes con esta enfermedad mueren a causa de las complicaciones sépticas que induce la volvulación gástrica. En ambos pacientes hubo compromiso vascular; en el primero, produjo necrosis total gástrica y, en el segundo, con compromiso parcial, produjo perforación de la curvatura mayor. En raras ocasiones, la rotación del estómago puede causar disrupción de los vasos esplénicos, lo cual resulta en hemorragia y ruptura del bazo. Las enfermedades asociadas más frecuentes en los adultos son hernia hiatal, defectos diafragmáticos y parálisis del nervio frénico 18,19,20,21,22.
Imagenología
El hallazgo clásico del vólvulo gástrico agudo en la radiografía abdominal simple, es una solaburbuja de gas esférica grande, localizada en la parte superior del abdomen, la cual se observó en el primer paciente (figura 1). Generalmente, hay poco aire en el intestino distal y una característica distintiva del vólvulo órgano-axial es que el nivel hidroaéreo se encuentra en un plano horizontal cuando se ve en radiografías simples en proyección AP. En el vólvulo mesentérico-axial, el estómago se ve esférico en las imágenes tomadas en posición supina, pero se observan dos niveles hidroaéreos en proyecciones tomadas en posición vertical, con el antro situado por encima del fondo gástrico. El estudio fluoroscópico conbario oral confirma el diagnóstico y el grado de obstrucción. La TC ayuda a definir los detalles anatómicos, y confirmar la rotación del estómago y el punto de transición 23,24,25,26.
El diagnóstico por las manifestaciones clínicas fue difícil en ambos pacientes y las pruebas imaginológicas ayudaron a orientar la conducta; el diagnóstico más aproximado se obtuvo por medio de la TC en la paciente 2.
Tratamiento
El manejo del vólvulo gástrico depende de su origen y forma de presentación: aguda o crónica. Existen tres pilares en el tratamiento: reducción del vólvulo, fijación gástrica y corrección de los factores predisponentes. Se han descrito tres abordajes quirúrgicos: por laparotomía, por laparoscopia y por endoscopia. La laparotomía de urgencia es considerada la conducta quirúrgica de elección, por lo cual se tienen en cuenta varias estrategias, que incluyen: reparación de la hernia diafragmática, gastropexia simple, gastropexia con división del epiplón gastrocólico (operación de Tanner), gastrectomía parcial o total, gastrostomía fundoantral (operación de Opolzer) y reparación de la eventración del diafragma.
En el caso del primer paciente, se practicó una gastrectomía total, con un segundo tiempo quirúrgico para la reconstrucción. Cuando existe un gran riesgo preoperatorio, se prefiere la vía endoscópica que es menos invasiva; en ninguno de los dos pacientes se consideró esta vía, dado su compromiso agudo.
El tratamiento laparoscópico está indicado para reducir el vólvulo, anclar el fondo gástrico al diafragma, unir la curvatura mayor del estómago a la pared abdominal y, además, hacer algunas reparaciones diafragmáticas. La técnica laparoscópica está indicada en casos de vólvulo crónico y en los que no existe necrosis o isquemia gástrica comprobada. La gastrectomía total o parcial se usa solo en casos de necrosis gástrica.
La vía laparoscópica se utilizó en la segunda paciente para hacer una manga gástrica o gastrectomía vertical con corrección de la hernia hiatal, la cual está poco documentada en la literatura y no se ha descrito para la corrección del vólvulo gástrico agudo. El abordaje laparoscópico, en particular para la gastrectomía vertical, permite un tratamiento más acorde con la funcionalidad y la anatomía previa del paciente. Cabe resaltar que esta técnica se considera reservada para casos similares al de la paciente 2, en quien la perforación comprometía la curvatura mayor del estómago.
La alternativa quirúrgica es una gastrectomía subtotal con derivación gastroentérica, que causa mayor morbilidad pues altera de forma drástica la anatomía previa e impacta la función digestiva. No obstante, ninguna de las dos está exenta de complicaciones, como las fístulas 27,28,29,30,31.
Conclusión
El vólvulo gástrico es una entidad rara y poco descrita, pero debe tenerse en cuenta durante el diagnóstico diferencial del dolor abdominal agudo, ya que tiene alto índice de complicaciones y mortalidad.
Se describen dos pacientes de edad madura, de diferente sexo, sin antecedentes relevantes, que ingresaron al servicio de urgencia por dolor abdominal agudo. El diagnóstico se hizo con ayuda de las imágenes, ya que, como se describe en la literatura, es difícil hacerlo por el cuadro clínico, el cual es poco específico.
El abordaje fue distinto por la forma de presentación del vólvulo, el cual fue órgano-axial en el paciente 1 y mesentérico-axial en la paciente 2, quien tenía también una hernia hiatal. El vólvulo gástrico órgano-axial es el más común; el paciente requirió gastrectomía total mediante laparotomía por el compromiso gástrico, la cual es una buena técnica, segura y reproducible con buenos resultados, pero con gran morbilidad. El vólvulo gástrico mesentérico-axial fue tratado con gastrectomía vertical y corrección de la hernia hiatal mediante laparoscopia.
Los procedimientos mínimamente invasivos han abierto la puerta para extrapolar técnicas para una enfermedad a otras, en este caso, la cirugía bariátrica para tratar la necrosis y la perforación gástrica ocasionada por el vólvulo, la cual, posiblemente, se podría usar en otras alteraciones, como el trauma o la úlcera perforada. Esto sugiere que es una técnica segura, reproducible y con buenos resultados, según los conocimientos y la experiencia del médico tratante; se requieren estudios comparativos para establecer la efectividad de una técnica en relación con otras.
Consideramos que los casos presentados son un claro ejemplo de una adecuada interacción entre la especialidad de cirugía general y la subespecialidad de cirugía gastrointestinal. El primer paciente fue evaluado y tratado oportunamente por cirugía general, con gastrectomía total y ligadura del esófago como control de daños en presencia de inestabilidad hemodinámica; posteriormente, recibió atención de cirugía gastrointestinal para su reconstrucción. Lo más llamativo fue el tratamiento de la fístula anastomótica posoperatoria mediante la colocación de una prótesis esofágica por parte del mismo servicio. Esto muestra la relevancia del manejo de técnicas endoscópicas en cirugía como un recurso terapéutico invaluable para afrontar, no solo complicaciones quirúrgicas, sino también, tratamientos primarios. Esto último correspondió al tratamiento del segundo caso, en el cual se pudo extrapolar la técnica endoscópica (en este caso, con laparoscopio) de la manga gástrica para tratar la perforación y, así, evitar una cirugía de mayor envergadura y con más posibilidades de complicaciones.
Lo anterior no solo resalta el trabajo multidisciplinario entre cirugía general y las subespecialidades, sino también, la pertinencia de incluir cada vez más técnicas endoscópicas y mínimamente invasivas en los programas de formación del cirujano actual.
En ambos casos, la evolución posoperatoria fue favorable con procedimientos considerados exitosos. No hay descrita en la literatura científica suficiente evidencia sobre el vólvulo gástrico.














