SciELO - Scientific Electronic Library Online

 
vol.35 issue3A fish bone in a haystack: fish bone lodged in thyroidParacecal hernia, diagnostic and surgical challenge: case report and literature review author indexsubject indexarticles search
Home Pagealphabetic serial listing  

Services on Demand

Journal

Article

Indicators

Related links

  • On index processCited by Google
  • Have no similar articlesSimilars in SciELO
  • On index processSimilars in Google

Share


Revista Colombiana de Cirugía

Print version ISSN 2011-7582On-line version ISSN 2619-6107

rev. colomb. cir. vol.35 no.3 Bogotá July/Sept. 2020  Epub Feb 09, 2021

https://doi.org/10.30944/20117582.562 

Imágenes en cirugía

Divertículo esofágico de tercio medio: Una causa infrecuente de disfagia

Middle third esophageal diverticulum: An infrequent cause of dysphagia

Julio César Moreno-Alfonso1  a 
http://orcid.org/0000-0002-0414-2888

Inés Eguaras-Córdoba2 
http://orcid.org/0000-0002-8910-7001

María Concepción Yárnoz-Irazábal3 
http://orcid.org/0000-0002-8873-5786

María del Coro Miranda-Murua4 
http://orcid.org/0000-0001-8244-2950

1 Médico y Cirujano General, Fundación Universitaria Juan N. Corpas; residente de Cirugía pediátrica, Complejo Hospitalario de Navarra, Pamplona, España.

2 MD, especialista en Cirugía general, Universidad de Navarra; residente de Cirugía general y del Aparato digestivo, Complejo Hospitalario de Navarra, Pamplona, España.

3 MD, especialista en Cirugía general y del Aparato digestivo; facultativo, Unidad de Cirugía esofagogástrica y bariátrica, Complejo Hospitalario de Navarra, Pamplona, España. Profesora asociada de anatomía y embriología humana, Universidad Pública de Navarra. Pamplona, España.

4 MD, especialista en Cirugía general y del Aparato digestivo; jefa, Unidad de Cirugía esofagogástrica y bariátrica, Complejo Hospitalario de Navarra, Pamplona, España.


Palabras clave: esófago; divertículo esofágico; trastornos de la motilidad esofágica; endoscopía del sistema digestivo; diagnóstico por imagen; cirugía torácica asistida por video.

Key words: esophagus; diverticulum, esophageal; esophageal motility disorders; endoscopy, digestive system; diagnostic imaging; thoracic surgery, video-assisted.

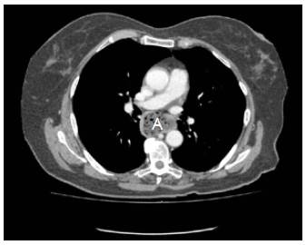
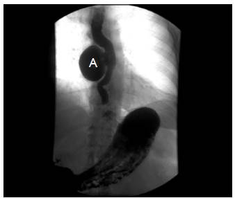
Mujer de 72 años de edad, con cuadro clínico de un año de disfagia y atragantamiento con alimentos sólidos, que había requerido tratamiento endoscópico. Se realiza endoscopia de vías digestivas altas que documenta un divertículo esofágico en tercio medio, y manometría esofágica de alta resolución, sin trastorno motor. El esofagograma (figura 1) y la tomografía computarizada de tórax (figura 2) muestran un divertículo en tercio medio de esófago, lateral derecho, de 7 cm de diámetro y base de 2.5 cm de diámetro. De manera programada se lleva a cabo diverticulectomía esofágica por toracoscopia, en decúbito prono (figura 3), sin complicaciones.

Figura 1 Divertículo esofágico de tercio medio, lateral derecho (A). 

Figura 2 Divertículo esofágico de tercio medio con restos alimentarios en su interior (A). 

Figura 3 Divertículo (A) y esófago distal (B), en relación anatómica con las venas pulmonares derechas (C), bronquio principal derecho (D) y cayado de la vena ácigos (E). 

Discusión

Los divertículos esofágicos son una patología infrecuente, con una prevalencia de 0,06 - 4 % 1-4. Suelen ser asintomáticos, pero en caso contrario, el síntoma más frecuente es la disfagia 2-4. Los divertículos esofágicos del tercio medio se forman por mecanismo de tracción, y se asocian a procesos inflamatorios crónicos del mediastino, fibrosis y trastornos motores del esófago, en un 90 % de los casos; sin embargo, se desconoce si el trastorno motor es primario o secundario a la presencia del divertículo 1,2,4. Puesto que suelen ser asintomáticos, el diagnóstico es habitualmente incidental mediante esofagograma u otras pruebas radiológicas o endoscópicas, y no precisan tratamiento 1-4. No obstante, ante la presencia de síntomas, el tratamiento de elección es la resección quirúrgica por toracoscopia o toracotomía 2-4.

Referencias

1. Sato H, Takeuchi M, Hashimoto S, Mizuno KI, Furuwaka K, Sato A, et al. Esophageal diverticulum: New perspectives in the era of minimally invasive endoscopic treatment. World J Gastroenterol. 2019;25:1457-64. https://doi.org/10.3748/wjg.v25.i12.1457Links ]

2. Martínez-Marín JD. Divertículo gigante del esófago torácico. Rev Col Gastroenterol. 2008;23:387-89. [ Links ]

3. Whittle C, Schiappacasse G, Leal E, Franz G, Hasson D, Maldonado I, et al. Imágenes en divertículos del tubo digestivo: Localizaciones infrecuentes. Serie de casos. Rev Chil Radiol. 2018;24:67-78. [ Links ]

4. Herbella FA, Patti MG. Modern pathophysiology and treatment of esophageal diverticula. Arch Surg. 2012;397:29-35. https://doi.org/10.1007/s00423-011-0843-2Links ]

Cumplimiento de normas éticas

Consentimiento informado: Esta publicación es una revisión de historia clínica retrospectiva, y las imágenes no permiten identificar la paciente, por lo que no hay necesidad de un consentimiento informado.

Declaración de conflicto de intereses: los autores declaran que no tienen conflicto de intereses.

Fuentes de financiación: Recursos propios de los autores.

Recibido: 11 de Febrero de 2020; Aprobado: 14 de Febrero de 2020

aCorrespondencia: Julio César Moreno A., Carrera 75 # 23B - 34, Bogotá, D.C., Colombia. Teléfono: +57 3118572978 Correo electrónico: juliomoreno.md@gmail.com Citar como: Moreno-Alfonso JC, Eguaras-Córdoba I, Yárnoz-Irazábal MC, Miranda-Murua MC. Divertículo esofágico de tercio medio: Una causa infrecuente de disfagia. Rev Colomb Cir. 2020;35:498-9. https://doi.org/10.30944/20117582.562

Creative Commons License Este es un artículo de acceso abierto bajo una Licencia Creative Commons - BY-NC-ND