Introducción
Los teratomas son tumores derivados de las células pluripotenciales, provenientes de las células germinales (ectodermo, mesodermo o endodermo). Según la etapa de diferenciación, se clasifican en teratomas maduros o inmaduros, y pueden tener componente quístico, sólido o mixto 1.
Se originan principalmente en las gónadas, pero pueden surgir a partir cualquier vía de migración de las células ectodérmicas, principalmente en la línea media, afectando el cráneo, el mediastino o el retroperitoneo 2. En su mayoría son benignos, pero algunos poseen potencial de malignización, transformándose a carcinoma de células escamosas, adenocarcinoma o tumores carcinoides 3.
Los teratomas mesentéricos son entidades poco frecuentes. La presentación clínica es inespecífica y dependerá principalmente del tamaño y su localización. Puede ser asintomático o causar distensión abdominal. Al examen físico se encuentra un tumor palpable con aumento de la circunferencia abdominal, estreñimiento y obstrucción intestinal secundario al efecto compresivo sobre las estructuras adyacentes 4.
Dentro del enfoque diagnóstico pueden caracterizarse por medio del ultrasonido, que permite identificar una masa de componente sólido o quístico, y definir su ubicación. La tomografía de abdomen proporciona información sobre la localización, la naturaleza, la estadificación y si genera efecto compresivo sobre órganos circundantes. La resonancia de abdomen facilita la evaluación de los componentes de la masa y proporciona características detalladas acerca de su relación con los planos fasciales adyacentes, lo que es fundamental para la planeación quirúrgica 5.
Debido a las características anatómicas del mesenterio, ofrece suficiente espacio para un crecimiento tumoral considerable antes de que aparezcan los síntomas, particularmente cuando la lesión se localiza cerca de la raíz. Su manejo es quirúrgico debido al riesgo de presentar malignidad y el abordaje se puede realizar abierto o por vía laparoscópica, dependiendo de la experiencia del cirujano. El diagnóstico preoperatorio de teratoma no es posible en todos los casos, por lo que debe confirmarse mediante la evaluación histopatológica del tumor extirpado 2,3.
Caso clínico
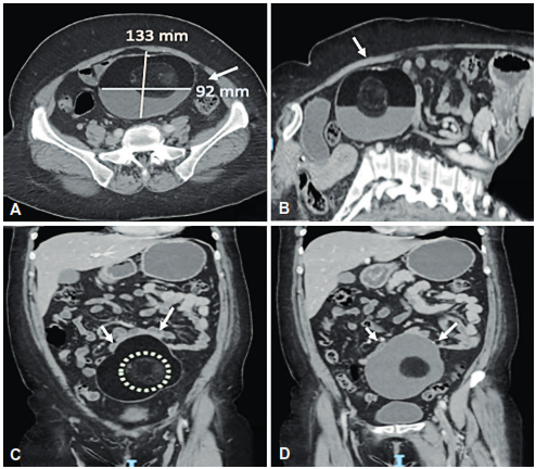
Paciente femenina de 56 años, con antecedente de carcinoma ductal infiltrante de mama izquierdo estadio clínico IIA (T2N0M0), en remisión. En los estudios de seguimiento por cirugía de mama y tejidos blandos, observaron como hallazgo incidental en la tomografía computarizada (TC) de abdomen, una lesión voluminosa, de aproximadamente 133x127x92 mm, de localización abdominopélvica, contornos definidos, de contenido líquido y graso, con presencia de calcificaciones en su periferia (Figura 1).

Figura 1. Tomografía de abdomen contrastada. Corte axial (A) y corte sagital (B), donde se observa una lesión bien definida, dependiente del mesenterio, a nivel del mesogastrio, con contornos lisos y nivel grasa-líquido. Corte coronal (C) que muestra la lesión dependiente del mesenterio y un nódulo en su interior (D), con densidad heterogénea, de aproximadamente 49x51x64 mm.
Al reinterrogar, no refería historia de dolor, emesis, fiebre ni pérdida de peso. Al examen físico no se palpaban masas en abdomen, ni había dolor a la palpación. Ante sospecha inicial de lesión secundaria, se solicitaron marcadores tumorales (CA125, CA19-9 y antígeno carcinoembrionario) que fueron negativos, TC de tórax contrastado, sin evidencia de lesiones mediastinales ni del parénquima pulmonar, y gammagrafía ósea, sin enfermedad metastásica.
Fue llevada a junta quirúrgica por el servicio de cirugía general, donde se consideró necesario la resección quirúrgica ante la sospecha clínica e imagenológica de quiste mesentérico, pero dado el tamaño de la lesión, no era candidata a manejo laparoscópico, por lo que se decidió realizar laparotomía exploratoria de manera programada.
Se hizo el abordaje por medio de laparotomía mediana supra e infraumbilical, con hallazgos intraoperatorios de lesión trilobulada, de bordes lisos de aproximadamente 15x12 cm, adherida al meso del intestino delgado, sin evidencia de compromiso vascular, de órganos retroperitoneales ni uréteres (Figura 2), y sin lesiones secundarias peritoneales. Se completó el procedimiento sin complicaciones. El análisis histopatológico del espécimen quirúrgico informó teratoma quístico maduro, con cambios inflamatorios y presencia de reacción a cuerpo extraño, sin elementos inmaduros ni criterios histológicos de malignidad.

