Introducción
El narcotráfico y el uso de sustancias ilícitas es una problemática creciente y representa cerca del 1 % de la actividad económica global 1. América Latina y África son dos de las principales regiones de origen, con destino a Norteamérica y Europa occidental en la gran mayoría de los casos 2 y la prevalencia de consumo en la población adulta se estima en 7 % 1.
Cada año se transportan cerca de 650 toneladas de cocaína en el Caribe 3. Existen diferentes modalidades de transporte intracorporal de contrabando de sustancias ilícitas entre las cuáles se describe el “body packing”, que se refiere a ocultar drogas empaquetadas en cápsulas de diferentes presentaciones dentro del tracto gastrointestinal, y el “body pushing” que consiste en la introducción de estos paquetes dentro de orificios corporales incluyendo la vagina, el ano y el conducto auditivo externo 1,4.
Debido a un mayor control aeroportuario, cada vez es más frecuente detectar el contrabando por ocultamiento interno 5. Por su proximidad al aeropuerto internacional de Bogotá, D.C., Colombia, el Hospital de Engativá se ha convertido en centro de referencia para la atención de “body packers”. El porcentaje de casos que son descubiertos durante la atención médica de urgencia no es despreciable y puede atribuirse a complicaciones relacionadas con la ruptura intraluminal de los paquetes o con la cantidad de paquetes ingeridos 1.
El síndrome del “body packer” es una entidad clínica con una prevalencia cercana al 5 %, caracterizada por intoxicación aguda u obstrucción intestinal secundarias a la ingesta de paquetes con sustancias ilícitas 1,5. El riesgo de desarrollar estas complicaciones está directamente relacionado con el tipo de droga, el tamaño y la calidad de los paquetes y el tiempo que permanezcan dentro del tracto gastrointestinal 6. En viajes extensos es frecuente el uso de agentes antiperistálticos para prolongar el tiempo del tránsito intestinal, que en condiciones normales es de aproximadamente 30 horas 5,7.
La incidencia de obstrucción intestinal en “body packers” es aproximadamente el 5 % 3. La zona más frecuente de obstrucción es el intestino delgado, con muy pocos casos reportados a nivel gástrico 6,8. El objetivo de este artículo fue describir el caso de un hombre con síndrome pilórico secundario a la ingesta de 101 paquetes para el transporte de sustancias ilegales y presentar las principales consideraciones sobre el abordaje terapéutico del “body packing”.
Caso clínico
Hombre de 65 años, con antecedente de hipertensión arterial y diabetes mellitus tipo 2, que fue traído por la autoridad local al servicio de urgencias del Hospital de Engativá en Bogotá, D.C., Colombia, por la ingesta de 101 cápsulas para el transporte de narcóticos 15 horas atrás. Previo al ingreso, el paciente sufrió un episodio emético con la expulsión de cuatro cápsulas. Al examen físico no se encontraron alteraciones hemodinámicas ni signos de intoxicación aguda; sólo presentaba masas palpables en el hemiabdomen superior, sin signos de irritación peritoneal.
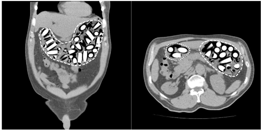
La radiografía de abdomen al ingreso mostró múltiples imágenes radiopacas en el marco cólico sugestivas de cuerpos extraños (Figura 1). Se solicitó una tomografía computarizada (TC) de abdomen con contraste en la cual se describieron hallazgos compatibles con síndrome pilórico secundario a retención gástrica de cuerpos extraños, sin evidencia de tránsito hacia distal (Figura 2). Fue llevado a laparotomía exploratoria identificando marcada distensión de la cámara gástrica; se realizó una gastrotomía y extracción sin complicaciones de 97 cuerpos extraños de látex en forma de dedo con pérdida del recubrimiento de parafina (Figura 3).

Figura 1. Radiografía de abdomen simple. Múltiples imágenes radiopacas en la cámara gástrica sugestivas de cuerpos extraños (flechas blancas).

Figura 2. Tomografía computarizada contrastada de abdomen. A la izquierda (corte coronal) se observan imágenes hiperdensas cilíndricas sugestivas de cuerpos extraños en cámara gástrica (línea discontinua).

