Introducción
Los quistes de duplicación (QD) son malformaciones congénitas raras, que se definen como una lesión quística tapizada por epitelio gástrico o intestinal, con una capa de músculo liso entre su pared y la del segmento del tubo digestivo afectado 1,2. Su incidencia se estima en 1 por cada 4500 nacidos. Aunque se pueden originar en cualquier segmento del tracto gastrointestinal, se presentan con mayor frecuencia en el intestino delgado y en el estómago, en un 4-20 % de los casos a nivel de la curvatura mayor 3.
Existen muchas teorías relacionadas con su posible etiología, incluyendo la formación de divertículos entéricos embriológicos, la separación incompleta de las placas notocordales y la fusión entre pliegues longitudinales 4. La mayoría de los QD gástricos se diagnostican durante la infancia y existen pocos reportes de esta patología en adultos mayores, en quienes su hallazgo es usualmente incidental y el diagnóstico representa un reto debido a la ambigüedad de los síntomas y a la amplia variedad de diagnósticos diferenciales 5,6.
Se presenta el caso de una mujer adulta mayor, con diagnóstico de quiste de duplicación gástrico, confirmado mediante el estudio histopatológico.
Caso clínico
Mujer de 65 años, quien consultó al Hospital Universitario del Valle, Cali, Colombia, por un cuadro clínico de tres años de evolución de dolor abdominal localizado en epigastrio e hipocondrio derecho, asociado con deposiciones líquidas intermitentes y malestar general, síntomas exacerbados con la ingesta de alimentos, e incrementados en frecuencia e intensidad durante el último mes. Como antecedentes de importancia refirió hipertensión arterial en manejo con losartán y propanolol, síndrome de intestino irritable y dispepsia, en tratamiento con trimebutina y sucralfato, respectivamente. Como datos relevantes del examen físico se identificó sobrepeso, abundante panículo adiposo y masa epigástrica dolorosa a la palpación. Los estudios de laboratorio se encontraban dentro de parámetros normales.
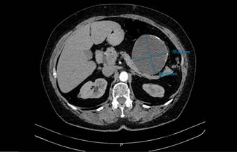
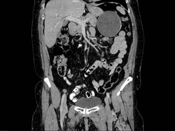
Se realizó una ecografía de abdomen total que informó una imagen quística de 8 x 7 cm, en íntimo contacto con la cola del páncreas. Posteriormente una tomografía computarizada de abdomen con contraste reportó una lesión hipodensa de aspecto quístico, de 86,6 x 78,5 mm, en contacto con la curvatura mayor del estómago, el cuerpo y la cola del páncreas, con paredes irregularmente engrosadas y calcificaciones periféricas aisladas en su interior. Como primera posibilidad se sugirió un tumor del estroma gastrointestinal (GIST, por sus siglas en inglés) (figuras 1 y 2). La endoscopia de vías digestivas altas diagnosticó una gastropatía antrocorporal no erosiva sin hallazgos patológicos adicionales.

Figura 1. Corte axial de tomografía computarizada contrastada de abdomen (plano transverso). Se señala la lesión hipodensa de aspecto quístico de 86.6 mm x 78.5 mm.

Figura 2. Corte coronal de la tomografía computarizada de abdomen donde se señala la lesión hipodensa de aspecto quístico.
Debido a los hallazgos descritos, la paciente fue programada por cirugía oncológica para resección laparoscópica. Se utilizó la posición francesa y se insertaron trocares de 12 mm a nivel umbilical y paraumbilical derecho, trocares de 5 mm paraumbilical izquierdo, hipocondrio derecho e hipocondrio izquierdo. Se utilizó neumoinsuflación de 12 mm/Hg. Se encontró una lesión pediculada dependiente de la curvatura mayor a nivel del cuerpo gástrico (figura 3) y se decidió realizar una gastrectomía vertical con endograpadora y bujía de calibración de 34 Fr para evitar la estenosis. Se preservaron los bordes libres de lesión.

