Introducción
Las hernias abdominales internas son secundarias a la protrusión de un órgano abdominal a través de una abertura mesentérica o peritoneal, congénita o adquirida. Se presentan con una incidencia menor del 1 %, pero constituyen el 5,8 % de todas las obstrucciones de intestino delgado y, por su diagnóstico tardío, suelen tener una mortalidad que supera el 50 %.
Las hernias internas más comunes son las paraduodenales, que corresponden del 50 al 55 % de los casos; otras hernias menos comunes incluyen las hernias a través del foramen de Winslow (6 a 10 %), transmesentéricas (8 a 10 %), pericecales (10 a 15 %), intersigmoideas (4 a 8 %), paravesicales, supravesicales y pélvicas (<4 %) 1,2.
El diagnóstico prequirúrgico es difícil, ya que sus manifestaciones clínicas son las de una obstrucción intestinal, pero no hay signos clínicos que sugieran un diagnóstico más específico, por lo que el hallazgo es usualmente intraoperatorio. 3,4.
Se presenta un caso clínico de una obstrucción intestinal secundaria a una hernia supravesical interna, su manejo quirúrgico y la evolución posquirúrgica, y se hace una revisión de la literatura científica.
Caso clínico
Se trata de un hombre de 29 años de edad, sin antecedentes médicos ni quirúrgicos de importancia, que ingresó al servicio de urgencias con un cuadro clínico de una semana de evolución consistente en dolor abdominal de inicio súbito, con progresión de su intensidad con el paso de los días, asociado a distensión abdominal, anorexia, vómitos de contenido bilioso, y ausencia de flatos y deposiciones.
En el examen físico de ingreso, se encontraba en regular estado general, taquicárdico, taquipneico, con signos agudos de deshidratación, sin alteraciones cardiopulmonares, con abdomen globoso por distensión, timpánico, y doloroso a la palpación superficial y profunda, sin evidencia de hernias de la pared abdominal y con drenaje bilioso de 150 ml por sonda nasogástrica.
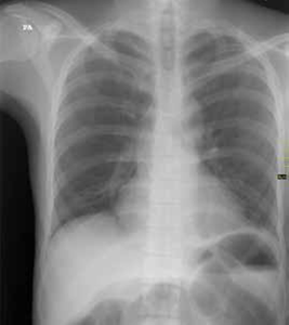
Entre sus exámenes de laboratorio se destacaba una hipopotasemia leve; en el estudio de radiología simple de abdomen, en bipedestación y posición supina, se observó un patrón de ‘pilas de monedas’ (figuras 1, 2, 3).

Figura 2. Radiografía simple de abdomen en supino: distensión de asas de intestino delgado, con patrón de ‘pila de monedas’.

Figura 3. Radiografía simple de abdomen en bipedestación: distensión de asas de intestino delgado, niveles hidroaéreos y ausencia de gas en el recto.
Fue sometido a una laparotomía exploratoria de urgencia, en la que se encontró gran dilatación del intestino delgado, desde el ligamento de Treitz hasta 15 cm antes de la válvula ileocecal, con encarcelación del íleon distal en el borde antimesentérico, en la fosa supravesical (figura 4).
Se redujo la hernia del intestino delgado, y se usaron medidas térmicas por signos de sufrimiento intestinal; la reacción fue buena, se recuperaron la peristalsis y la coloración y, por último, se reparó el defecto herniario (figura 5). El manejo posquirúrgico se hizo en una sala de hospitalización general, con fluidoterapia, procinéticos y analgesia; los incentivos respiratorios y la movilización fuera de cama se iniciaron de forma temprana. La vía oral se reinició a las 36 horas después del procedimiento, con progresión hasta una dieta convencional a los cinco días. Se autorizó el egreso hospitalario al séptimo día.
En el seguimiento por consulta externa a los 15 días, no se habían presentado complicaciones.
Discusión
La fosa supravesical es el área de la pared abdominal localizada entre los ligamentos umbilicales medio y medial, cuyo límite inferior es la reflexión peritoneal que pasa de la pared abdominal anterior a la cúpula vesical. Las hernias supravesicales se forman cuando una zona de la fosa supravesical se convierte en un divertículo, y atraviesa la aponeurosis del músculo transverso del abdomen y la fascia transversal. Cuando nacen en la parte superior de la fosa, se constituyen en hernias externas y, cuando nacen en la zona inferomedial, quedan atrapados en el espacio de Retzius y constituyen una hernia interna.