Figura 3. Múltiples cuerpos extraños en forma de dedo extraídos de la cavidad gástrica, con pérdida parcial de la cobertura de parafina (circulo blanco).
Al segundo día postoperatorio fue dado de alta, con reingreso temprano a las 48 horas por cambios inflamatorios locales a nivel de la herida quirúrgica, sin datos de respuesta inflamatoria sistémica. Se realizó estudio tomográfico de control en el que se descartaron colecciones intraabdominales. Se consideraron hallazgos compatibles con infección de sitio operatorio superficial por lo que se indicó manejo con curaciones, ciprofloxacina y metronidazol oral, con una adecuada respuesta.
Discusión
La mayoría de los “body packers” son asintomáticos. La probabilidad de presentar manifestaciones clínicas y de ser identificados en imágenes se incrementa con el número de cápsulas ingeridas 1. La ingesta promedio es de 70 paquetes entre 0,8 y 5 cm, pero existen algunos reportes de ingesta de hasta 200 paquetes 1,2,5.
Cada paquete puede contener entre 2 y 10 gr de sustancia 5, es decir que en promedio, una persona puede transportar entre 1 y 2 kg de narcóticos 7. La sustancia más frecuentemente encontrada es cocaína, seguida por heroína, cannabis y drogas sintéticas 1. Las características del embalaje son variables y los paquetes pueden ser de látex, goma o celofán 6; en Colombia, se lleva a cabo un proceso de manufactura de alta calidad que involucra envoltorios elaborados con condones o dedos de guantes de látex recubiertos con celofán y sumergidos en parafina 2,4,7. Cuanto mayor tiempo permanezcan los paquetes en la cavidad hay mayor probabilidad de degradación de la envoltura con síntomas sistémicos de intoxicación 5,6.
Mandava y cols. 2 evaluaron 1250 sujetos detenidos en la aduana de un aeropuerto internacional entre 1993 y 2005, entre quienes los síntomas más frecuentes fueron cambios en el estado mental, dolor abdominal, vómito, dolor torácico, hematoquecia y retención prolongada de los cuerpos extraños.
La radiografía simple es la herramienta más importante para la detección, con una sensibilidad entre 40-90 % dependiendo del tipo y pureza de la droga, material del paquete, tamaño, localización y número de paquetes 1,5,7; la especificidad puede ser tan alta como del 97 % 5. Los signos radiográficos que pueden identificarse incluyen: múltiples cuerpos extraños radiopacos y signos de “doble condón”, “tic tac”, paralelismo, envoltura hiperdensa o multiplicidad de cuerpos extraños con aire atrapado entre ellos 1,4,5.
En caso de diagnóstico inconcluso con alta sospecha clínica, la TC de abdomen puede ser de gran utilidad con una sensibilidad y especificidad superiores al 95 % 5. La TC simple puede brindar más información, teniendo en cuenta que el medio de contraste puede interferir con la visualización de los paquetes 5,7. Dependiendo de la pureza del narcótico existen diferentes patrones de atenuación; la cocaína que constituye la sustancia más frecuentemente transportada, por lo general es isodensa con la materia fecal, mientras que la marihuana suele ser hiperdensa y la heroína hipodensa 5.
En los pacientes sintomáticos deben evitarse las maniobras que aceleren el tránsito intestinal porque puede incrementar el riesgo de ruptura 7, teniendo en cuenta que hasta el 23 % cursan con una patología subyacente que explica la obstrucción 3. Un estudio observacional retrospectivo llevado a cabo en España entre 2000 y 2008 6 describió una serie de “body packers” sintomáticos que precisaron ingreso hospitalario; todos fueron manejados de forma expectante con reposo gastrointestinal, seguimiento radiográfico y de tóxicos en orina cada 24 horas, hasta la expulsión completa del material ingerido.
Los pacientes asintomáticos fueron excluidos del estudio, retornando a custodia de las autoridades después del diagnóstico; esta población recibió durante su estancia en el departamento de Urgencias enemas o laxantes únicamente 6.
El tratamiento conservador fue exitoso en 95 % de los pacientes con un tiempo promedio de estancia hospitalaria de siete días. En 5 % de los casos se describieron complicaciones graves atribuibles a intoxicación por cocaína (2 %) y obstrucción intestinal (3 %). El 4,1 % requirieron manejo quirúrgico con un tiempo promedio de estancia más prolongado (17 días). La tasa de mortalidad global fue de 0,4 %, que alcanzó el 7,4 % entre los pacientes que presentaron complicaciones 6.
En el estudio de Mandava 2, el 45 % de los pacientes requirieron manejo quirúrgico, siendo la presencia de paquetes en el tracto digestivo proximal uno de los principales predictores de falla terapéutica del tratamiento conservador.
De acuerdo con lo anterior, el manejo quirúrgico debe reservarse únicamente para casos de obstrucción intestinal, sospecha de perforación, hemorragia digestiva o intoxicación aguda grave con probabilidad de ruptura de los paquetes 2,5,6,8. Existe controversia respecto a la indicación de cirugía en pacientes con falla en la expulsión de los paquetes después de un periodo determinado de observación, pero algunas publicaciones consideran que después de cuatro o cinco días sin obtener resultados, se debe realizar cirugía teniendo en cuenta que, el contacto prolongado con la mucosa intestinal favorece la absorción de la droga a través de la membrana semipermeable e incrementa el riesgo de ruptura 2-5.
La evacuación quirúrgica se puede realizar mediante una gastrotomía, enterotomía o incisión en el colon; en muy pocos casos se requieren resecciones o derivaciones intestinales 3. Los paquetes alojados en el tracto digestivo distal se pueden recuperar por vía transrectal, evitando la incisión en el colon 2.
La principal causa de morbilidad es la infección del sitio operatorio que, en casos de enterotomías distales y dependiendo de su número, puede ser tan alta como del 40 %. 3,8.
Conclusión
El “body packing” es una causa infrecuente de obstrucción intestinal. Son escasos los reportes que describen la ingesta de más de 90 cápsulas o el síndrome pilórico como causa de obstrucción intestinal. El manejo conservador con soluciones laxantes en pacientes asintomáticos y la observación en sintomáticos es una estrategia terapéutica segura, sin embargo, el transporte masivo incrementa el riesgo de complicaciones relacionadas con intoxicación aguda u obstrucción mecánica con alta probabilidad de requerir extracción quirúrgica.














