SciELO - Scientific Electronic Library Online

 
vol.38 issue2Hiatal hernia: Respiratory and gastrointestinal symptoms in COVID-19 eraAtypical presentation of glomus tumor in the airway: Case report and literature review author indexsubject indexarticles search
Home Pagealphabetic serial listing  

Services on Demand

Journal

Article

Indicators

Related links

  • On index processCited by Google
  • Have no similar articlesSimilars in SciELO
  • On index processSimilars in Google

Share


Revista Colombiana de Cirugía

Print version ISSN 2011-7582On-line version ISSN 2619-6107

rev. colomb. cir. vol.38 no.2 Bogotá May/June 2023  Epub Jan 23, 2023

https://doi.org/10.30944/2011758.2294 

Imágenes en Cirugía

Infarto del omento: tratamiento por laparoscopia

Infarction of the omentum: Laparoscopic treatment

Patricia Alejandra López-Penza1  a 
http://orcid.org/0000-0003-0951-6831

Marcos Javier2 

1 Médica, especialista en Cirugía general, Centro Hospitalario del Este, Maldonado, Uruguay.

2 Médico, especialista en Imagenología, Centro Hospitalario del Este, Maldonado, Uruguay.


Palabras clave: epiplón; infarto; necrosis; dolor abdominal; cirugía; laparoscopía

Keywords: omentum; infarction; necroasis; abdominal pain; surgery; laparoscopy

Presentación del caso

Hombre de 34 años, fumador, que consulta por cuadro de dolor en flanco derecho de 24 horas de evolución, sin síntomas acompañantes ni fiebre. Al examen se destaca un abdomen blando, depresible, con dolor a la palpación superficial y profunda del flanco derecho. Los exámenes de laboratorio sin alteraciones. La ecografía abdominal descartó elementos patológicos.

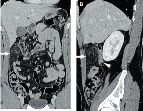
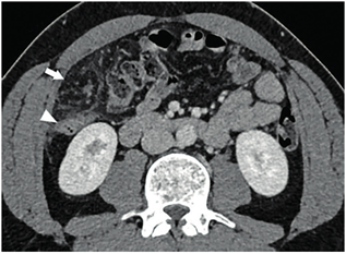
Ante la persistencia del dolor se decidió complementar los estudios con tomografía computarizada de abdomen con y sin contraste intravenoso (Figuras 1 y 2) donde se aprecia infarto del omento, para lo que se inicia tratamiento médico conservador. Luego de 24 horas aumenta el dolor abdominal, por lo que se realiza laparoscopia exploradora. En el intraoperatorio, se confirma necrosis del sector superior derecho del epiplón mayor; se realiza la resección con ligasure® (Figura 3). Tuvo buena evolución posoperatoria, dando de alta a las 48 horas. La anatomía patológica confirmó el diagnóstico de infarto omental.

Figura 1. Tomografía de abdomen con contraste en fase venosa, corte axial, donde se observa a nivel de flanco derecho una alteración en la densidad del epiplón mayor, bien delimitada por un halo hiperdenso (flecha). Contacta hacia atrás con el colon ascendente, el cual presenta paredes discretamente engrosadas, de aspecto inflamatorio, desproporcionadamente menor a la alteración del epiplón (punta de flecha). 

Figura 2. Rreconstrucción en plano coronal (A) y plano sagital (B). Alteración bien circunscripta en el epiplón mayor a nivel de flanco derecho (flechas), que determina ligero efecto de masa sobre el colon ascendente (punta de flecha). 

Figura 3. Hallazgo intraoperatorio en el que se observa el infarto del sector superior derecho del omento. 

Discusión

El infarto del omento es responsable pocas veces de dolor abdominal1. La porción más afectada es la derecha, debido a su mayor tamaño y movilidad2.

El infarto se produce por dos mecanismos, la trombosis en estados de hipercoagulabilidad o las anomalías vasculares3. La etiología puede ser primaria, sin patología subyacente, o secundaria a un proceso patológico que hace de punto de “anclaje” distal del omento (quistes, tumores, focos inflamatorios intrabdominales, heridas quirúrgicas o sacos herniarios con epiplón en su interior)2.

El diagnóstico clínico es difícil; se realiza en base a los estudios imagenológicos (como en nuestro paciente) o hallazgos intraoperatorios.

El tratamiento puede ser conservador (85 % de los casos)4, con excelentes resultados, o quirúrgico5, con una rápida resolución del cuadro doloroso, evitando complicaciones, como formación de colecciones y adherencias. La cirugía laparoscópica es de utilidad en el diagnóstico y la terapéutica5.

Referencias

1. Criado-Martin I, Andrino-Díaz NF, López-Dóriga Bonnardeaux P. Infarto de omento: una causa inusual de abdomen agudo. Rev Esp Geriatr Gerontol. 2018;53:114-8. https://doi.org/10.1016/j.regg.2017.06.003Links ]

2. Zuluaga-Santamaría A, Grand-Vallejo V, Llamas-Otero R, Uribe-Gonzalez R. Infarto del omento mayor: a propósito de un caso. Rev Colomb Radiol. 2018;29:4880-6. [ Links ]

3. Amo-Alonso R, De la Peña-Cadenato J, Loza-Vargas A, Santos-Santamarta F, Sánchez-Ocaña Hernández R, Arenal-Vera JJ. Infarto de epiplón mayor. Caso clínico. Rev Esp Enferm Dig. 2015;107:706-7. https://doi.org/10.17235/reed.2015.3754/2015Links ]

4. Medina-Gallardo NA, Curbelo-Peña Y, Gardenyes-Martinez J, Stickar T, De Castro-Gutiérrez J, Hermoso-Bosch J, Vallverdú-Cartie H. Infarto de omento mayor. Presentación de dos casos con un tratamiento conservador. Acta Gastroenterol Latinoam. 2020;50:355-9. [ Links ]

5. Diab J, Badiani S, Berney CR. Diagnosis and management of adult omental infarction: 10-year case series. World J Surg. 2021;45:1734-41. https://doi.org/10.1007/s00268-021-06043-1Links ]

Citar como: López-Penza PA, Javier M. Infarto del omento: tratamiento por laparoscopia. Rev Colomb Cir. 2023;38354-6. https://doi.org/10.30944/2011758.2294

Cumplimiento de normas éticas

Consentimiento informado: El paciente declaró la aceptación de la utilización de las imágenes relativas a su caso clínico en el ámbito de la investigación, preservando su anonimato, y firmó el consentimiento informado estándar al respecto.

Financiación: los autores declaran no tener ninguna fuente de financiación externa.

Recibido: 26 de Noviembre de 2022; Aprobado: 13 de Enero de 2023; Publicado: 23 de Enero de 2023

aCorrespondencia: Patricia López-Penza, Perseo, Maldonado, Uruguay. Teléfono: (+59) 899927826. Dirección electrónica: patricialopezpenza@hotmail.com

Conflictos de interés:

Los autores declararon no tener conflictos de interés.

Contribución de los autores

- Concepción y diseño: Patricia López-Penza y Javier Marcos. - Adquisición de datos: Javier Marcos. - Redacción del manuscrito: Patricia López-Penza y Javier Marcos. - Revisión crítica: Patricia López Penza y Javier Marcos.

Creative Commons License Este es un artículo publicado en acceso abierto bajo una licencia Creative Commons