Figura 3. Hallazgos intraoperatorios: curvatura menor del estómago (a) en cuyo espesor de la pared (b) se identifica una lesión quística (c) con la que comparten una misma irrigación sanguínea.
El resultado de histopatología informó un espécimen conformado por un quiste de 9,5 cm de diámetro y 321 g. de peso, con superficie de color pardo claro, lisa y vascularizada. La pared de la lesión se encontraba rodeada por una capa de músculo adherida a un fragmento de la pared gástrica. Al corte se reveló una cavidad quística uniloculada que contenía líquido seromucinoso de color bronce y calcificaciones múltiples en su pared interna, sin comunicación directa con la mucosa gástrica (figura 4). En la evaluación microscópica, la pared quística se encontraba unida a la pared gástrica por medio de una capa de músculo liso, y tenía la superficie interna tapizada por mucosa gástrica con escasas glándulas y foveolas, alternadas con una capa simple de epitelio cuboidal a cilíndrico con inmunorreactividad para CK AE1/AE3 y CK7 en los estudios de inmunohistoquímica (figura 5).

Figura 4. Hallazgos macroscópicos en espécimen de resección: A. Cara externa de lesión quística unida a borde de resección de pared gástrica (a). B. Cara interna del espécimen de resección con fragmentos de mucosa gástrica (b) y cavidad interna de lesión quística no comunicante (c).