Figura 2. Teratoma mesentérico. A. Cara anterior. Lesión trilobulada, bordes lisos de aproximadamente 15x12 cm, adherida al meso de intestino delgado, sin evidencia de compromiso vascular. B. Vista de la cara posterior.
Durante la evolución posoperatoria tuvo adecuado control del dolor, toleró la vía oral en el primer día posoperatorio, con tránsito intestinal presente, sin complicaciones inmediatas, por lo que tras 48 horas de cuidados intrahospitalarios se dio alta hospitalaria. Continua seguimiento ambulatorio por cirugía general y oncología que, ante ausencia de criterios histológicos de malignidad, consideró que no había indicación de manejo farmacológico ni quirúrgico complementario. Tras 48 meses de vigilancia, no se ha documentado la aparición de nuevas masas intrabdominales.
Discusión
Los teratomas son tumores que surgen a partir de células totipotenciales, compuestos por múltiples tipos de células derivadas de una o más de las tres capas germinales. La incidencia estimada es de 1 en 27.000 a 1 en 100.000 personas 5. Pueden diagnosticarse a cualquier edad, aunque presenta dos picos de incidencia, en la niñez a los 2 años y en la edad adulta temprana.
Con mayor frecuencia se originan a partir de células germinales de las gónadas; sin embargo, se han reportado casos de teratomas de células germinales extragonadales 6, como el caso que presentamos.
Estos tumores surgen en cualquier lugar de la vía de migración de las células ectodérmicas, especialmente en la línea media, pudiéndose encontrar a nivel sacro coccígeo (67 %), cabeza y cuello (9 %), retroperitoneal (8 %), mediastino (7 %), cerebro o médula espinal (6 %), hígado (1,5 %) y pared abdominal (1,5 %) 4,6.
Según su grado de diferenciación pueden presentarse como lesiones bien diferenciadas, maduras, benignas, de características quísticas, que son la mayoría, o como tumores malignos, inmaduros, sólidos. Solo el 1-2 % de los teratomas poseen potencial de transformación maligna. Los teratomas maduros contienen tejidos de las 3 capas germinales, a diferencia de los teratomas inmaduros o quistes dermoides que pueden originarse a partir de dos capas o una sola capa epidermoide. También se pueden clasificar según el linaje germinal que contengan, como se muestra en la Tabla 1.
Respecto a la presentación clínica, pueden ser asintomáticos, como en el caso de la paciente que presentamos, o pueden manifestarse con dolor abdominal, sensación de masa, aumento del perímetro abdominal, síntomas genitourinarios o gastrointestinales, edema de miembros inferiores o parestesias, algunos de ellos secundarios a compresión mecánica sobre los órganos adyacentes.
Dentro del enfoque diagnóstico, los estudios imagenológicos poseen un papel esencial para la caracterización de la masa y la planificación del abordaje terapéutico. Existen características radiológicas patognomónicas, que varían según el estudio empleado. En la radiografía de abdomen se puede apreciar una lesión radiopaca con calcificación en su periferia (dientes, huesos o calcificaciones). El ultrasonido puede mostrar una masa de contenido quístico o sólido y la localización. La TC es el estudio de elección ya que caracteriza la lesión y permite distinguir la combinación de diferentes tipos de tejidos, con una mejor ilustración de la anatomía y una evaluación de la invasión loco regional. La resonancia magnética (RMN) tiende a ser superior a la TC para evaluar los constituyentes de la masa y proporcionar imágenes más detalladas del tejido 3,7.
Las características imagenológicas que sugieren malignidad son el componente sólido dentro de la masa, el engrosamiento irregular de la pared, la extensión a otros tejidos, linfadenopatías y metástasis. La TC y la RMN son estudios que permite determinar la extensión del tumor, así como el grado de invasión, por lo que ayudan a la planeación del abordaje quirúrgico, como en nuestro caso 8.
Los teratomas exhiben características macroscópicas distintivas que incluyen: masas encapsuladas, con porciones carnosas y quísticas que pueden contener material mucoide, restos de queratina, serosa o componentes duros, como huesos y dientes. Microscópicamente, se componen de muchos tipos de tejidos somáticos, dispuestos en una arquitectura caótica, con diversos grados de maduración, lo que permite distinguir los teratomas maduros de los teratomas inmaduros. El tejido neuroectodérmico es el tipo más frecuente en la forma inmadura. Estos se asocian a carcinomas escamosos, tumores carcinoides o adenocarcinomas 8.
La resección quirúrgica es el pilar del tratamiento y ha demostrado evitar la recurrencia y la transformación maligna. La selección del abordaje quirúrgico depende del tamaño del quiste, la ubicación dentro de la cavidad abdominal y la experiencia del cirujano 9.
Conclusiones
El teratoma quístico mesentérico es una patología rara y en su mayoría benigna, con presentación clínica inespecífica, que genera un reto diagnóstico en la práctica clínica. El abordaje terapéutico inicia con el empleo de estudios imagenológicos, desde la ecografía, hasta la tomografía y resonancia magnética. El diagnóstico se confirma con el estudio microscópico del espécimen quirúrgico. El tratamiento de elección es quirúrgico y el abordaje depende del tamaño de la lesión, la localización y la experiencia del grupo quirúrgico.















