Introducción
El síndrome de pinza aorto-mesentérica, también conocido como síndrome de Wilkie, íleo duodenal crónico o síndrome de Cast 1, es una entidad patológica en la cual existe una compresión de la tercera porción del duodeno, secundaria a la disminución del ángulo formado entre la aorta y la arteria mesentérica superior (AMS). El primero en describirlo fue von Rokitansky, quien mencionó que se trataba de un síndrome en el que se presenta vómito intermitente, secundario a la compresión del duodeno al pasar entre la aorta y la AMS. Posteriormente, Wilkie publicó una serie de 57 casos de íleo duodenal crónico tratados con cirugía 2.
Este síndrome es más frecuente en mujeres y se presenta predominantemente en pacientes con anorexia nerviosa, aunque también se ha descrito en pacientes que, por una condición médica, presentan una marcada pérdida de peso, tales como neoplasias, cirugía de columna o cirugía bariátrica. Se ha teorizado que este síndrome ocurre por la pérdida acelerada de peso, lo cual conduce a un estado de catabolismo, con consumo de la grasa visceral, incluida la grasa que rodea el mesenterio y los grandes vasos, tales como la aorta y la AMS.
Los síntomas incluyen vómito posprandial, dolor epigástrico y sensación de plenitud gástrica, con lo que se disminuye más la ingesta, y por ende lleva a una desnutrición proteico-calórica aguda. Usualmente estos pacientes llegan al servicio de Urgencias severamente deshidratados, con alteraciones hidroelectrolíticas y, en algunas ocasiones, con falla renal secundaria a la hipovolemia. Sin embargo, una vez corregidas estas situaciones, son dados de alta, por lo cual se convierten en pacientes re-consultantes.
Debe existir un alto grado de sospecha clínica de parte del cirujano que valora el caso. Una vez presente la duda diagnóstica, se puede confirmar con distintos tipos de imágenes, tales como la radiografía de vías digestivas, en la que se aprecia dilatación del estómago y el duodeno, con una obstrucción abrupta a nivel de su tercera porción; los estudios de vaciamiento gástrico muestran retardo en el vaciamiento gástrico, así como retención de alimentos 2. Hoy en día, la tomografía computarizada (TC) tiene un papel preponderante en el diagnóstico, ya que no solo permite visualizar la dilatación del estómago y el duodeno proximal hasta la tercera porción por la compresión entre la aorta y la AMS, sino que además permite medir el ángulo aorto-mesentérico en los cortes sagitales (normal entre 25-60 grados) y la distancia entre la aorta y la AMS en el corte axial (normal entre 10-28 mm) 1.
La endoscopia de vías digestivas altas usualmente muestra estasis gástrica, retención de alimentos y hallazgos compatibles con gastritis o duodenitis erosiva; también se puede visualizar la obstrucción, algunas veces pulsátil, a nivel de la pared del duodeno 2. Es importante realizar lavados gástricos con Solución Salina Normal al 0,9 % a través de una sonda nasogástrica, antes de practicar este examen, con el fin de vaciar el estómago y obtener una mejor visualización. Una vez terminado el examen se debe posicionar una sonda naso-enteral con punta de Tungsteno, a través de la cual se podrá iniciar después la nutrición enteral.
Dentro del diagnóstico diferencial existen dos entidades relacionadas, una es el síndrome de ligamento arcuato medial 3, en el cual puede haber una compresión extrínseca del tronco celiaco, secundario a un tejido fibroso que se forma sobre el diafragma y genera compresión al pasar el hiato aórtico; esto genera dolor en el epigastrio. La segunda entidad es el síndrome de cascanueces (nutcracker)4, que corresponde a una compresión extrínseca de la vena renal izquierda, al pasar por el ángulo aorto-mesentérico; esta condición produce dolor que empeora con el movimiento y hematuria.
