Presentación del caso
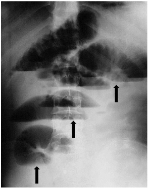
Se trata de un hombre de 46 años de edad, sin antecedentes de intervención quirúrgica, quién acudió al servicio de urgencias por presentar dolor abdominal tipo cólico, náuseas, vómito bilioso frecuente y ausencia de flatos y deposición. A la exploración física se encontró mucosas secas, abdomen distendido, ruidos hidroaéreos aumentados, hipersonoridad difusa a la percusión y ampolla rectal vacía al tacto rectal. La radiografía simple de abdomen en bipedestación, mostró la presencia de niveles hidroaéreos centrales en escalera y distensión de asas yeyunales e ileales (Figura 1).

Figura 1. Radiografía simple de abdomen en bipedestación. Las flechas muestran los niveles hidroaéreos centrales en escalera y la distensión de asas yeyunales e ileales.
Se intervino quirúrgicamente de urgencia, identificándose gran distensión del intestino delgado desde el ligamento de Treitz hasta el íleon terminal, con una hernia paraduodenal izquierda como etiología de la obstrucción intestinal (Figura 2). Se hizo reducción del intestino delgado herniado y cierre del orificio herniario con sutura continua no absorbible (Figura 3). La evolución del paciente fue favorable.

Figura 2. Transoperatorio. La flecha muestra el saco herniario abierto con distensión de asas intestinales delgadas.
Discusión
Las hernias paraduodenales constituyen el 50 % de todas las hernias abdominales internas, con una incidencia de 0,2 % al 0,9 %, y son una causa muy infrecuente de obstrucción del intestino delgado 1. Las hernias paraduodenales izquierdas son anomalías congénitas que surgen durante la rotación del tracto digestivo, cuando el intestino delgado se invagina en un segmento avascular de mesocolon transverso en la fosa de Landzert 2. Los métodos imagenológicos son necesarios para el diagnóstico temprano y para planear la cirugía 3. Los principios del tratamiento quirúrgico incluyen la reducción de la hernia intestinal, la resección del segmento intestinal isquémico, si existe, y el cierre del orificio de la hernia 4.