A su vez, la hernia interna puede ser prevesical, paravesical, lateral o intravesical, según su ubicación 5,6. La hernia supravesical interna de tipo intravesical ocurre cuando el ápice de la vejiga se debilita por un cierre defectuoso del uraco, y el divertículo se hernia directamente sobre la vejiga 6. Skandalakis, et al., propusieron términos más simples como ‘supravesical anterior’, ‘supravesical lateral derecha o izquierda’ y ‘supravesical posterior’, según si la hernia pasaba por delante, por el lado o por detrás de la vejiga, respectivamente. Las hernias anteriores y laterales pasan al espacio retropúbico de Retzius. La hernia posterior es rara y pasa al espacio retrovesical 7,8.
La primera hernia supravesical externa fue reconocida en 1804 por Sir Astley Cooper. Diez años más tarde, Ring describió la primera hernia supravesical interna auténtica 5,9.
Las hernias internas tienen una incidencia menor del 1 % y las hernias supravesicales corresponden a menos del 4 % de estas, por lo que se dice que las hernias supravesicales interna o externa son raras 10.
Muchos factores influyen en la aparición de este tipo de hernias. En primer lugar, un aumento de la prominencia de los pliegues umbilicales puede dar lugar a la formación de bolsillos, por donde se pueden deslizar estructuras a través del área debilitada 4,6. Por otra parte, la atrofia de la grasa peritoneal es un factor que influye en la formación de invaginaciones en el peritoneo, al igual que predispone a la existencia de zonas inflamatorias, que dan lugar a cicatrices por donde se producen las hernias. Los defectos congénitos o adquiridos se caracterizan por una síntesis inadecuada del colágeno, que puede dar lugar a la aparición de múltiples defectos de la pared abdominal, internos o externos. Otro factor que se encuentra asociado a este tipo de hernias, es el aumento de la presión intrabdominal 4,6.
Las hernias supravesicales se presentan predominantemente en hombres adultos, como resultado de un agrandamiento antero-superior de la vejiga urinaria durante el llenado vesical; en las mujeres, la distención de la vejiga urinaria ocurre lateralmente, por lo que en ellas es menos frecuente la presentación de este tipo de hernias 11.
La hernia supravesical interna no tiene manifestaciones clínicas específicas: su sintomatología corresponde a la de una obstrucción intestinal. No hay manifestación de masas superficiales palpables, debido a la presencia de la sínfisis púbica que evita su exteriorización. El diagnóstico diferencial de una hernia interna se debe hacer en el paciente con obstrucción intestinal, sin defectos visibles de la pared abdominal y sin el antecedente de procedimientos quirúrgicos. En algunos casos, se puede manifestar con signos y síntomas urinarios, como micción frecuente y tenesmo vesical 4,11.
El diagnóstico prequirúrgico se puede hacer por tomografía computarizada, al demostrarse un asa intestinal en el espacio supravesical y distorsión de la pared de la vejiga; de igual manera, se puede observar dilatación del intestino delgado. El diagnóstico confirmatorio se hace durante la intervención quirúrgica, en aquel paciente sometido a cirugía por diagnóstico de obstrucción intestinal o con sospecha imagenológica según lo descrito anteriormente 11,12.
El tratamiento de esta entidad es quirúrgico y tiene como principio la reducción de las vísceras, normalmente el intestino delgado, a través del defecto herniario, con posterior evaluación de su viabilidad y, si se requieren, sutura intestinal o resección y anastomosis. La resección del saco herniario es innecesaria. El abordaje quirúrgico puede hacerse por vía abierta o laparoscópica. La cirugía mínimamente invasiva debe practicarse en pacientes seleccionados y por personal entrenado, en centros con alto volumen de cirugías laparoscópicas, dada la dificultad acentuada para la manipulación de las asas intestinales distendidas y el gran riesgo de lesiones iatrogénicas por este mismo motivo 13,14,15,16.
