El tratamiento del síndrome de pinza mesentérica tiene 3 etapas. Una primera etapa en la cual se deben suministrar líquidos endovenosos para corregir la deshidratación y la falla renal. Se deben solicitar sodio, potasio, cloro y fósforo en sangre, para poder realizar la corrección de los mismos; hay que tener presente que, antes de instaurar algún tipo de terapia nutricional, se debe corregir el fósforo, buscando evitar el síndrome de realimentación y sus complicaciones. Se debe colocar una sonda nasogástrica para evacuar el estómago y realizar lavados con Solución Salina Normal estéril al 0,9 %, hasta que el drenaje sea claro.
En la segunda etapa, se ampliará el diagnóstico con la realización de una TC y una endoscopia de vías digestivas altas, que también sirve para avanzar una sonda naso-enteral; se debe iniciar una intervención por parte del grupo de Soporte Nutricional, prefiriendo en lo posible la vía enteral sobre la parenteral. El uso de proquinéticos de larga acción esta recomendado. La tercera etapa del tratamiento se reserva para aquellos casos en los cuales no hay mejoría clínica, dado por persistencia de dolor y vómito, así como en los casos en los que la dilatación duodenal se vuelve persistente y progresiva. Para estos pacientes se puede plantear una intervención quirúrgica para aliviar la compresión extrínseca sobre el duodeno. Es importante un manejo interdisciplinario para definir ¿hay beneficio con la intervención quirúrgica? o ¿cuál es el mejor momento de la cirugía?, dado que se está frente a pacientes con desnutrición proteico-calórica y con alto riesgo de falla en la anastomosis y fístula, complicaciones que en un paciente desnutrido pueden implicar la muerte.
Las técnicas quirúrgicas incluyen el procedimiento de Strong, la re-implantación vascular y la duodeno-yeyunostomía 5. El procedimiento de Strong involucra la liberación del ángulo de Treitz, así como una liberación del duodeno, para desplazarlo del ángulo aorto-mesentérico. El reimplante vascular de la AMS en la aorta infra-renal está claramente descrito para el manejo de la isquemia oclusiva crónica y puede tener un papel en el síndrome de pinza mesentérica. Sin embargo, la intervención más aceptada para estos casos es la duodeno-yeyunostomía, sea por vía abierta, como lo realizó por primera vez Stavely en 1908, o por vía laparoscópica, como lo realizaron Gersin KS & Heniford BT en 1998 6. Esta intervención es una herramienta importante en pacientes con estómagos muy dilatados, además de sumar los beneficios de la cirugía de mínima invasión, sin embargo, puede tener complicaciones como reflujo biliar, úlcera de la anastomosis y fístula, entre otras. En nuestro medio existen casos de éxito manejados por vía laparoscópica, tal como lo describió en 2018 Vásquez JN, et al. 7, aunque aún no está claramente determinado cuál es la mejor intervención.
Caso clínico
Se presenta el caso de un hombre de 20 años, quien cuatro años antes inició una dieta de tipo vegano y en los últimos 4 meses adicionó un régimen de ejercicio estricto. Había tenido 5 consultas previas a servicios de Urgencias por presentar dolor en el epigastrio, asociado a múltiples episodios de vómito, los cuales mejoraban con la hidratación y era dado de alta. En este último episodio refería dolor en el epigastrio, sensación de plenitud gástrica y vómito en grandes cantidades, asociado a oliguria, ictericia y debilidad generalizada. Los laboratorios reportaron leucocitos 10.870 x 109/L, neutrófilos 76 %, hemoglobina 17 g/dl, plaquetas 287.000 x 109/L, INR 1,13, tiempo de protrombina (PT) 11,8 segundos, tiempo de tromboplastina parcial (PTT) 22,8 segundos, creatinina 1,26 mg/dL, potasio 4,22 mEq/L, sodio 137 mEq/L, fósforo 2,68 mg/dL, albumina 5,4 mg/dL, amilasa 59 U/L, bilirrubina total 4,5 mg/dL e indirecta 4,0 mg/dL, transaminasa glutámica-oxaloacética (TGO) ó aspartato aminotransferasa (AST) 17 U/L, transaminasa glutamato piruvato (TGP) ó alanina transaminasa (ALT) 16 U/L y uroanálisis sin hematuria.
