Introducción
La COVID-19 ha mostrado una gran variedad de manifestaciones, que clasifica a la enfermedad en leve o grave. Síntomas gastrointestinales como náusea, vómito, anorexia y dolor abdominal han sido reportados, con una prevalencia entre 3 a 21 % de los casos.1,2
Caso clínico
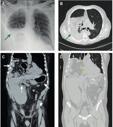
Presentamos el caso de un paciente de 51 años que acude al servicio de Urgencias por disnea y dolor torácico persistente. El paciente reportó también sensación de náusea, disfagia, hiporexia, dolor abdominal moderado y ausencia de evacuaciones en 72 horas. La exploración inicial reveló 20 respiraciones por minuto, saturación de oxígeno 96%, y no se documentó fiebre, a pesar de cursar con síntomas de enfermedad grave. La radiografía de tórax evidenció zona de opacidad basal derecha. La prueba de antígeno y PCR resultaron positivas para COVID-19. Se realizó una tomografía tóraco- abdominal la cual demostró la presencia de hernia hiatal mixta y vólvulo gástrico; en el parénquima pulmonar no se observaron cambios sugestivos de neumonía por SARS-CoV-2 (Figura 1).

Figura 1: A) Radiografía posteroanterior con opacidad en hemitórax derecho. B) Tomografía de tórax en plano axial que revela estómago, intestino delgado, colon y mesenterio en situación intratorácica derecha; no se observan cambios en parénquima pulmonar compatibles con neumonía viral. C) Tomografía tóraco-abdominal (plano coronal) que demuestra hernia hiatal con hemidiafragma derecho de situación alta y vólvulo gástrico. D) Tomografía en plano coronal que muestra restricción mecánica del pulmón derecho con desplazamiento contralateral de estructuras mediastinales. Imagen original, fuente: los autores.
Discusión
La discordancia entre el cuadro clínico, la exploración física y los hallazgos radiográficos iniciales, puede ser objeto de confusión en una enfermedad emergente y multisistémica2. Los hallazgos por tomografía de tórax han demostrado una buena correlación con la severidad de la enfermedad3. En este caso, los síntomas (incluyendo la disnea y dolor torácico) fueron secundarios a la restricción mecánica del parénquima pulmonar, probablemente en un paciente con enfermedad COVID-19 leve o asintomática.