Figura 5. Hallazgos microscópicos: A. Epitelio de pared quística (a) unido por capa de músculo liso (b) a mucosa gástrica (c). B. Epitelios de pared quística y gástrica positivos para CK AE1/AE3 por inmunohistoquímica. C. Mucosa intestinal tapizando la cara interna de la lesión quística (d).
La paciente se recuperó de forma adecuada y se realizó seguimiento durante un año mediante tomografías de abdomen, sin presentar recurrencia o complicaciones relacionadas con la cirugía.
Discusión
Los quistes de duplicación se definen como lesiones quísticas tapizadas en su interior por epitelio intestinal, unidas por una capa de músculo liso a la capa muscular propia de cualquier segmento del tracto gastrointestinal 7. Son malformaciones infrecuentes que varían en forma, tamaño y pueden comprometer cualquier segmento del tracto gastrointestinal, afectando con mayor frecuencia el intestino delgado a nivel del íleon, yeyuno y, en menor proporción, el estómago 1,6,8.
Existe controversia respecto al origen embriológico de estas malformaciones. Se ha planteado que son producto de una falla en la recanalización del tubo digestivo primitivo antes de la diferenciación del epitelio de superficie, por lo cual reciben su nombre dependiendo del fragmento del tracto gastrointestinal con el cual estén asociados 5. Otras teorías sobre su etiopatogenia proponen la persistencia de una vacuola formada en la fase sólida de la embriogénesis intestinal o la persistencia de un divertículo embrionario, fallas en la fusión y la recanalización de los pliegues longitudinales que permiten la formación de puentes epiteliales y fracaso en el desarrollo normal de la notocorda y el endodermo. Hasta la fecha, los mecanismos etiopatológicos no se han dilucidado 9,10.
Los QD gástricos representan un 4 % a 20 % de todas las duplicaciones intestinales, su localización más frecuente es a nivel de la curvatura mayor (95 % de los casos), seguidos por la pared posterior 8,11.
Los criterios diagnósticos fueron descritos en 1959 por Rowling et al. e incluyen la continuidad entre la pared gástrica y la quística, unidas por una capa común de músculo liso al alrededor del quiste, la irrigación de la lesión por una arteria gástrica y la presencia de epitelio de mucosa gástrica o intestinal tapizando la lesión 12. Estas lesiones tienen una configuración quística o tubular y pueden o no comunicarse con la luz gástrica. Los criterios mencionados previamente fueron confirmados histopatológicamente en nuestra paciente, en quien la lesión de configuración quística no fue comunicante y tenía una superficie epitelial completamente independiente de la mucosa gástrica.
Debido a su localización, tamaño y efecto compresivo, los QD gástricos son diagnosticados con mayor frecuencia durante la infancia, debido a la presencia de síntomas y signos más evidentes 6. El diagnóstico en adultos generalmente se hace de forma incidental por tomografía o endosonografía con confirmación histológica en los especímenes resecados 13,14. El diagnóstico es difícil debido a la heterogeneidad en la presentación clínica y la posibilidad de diagnósticos diferenciales más frecuentes, como los tumores neuroendocrinos, GIST, páncreas ectópico y neoplasias malignas 15,16. Los pacientes adultos con este diagnóstico suelen ser asintomáticos o presentar síntomas inespecíficos y crónicos, como los referidos por esta paciente, quien consultó por dolor abdominal y diarrea. El diagnóstico en la edad adulta generalmente requiere de una alta sospecha diagnóstica 17.
En la paciente presentada, de acuerdo con los hallazgos ecográficos iniciales, se realizó una tomografía computarizada de abdomen, para caracterizar mejor la lesión, con la presunción de un tumor del estroma gastrointestinal versus una neoplasia maligna de origen epitelial como diagnóstico diferencial. En relación con el diagnóstico, la literatura reporta mayor rendimiento de métodos como biopsia por aspiración con aguja fina guiada por endoscopia o endosonografía, y la tomografía por emisión de positrones (PET-CT), en comparación con la tomografía computarizada o la resonancia magnética nuclear 13,18,19. En este caso no se consideró la realización de PET-CT o la biopsia por endosonografía debido a que estas opciones no están disponibles en nuestro medio, no existe evidencia que apoye su uso, su costo es elevado y no afectaba la decisión del manejo quirúrgico.
Se han reportado múltiples procedimientos para el tratamiento de los QD gástricos incluyendo la enucleación, cistogastrostomía y resección endoscópica 20. Aunque no existe un algoritmo o guía de manejo específica, se recomienda la resección completa en pacientes sintomáticos y en asintomáticos con riesgo de complicaciones y de malignidad originadas en el epitelio de revestimiento de la lesión, como se ha reportado previamente 4,21. La decisión del tratamiento quirúrgico en el caso presentado quedaba suficientemente sustentada por la sintomatología de la paciente, el tamaño de la lesión y la posibilidad de que se tratara de un GIST según el estudio tomográfico.
Existen diversas técnicas quirúrgicas descritas mediante abordaje abierto o laparoscópico, como la escisión completa del quiste con resección de la pared gástrica circulante, baipás gástrico y gastrectomía parcial o total 2,22,23. En este caso, teniendo en cuenta que la cirugía mínimamente invasiva ha mejorado los resultados postoperatorios de las resecciones gástricas en términos de menor sangrado y menor estancia hospitalaria, sin comprometer el pronóstico oncológico, se decidió hacer un abordaje laparoscópico y una resección segmentaria más linfadenectomía radical abdominal, dado que los hallazgos endoscópicos y tomográficos sugerían como primera posibilidad un GIST.
El estudio morfológico del espécimen confirmó los criterios diagnósticos de QD gástrica mencionados previamente. No hubo evidencia de focos de displasia o atipia celular a nivel del epitelio intestinal de recubrimiento quístico. La naturaleza de los quistes de duplicación gástrica se considera benigna, sin embargo, pueden asociarse con complicaciones como sangrado, fistula y degeneración maligna. Aunque no es frecuente, existen reportes de neoplasias malignas epiteliales originadas en la mucosa de recubrimiento de la lesión como adenocarcinomas, carcinomas epidermoides y carcinomas neuroendocrinos 3,24,25,26.
Conclusión
Los quistes de duplicación son anomalías congénitas infrecuentes, que varían de forma y tamaño y se pueden localizar a cualquier nivel del tracto gastrointestinal. Los quistes de duplicación gástrica son excepcionales. Representan de un 4 % al 20 % de todas las duplicaciones intestinales, entre las cuales su localización más frecuente es a nivel de la curvatura mayor. Se desconoce su mecanismo etiopatogénico.
En la mayoría de los casos el diagnóstico se realiza en la primera infancia y tan sólo en una pequeña proporción se identifican en la edad adulta, como un hallazgo incidental en pacientes asintomáticos, o con síntomas inespecíficos. Debido a la heterogeneidad en su presentación clínica es importante realizar diagnóstico diferencial con otras entidades, principalmente con tumores neuroendocrinos y de componente quístico.
Existen diferentes herramientas para su diagnóstico, incluyendo aspiración con aguja fina guiada por endoscopia, endosonografía o PET-CT, sin embargo, su confirmación se realiza usualmente mediante los hallazgos histopatológicos. Su tratamiento está basado en la resección de la lesión con diferentes técnicas quirúrgicas, mediante abordaje abierto o laparoscópico.