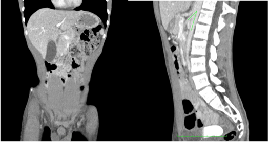
A su ingreso a urgencias iniciaron hidratación con líquidos endovenosos y manejo antiemético. Fue valorado por Cirugía general y se decidió realizar una TC, en la que documentaron una marcada dilatación del estómago, el cual casi contactaba el domo de la vejiga, con neumatosis de la pared, predominantemente en el borde inferior y la curvatura mayor del estómago, asociado a aire en la vena porta, el cual se pudo diferenciar de la neumobilia, dado que comprometía los 2 cm más cercanos a la cápsula de Gleason. En la revisión detallada de la imagen, se documentó un ángulo áorto-mesentérico de 16 grados en el corte sagital y una distancia entre la aorta y la AMS de 2,5 mm en el corte axial (Figura 1). Se confirmó el diagnóstico de síndrome de pinza mesentérica.

Figura 1. Tomografía computarizada de abdomen inicial, antes del tratamiento con soporte nutricional, que muestra el estómago muy dilatado, aire en la vena porta y un ángulo aorto-mesentérico de 16 grados.
Se practicó una endoscopia de vías digestivas altas, que reportó gastritis erosiva y se avanzó más allá del sitio de la compresión extrínseca una sonda naso-enteral con punta de Tungsteno. Con un peso de 38,3 kg para ese momento, se inició nutrición enteral por la sonda, pero en la primera semana de tratamiento presentó en tres ocasiones disfunción por oclusión, probablemente en relación con la pinza, razón por la cual se inició nutrición parenteral. Adicionalmente, recibió acompañamiento de Psiquiatría, quienes consideraron que cursaba con depresión mayor e iniciaron manejo con Fluoxetina en suspensión oral. Por parte de Gastroenterología, se adicionó Domperidona al manejo.
El paciente tuvo una mejoría clínica y anímica evidente, sin vómito ni dolor abdominal y desapareció la ictericia. Un mes después se decidió tomar una TC de control, en la cual se observaba desaparición del aire en la porta y retorno del estómago a su tamaño normal, con desaparición de la neumatosis en la pared; había aumento del ángulo aorto-mesentérico a 28,9 grados en el corte sagital, con paso del medio de contraste al íleon distal y aumento de la distancia aorto-mesentérica a 5,2 mm en el corte axial (Figura 2).

Figura 2. Tomografía computarizada de abdomen después de un mes de tratamiento con soporte nutricional, en la que se observa que el estómago ha retornado a su tamaño usual, no hay aire en la vena porta y el ángulo aorto-mesentérico mide 28,9 grados.
Dada la mejoría clínica y radiológica se decidió reiniciar la vía oral progresivamente, con buena tolerancia, con destete de la nutrición parenteral hasta retirarla y posterior egreso. En el control ambulatorio se encontró un paciente asintomático, con un aumento de peso a 43,6 kg, dos meses después de iniciado el tratamiento.
Discusión
Si bien es cierto que hay consenso en el diagnóstico del síndrome de pinza mesentérica, dado por la estandarización en la medida del ángulo aorto-mesentérico y la distancia entre la aorta y la AMS, no se ha llegado a un consenso en el tratamiento, probablemente dado la baja prevalencia de esta patología. En el proceso de tratamiento de estos pacientes surgen controversias, las cuales queremos comentar a la luz de lo aprendido con este caso.
¿Qué hacer con los casos donde se presenta neumatosis en la pared del estómago y aire en la vena porta?
Generalmente, la neumatosis en la pared de una víscera se produce por algún fenómeno isquémico sobre la pared de la misma. En este caso, no tiene las mismas implicaciones que la neumatosis en el intestino delgado, donde generalmente es un signo ominoso, mientras que en el estómago puede ser secundario a úlceras y obstrucciones del tracto de salida del estómago.
La presencia de aire en la vena porta, también descrita como “aeroportia” 8, se origina en el aire intraluminal o el producido por las bacterias, el cual, dado el aumento de la presión intraluminal por un fenómeno obstructivo o isquémico, es empujado a través de la mucosa gástrica hacia los vasos venosos o linfáticos. y de allí, al sistema porta hepático. No hay un gérmen patógeno asociado a esta condición. No debe ser confundida con neumobilia, la cual está asociada a intervenciones previas en la vía biliar, principalmente colangiopancreatografía retrógrada endoscópica (CPRE); en la tomografía se visualiza aire, de predominio hiliar, sin comprometer los últimos 2 cm del hígado antes de contactar con la cápsula de Gleason. Lo aprendido del caso es que no tiene ninguna implicación en la severidad del cuadro y no requiere ningún manejo antibiótico. No hay evidencia publicada que sustente la conducta de dar manejo antibiótico cuando hay neumatosis intestinal o presencia de aire en la porta.
¿El estómago dilatado cambia algo?
El estómago de estos pacientes sufre una dilatación crónica, bajo este principio, ¿es esperable que retorne a su tamaño normal?
No existe claridad acerca de si la dilatación gástrica en estos pacientes se da crónicamente o se presenta de manera aguda, ocasionando el dolor, que se convierte en el motivo de consulta. Sin embargo, no consideramos que se comporte como otras causas de atonía gástrica y dilatación en las cuales permanece dilatado a pesar del manejo. En el caso particular mencionado el estómago retornó a su tamaño previo, como lo documentó la TC de control un mes después del tratamiento. Una consideración adicional es que se evidenciaron cambios en los ángulos con tan solo un mes de diferencia, por lo cual, ésta podría ser una medida objetiva de la eficacia del tratamiento a usar.
¿Es superior el tratamiento nutricional o alguna intervención quirúrgica?
No existe evidencia científica de Nivel A1 y es poco probable que se consiga en los años venideros dado la baja prevalencia de la patología. A pesar de esto, todas las publicaciones, que en su mayoría son reportes o series de casos, colocan en primer lugar el manejo médico conservador, con soporte nutricional, y dejan la cirugía para aquellos casos en los cuales no hay mejoría con el tratamiento nutricional, hay persistencia de dolor y vómito o progresión de la dilatación duodenal.
Ante un estómago dilatado y atónico, ¿existe algún papel para la cirugía con resección en el tratamiento?
Dada la situación de un paciente con esta entidad clínica, con un estómago que no retorna a su tamaño normal, y en la eventualidad que se decida llevar a cirugía, siempre viene a consideración la posibilidad de realizar una gastrectomía subtotal con una gastro-yeyunostomía o una reconstrucción en Y de Roux. Sin embargo, no existe evidencia que soporte esta conducta. La gran mayoría de los pacientes documentados han sido tratados con duodeno-yeyunostomía, la cual, a la fecha, continúa siendo el estándar de oro en el tratamiento de los pacientes con indicación quirúrgica.
Conclusiones
El caso traído a consideración nos permite afirmar que la mejor terapia inicial es el soporte nutricional, sea enteral o parenteral. En estos casos, el estómago retorna a su tamaño inicial una vez corregida la compresión extrínseca, así como desaparece el aire en la vena porta. No es necesario el tratamiento antibiótico ante la presencia de “aeroportia”. Son pocos los casos que van a necesitar una intervención quirúrgica, la cual, en caso de estar indicada, debe ser una duodeno-yeyunostomía. La vía de abordaje quirúrgico puede ser abierta o laparoscópica, sin embargo, esta decisión debe ser tomada en función de la disponibilidad de recursos y la experiencia del cirujano.














